男,44岁,记忆力下降、乏力5月余,多尿3月余,CTMR全,疑难病例,能正确诊断吗?
主诉:记忆力下降、乏力5月余,多尿3月余。
现病史:患者5月余前无明显诱因自感乏力,精神差,记忆力下降,未予重视;后出现多尿,表现为夜尿次数明显增多。起病以来,小便如前,大便正常,精神偏差,近期体重无明显变化。
既往史:2型糖尿病。
图像不多,能诊断正确吗?有特征性吗?



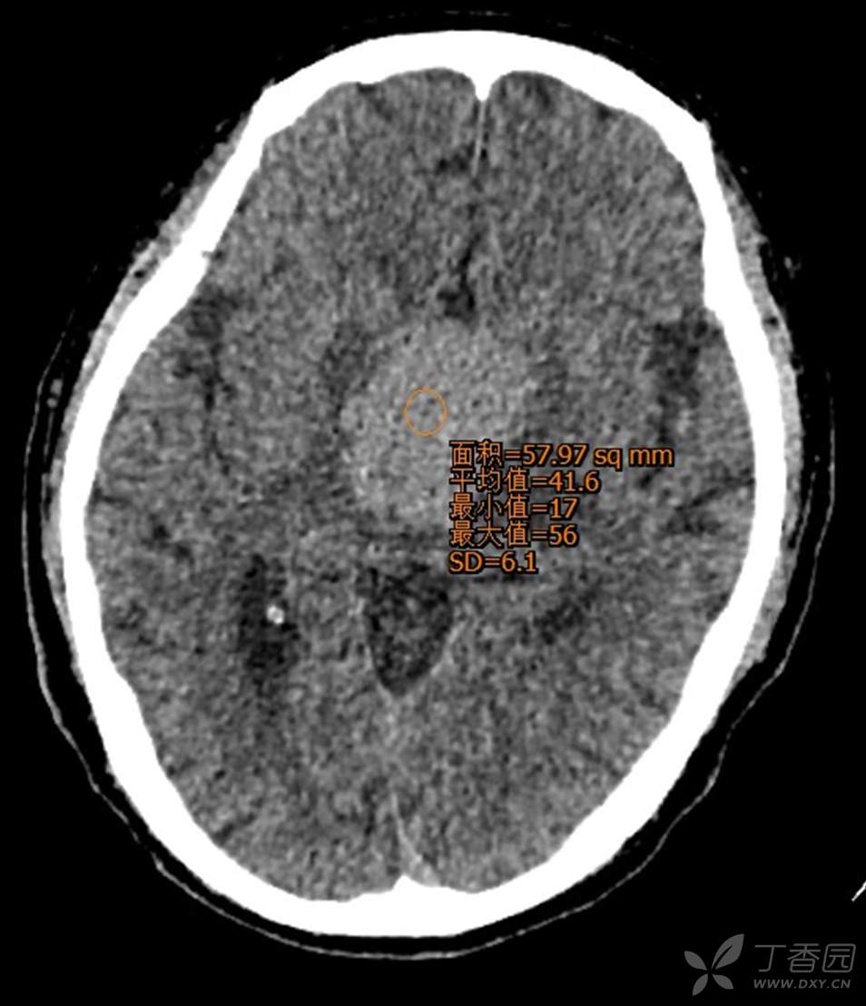
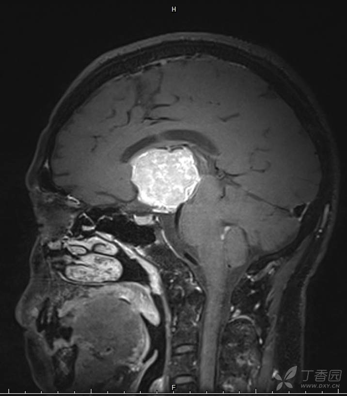
增强



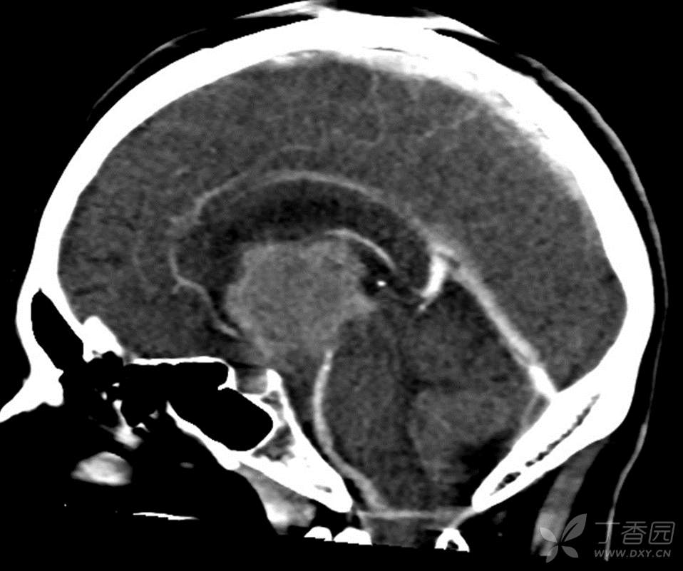
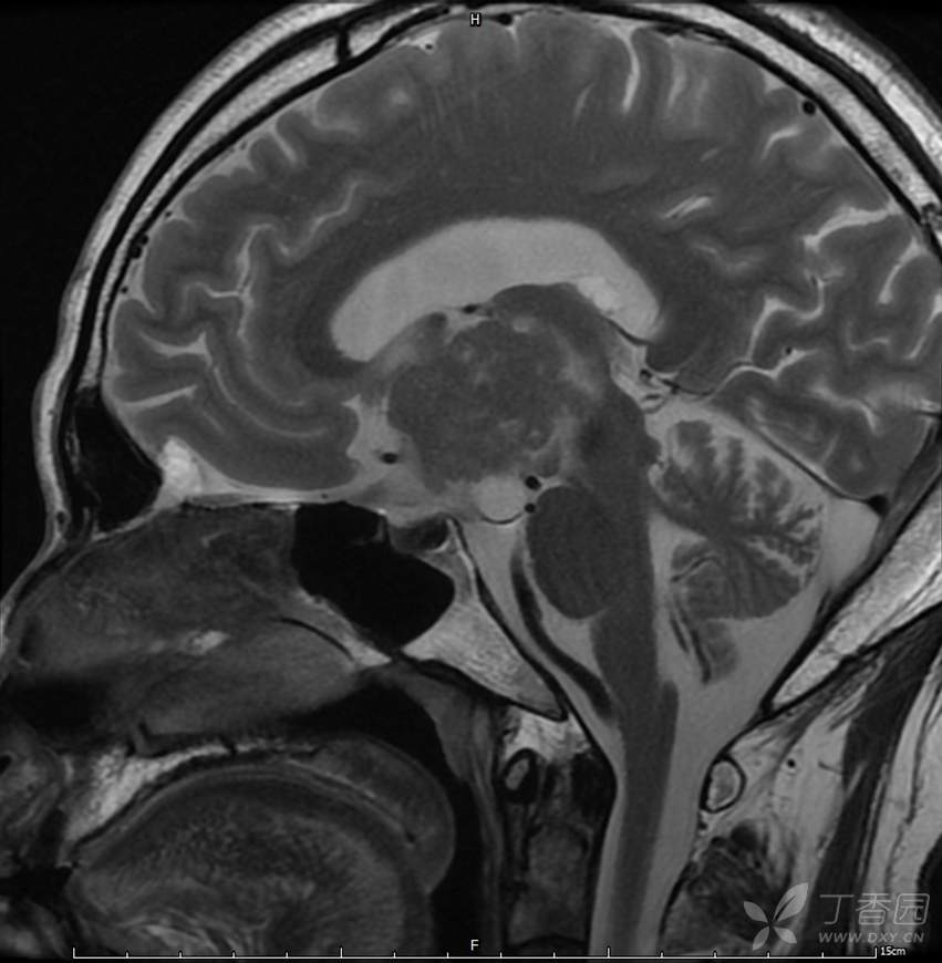
T2WI

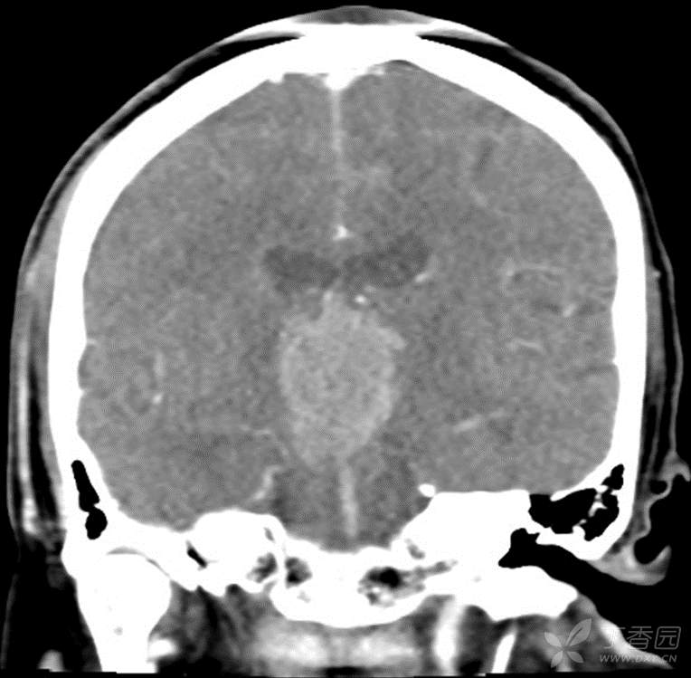
T1WI

增强

主诉:记忆力下降、乏力5月余,多尿3月余。
现病史:患者5月余前无明显诱因自感乏力,精神差,记忆力下降,未予重视;后出现多尿,表现为夜尿次数明显增多。起病以来,小便如前,大便正常,精神偏差,近期体重无明显变化。
既往史:2型糖尿病。
图像不多,能诊断正确吗?有特征性吗?



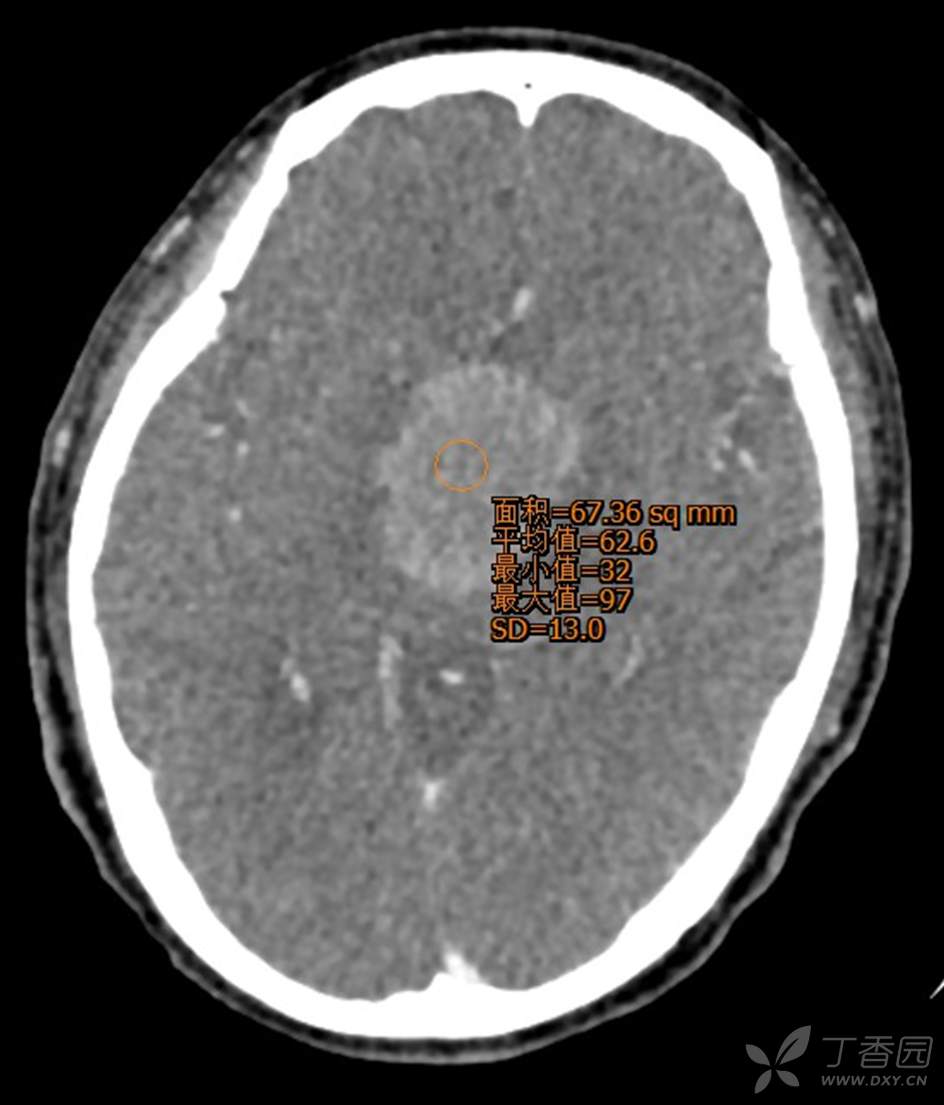
增强



T2WI

T1WI

增强

