【腹盆】特别精彩病例|发现肾功能异常5年,乏力、纳差3周
李梦杰huxi 等 4 位达人已点赞病例信息
【患者信息】:男,84岁
【主诉】:发现肾功能异常5年,乏力、纳差3周
【现病史及既往史】:患者5年前在当地诊断为慢性肾病。3周前患者无明显诱因下出现头晕、乏力、食欲减退,2周前患者解黑色糊状便,头晕、乏力加重且出现精神烦躁,于外院就诊行抗休克、输血等。后患者出现高热、感染指标较前升高。现患者要求转至我院进一步治疗。3周来患者无咯血呕血,无胸闷胸痛,无呕吐腹痛,尿量不详,夜眠欠佳
入院后患者解红色稀便80ml,后腹泻逐渐加重,间断血便
【检查】:
实验室检查:红细胞 2.79↓10^12/L;血红蛋白 85↓g/L大便隐血试验 阳性
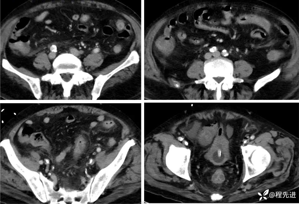
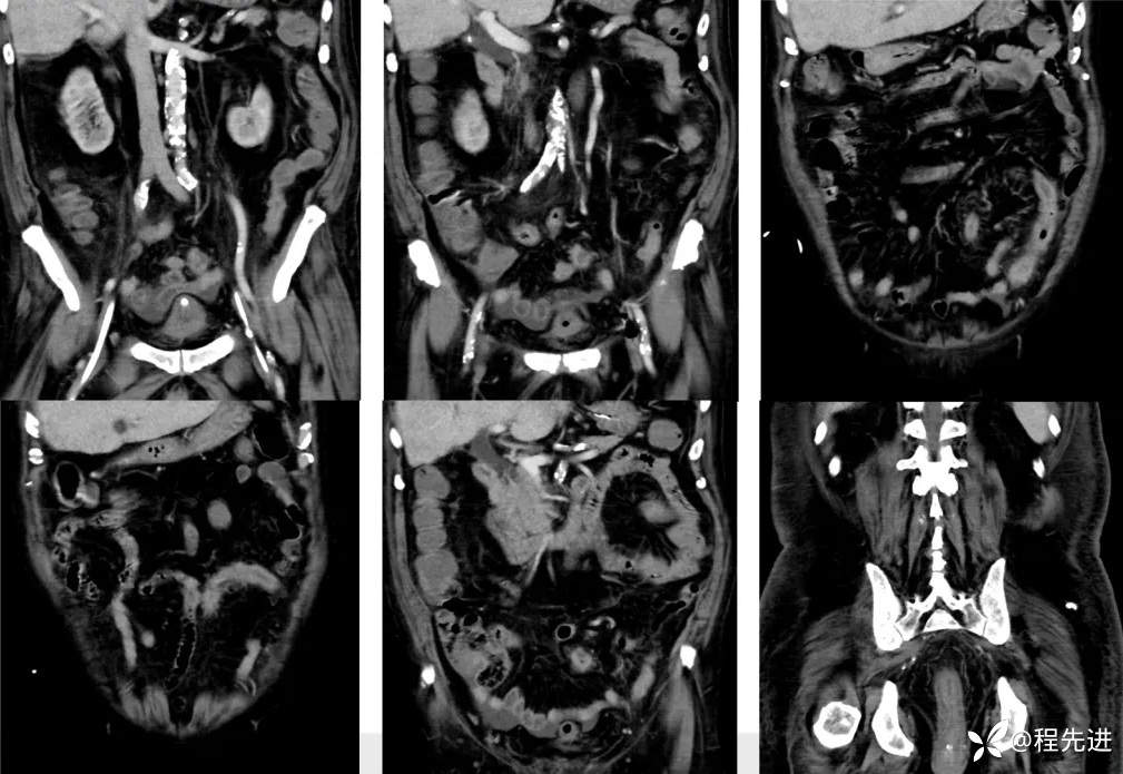
影像检查:


肠镜:
















































