dxy logo
首页丁香园病例库全部版块
搜索
登录

病例2月特别精彩病例|反复咳嗽、咳痰20余年,加重1周,感染影像【结果已公布】

影像核医学版版主 · 最后编辑于 2023-02-21 · IP 江西江西
2273 浏览
icon李梦杰huxi 达人已点赞
这个帖子发布于 2 年零 236 天前,其中的信息可能已发生改变或有所发展。

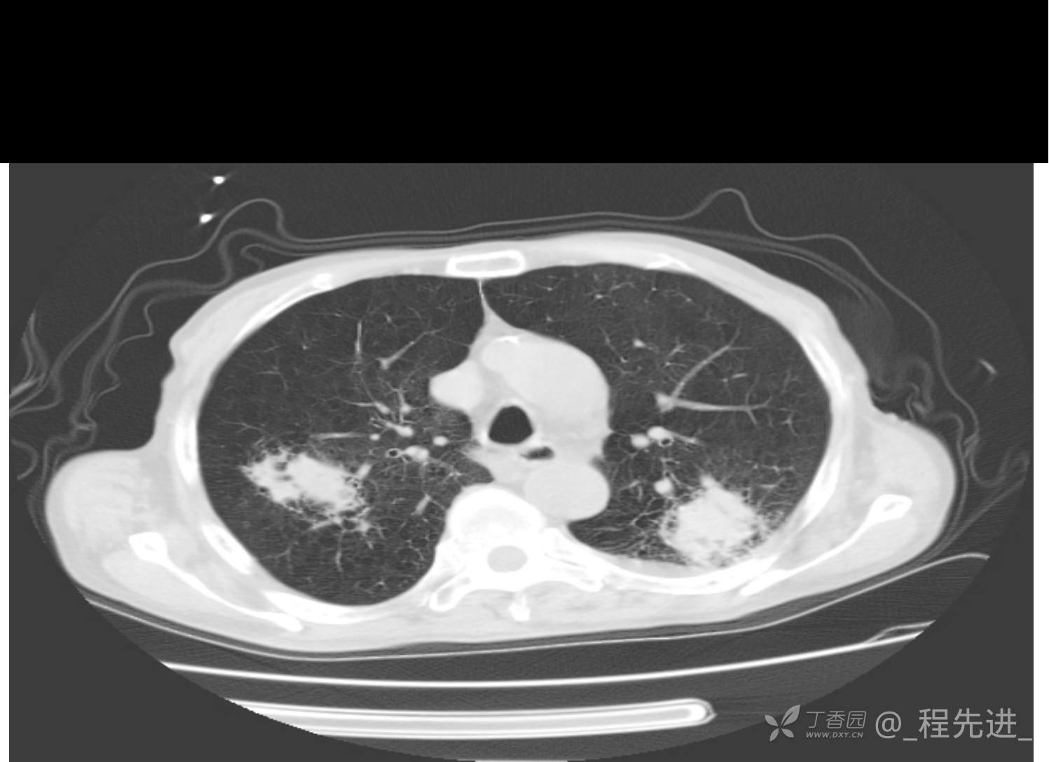
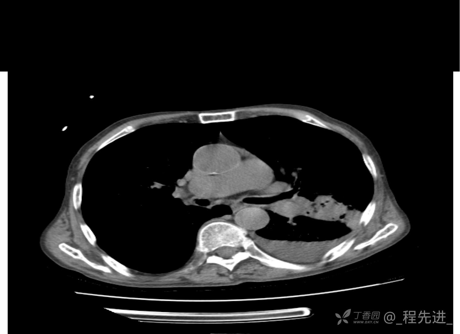
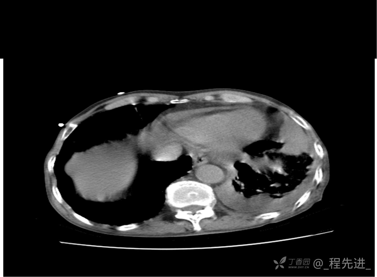
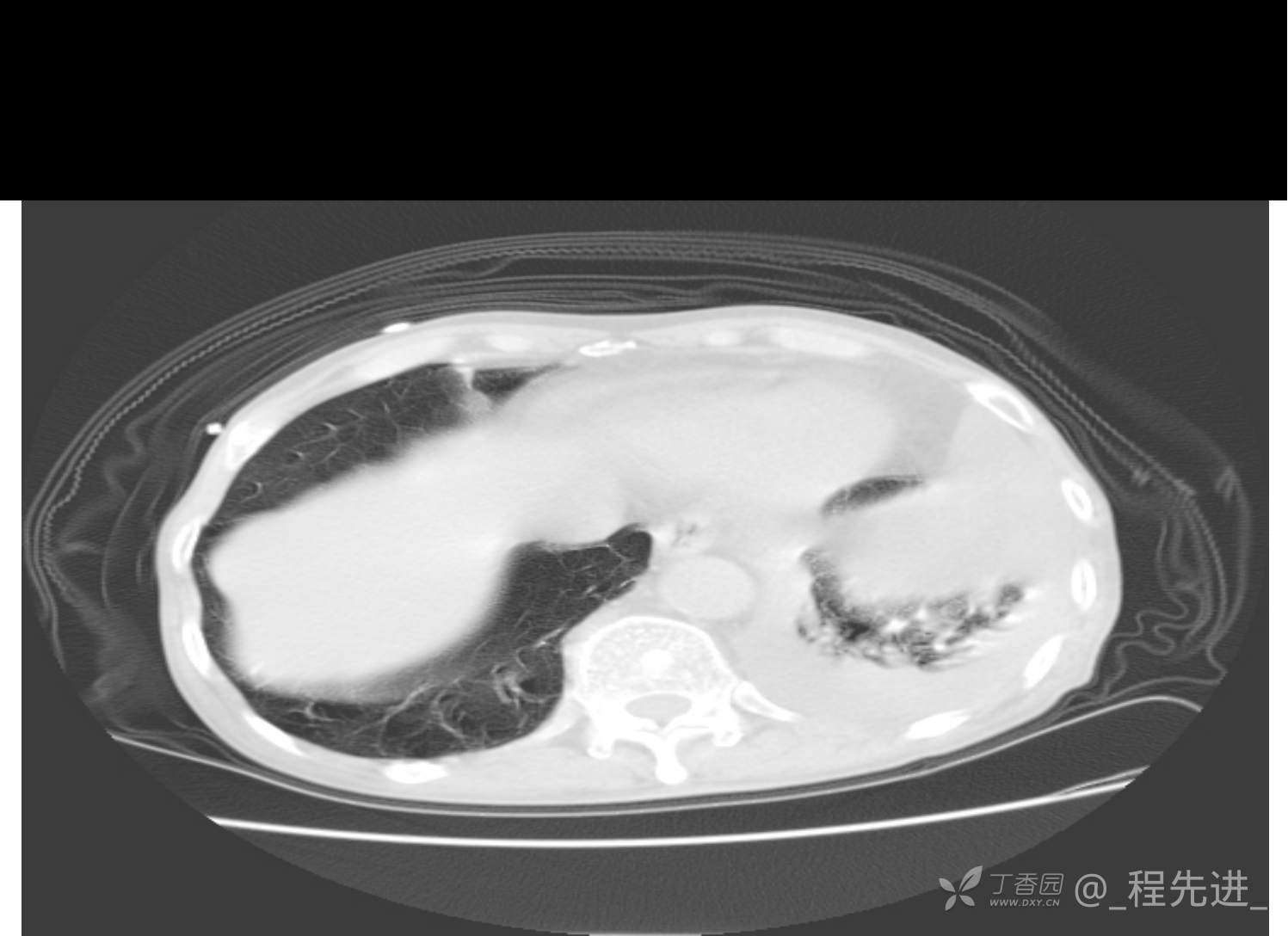
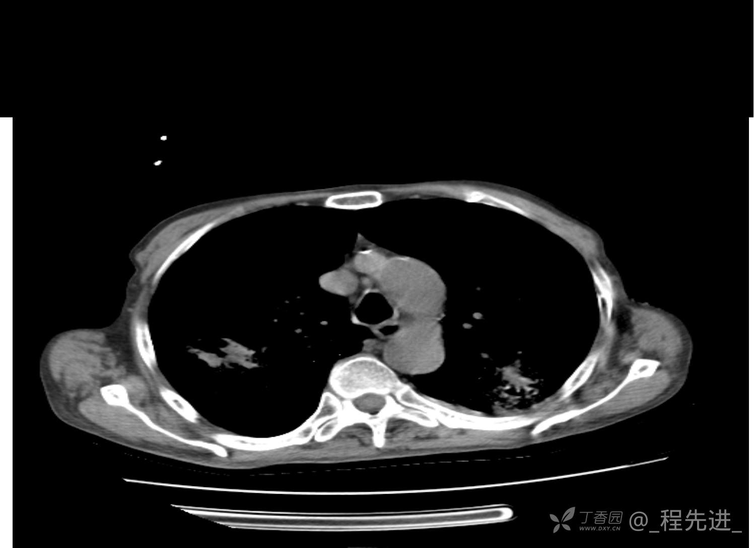
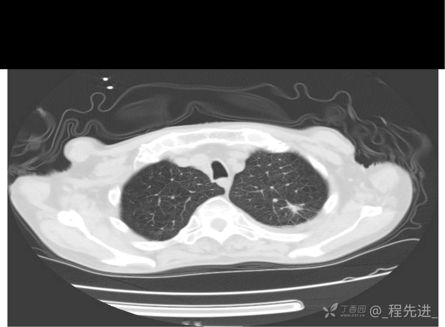
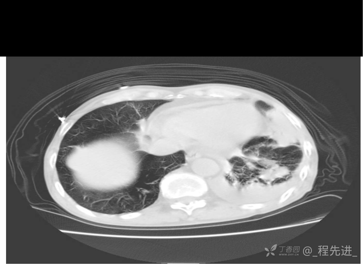
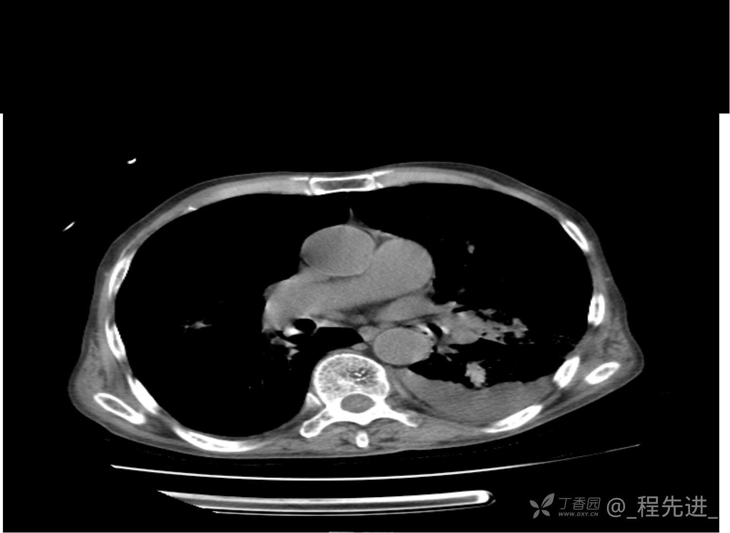
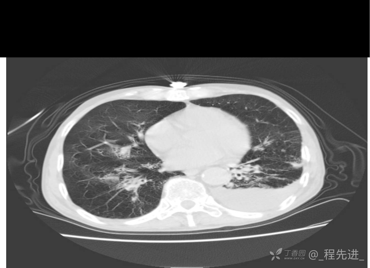
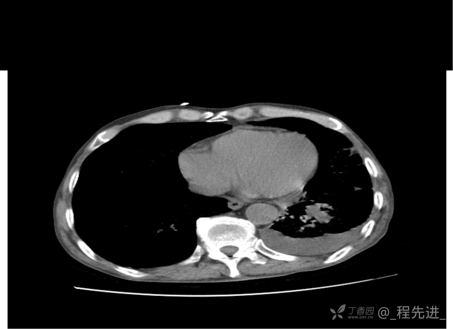
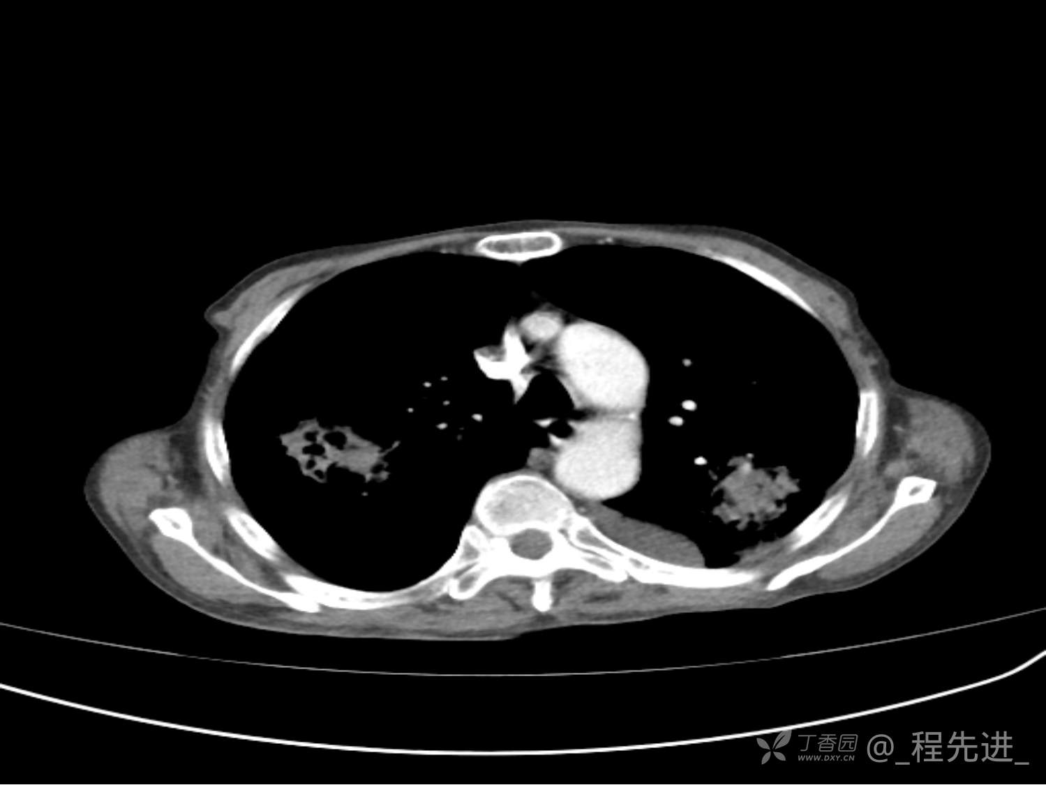
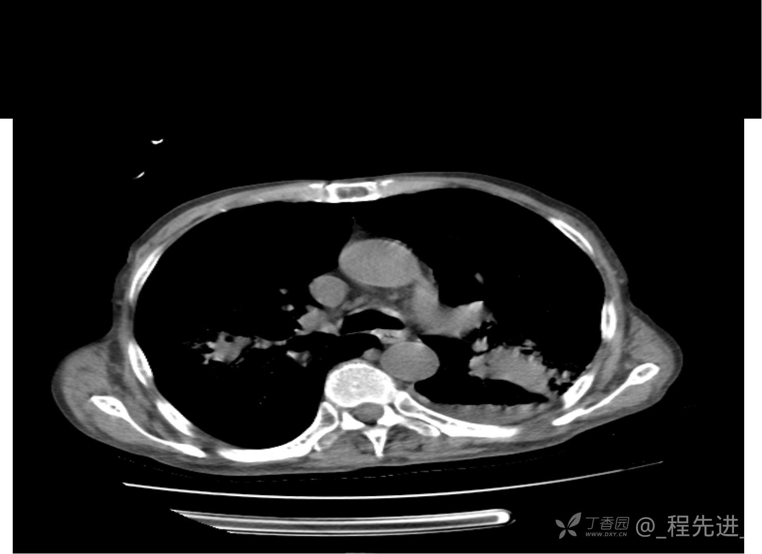
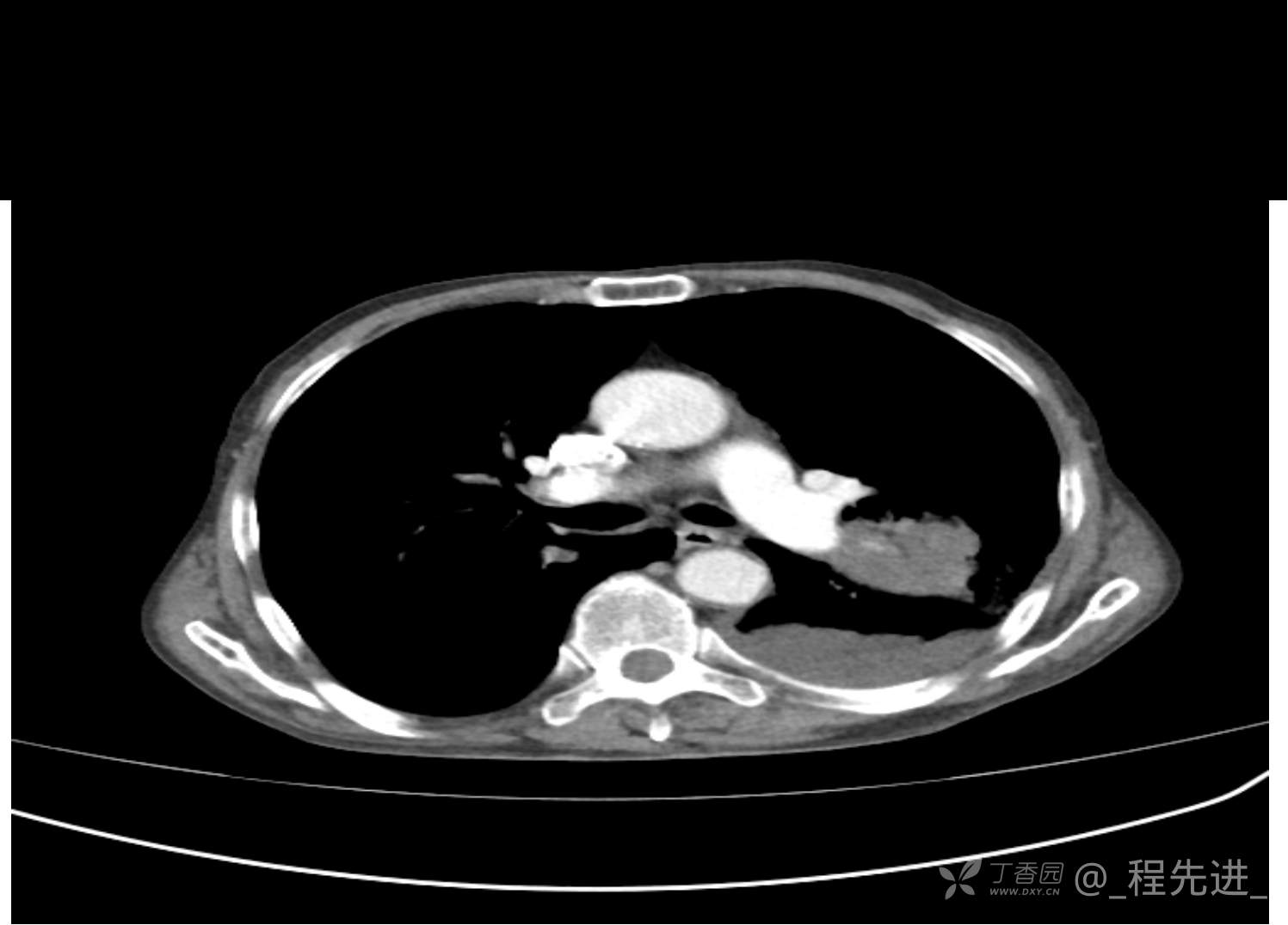
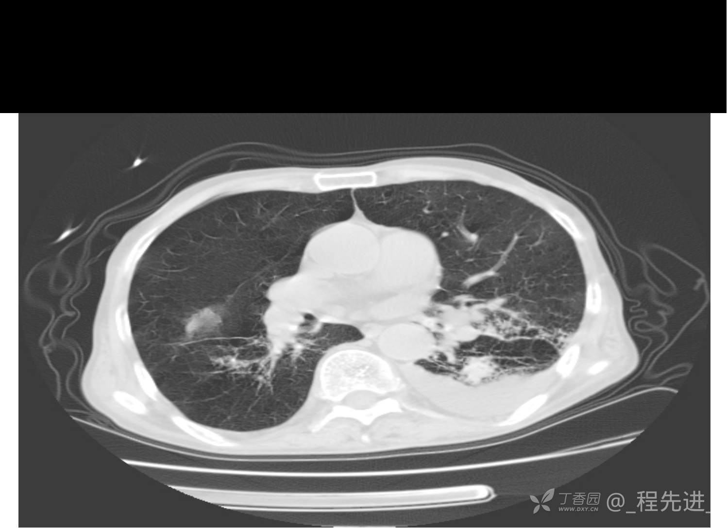
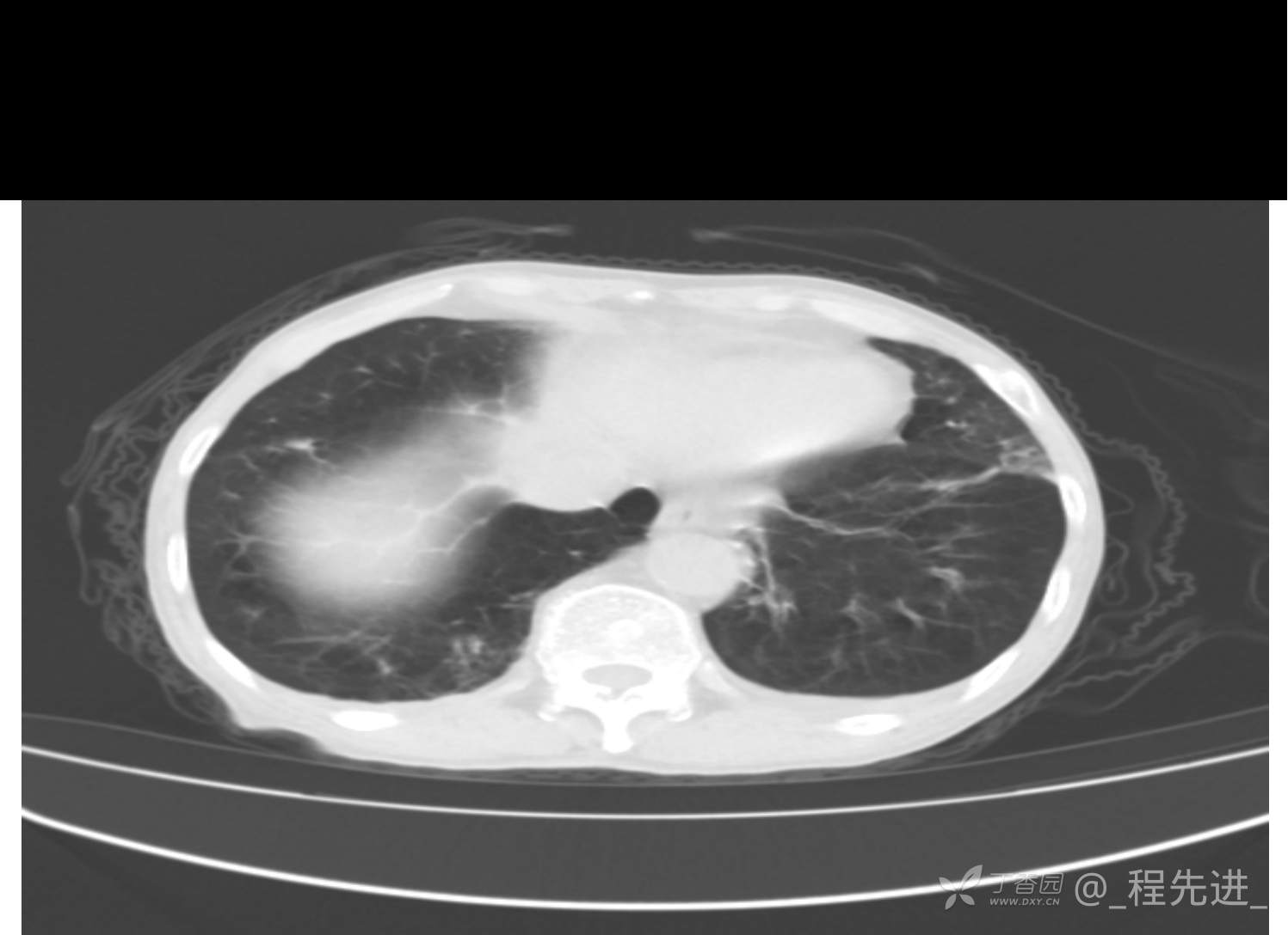
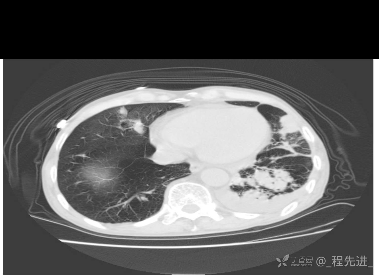
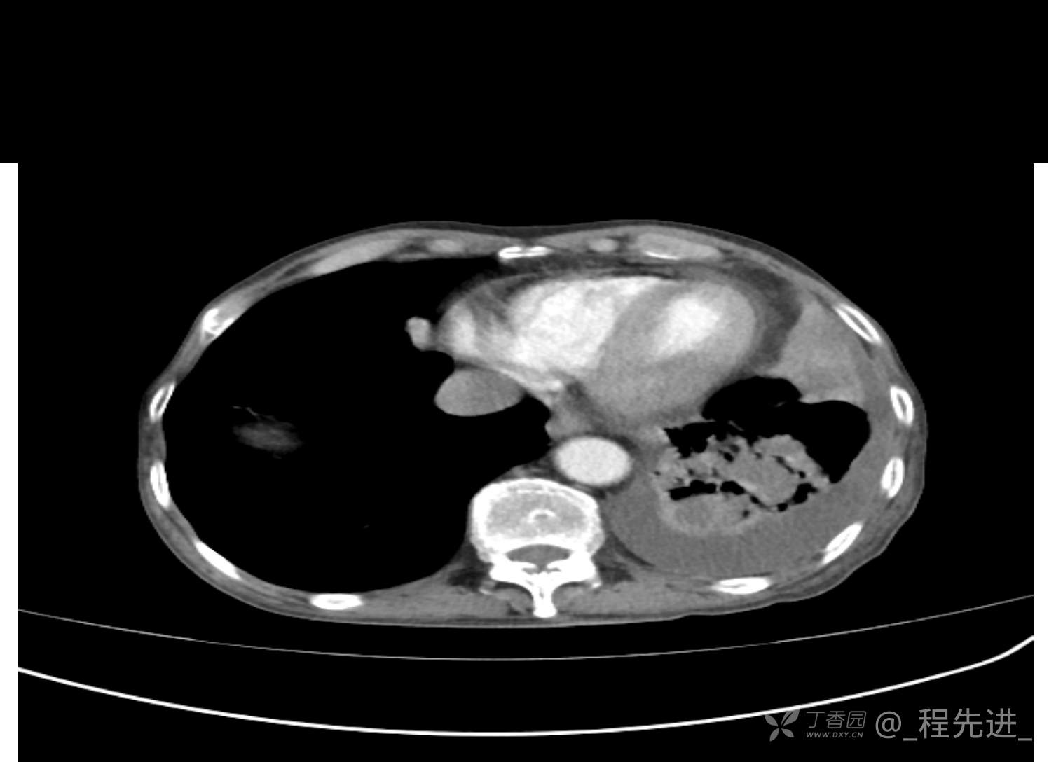
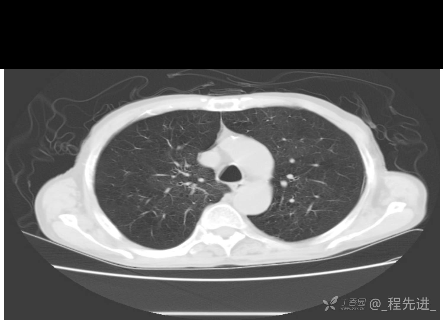
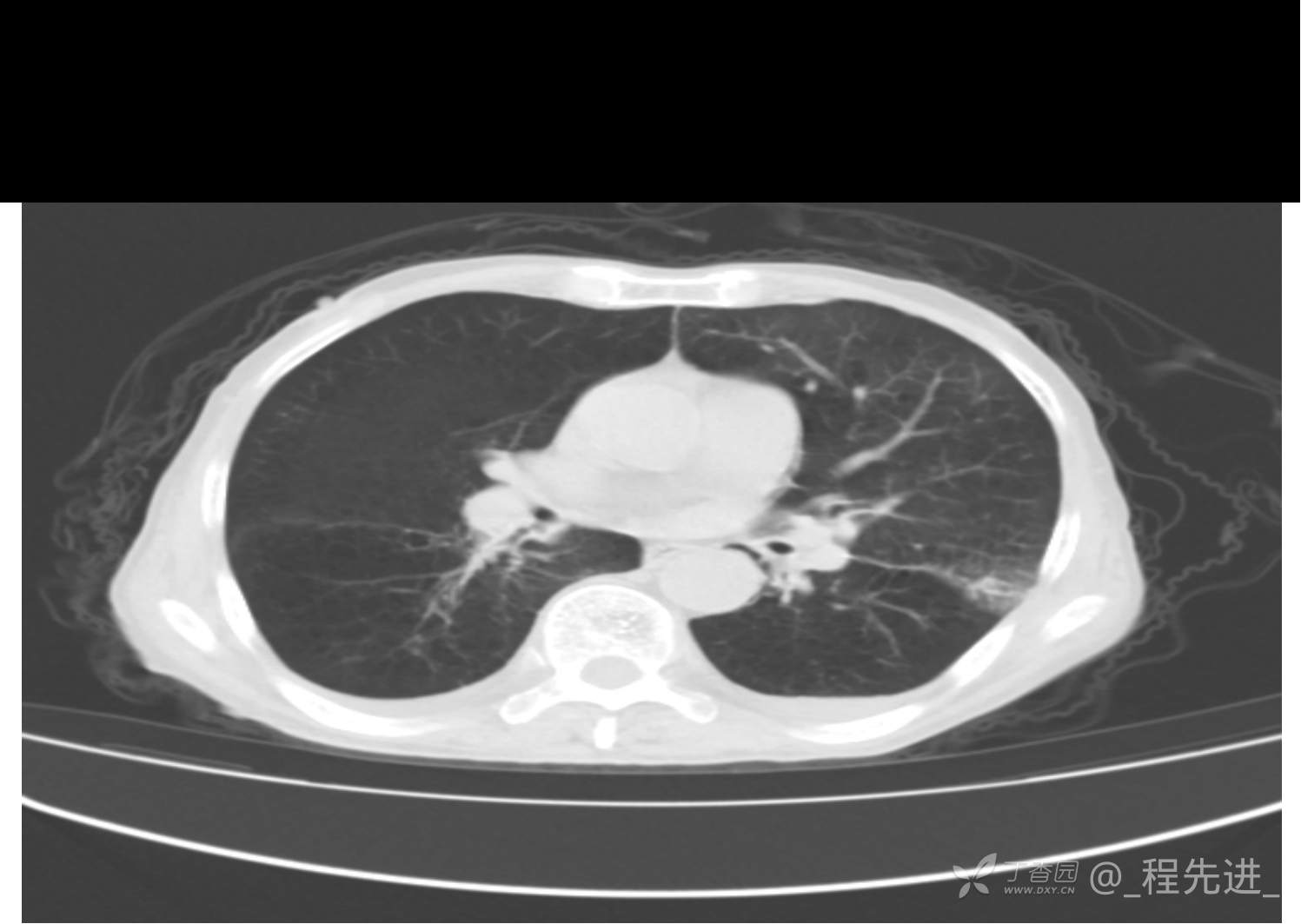
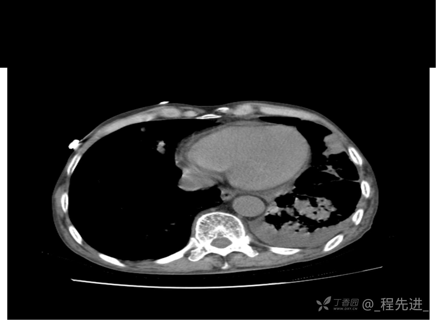
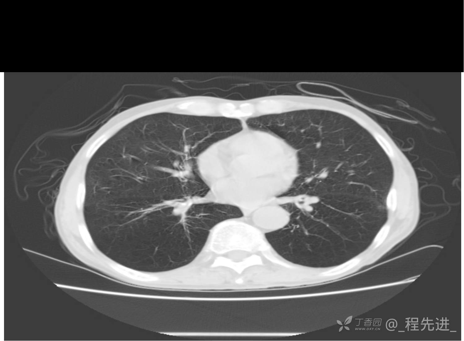
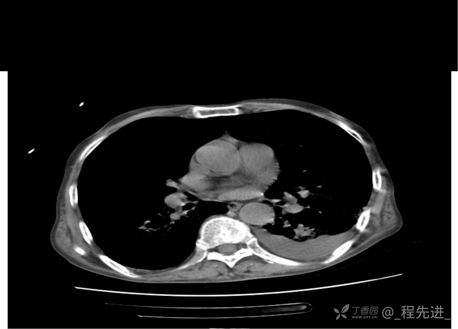
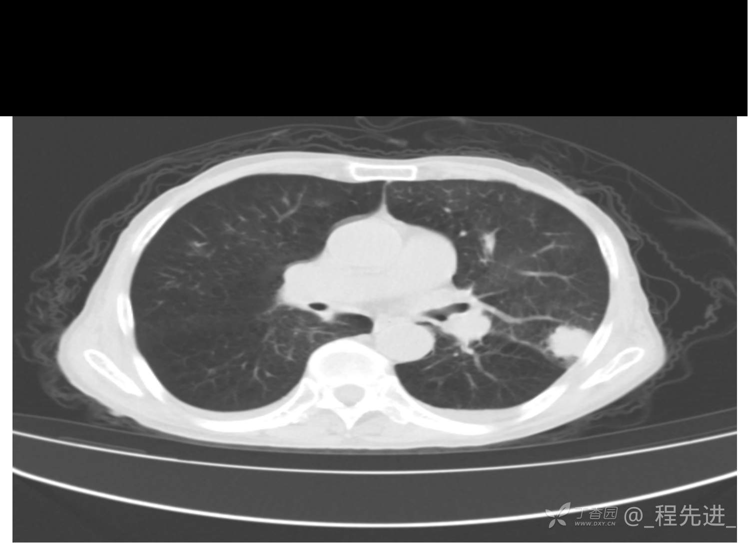
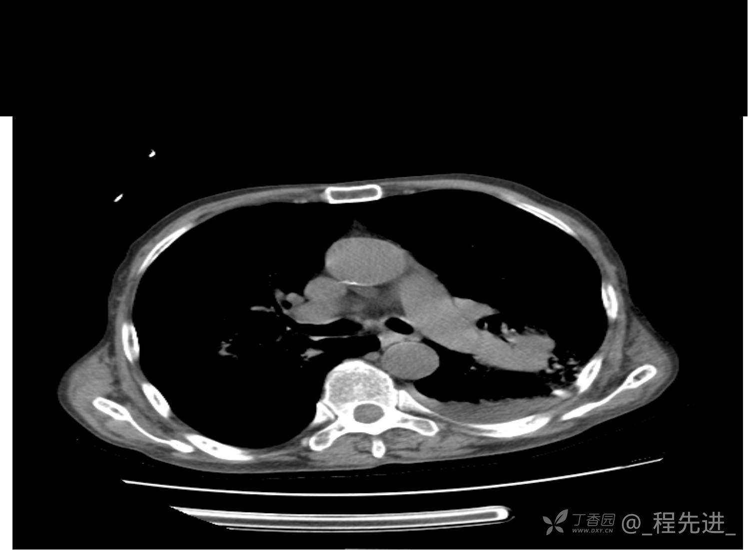
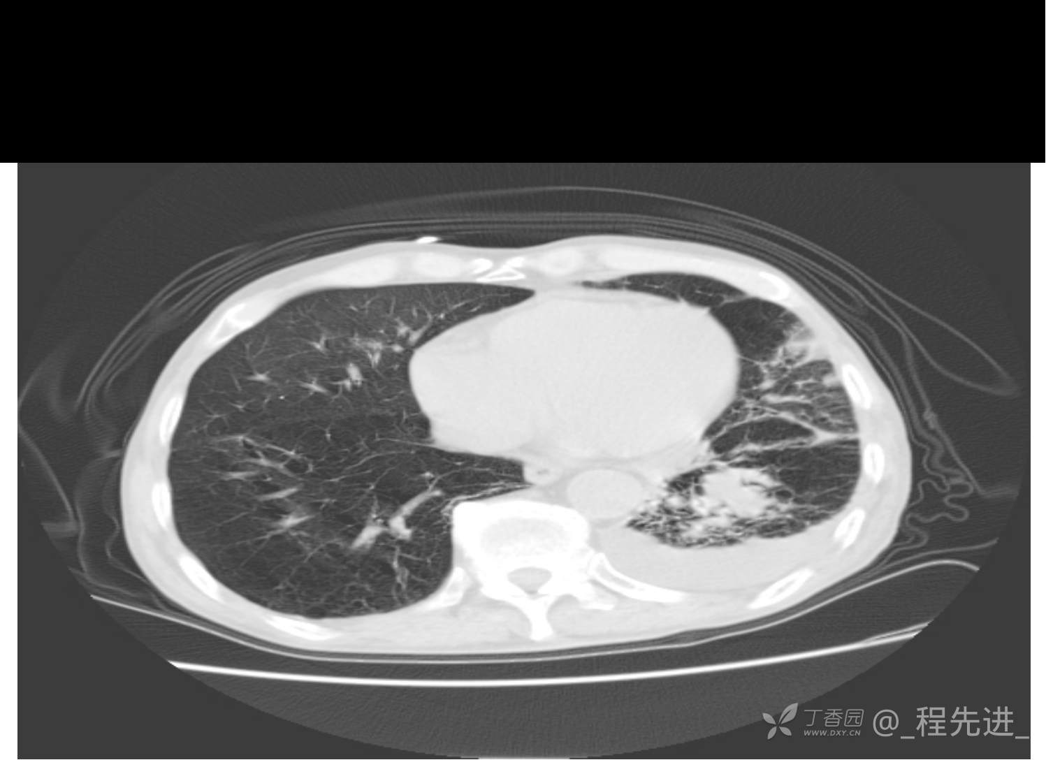
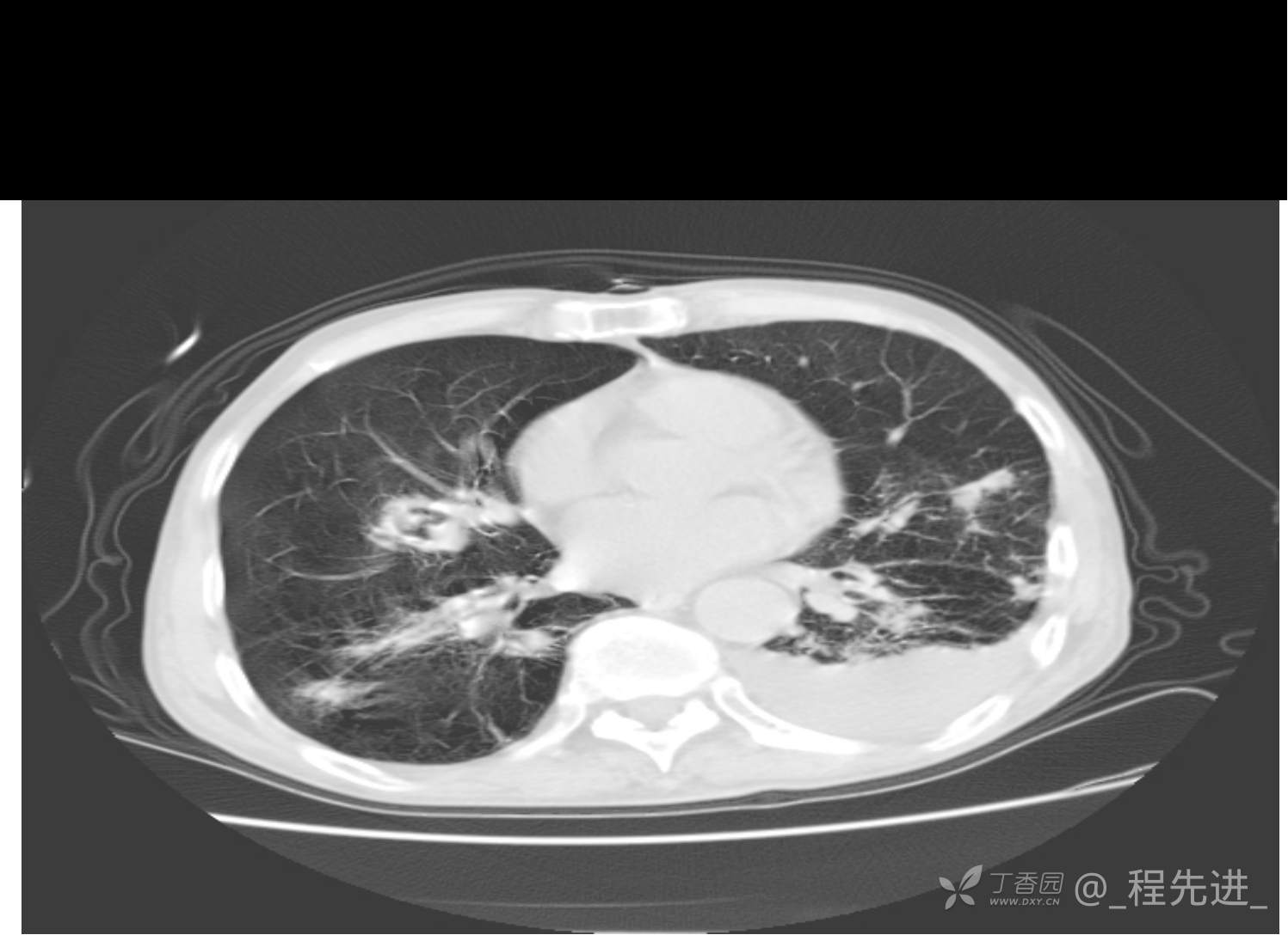
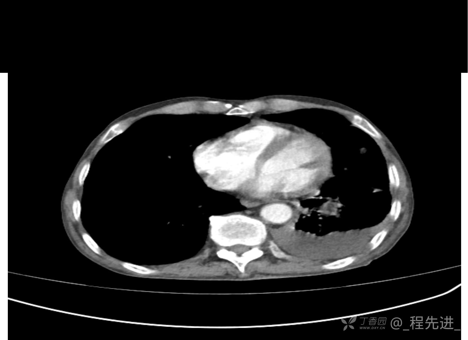
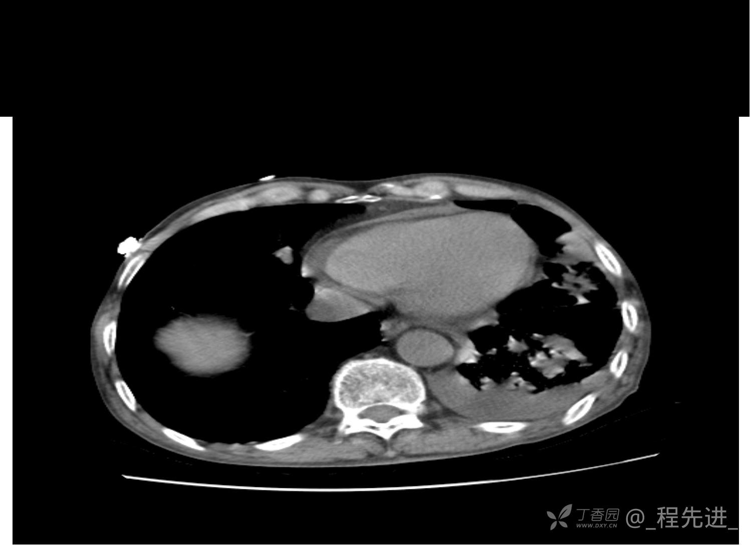
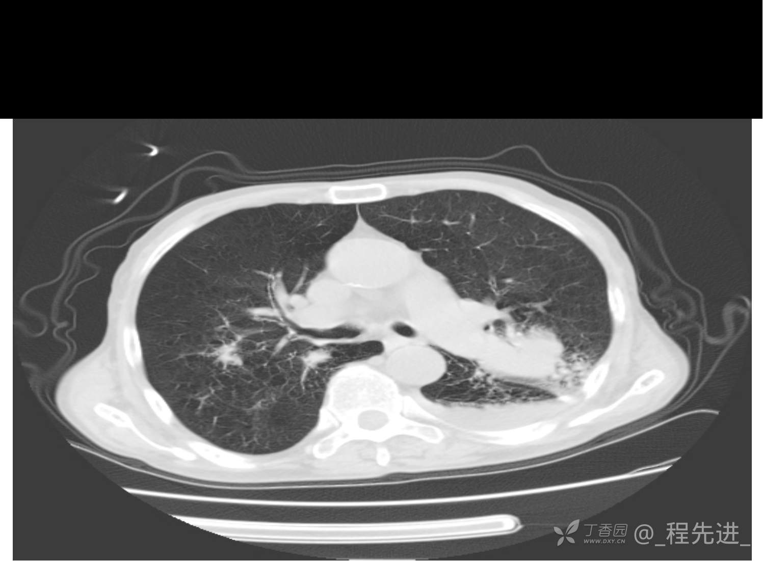
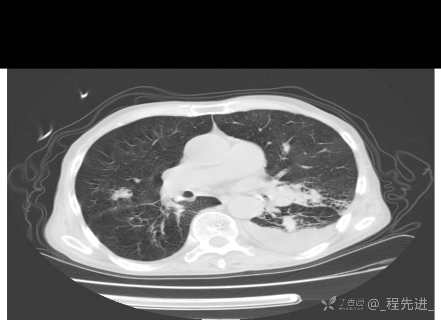
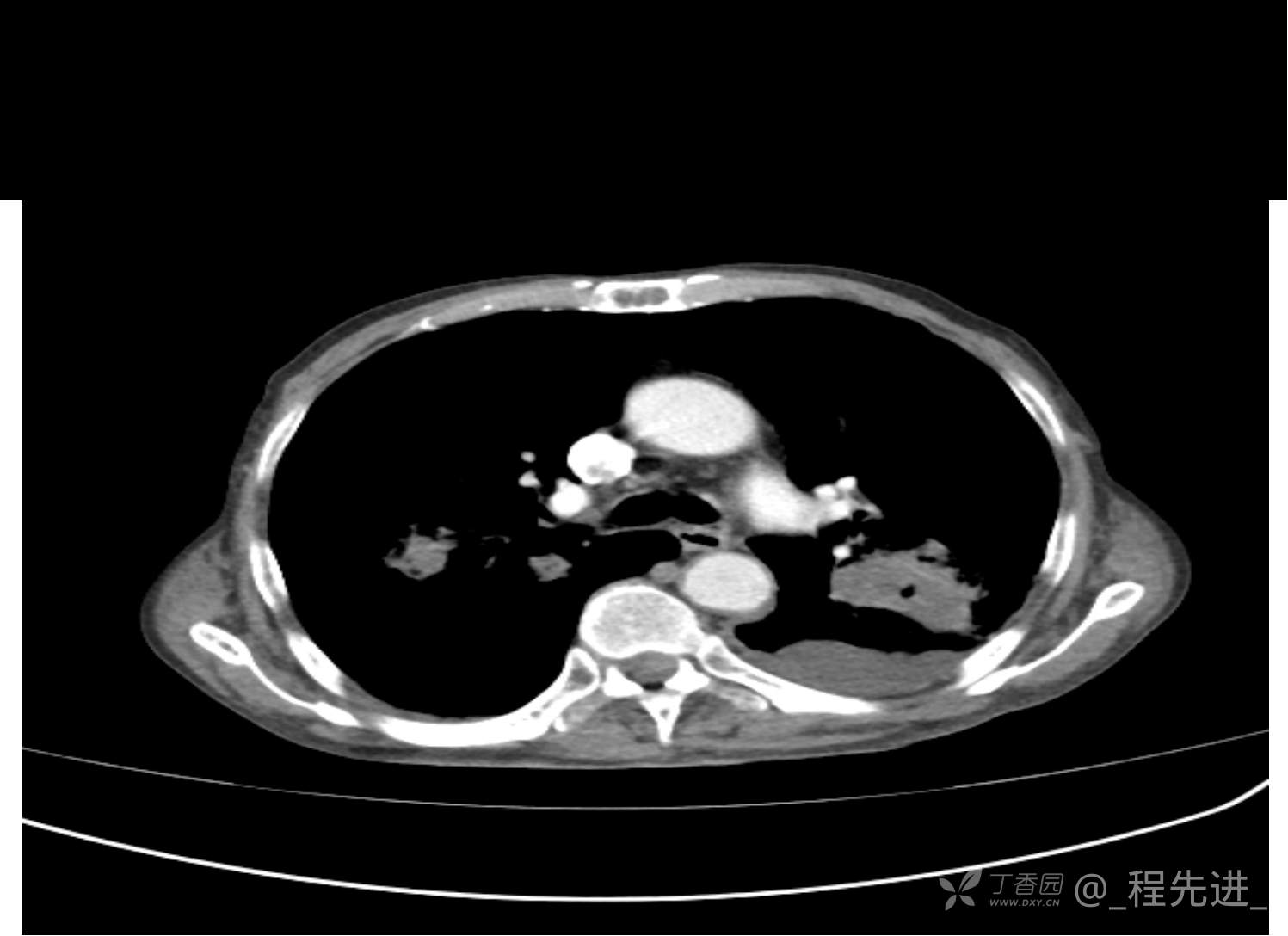
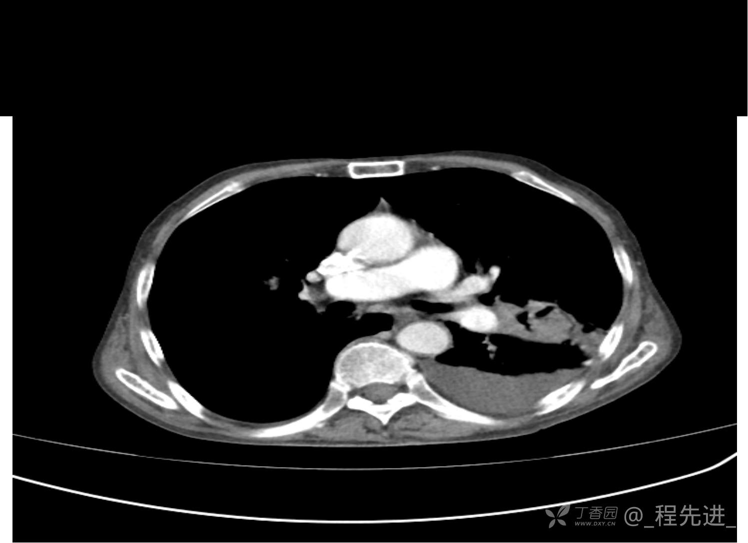
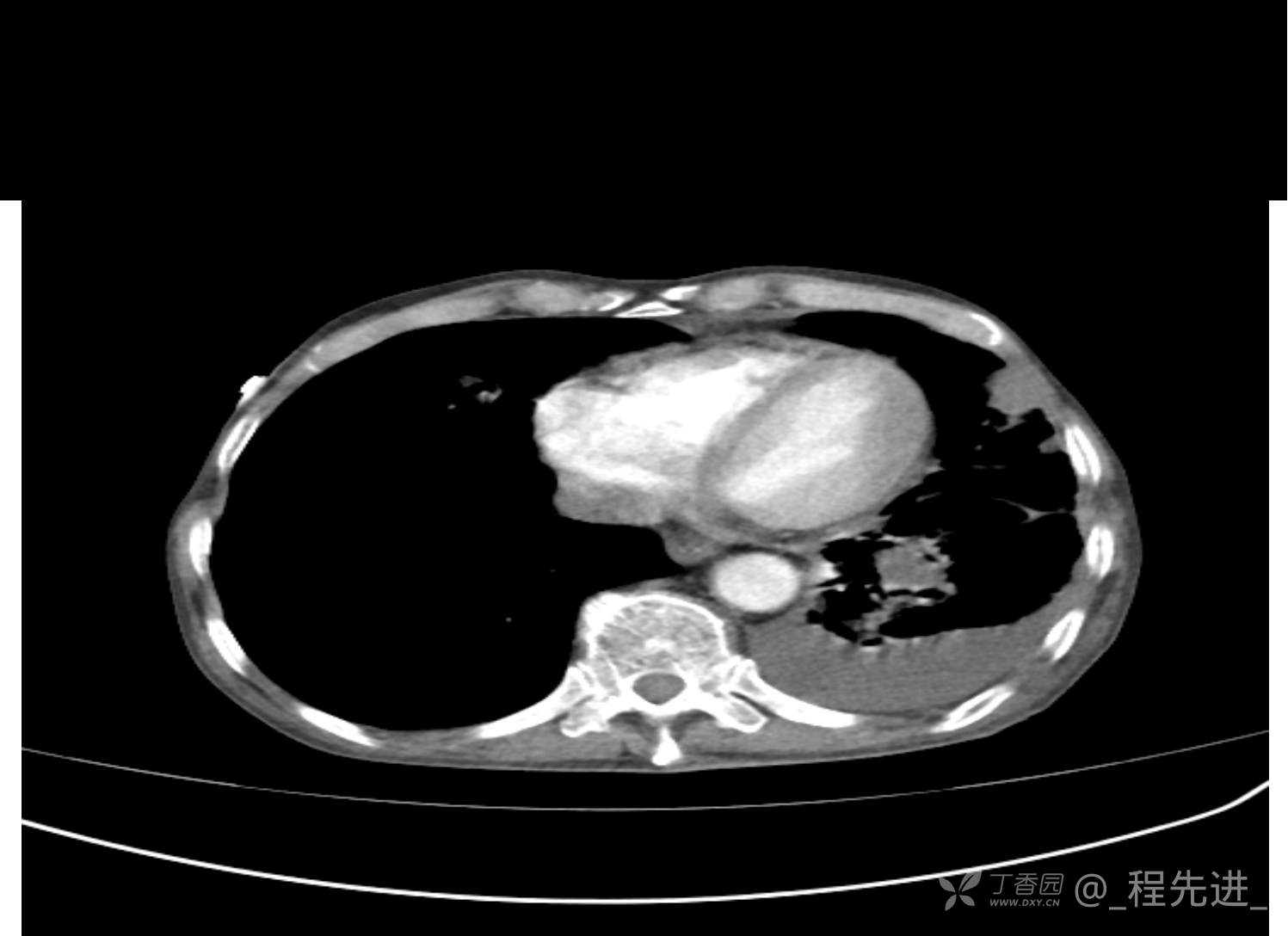
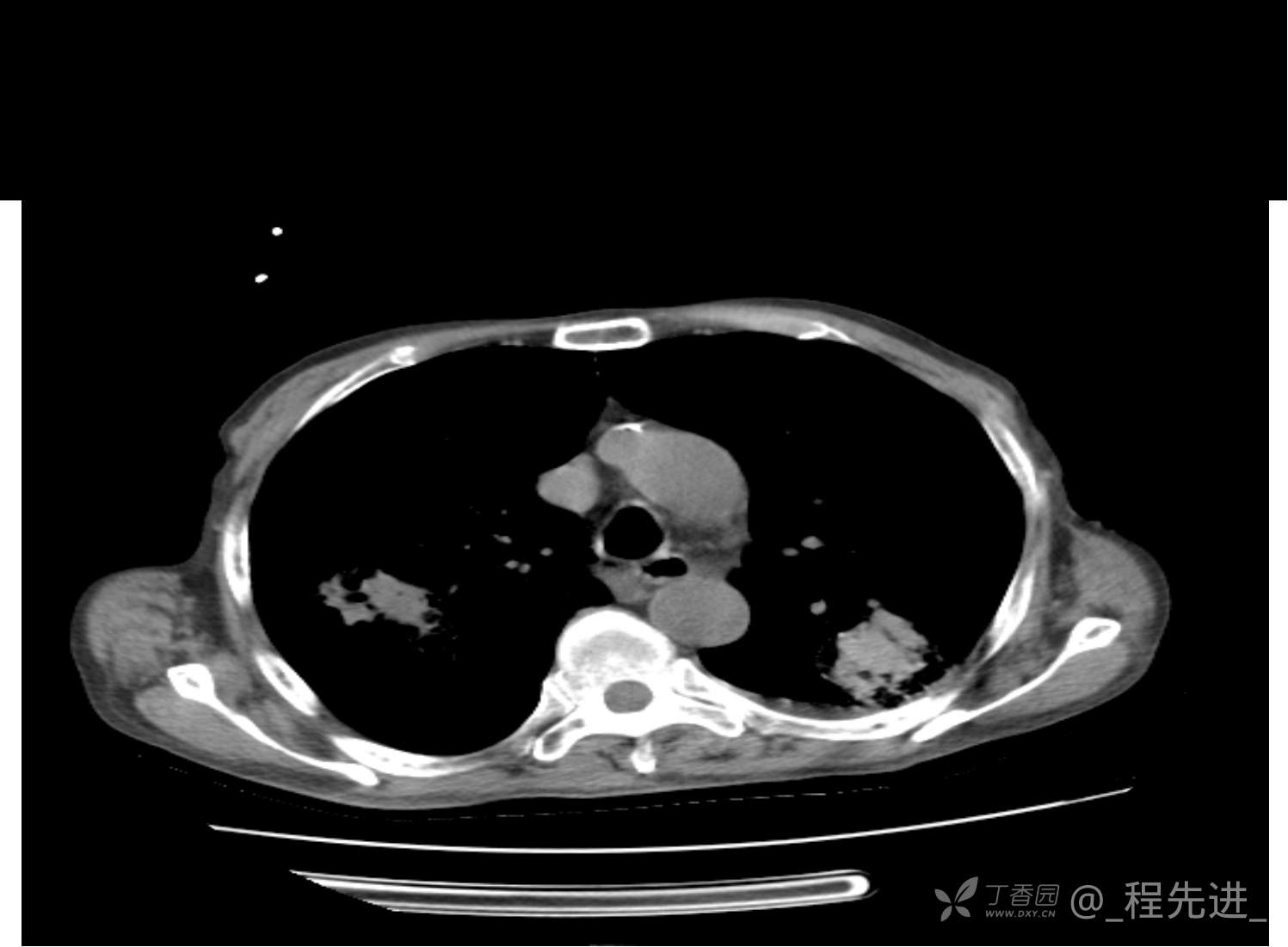
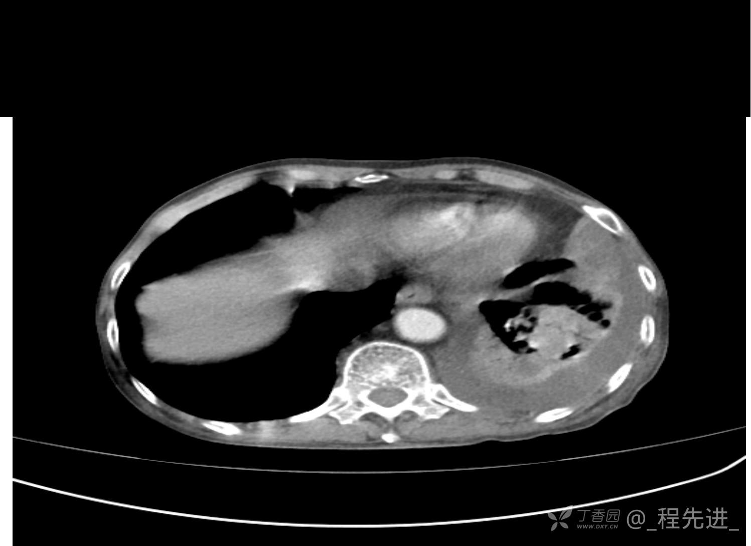
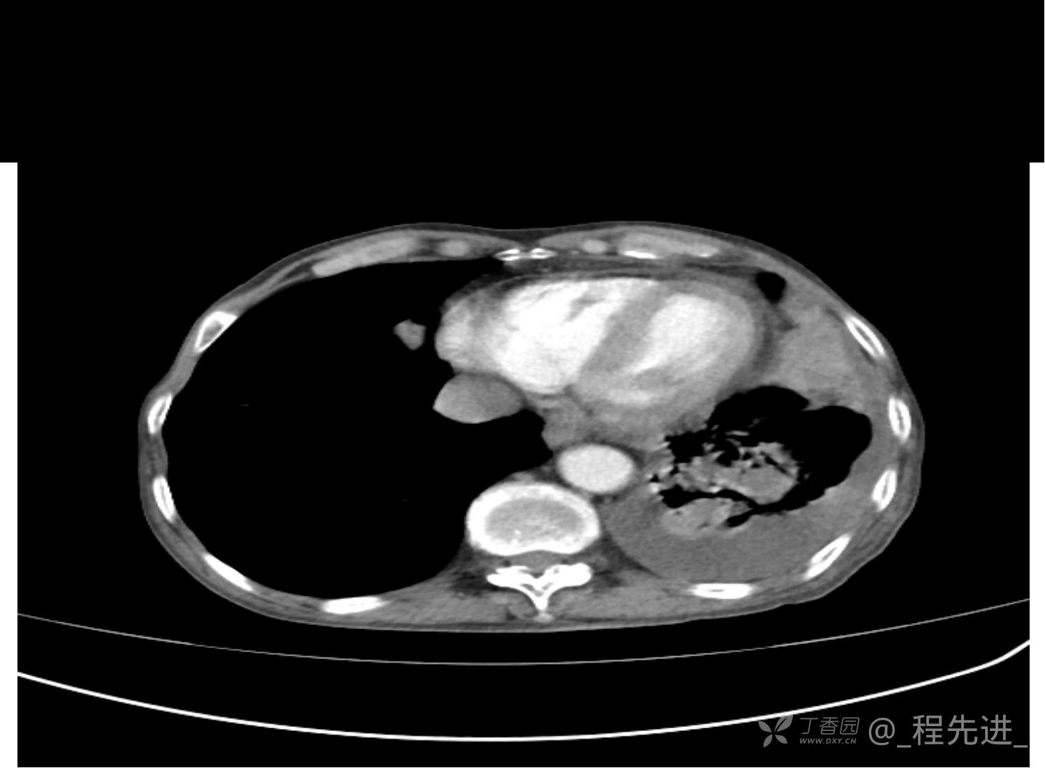
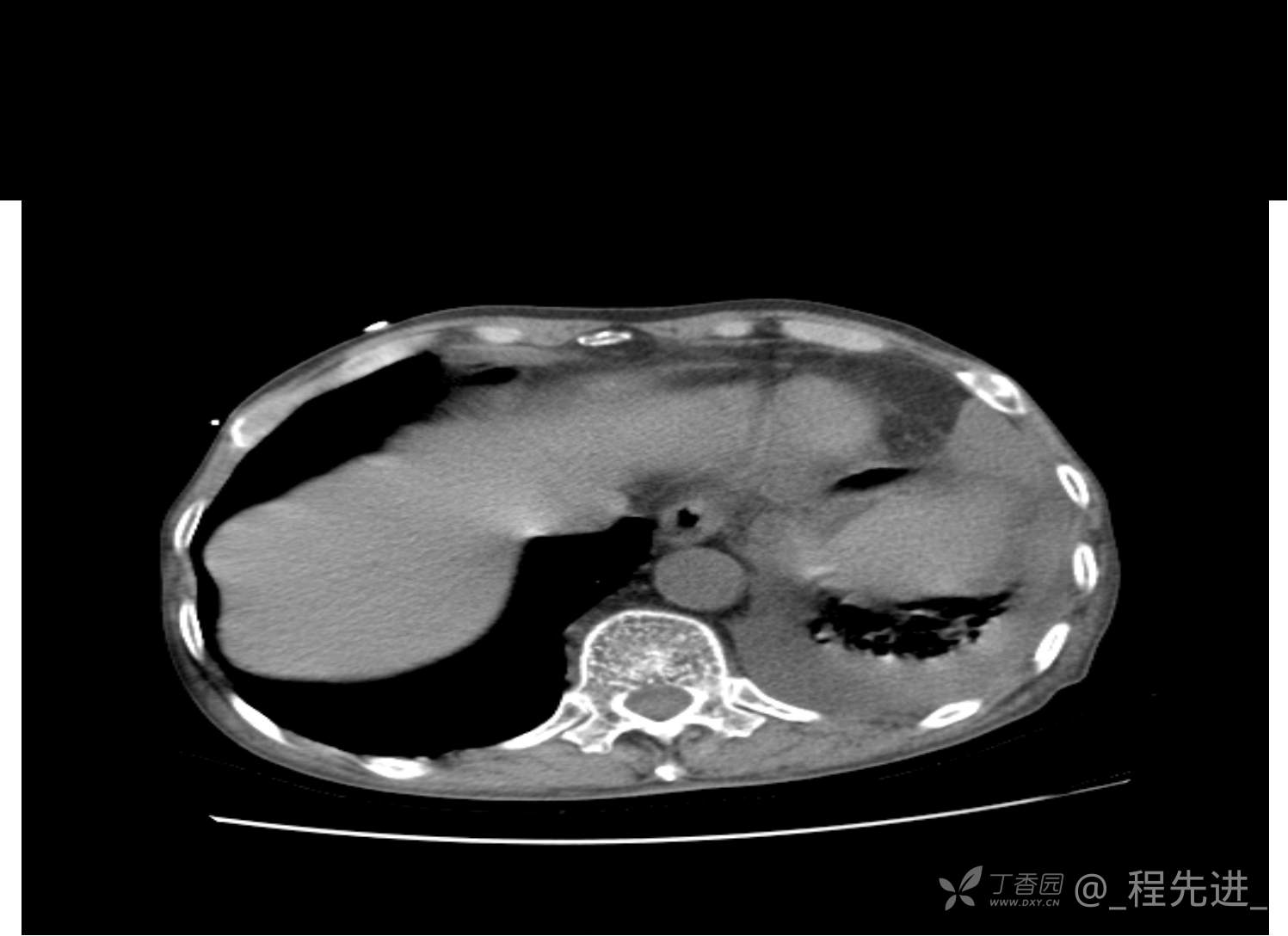
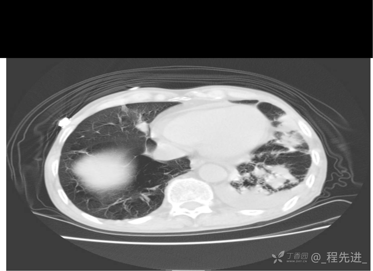
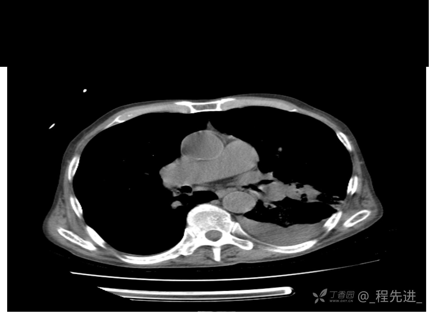
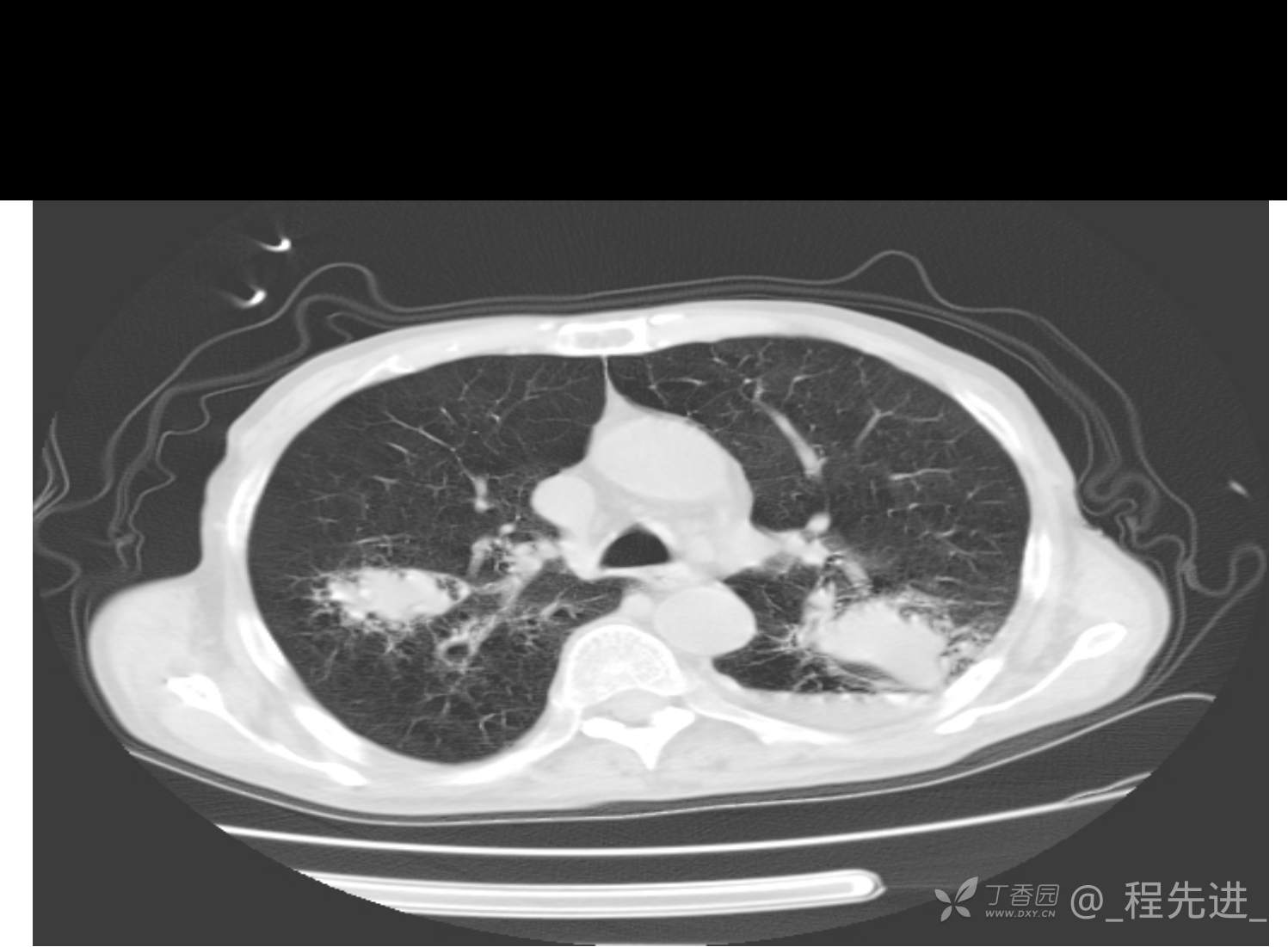
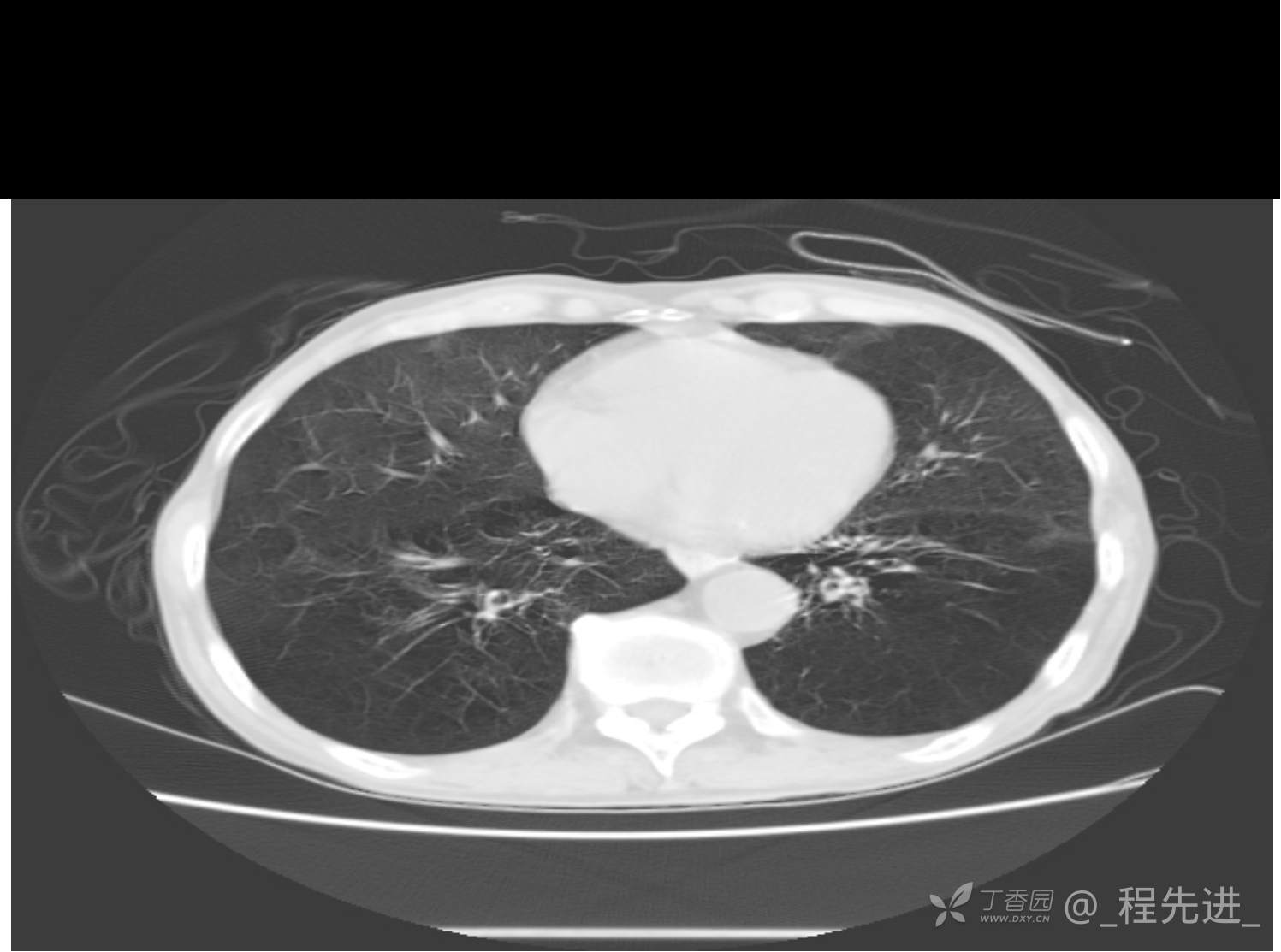
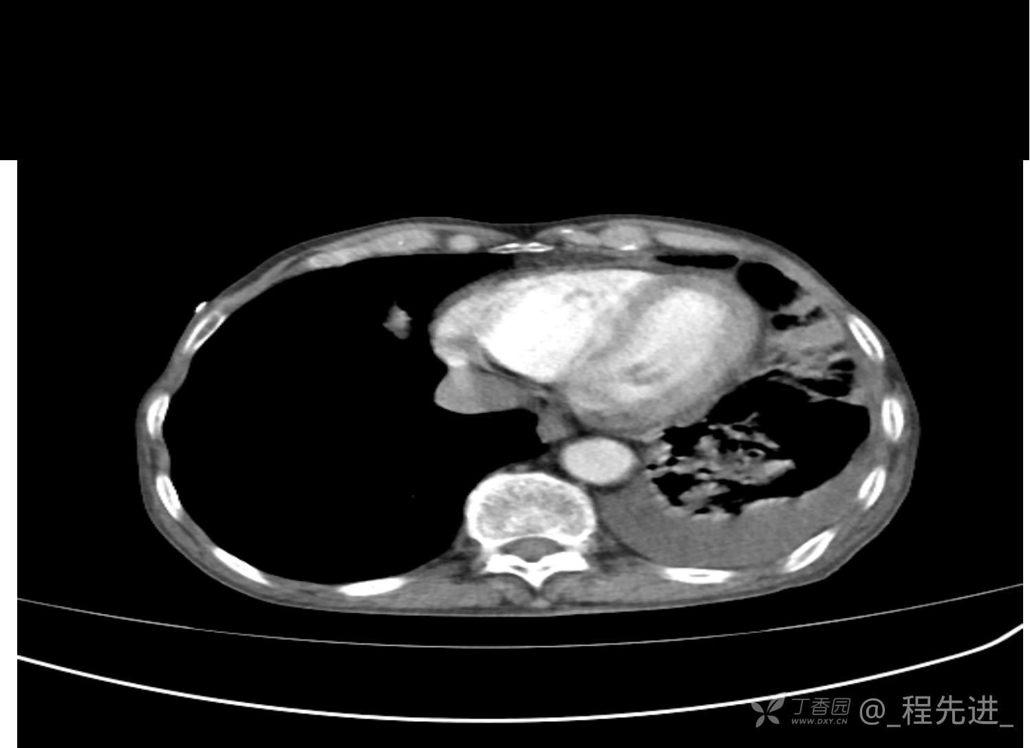
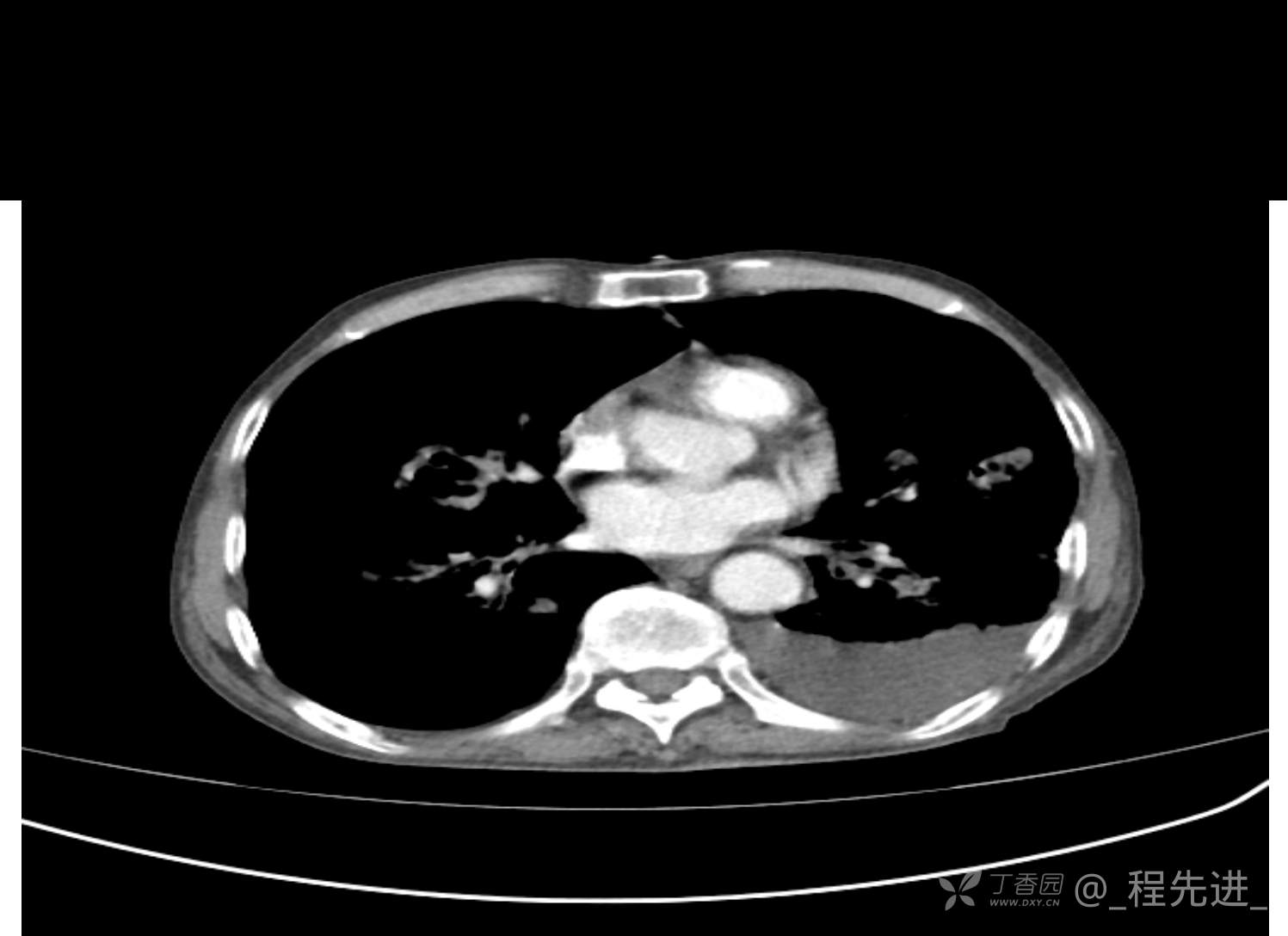
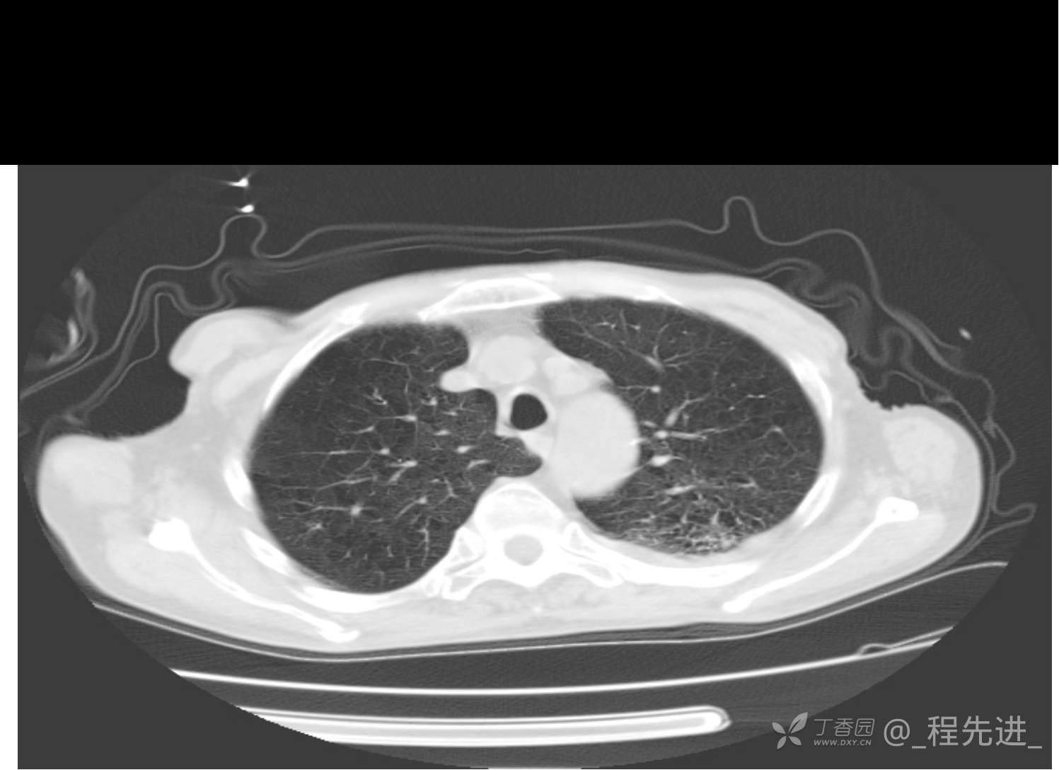
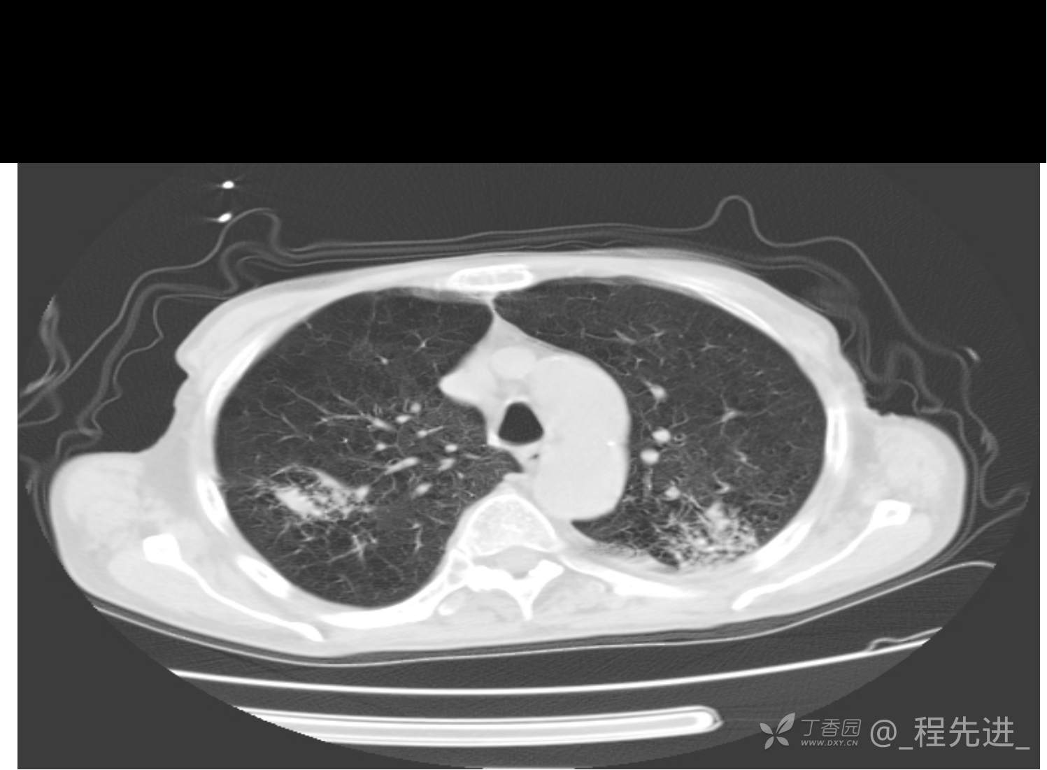
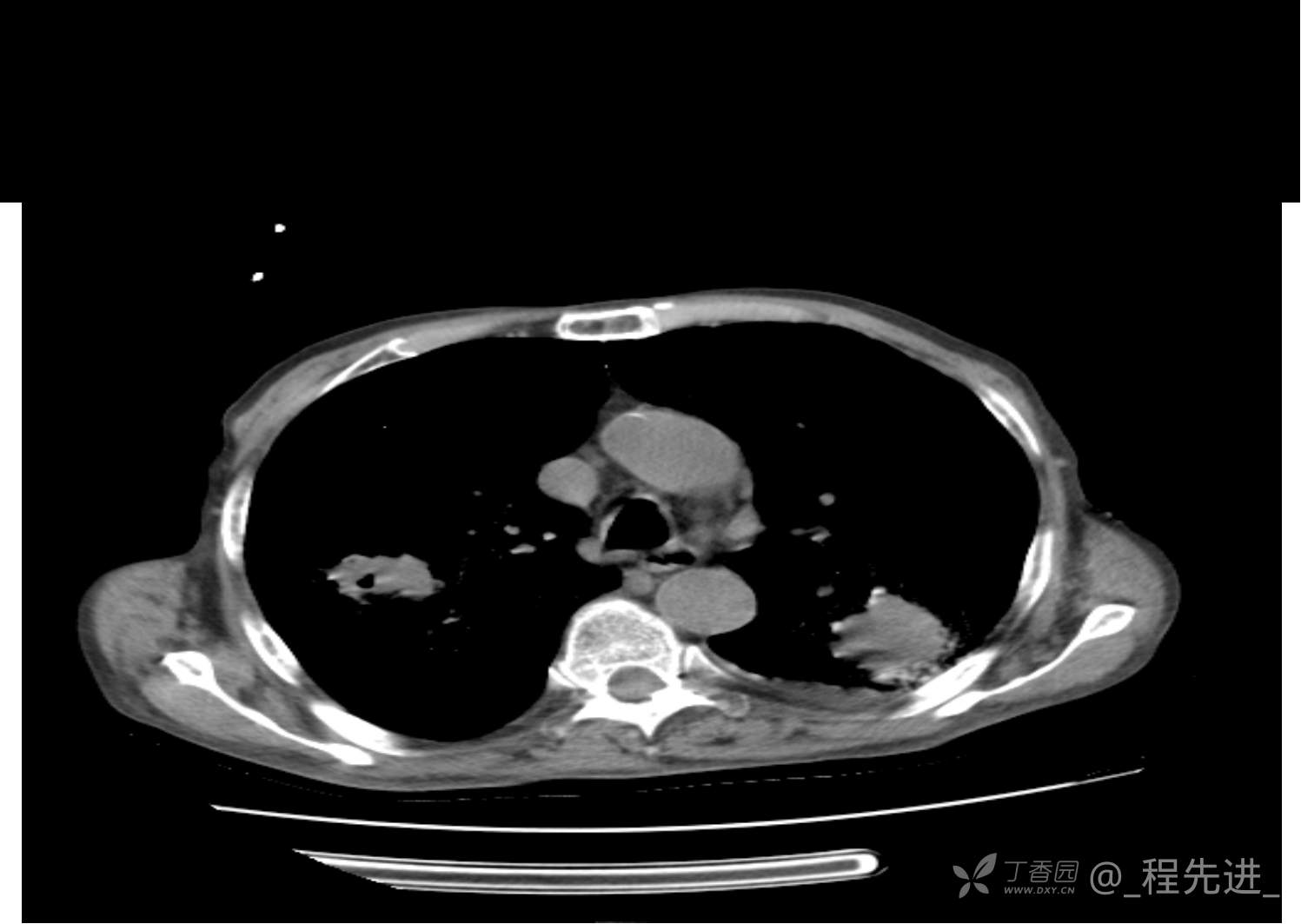
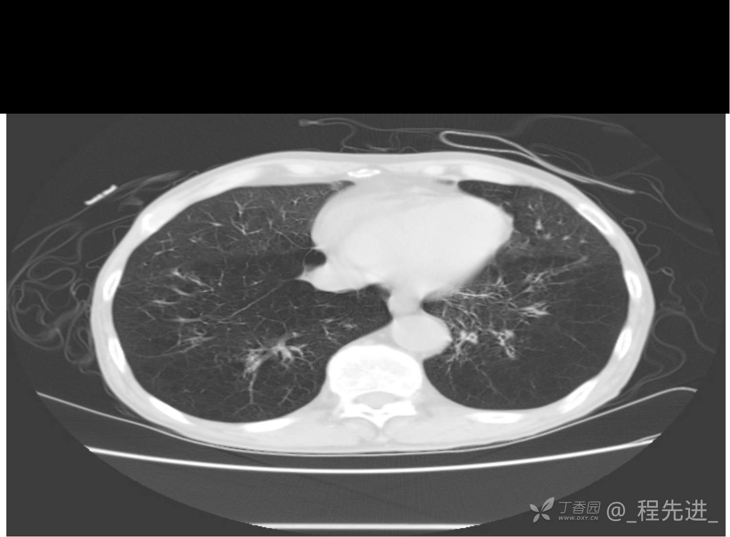
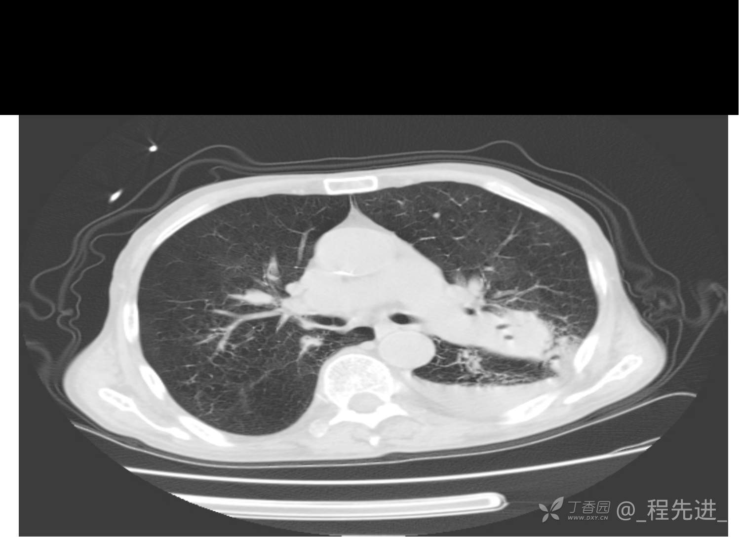
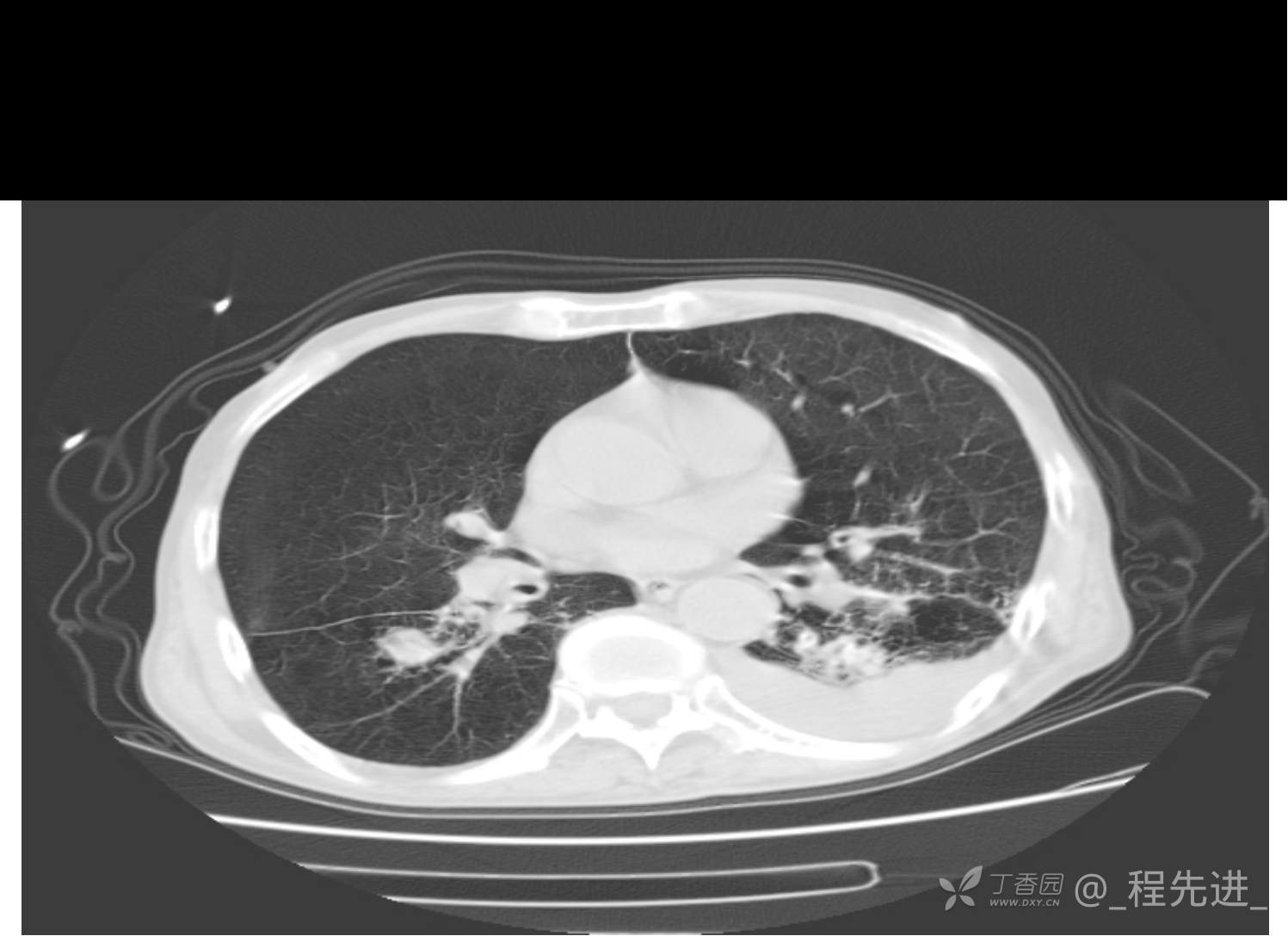
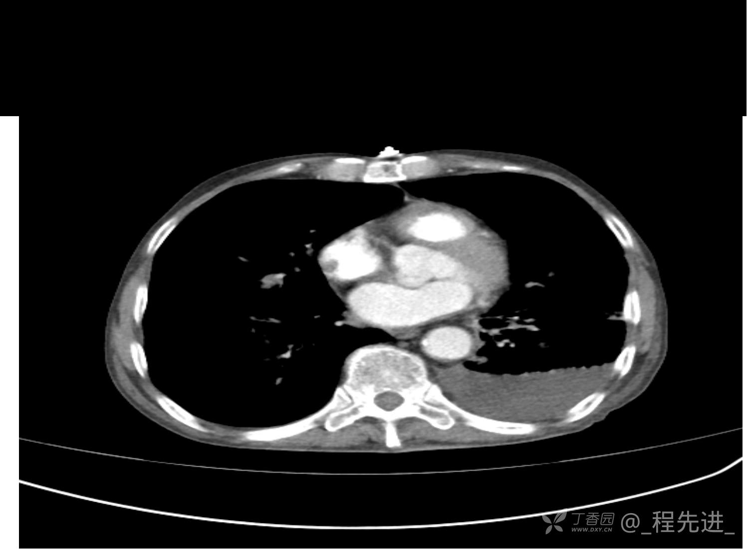
患者性别:男

患者年龄:81岁

简要病史:反复咳嗽、咳痰20余年,加重1周。两肺呼吸音低,可闻及散在干湿啰音。


img
img
img
img
img
img
img


img
img
img
img
img
img
img
img

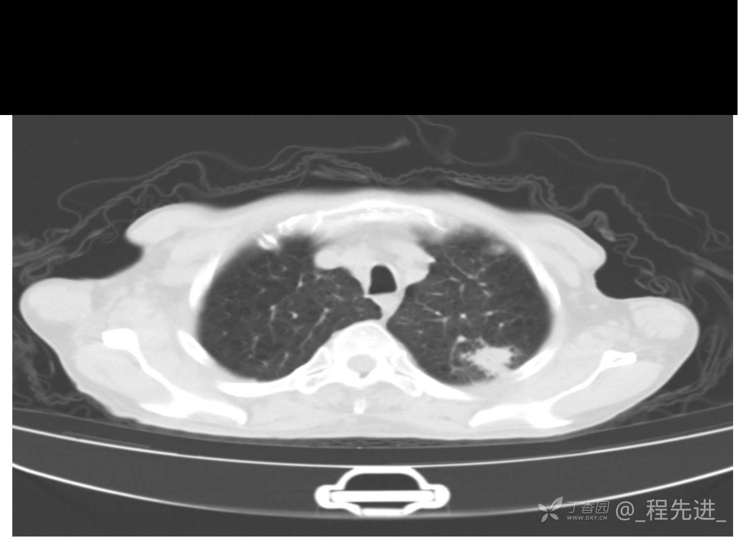
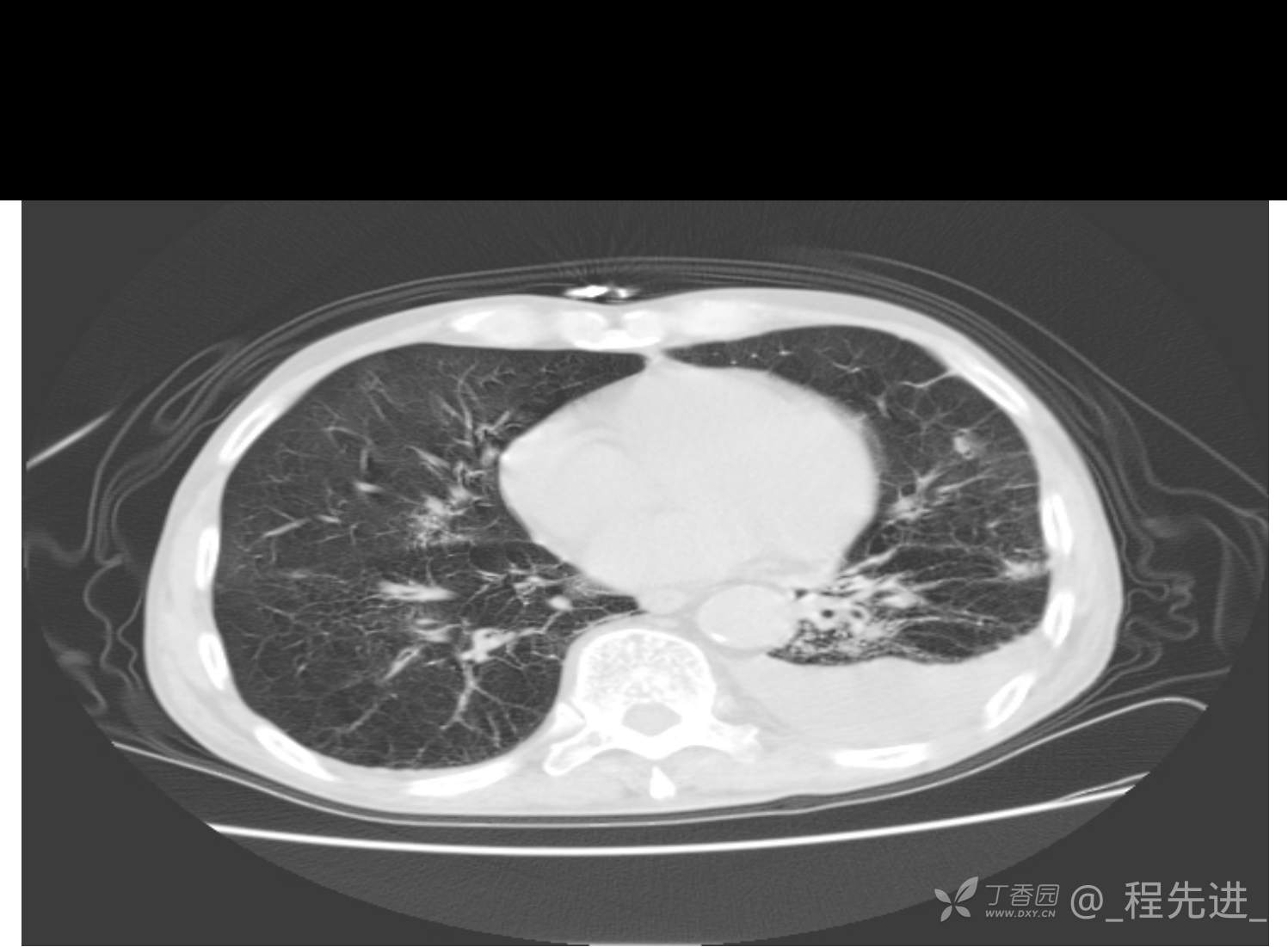
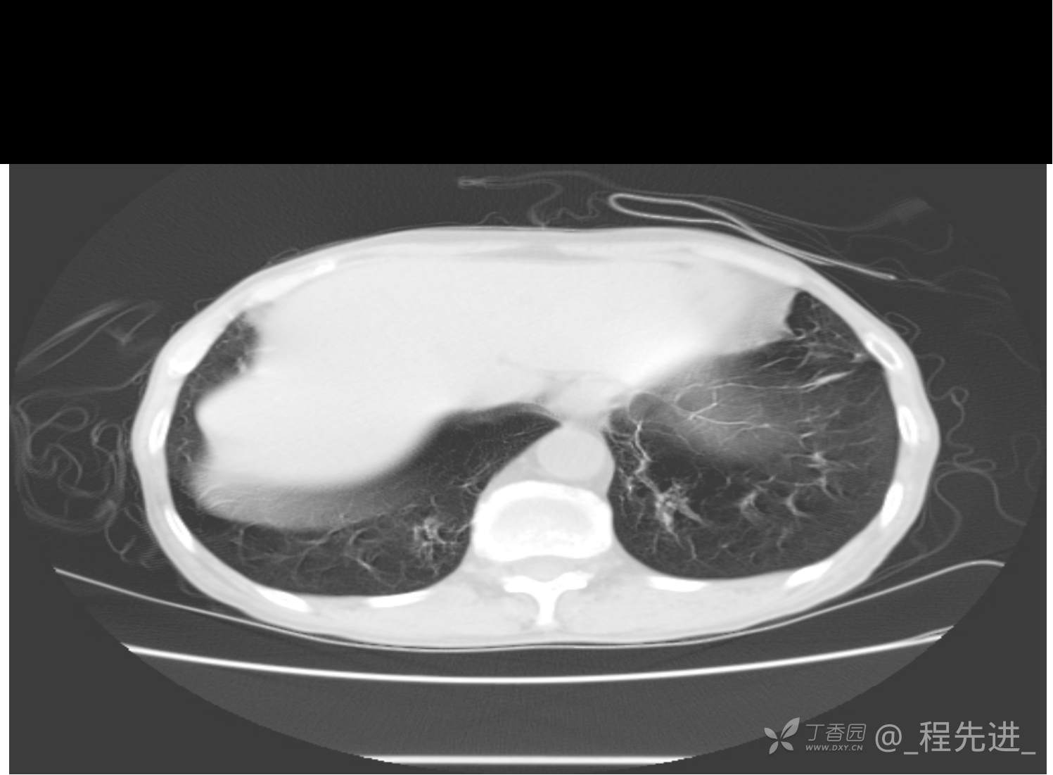
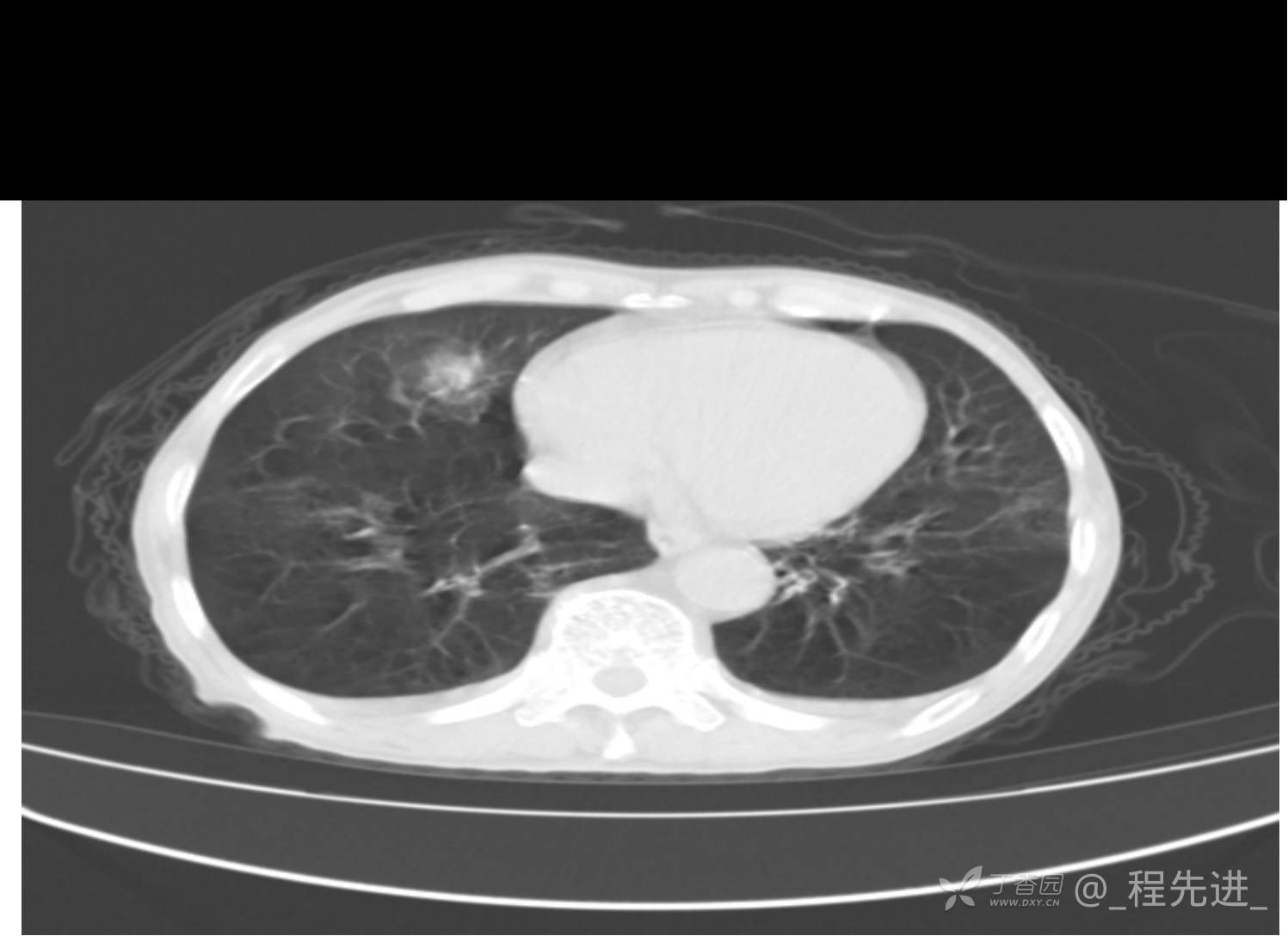
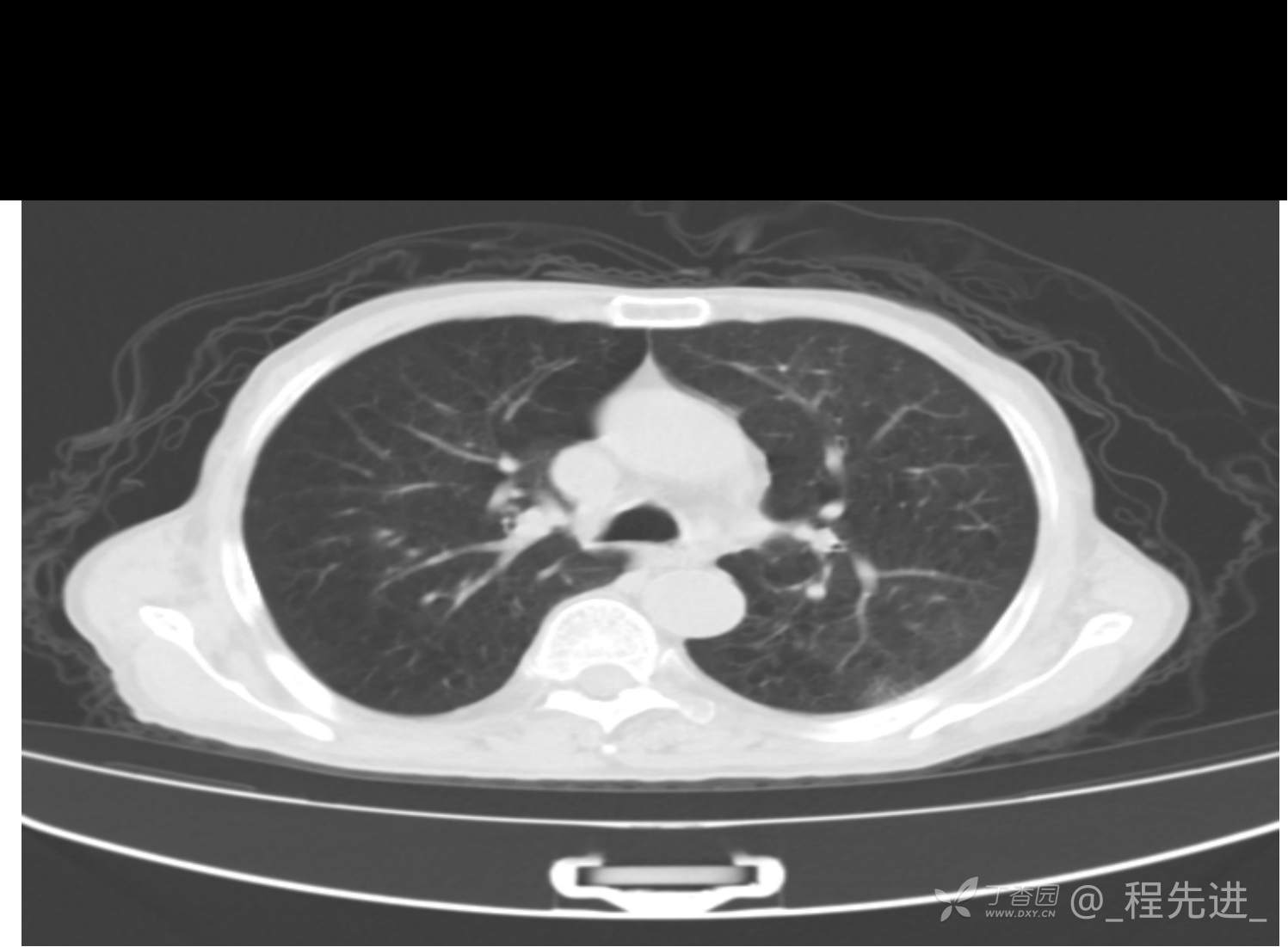
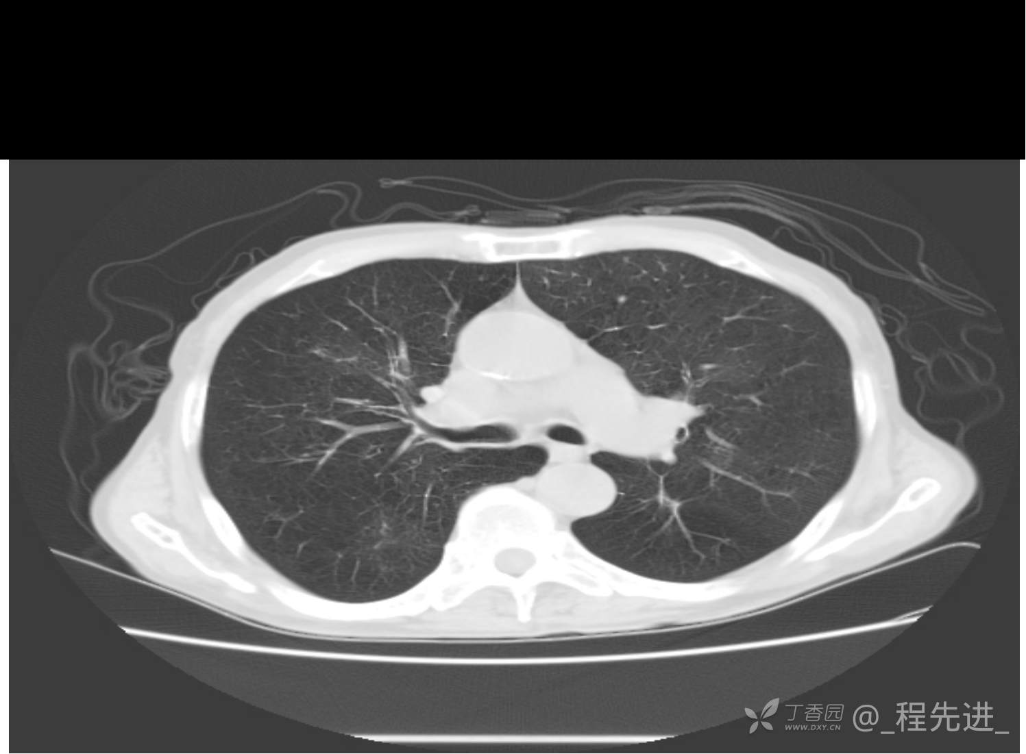
4月后

img
img




img
img
img
img
img
img


img
img


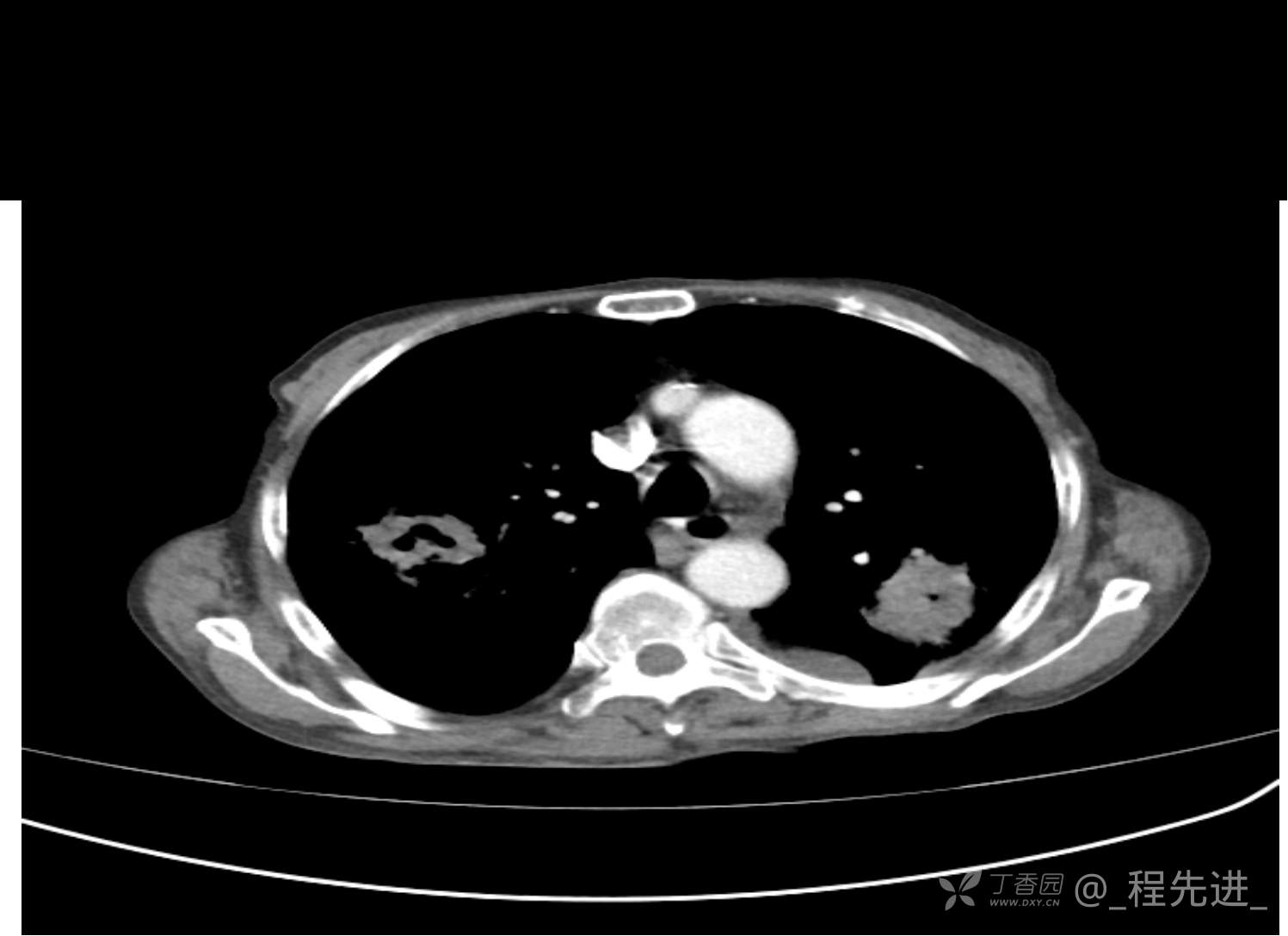
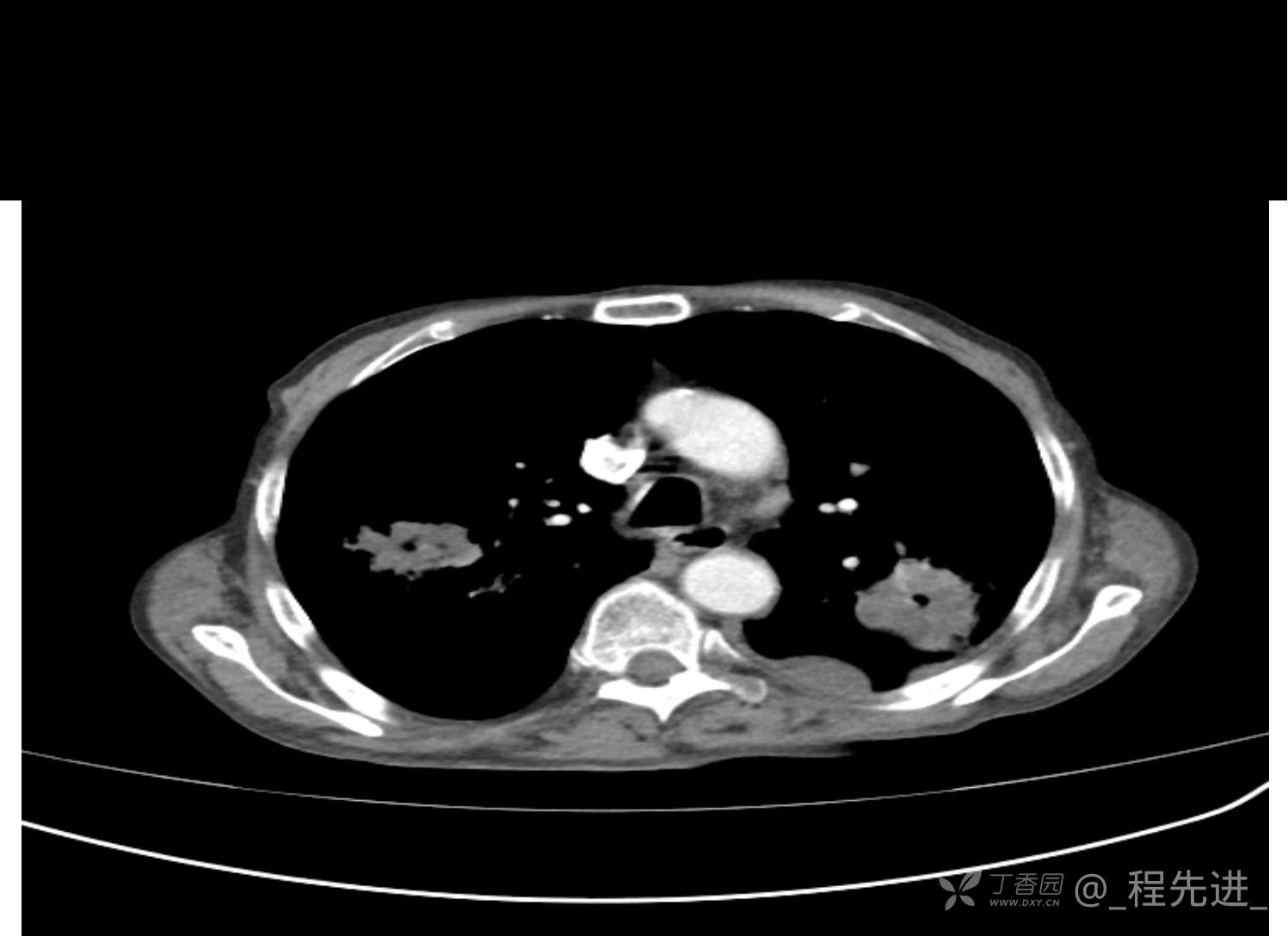
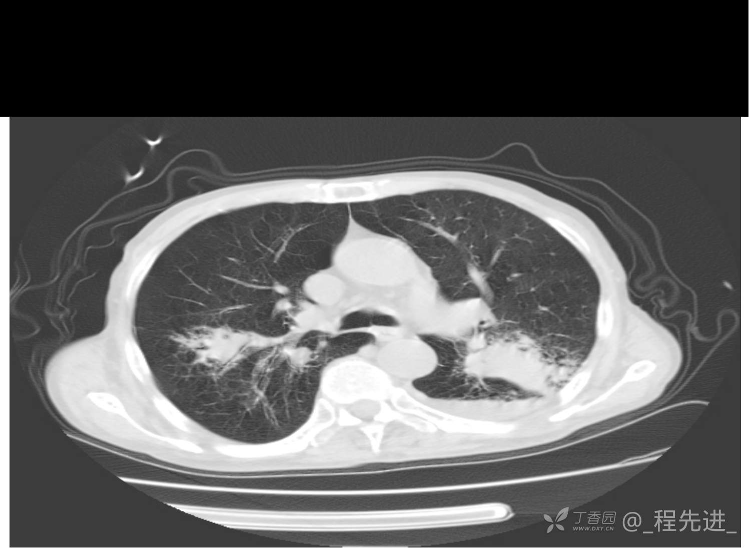
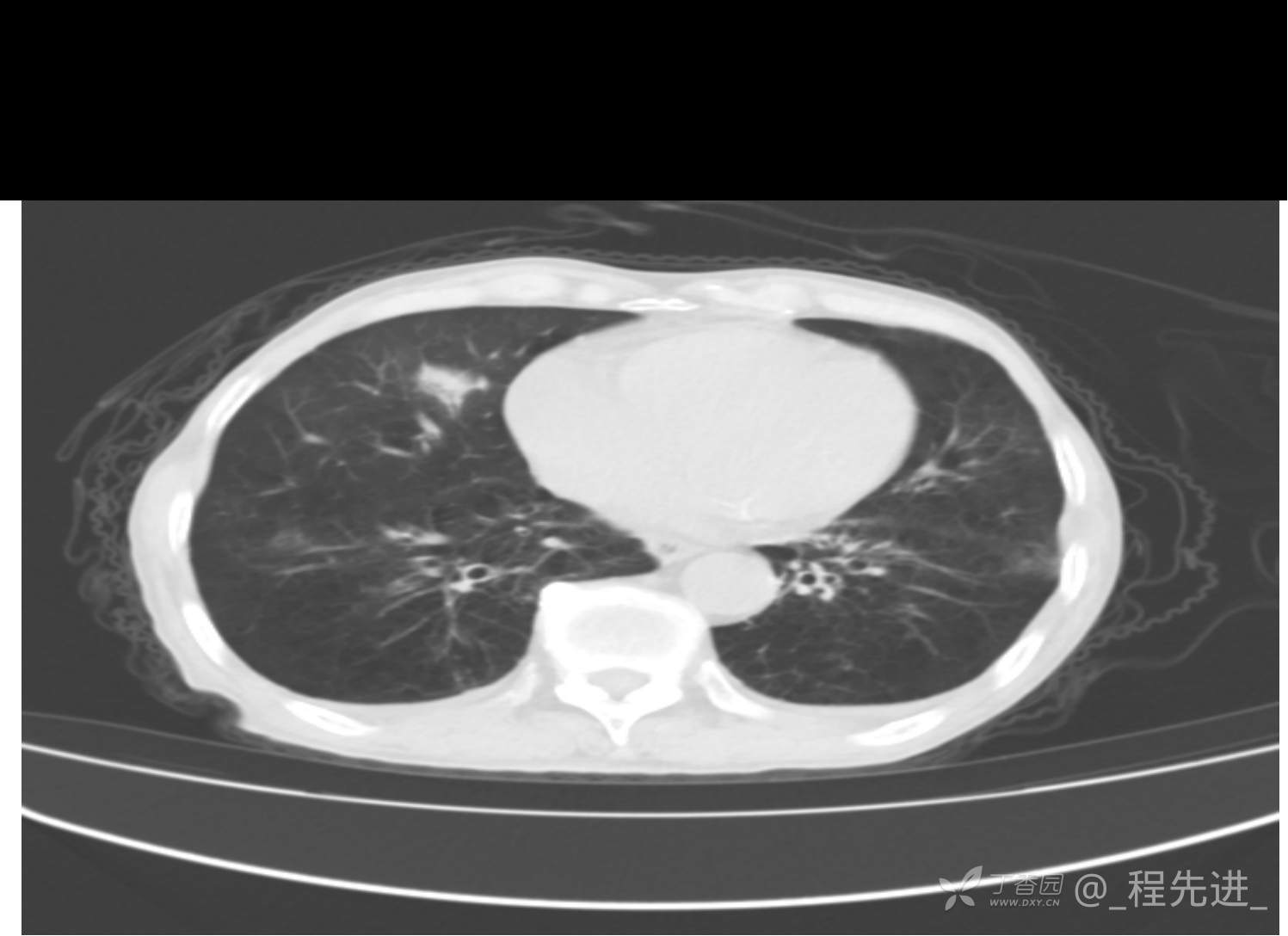
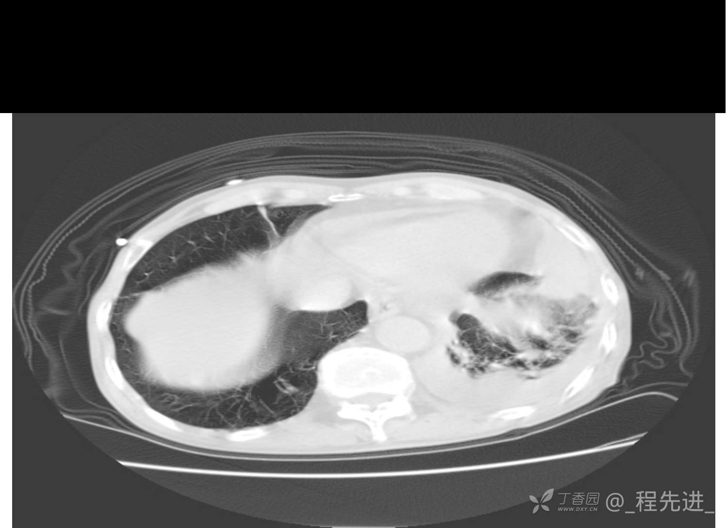
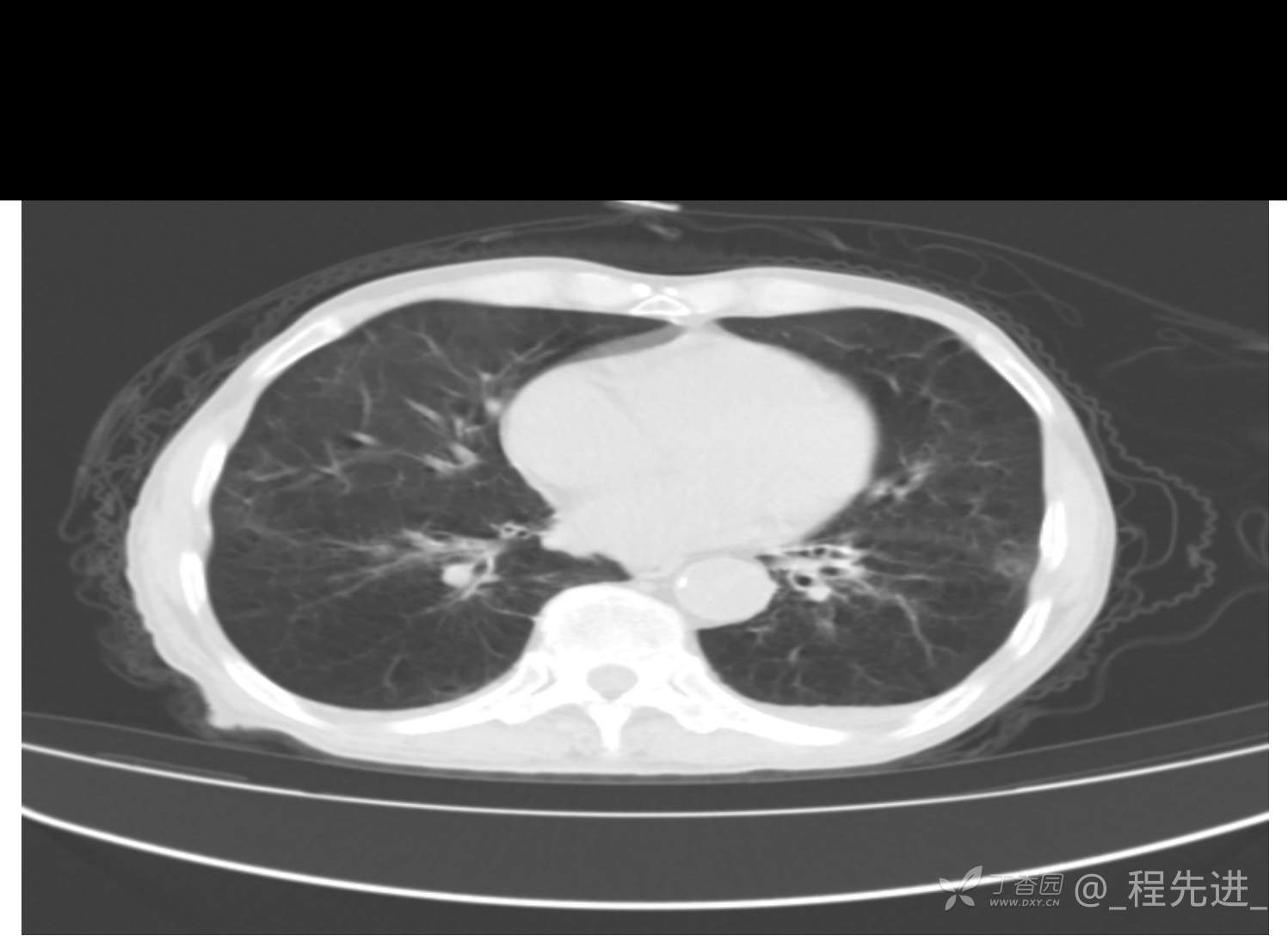
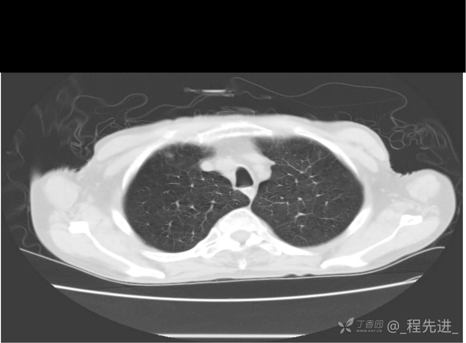
5月后

img
img
img



img
img
img
img
img



img
img
img
img



img
img
img




img
img
img
img
img
img
img
img
img
img
img
img
img



img
img
img
img
img



img
img
img
img
img
img
img
img



img
img
img
img



img
img
img
img
img



img
img
img
img
img
该帖还没有疾病标签去添加
56 12 14
同行评议(0)
已评议
不开通精选
开通精选
精选已授权,待上线
评议结果暂未公布
参与评议
去邀请
NaN
病例完整NaN
临床实用NaN
诊疗科学NaN
学术价值NaN

全部讨论(0)

默认最新
avatar
56
分享帖子
share-weibo分享到微博
share-weibo分享到微信
认证
返回顶部