青年男性,恶心、呕吐5年,发现胃肿物3月,有结果,请分析!
华夏览雄 达人已点赞31岁,女 0200930 02
主 诉:恶心、呕吐5年,发现胃肿物3月。
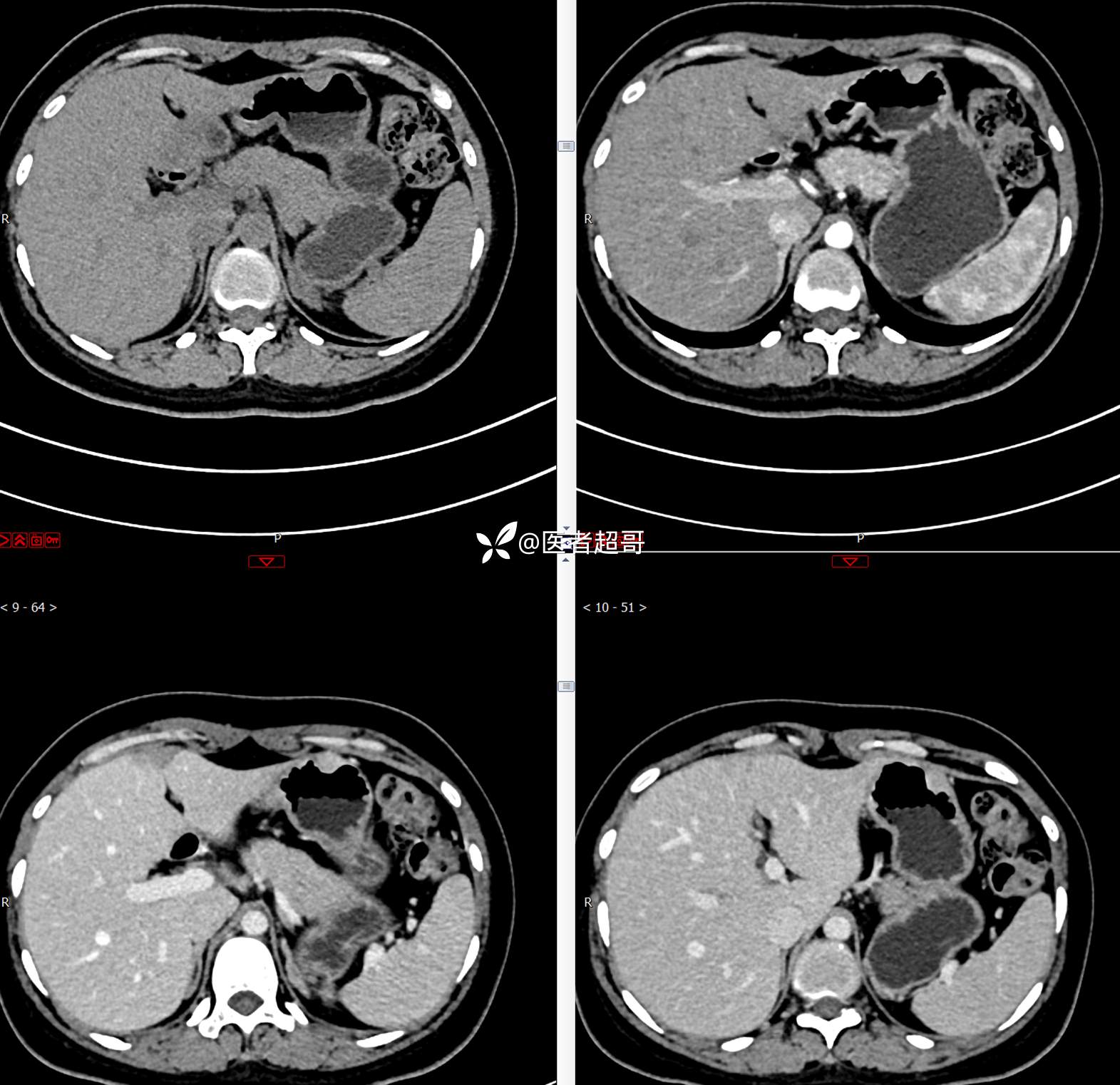
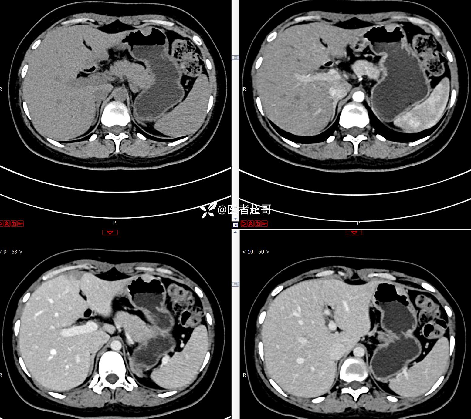
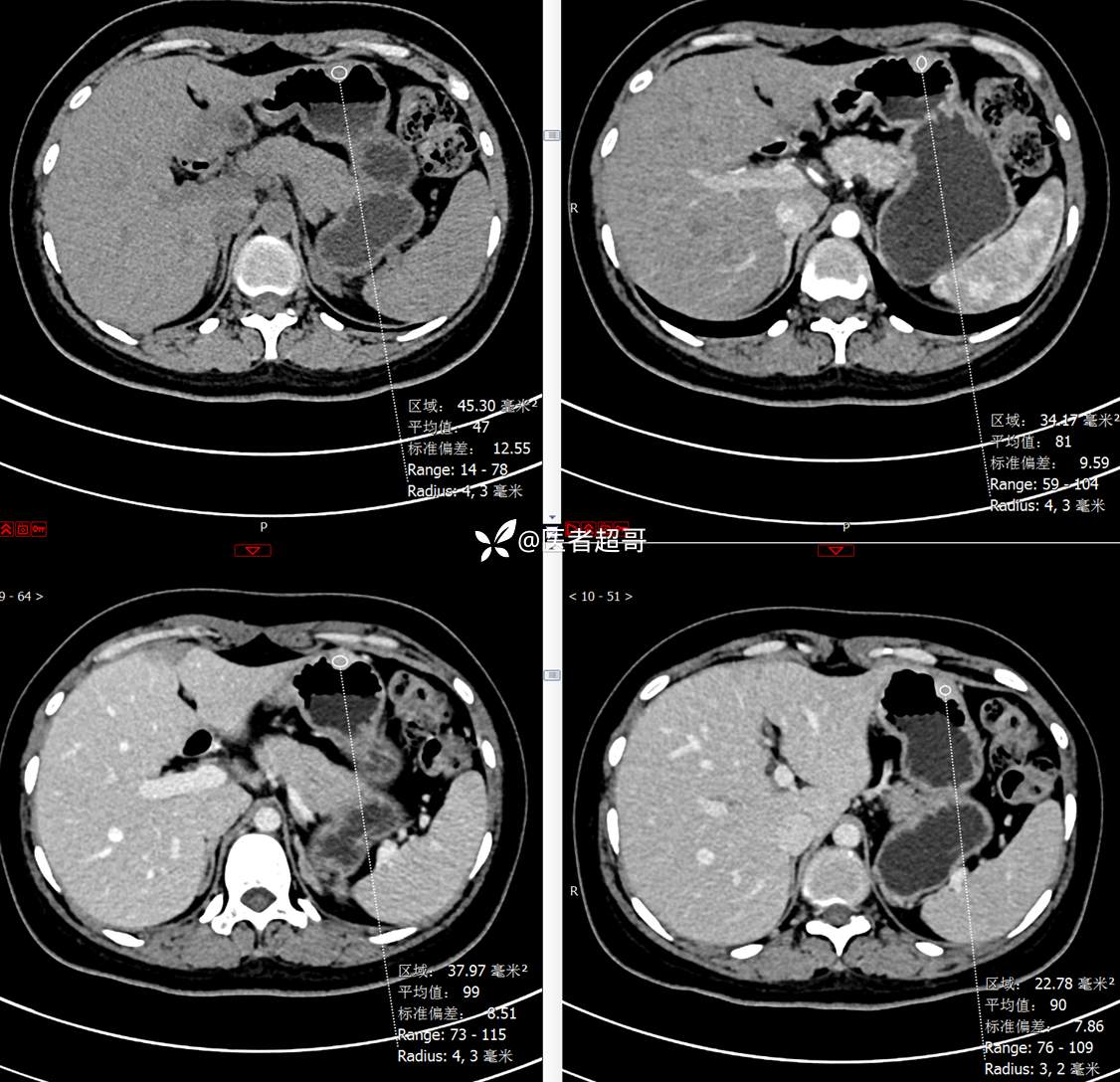
现病史:患者5年前无明显原因及诱因出现恶心、呕吐,多于进食后出现,呕吐物为胃内容物,无鲜血及咖啡样物质,偶有空腹痛,无放射痛,无腹泻,无便秘,无黑便、鲜血便,无胸闷、心慌,无头痛、头晕,曾就诊于当地医院口服“消炎药”治疗(具体不详),上述症状反复出现,3月余前就诊于市第二人民医院,行胃肠镜检查:慢性浅表性胃炎、胃体粘膜下占位,后就诊于我院超声内镜检查:胃体肿物,似来源于黏膜下层,今为行进一步治疗来我科就诊,门诊以“胃肿物”收住入院。患者自发病以来,神志清,精神可,饮食一般,睡眠可,大小便正常,体重无明显变化。
既往史:既往体健



















































