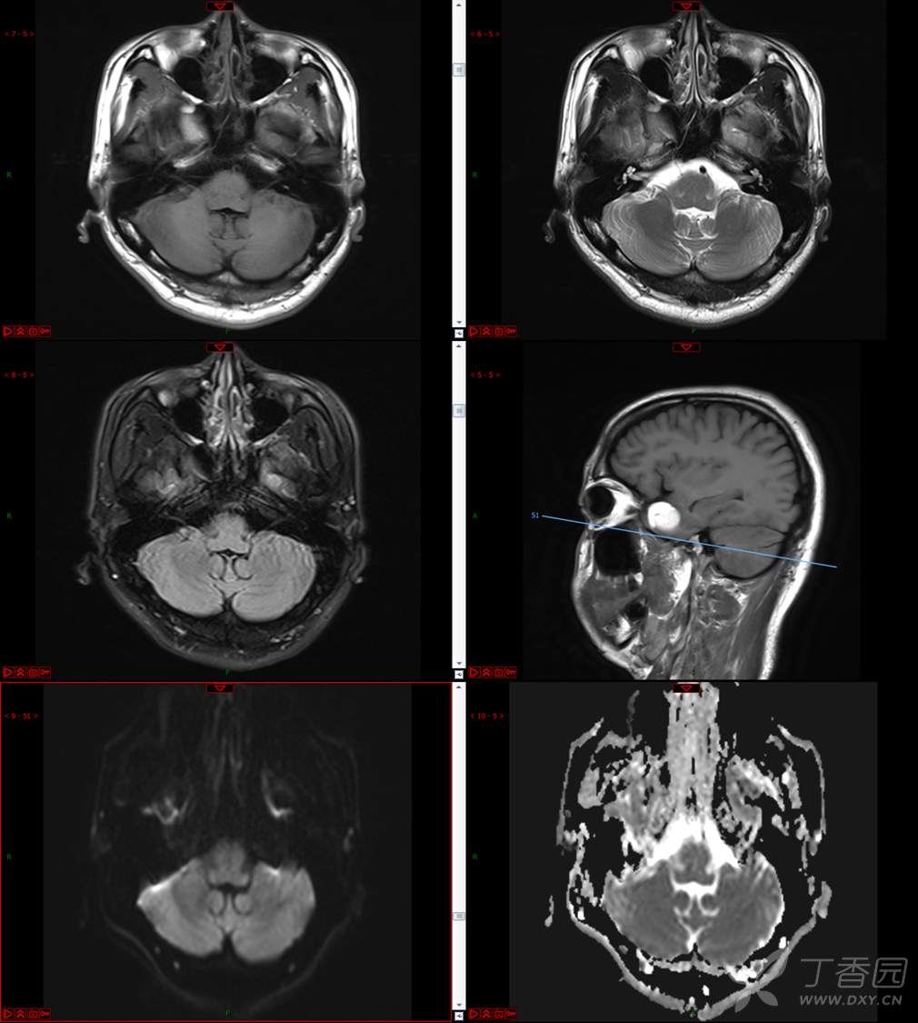
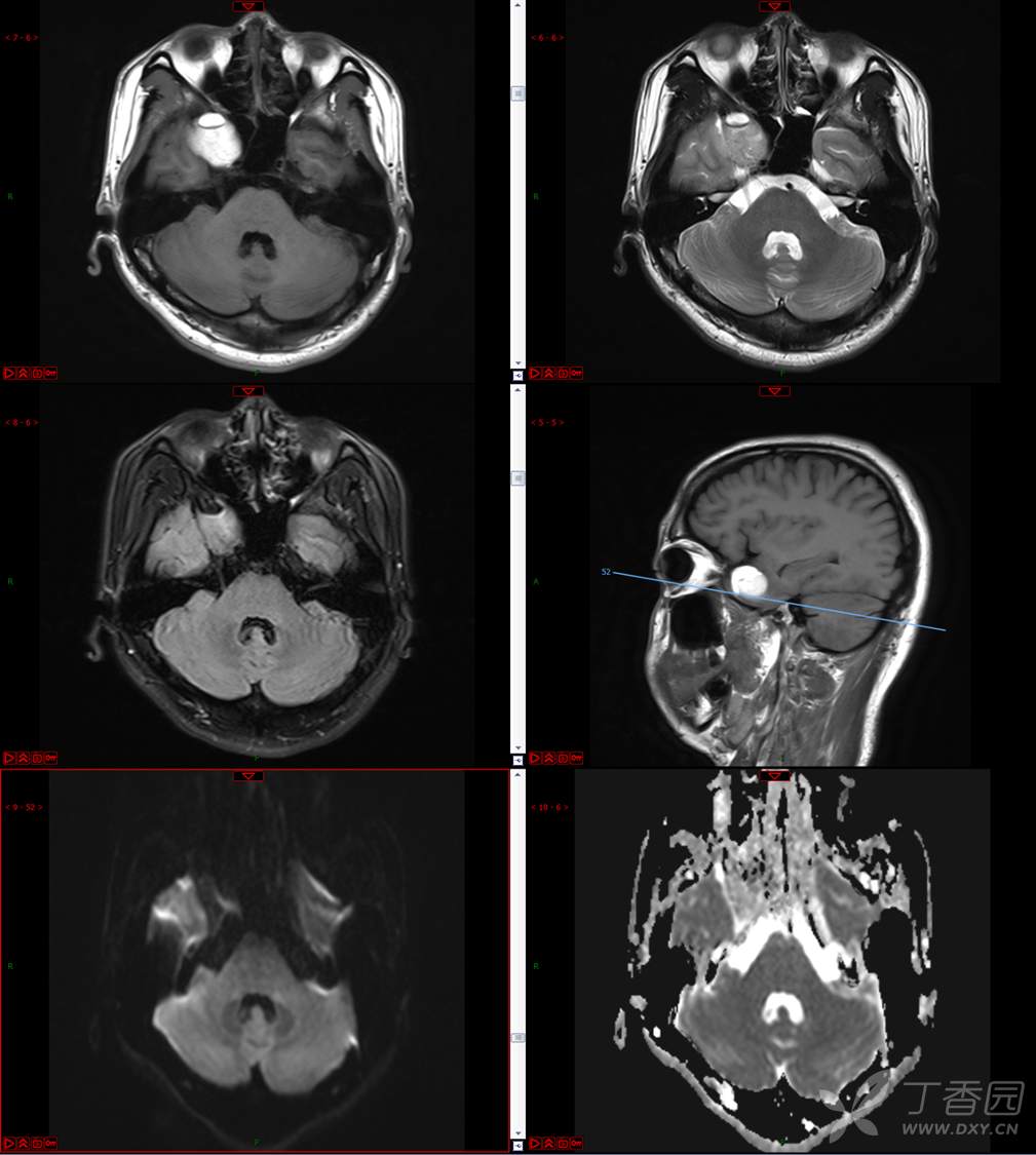
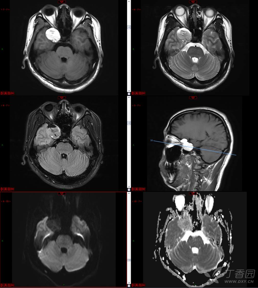
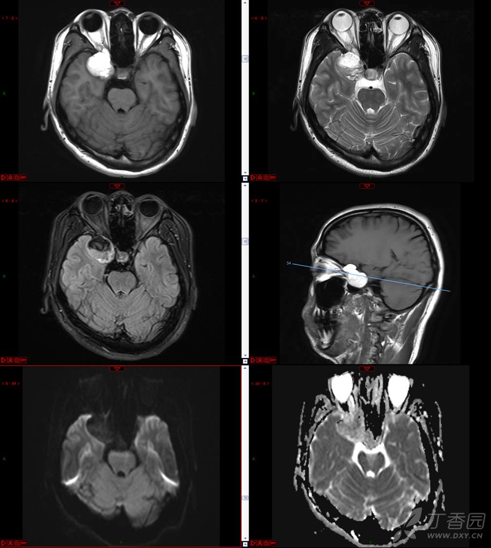
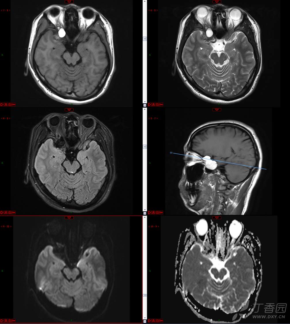
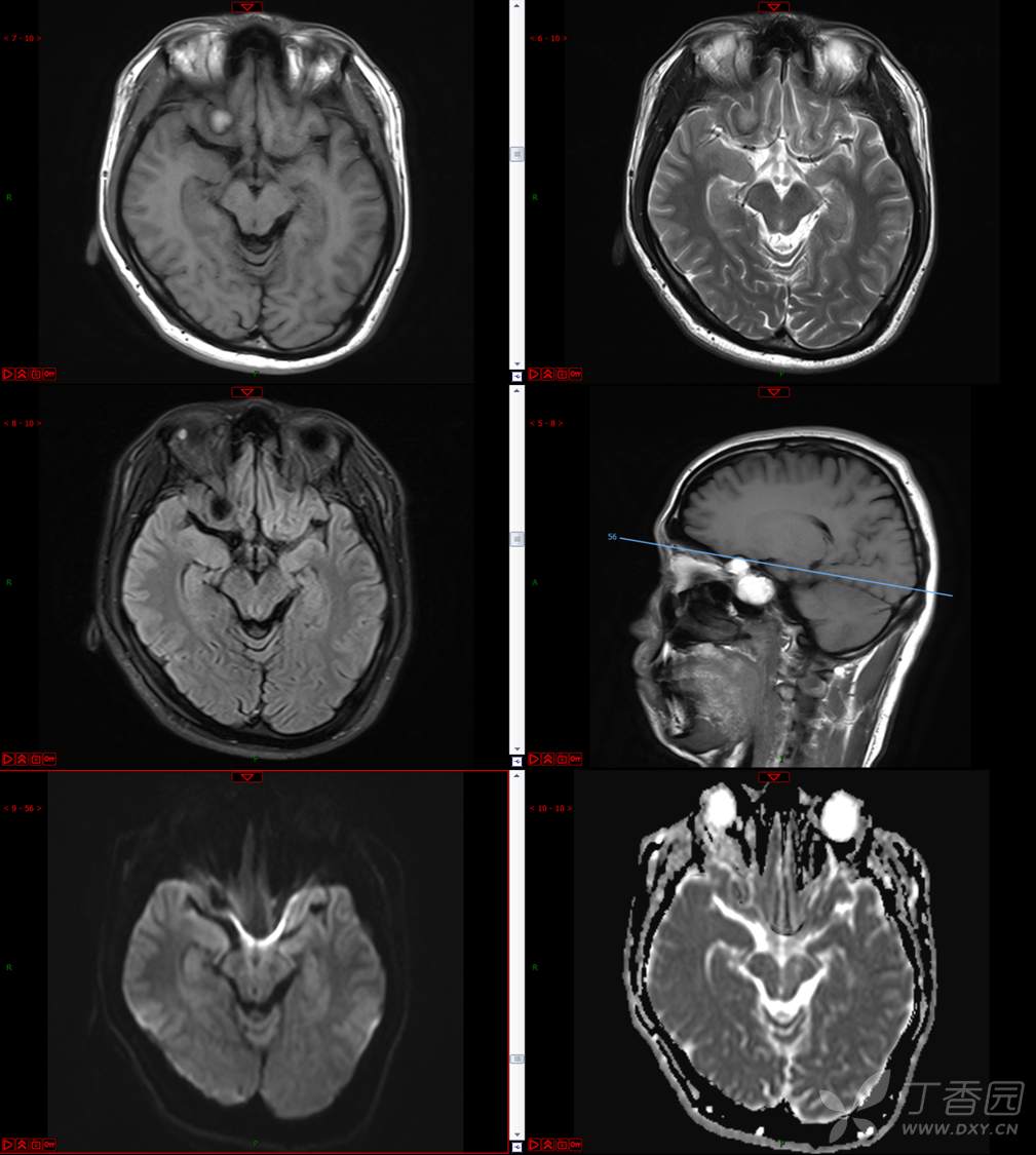
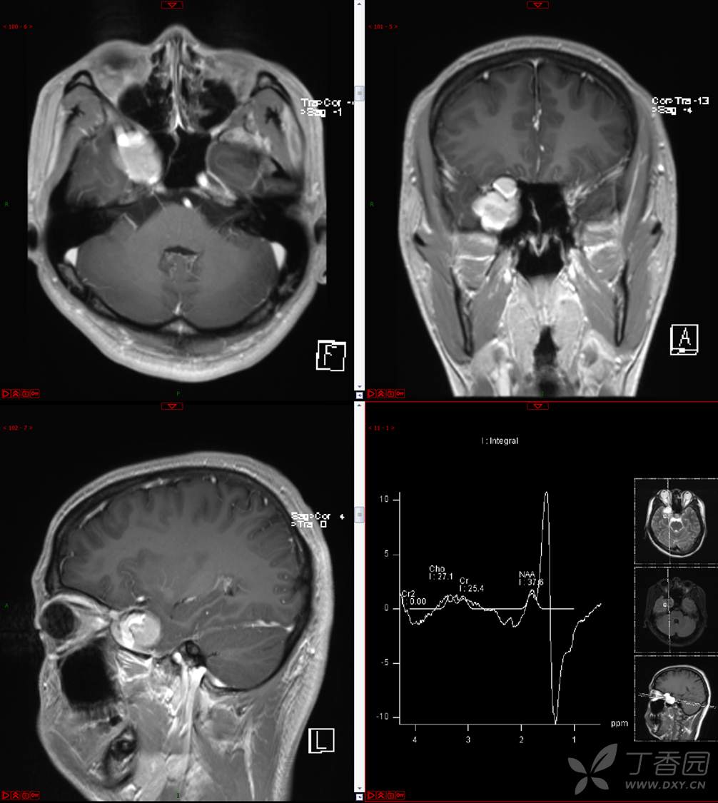
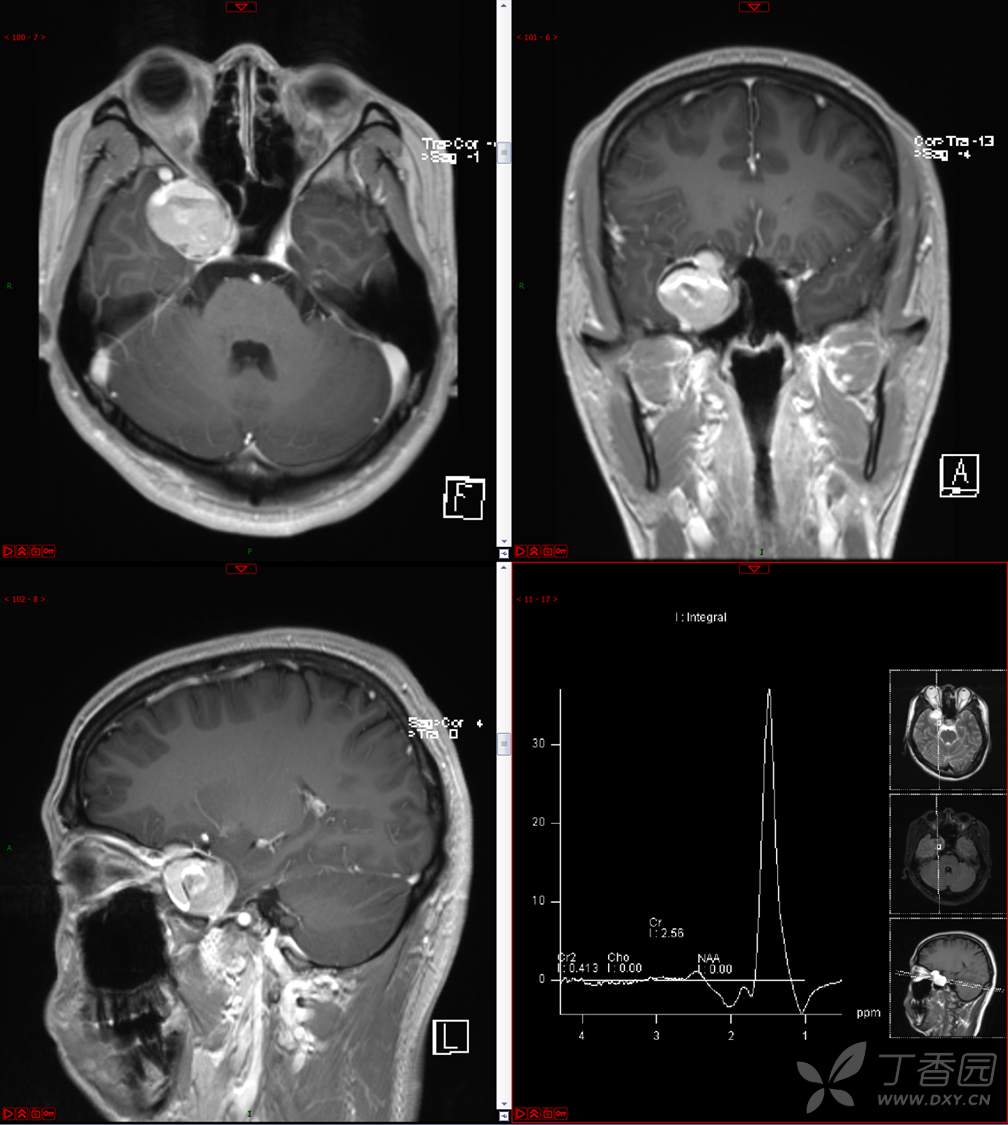
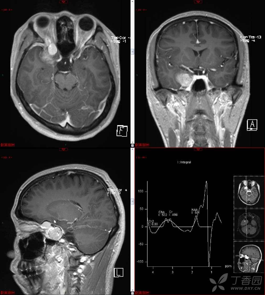
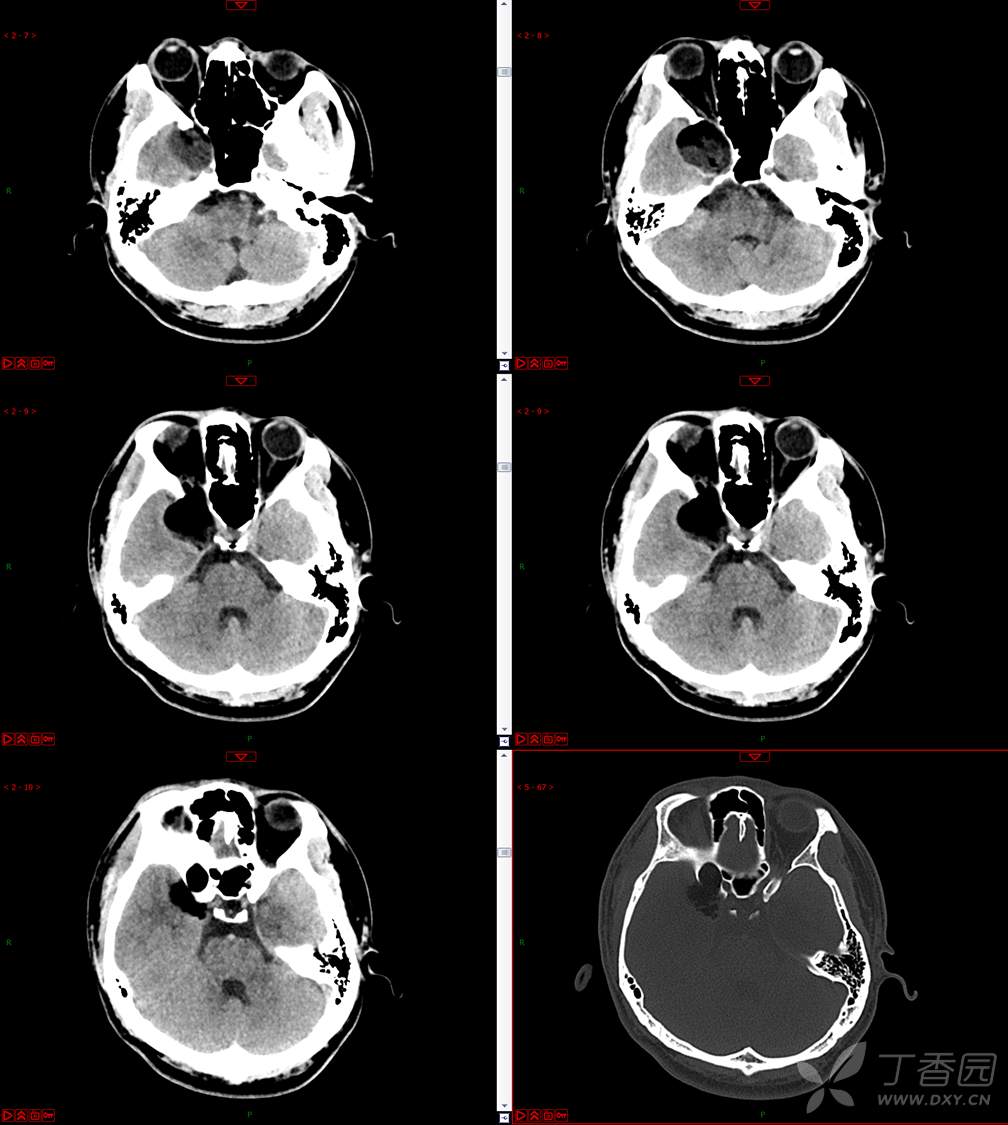
【影诊笔记534】青年男性,视物模糊就诊,CT、MRI、MRS齐全,请分析~~~
患者性别:男
患者年龄:24岁
主 诉:视物重影5天。
现病史:患者5天前无明显诱因出现视物重影,表现为右视时视物成双,无头痛、头晕,无恶心、呕吐,无面部麻木、饮水呛咳等,于当地医院就诊,行颅脑MR示“颅内占位性病变”,现为求进一步治疗来诊。患者病来精神可,饮食、睡眠正常,体重无明显变化。
既往史:既往体健,否认高血压、糖尿病、心脑血管病等疾病史,否认肝炎、结核或其他传染病史及密切接触史,预防接种史不详,否认药物及食物过敏史,否认输血史,其它无特殊。10余年前因右手外伤行手术治疗,具体不详;
个人史:生于原籍,否认冶游史,无职业及毒物暴露史,有嗜烟,约6年,平均10支/日。未戒烟。偶有饮酒。


























































