肋间神经疼就诊。CT、MRI都有,精彩无限,等你来诊---结果公布~
患者性别:女
患者年龄:58岁
简要病史::肋间神经疼,于我院疼痛科就诊
体格检查:(-)
辅助检查:CT MRI
临床诊断:肋间神经疼
治疗经过:手术
讨论:病变性质?
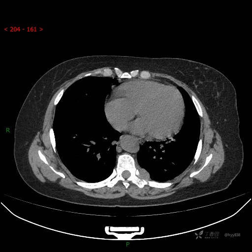
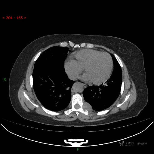
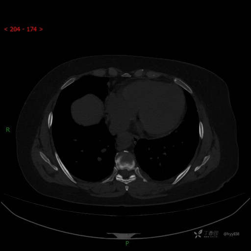
胸部CT平扫









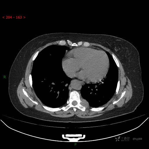
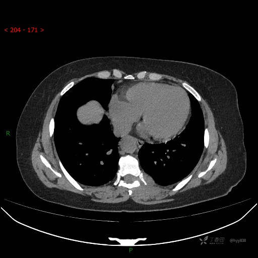
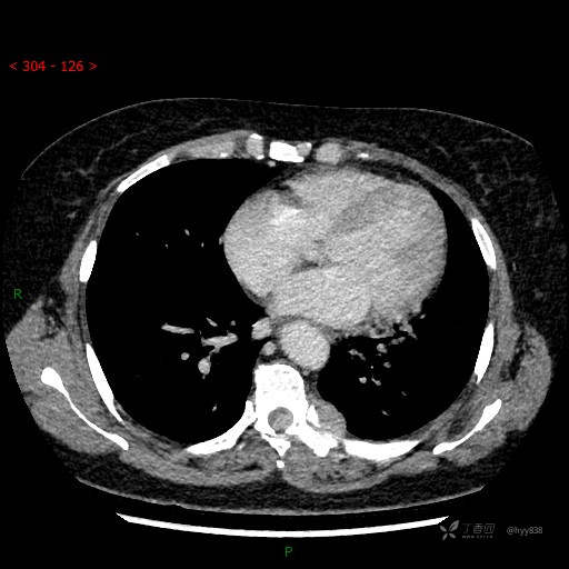
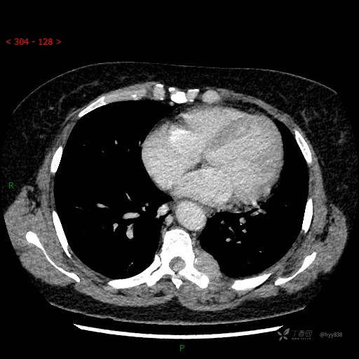
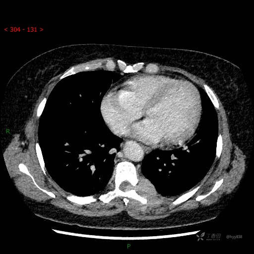
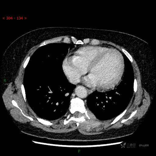
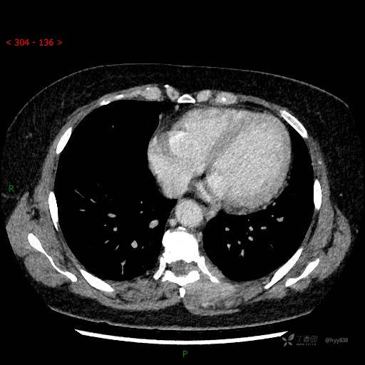
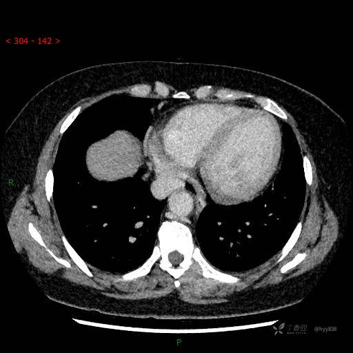
增强






MRI AXI T2WI


MRI SAG T2WI+T1WI






MRI CE



患者性别:女
患者年龄:58岁
简要病史::肋间神经疼,于我院疼痛科就诊
体格检查:(-)
辅助检查:CT MRI
临床诊断:肋间神经疼
治疗经过:手术
讨论:病变性质?
胸部CT平扫









增强






MRI AXI T2WI


MRI SAG T2WI+T1WI






MRI CE



