【影诊笔记772】腹痛就诊,发现肾脏病变,CT、MRI齐全,请高诊!
男,63岁 0200825 01
主 诉:间断腹痛15天
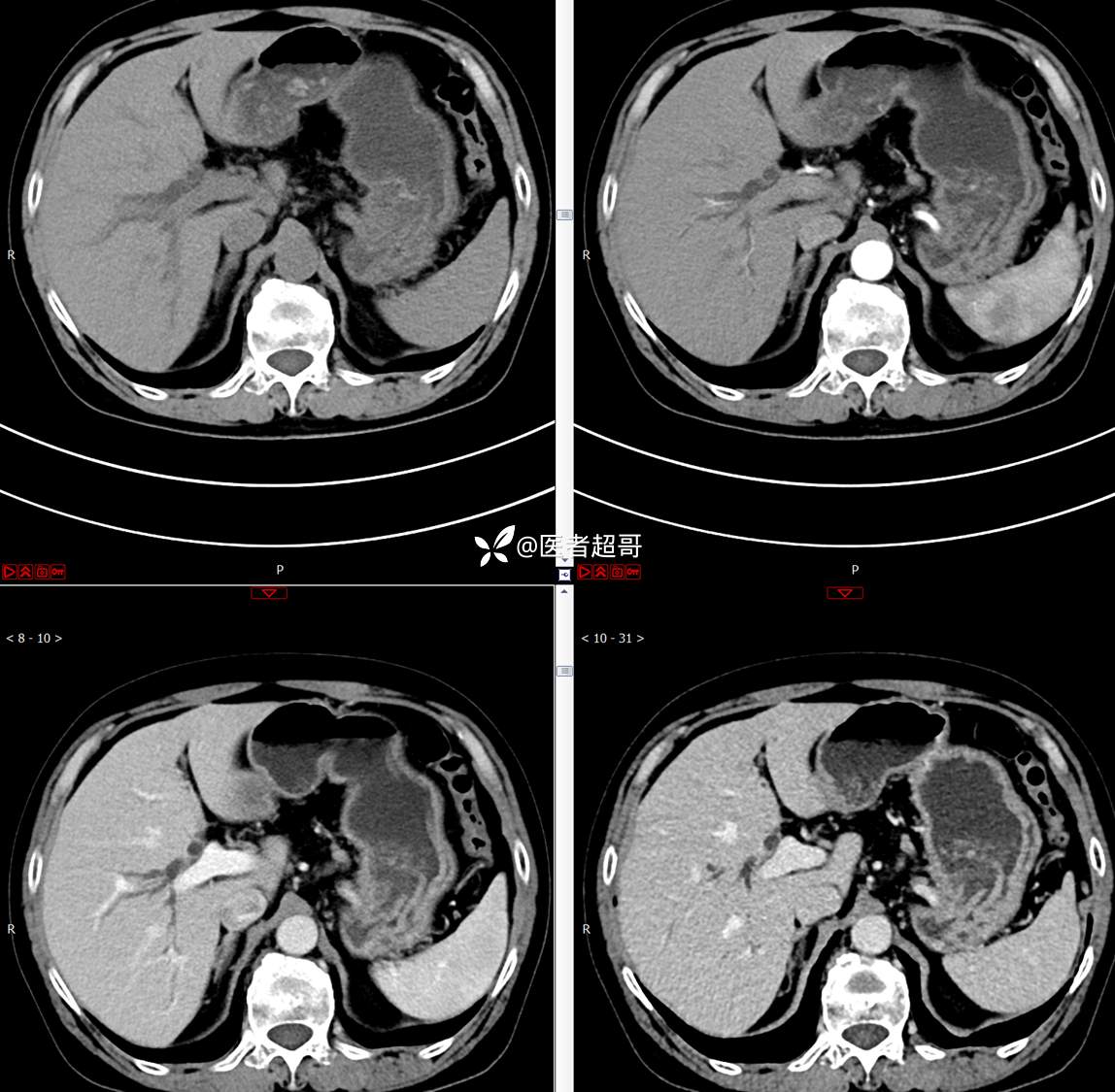
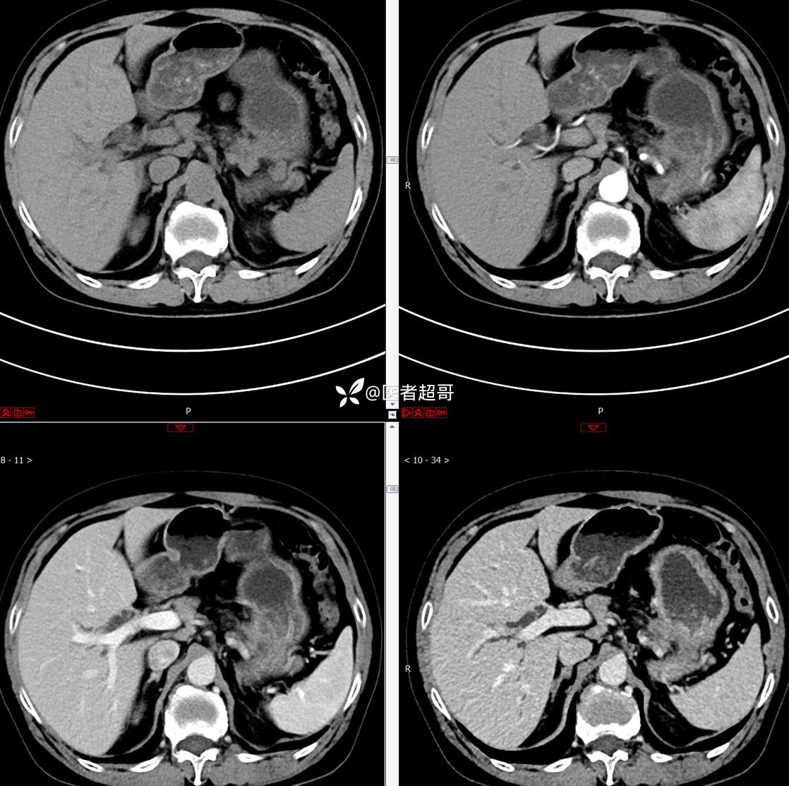
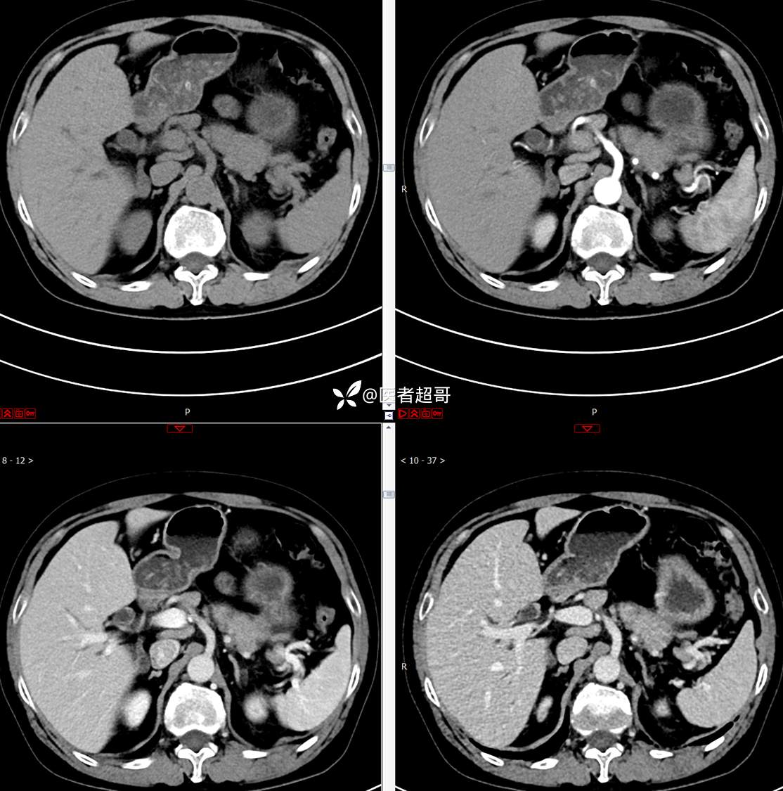
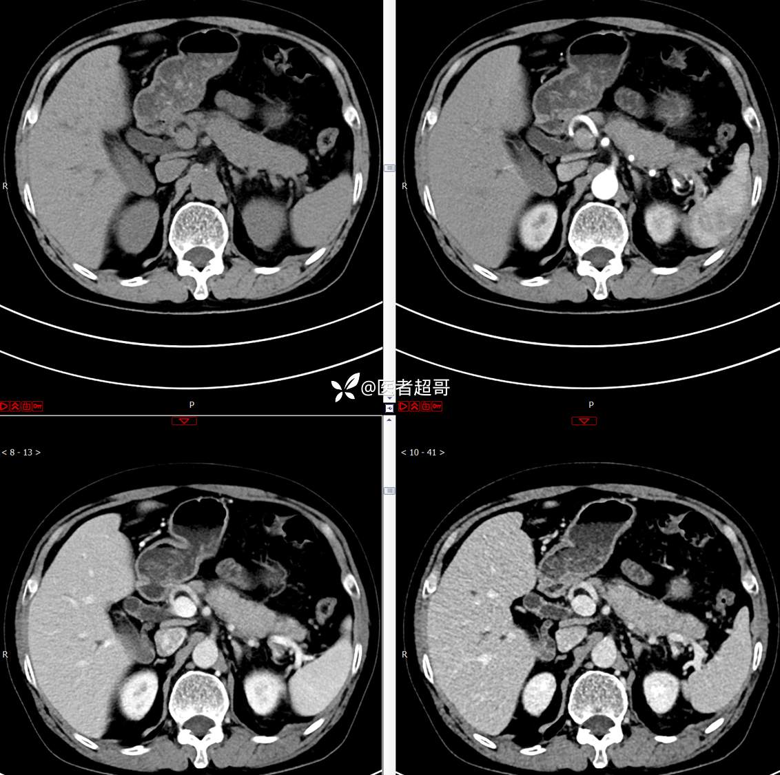
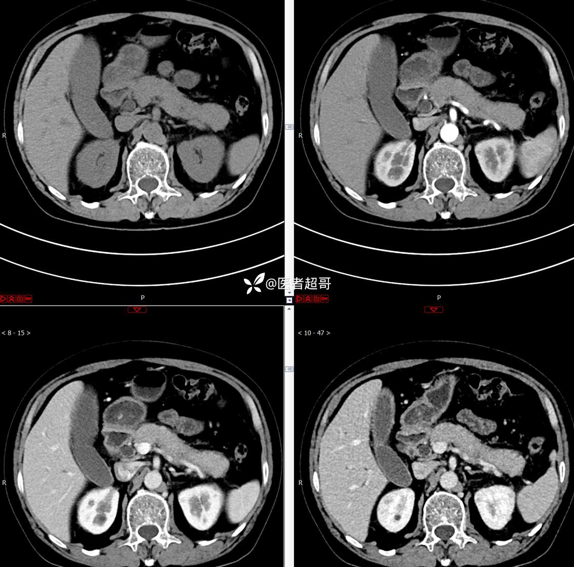
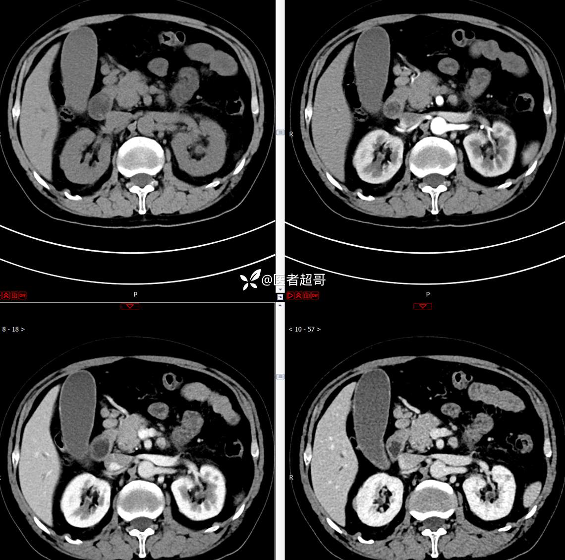
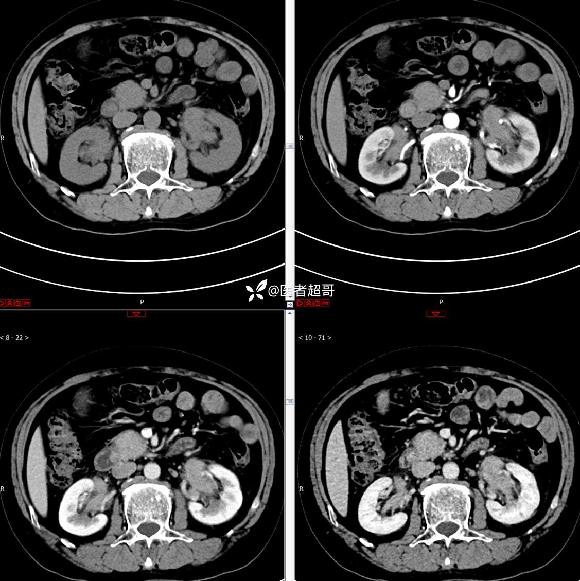
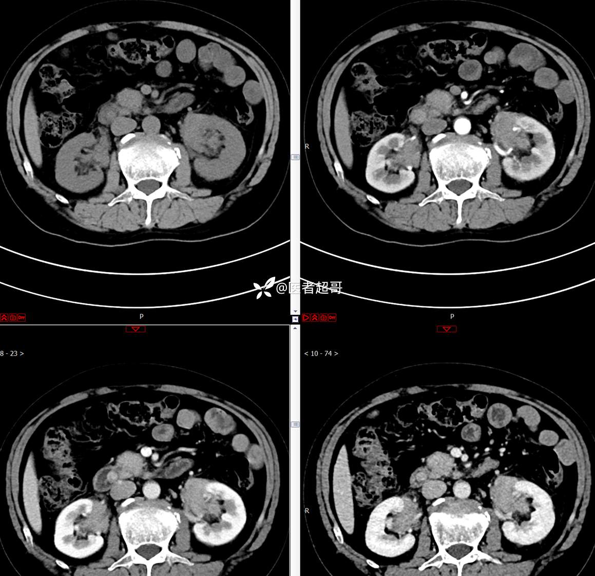
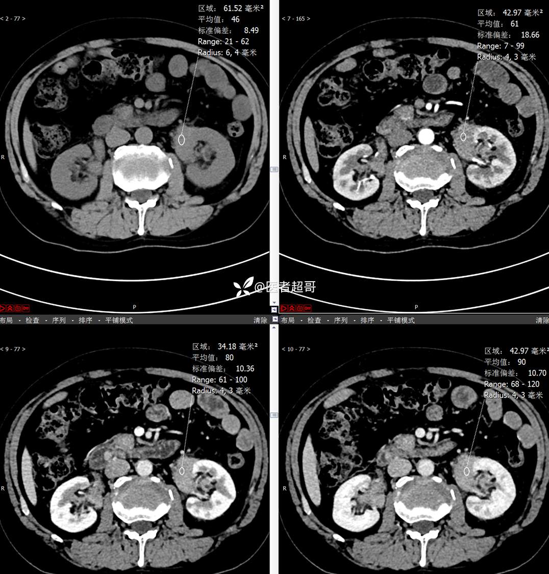
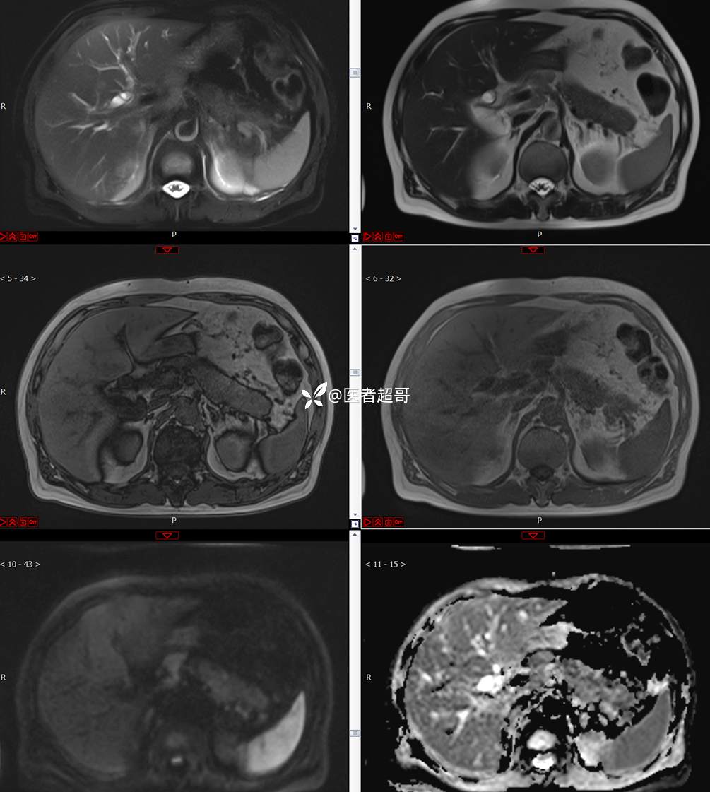
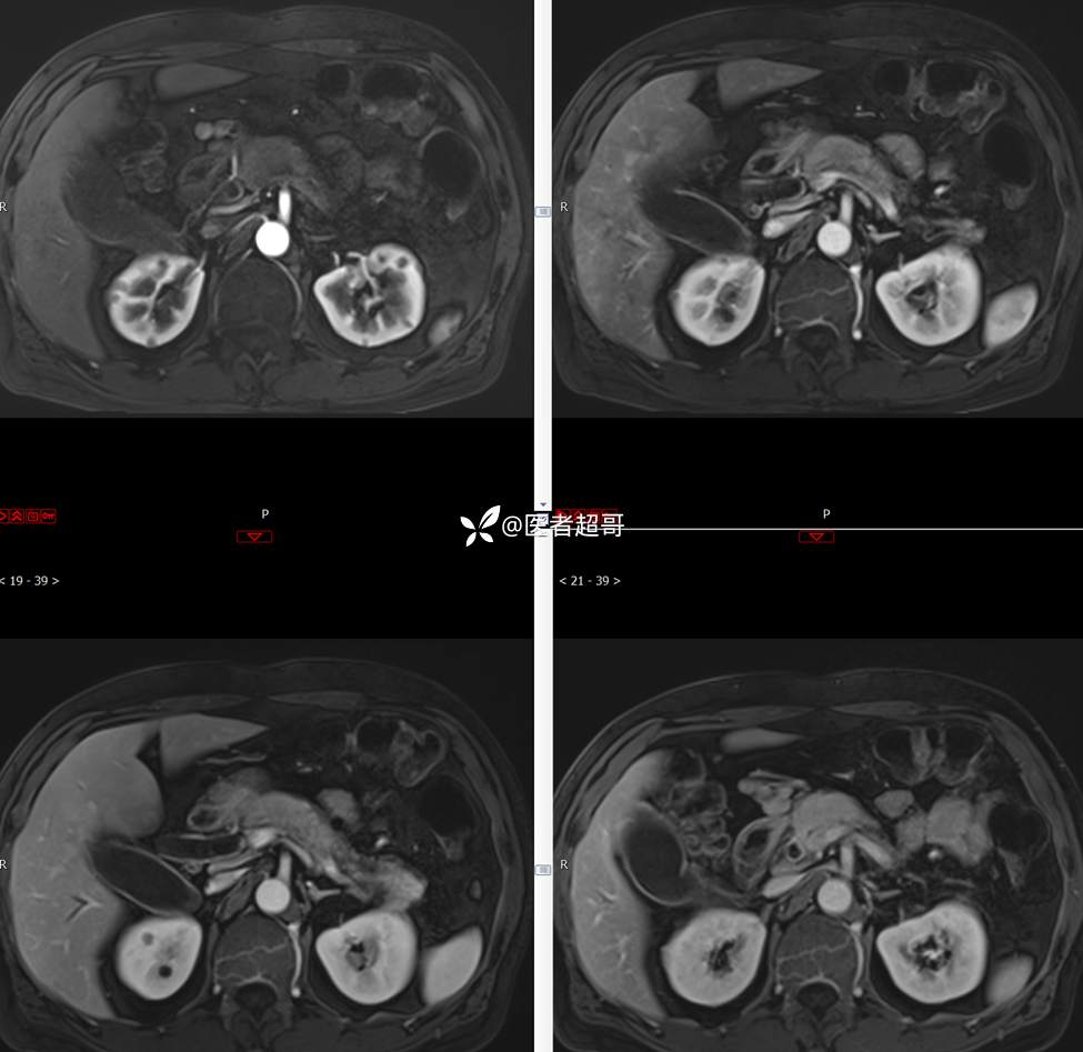
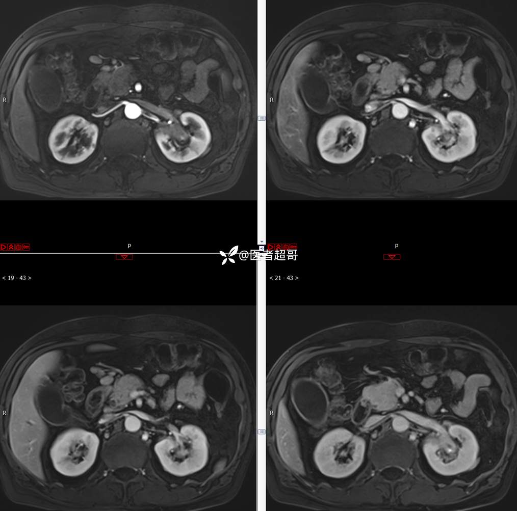
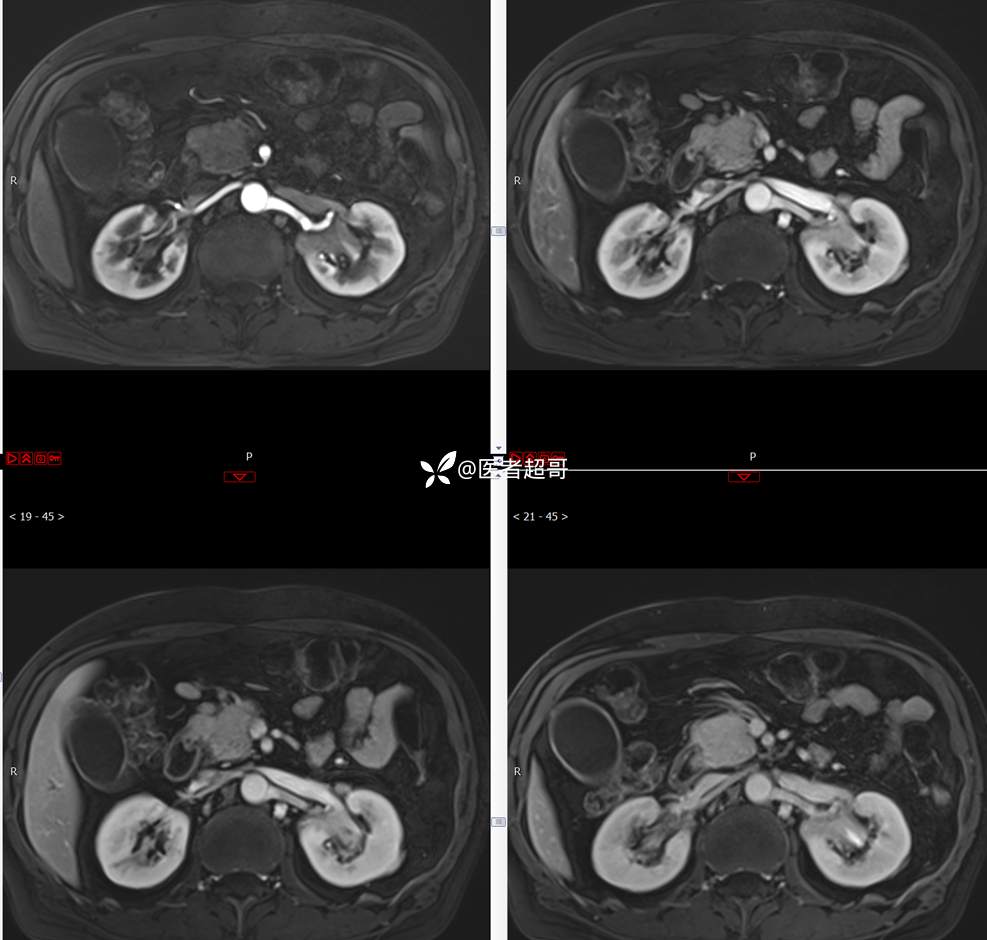
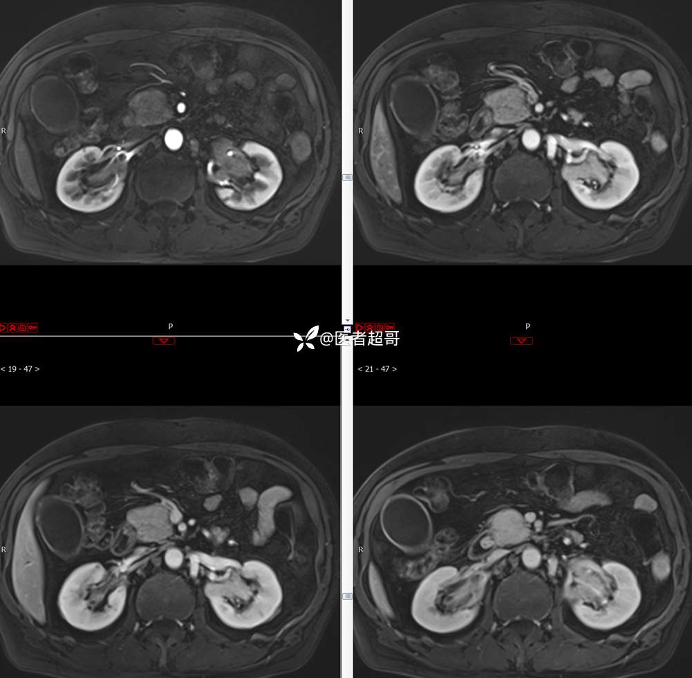
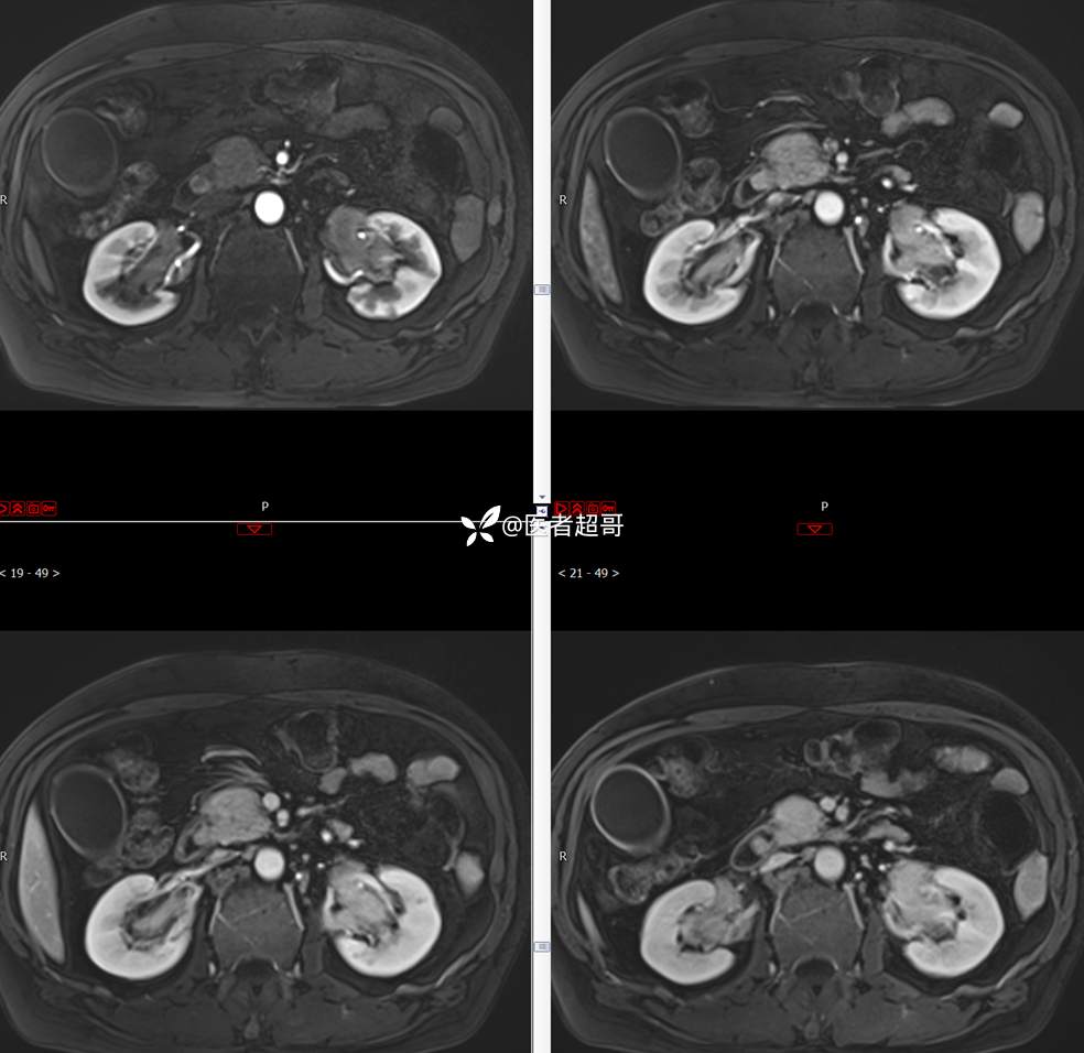
现病史:患者15天前无明显原因及诱因出现腹部疼痛不适,呈间断性钝痛,右下腹为著,无尿频、尿急、尿不尽,无发热、寒战,无腹胀。于市中心卫生院住院治疗,超声示:胰头低回声包块,胆系扩张,左肾囊肿,胆囊壁毛糙,胆囊内胆汁淤积。患者为求进一步诊治,遂以“肾盂肿瘤”收入院,患者自发病以来,神志清,精神可,饮食睡眠可,大便无明显异常,近期体重无明显增减。
既往史:既往体健






























男,63岁 0200825 01
主 诉:间断腹痛15天
现病史:患者15天前无明显原因及诱因出现腹部疼痛不适,呈间断性钝痛,右下腹为著,无尿频、尿急、尿不尽,无发热、寒战,无腹胀。于市中心卫生院住院治疗,超声示:胰头低回声包块,胆系扩张,左肾囊肿,胆囊壁毛糙,胆囊内胆汁淤积。患者为求进一步诊治,遂以“肾盂肿瘤”收入院,患者自发病以来,神志清,精神可,饮食睡眠可,大便无明显异常,近期体重无明显增减。
既往史:既往体健






























