腮腺肿物,CT、MRI齐全,情诊断分析,有详细术程及病理!
过去的时光难忘怀 达人已点赞男,55岁
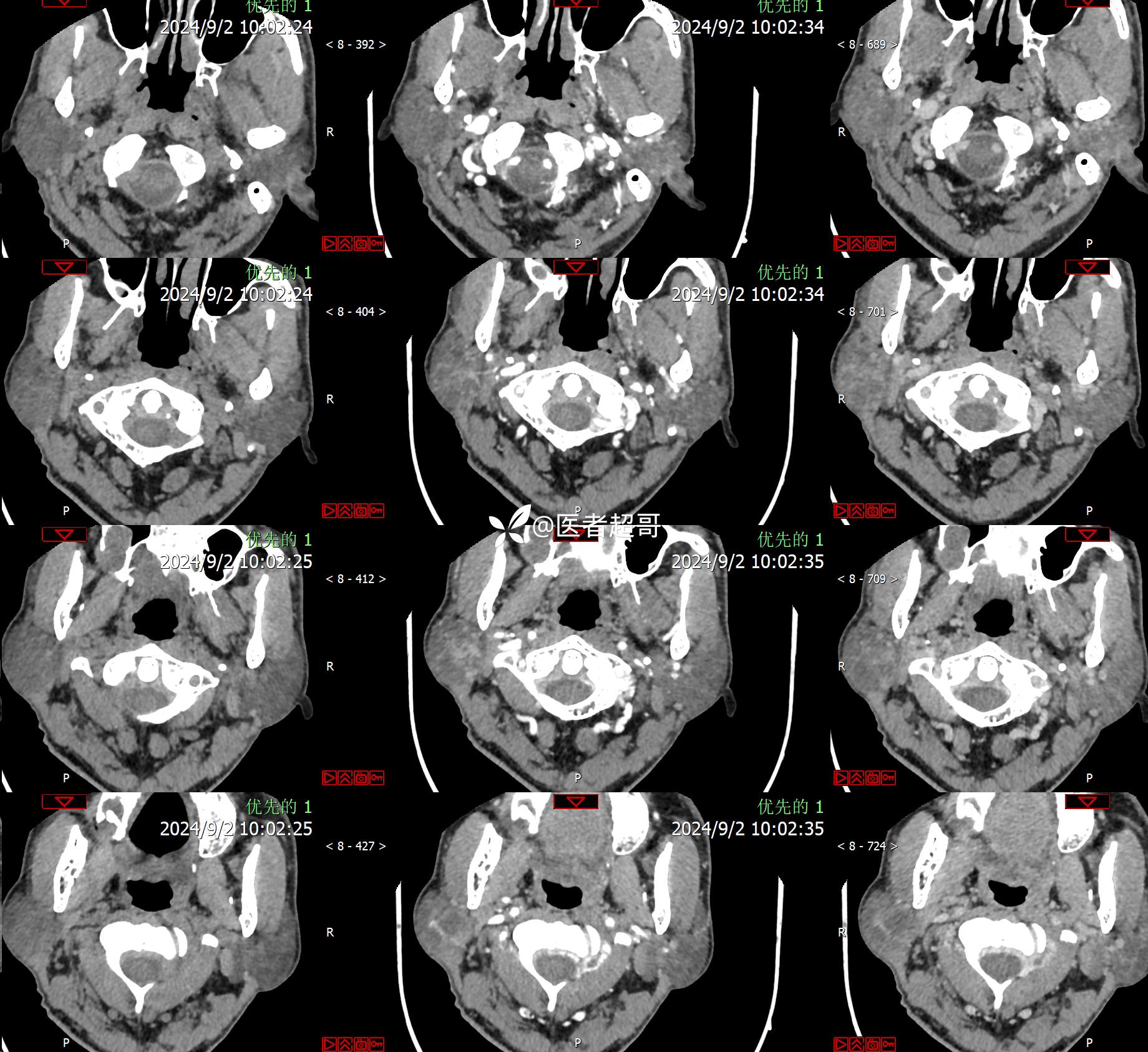
主诉:发现右腮腺肿物6个月。
现病史:患者于6个月前无明显诱因发现右侧腮腺区肿物,无疼痛,无局部皮肤破溃,无吞咽困难,无听力下降,无发热,无头痛头晕,患者自发病后在外未治疗,6天前于当地卫生院检查建议手术,为求手术治疗,来我院就诊,门诊以“腮腺肿瘤(右)”收入我院。患者自发病以来,神志清楚,精神可,饮食可,睡眠可,大便正常,小便正常,体重无明显变化。






过去的时光难忘怀 达人已点赞男,55岁
主诉:发现右腮腺肿物6个月。
现病史:患者于6个月前无明显诱因发现右侧腮腺区肿物,无疼痛,无局部皮肤破溃,无吞咽困难,无听力下降,无发热,无头痛头晕,患者自发病后在外未治疗,6天前于当地卫生院检查建议手术,为求手术治疗,来我院就诊,门诊以“腮腺肿瘤(右)”收入我院。患者自发病以来,神志清楚,精神可,饮食可,睡眠可,大便正常,小便正常,体重无明显变化。






