比较典型病例,CT、MRI齐全,请分析,领丁当!
男,56岁
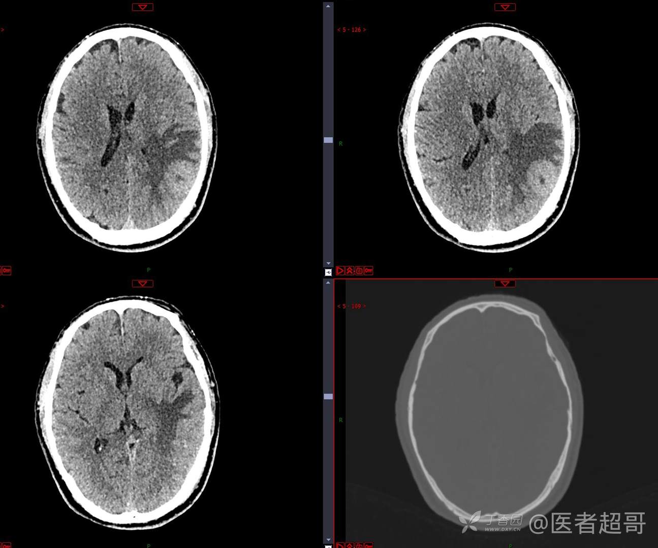
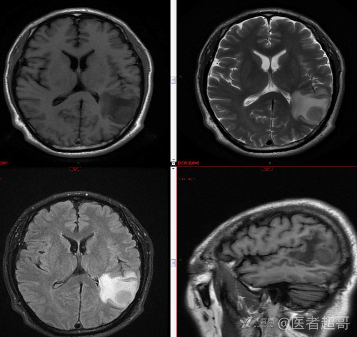
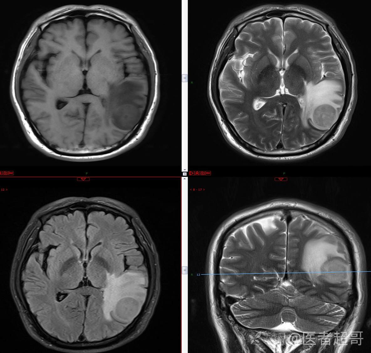
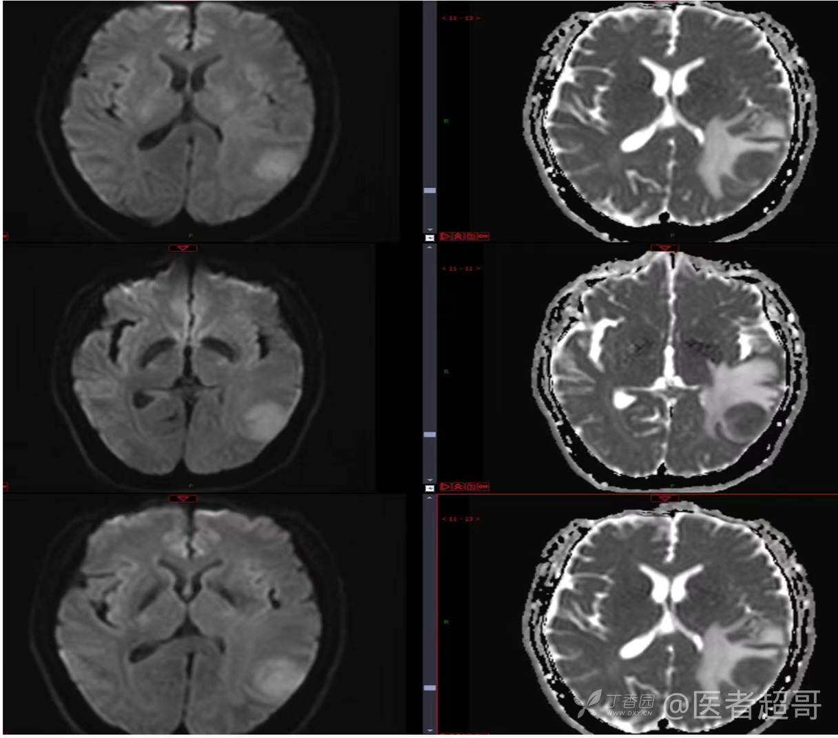
主 诉:查体发现颅内占位10天。
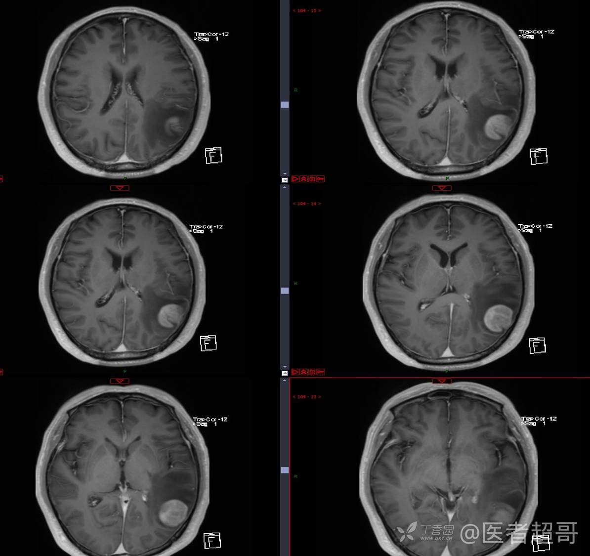
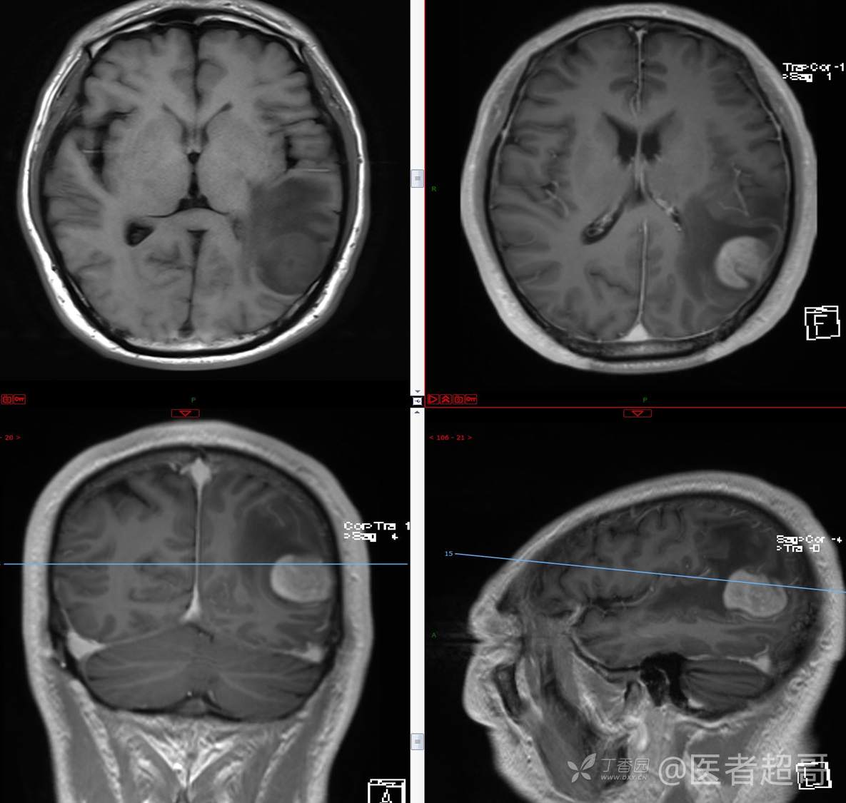
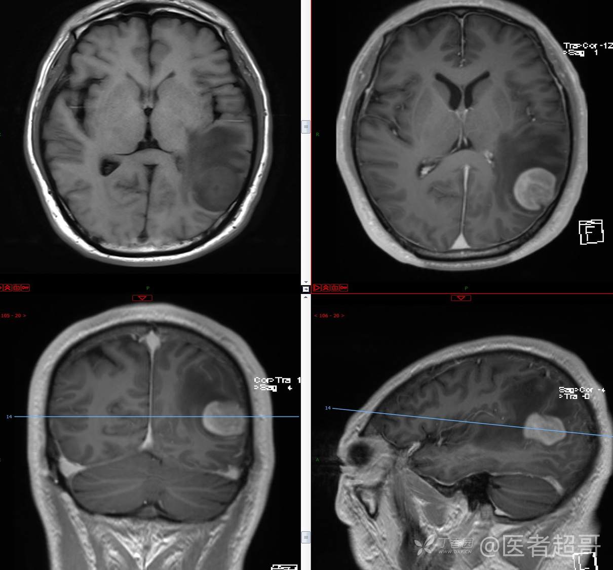
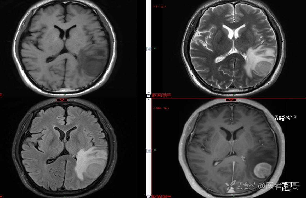
现病史:患者于约10天前于我院查体时行颅脑MRI提示左侧顶叶占位病变,无头痛头晕,无恶心呕杜,无肢体活动不利,无感觉异常,现患者为求进一步治疗,就诊于我科门诊,门诊以“颅内占位性病变”收入我科。患者自发病以来,神志清,精神可,饮食及睡眠差,大小便无明显异常,体重无明显变化。
既往史:既往冠心病病史7年,规律口服阿司匹林治疗,糖尿病史10余年,口服药物控制血糖,血糖控制一般,否认高血压、心脑血管病等疾病史,否认肝炎、结核或其他传染病史及密切接触史,预防接种史不详,自诉头孢药物过敏史,否认外伤史,否认手术史,否认输血史,其它无特殊。

























































