疑难病例分享+讨论,青年男性,精神行为异常3年---结果公布~
患者性别:男
患者年龄:24岁
主诉:精神行为异常3年,加重1月
简要病史:患者3年前无明显诱因出现精神行为异常,表现为胡言乱语,行为异常,尚可沟通,长期服用抗精神药(西酞普兰早1# 利培酮晚1#),1月前症状加重,表现为在厕所吃大小便,有自杀行为,行走不稳,病程中无意识障碍,无吞咽困难,饮水呛咳,声音嘶哑,有大小便失禁,无耳鸣及听力下降,无晕厥及黑朦,无发热,咳嗽咳痰,呼吸困难,无腹泻,等不适,于我院门诊行头核磁示颅内多发异常信号,现为求进一步治疗,门诊以“颅脑病变”收入我科。 起病以来,患者精神、饮食差,平素睡眠差,口服艾司唑仑,二便失禁,体力下降,近3年体重下降约10kg。
体格检查:(-)
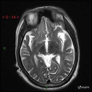
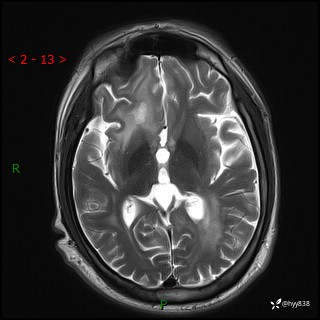
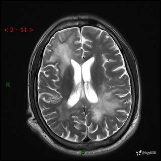
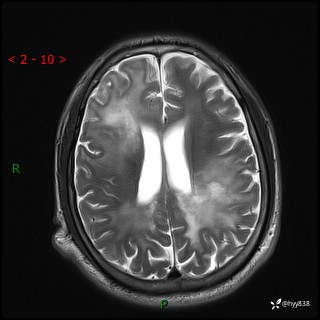
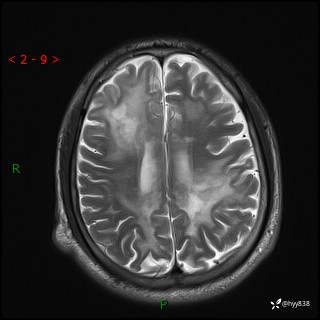
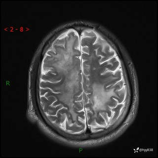
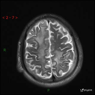
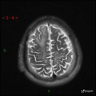
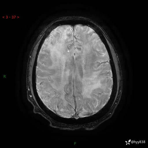
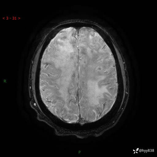
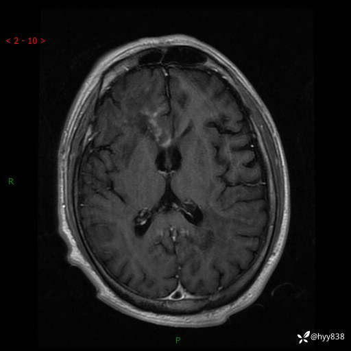
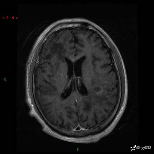
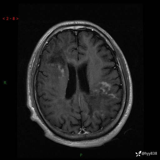
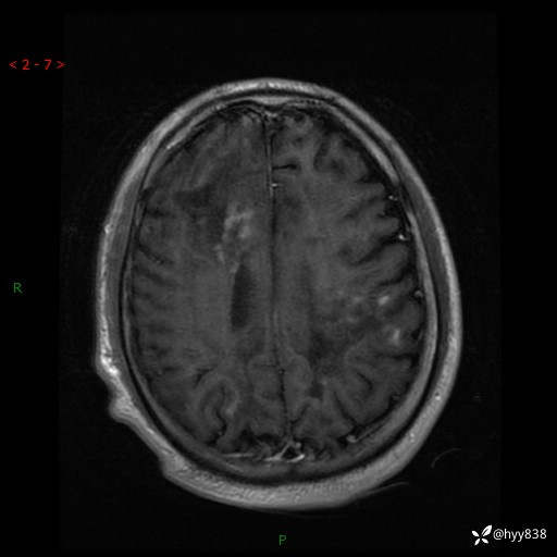
辅助检查:MRI
临床诊断:脑病
治疗经过:---
讨论:病变性质?
MRI T2WI









磁敏感成像






增强























































