【神经】特别精彩病例|发热、认知功能下降22天,精神行为异常4天
呱呱叫了 等 2 位达人已点赞患者性别:男
患者年龄:61岁
简要病史:发热、认知功能下降22天,精神行为异常4天
既往史:既往有高血压病、甲减等病史。否认“糖尿病”、“传染病”等病史
体格检查:未见异常
辅助检查:外院MRI提示:右放射冠区腔隙灶;深部脑白质高信号Fazekas1级 (可能血管源性);前交通动脉动脉瘤。外院脑脊液检查:乳酸脱氢酶19.00U/L;细菌涂片、真菌涂片、脑脊液腺昔脱氨酶、脑脊液总蛋白,脑脊液葡萄糖,脑脊液常规检查均正常。自免脑血清+脑脊液抗体阴性,临床诊断为病毒性脑炎,予以抗病毒治疗,精神症状稍缓解,但认知功能障碍未缓解、且加重,伴有出汗,饮食差,体重减轻5kg。外院胸部CT未见明确异常
MRI平扫+增强:
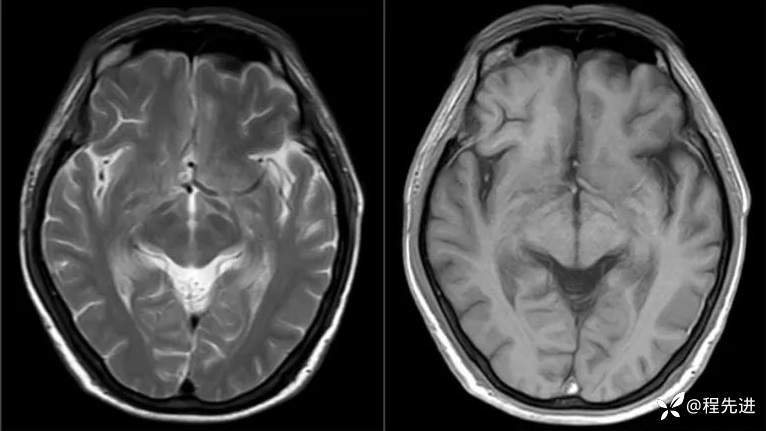
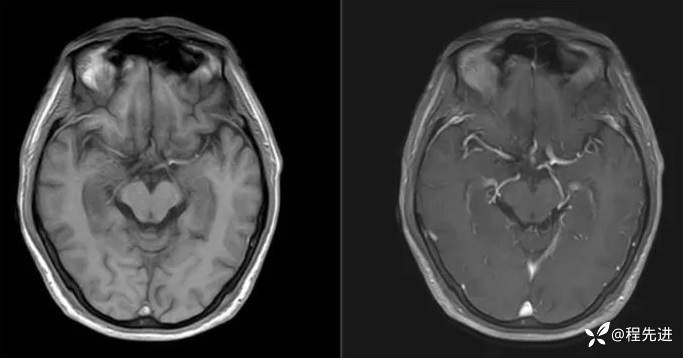
T2、T1:



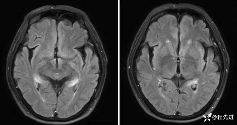
FLAIR:


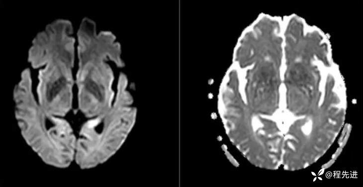
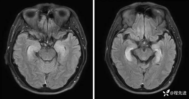
DWI、ADC:




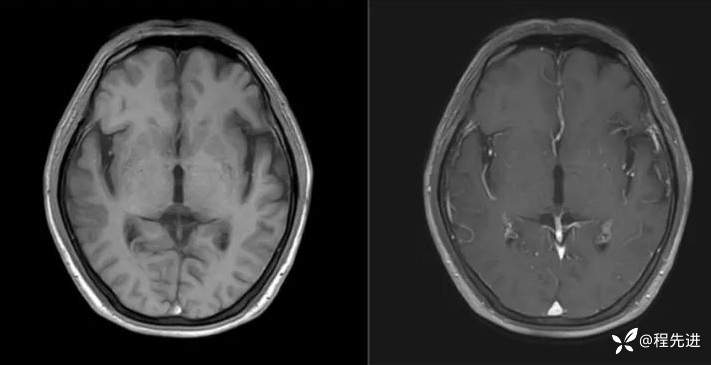
T1、T1增强:




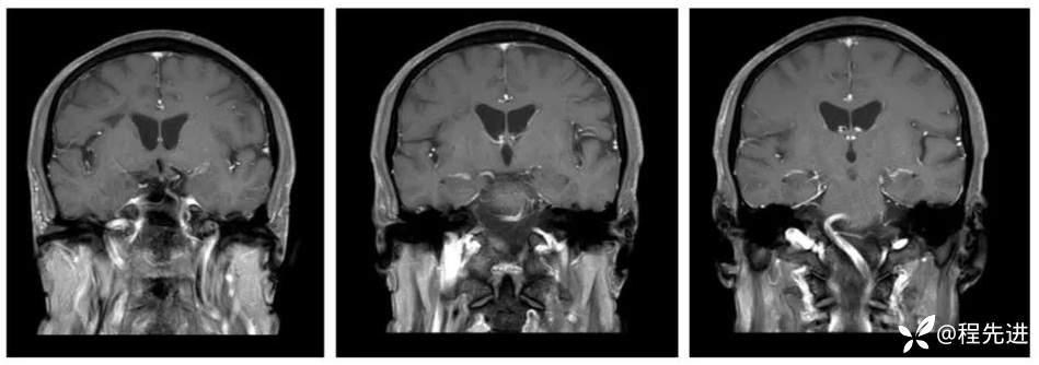
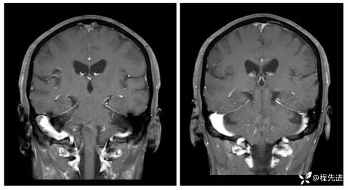
T1增强冠状位:


FLAIR增强:


追问病史:患者经常接触猫、狗等动物
期待您的精彩解读!















































