文献病例学习+分享。年轻女性,精神行为异常,请“慧”诊---结果公布~
过去的时光难忘怀 达人已点赞患者性别:女
患者年龄:23岁
简要病史:患者被诊断为情感分裂性躁狂症,一直药物治疗和定期复查。因症状反复发作入住精神科,伴有思想和行为混乱、时有幻听。
体格检查:(-)
辅助检查:MRI
临床诊断:精神疾病
治疗经过:---
讨论:病变性质?
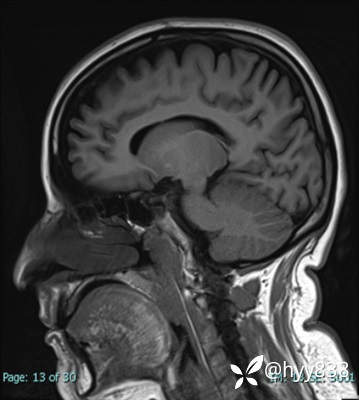
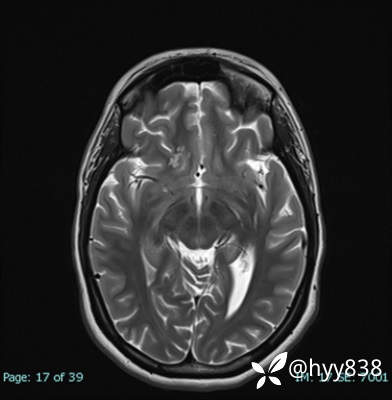
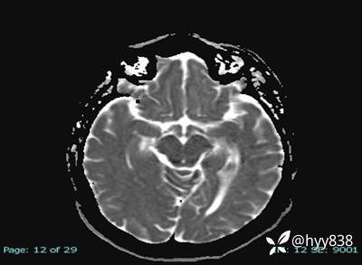
MRI sag T1WI + axi T2WI+FLAIR



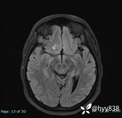
DWI


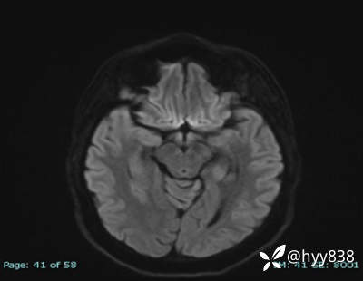
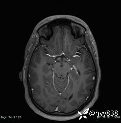
CE


过去的时光难忘怀 达人已点赞患者性别:女
患者年龄:23岁
简要病史:患者被诊断为情感分裂性躁狂症,一直药物治疗和定期复查。因症状反复发作入住精神科,伴有思想和行为混乱、时有幻听。
体格检查:(-)
辅助检查:MRI
临床诊断:精神疾病
治疗经过:---
讨论:病变性质?
MRI sag T1WI + axi T2WI+FLAIR



DWI


CE


