dxy logo
首页丁香园病例库全部版块
搜索
登录

28岁年轻女性,体检发现胰腺病变,秒杀病例吗?已公布结果。

影像核医学版版主 · 最后编辑于 2023-05-12 · IP 广东广东
4099 浏览
推荐、达人点赞 2 项荣誉
这个帖子发布于 2 年零 156 天前,其中的信息可能已发生改变或有所发展。

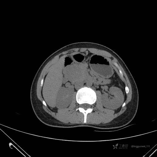
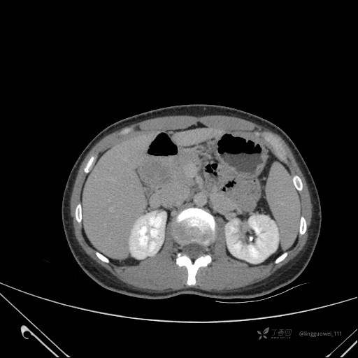
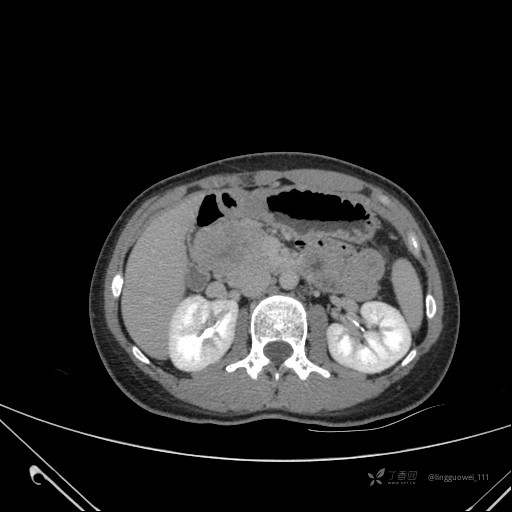
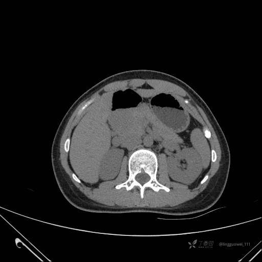
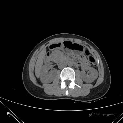
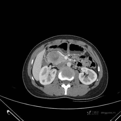
患者性别:女

患者年龄:28岁

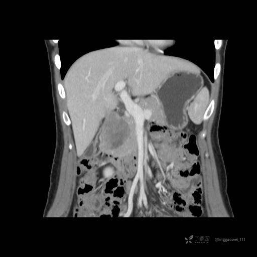
主诉:体检发现胰腺病变,行 CT检查。

平扫:

img
img
img

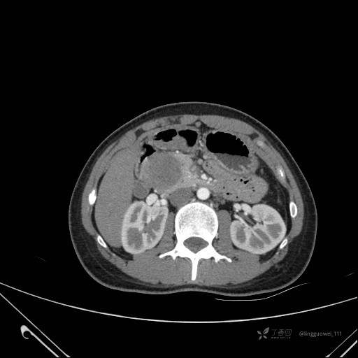
动脉期:

img
img

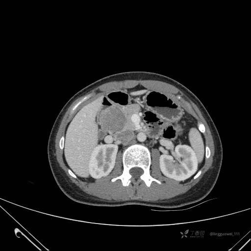
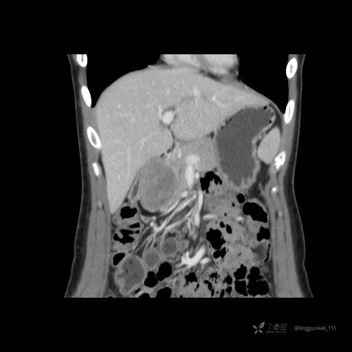
门脉期:

img
img
img
img
img

延迟期:

img
img
胰腺肿瘤 (34)
实性假乳头状瘤 (12)
纠错
219 11 11
同行评议(0)
已评议
不开通精选
开通精选
精选已授权,待上线
评议结果暂未公布
参与评议
去邀请
NaN
病例完整NaN
临床实用NaN
诊疗科学NaN
学术价值NaN

全部讨论(0)

默认最新
avatar
219
分享帖子
share-weibo分享到微博
share-weibo分享到微信
认证
返回顶部