dxy logo
首页丁香园病例库全部版块
搜索
登录

年轻女性咳嗽,CT发现肺结节,良性还是恶性?(4天后公布结果)

影像核医学版版主 · 最后编辑于 2024-01-25 · IP 广东广东
4430 浏览
推荐、达人点赞 2 项荣誉
这个帖子发布于 1 年零 257 天前,其中的信息可能已发生改变或有所发展。

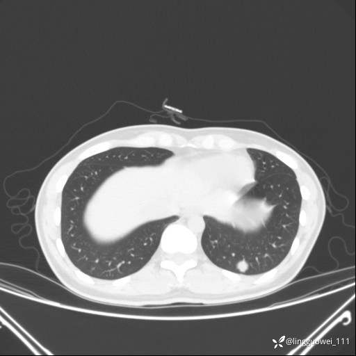
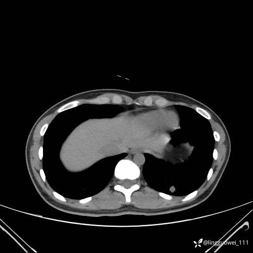
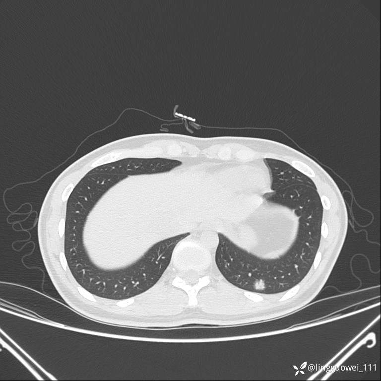
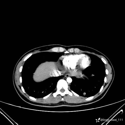
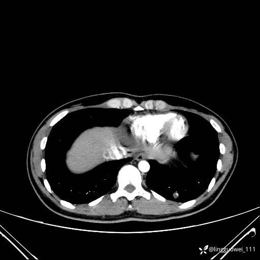
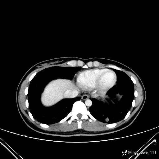
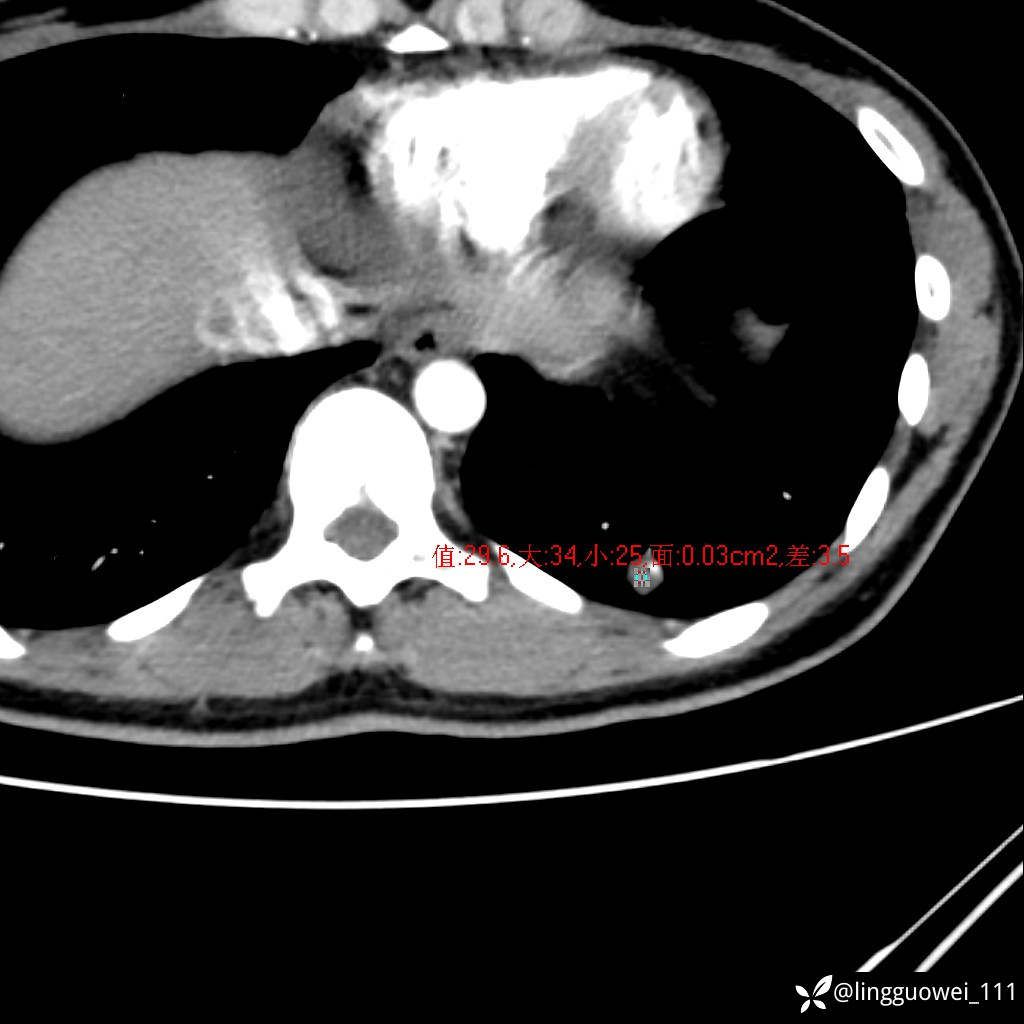
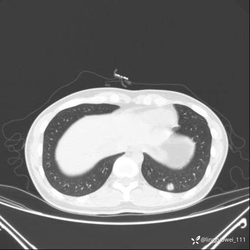
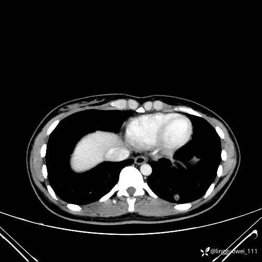
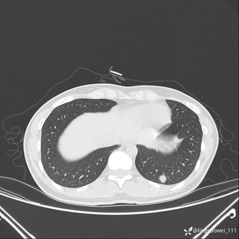
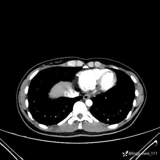
患者性别:女

患者年龄:26岁

主诉:咳嗽来诊,结节性质不明。

img
img
img
img
img
img
img
img
img
img
img
img
img
img
img
肺毛细血管瘤 (2)
纠错
51 11 19
同行评议(0)
已评议
不开通精选
开通精选
精选已授权,待上线
评议结果暂未公布
参与评议
去邀请
NaN
病例完整NaN
临床实用NaN
诊疗科学NaN
学术价值NaN

全部讨论(0)

默认最新
avatar
51
分享帖子
share-weibo分享到微博
share-weibo分享到微信
认证
返回顶部