颌下腺结节:青年男性,颌下区无痛性肿物,请分析~~~
患者,男性,33岁
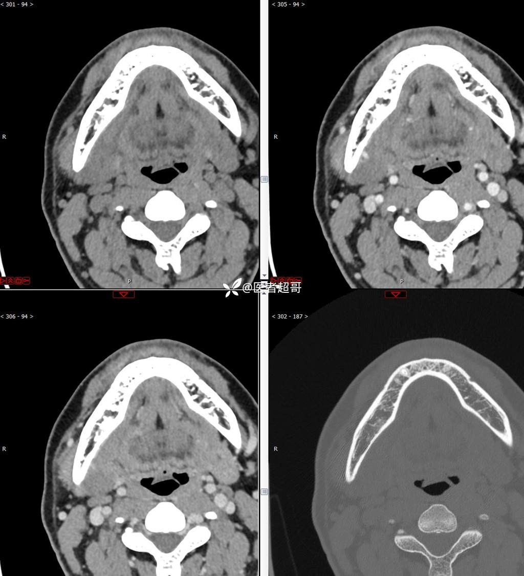
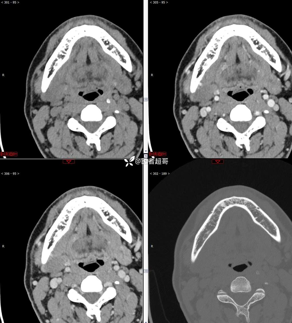
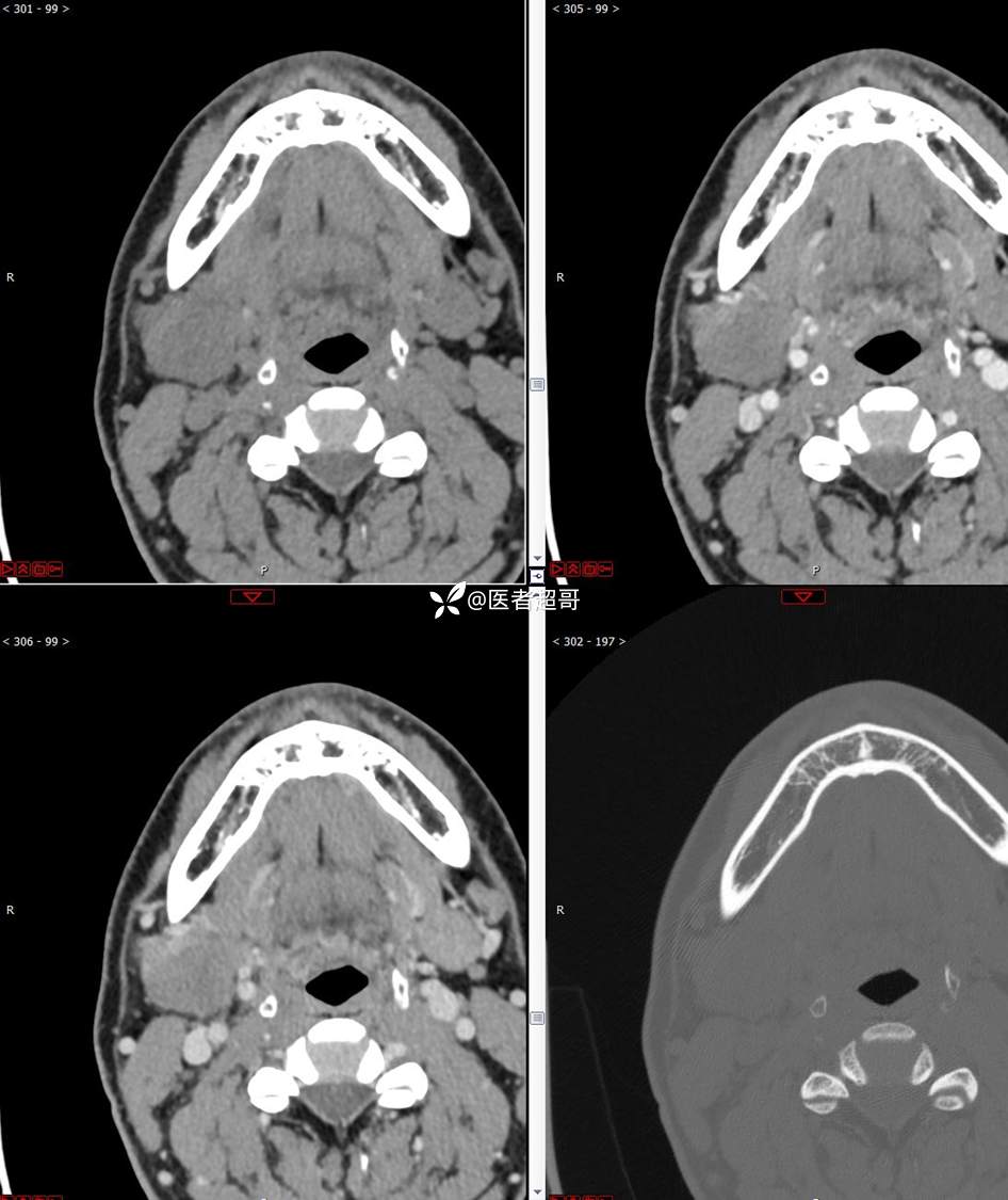
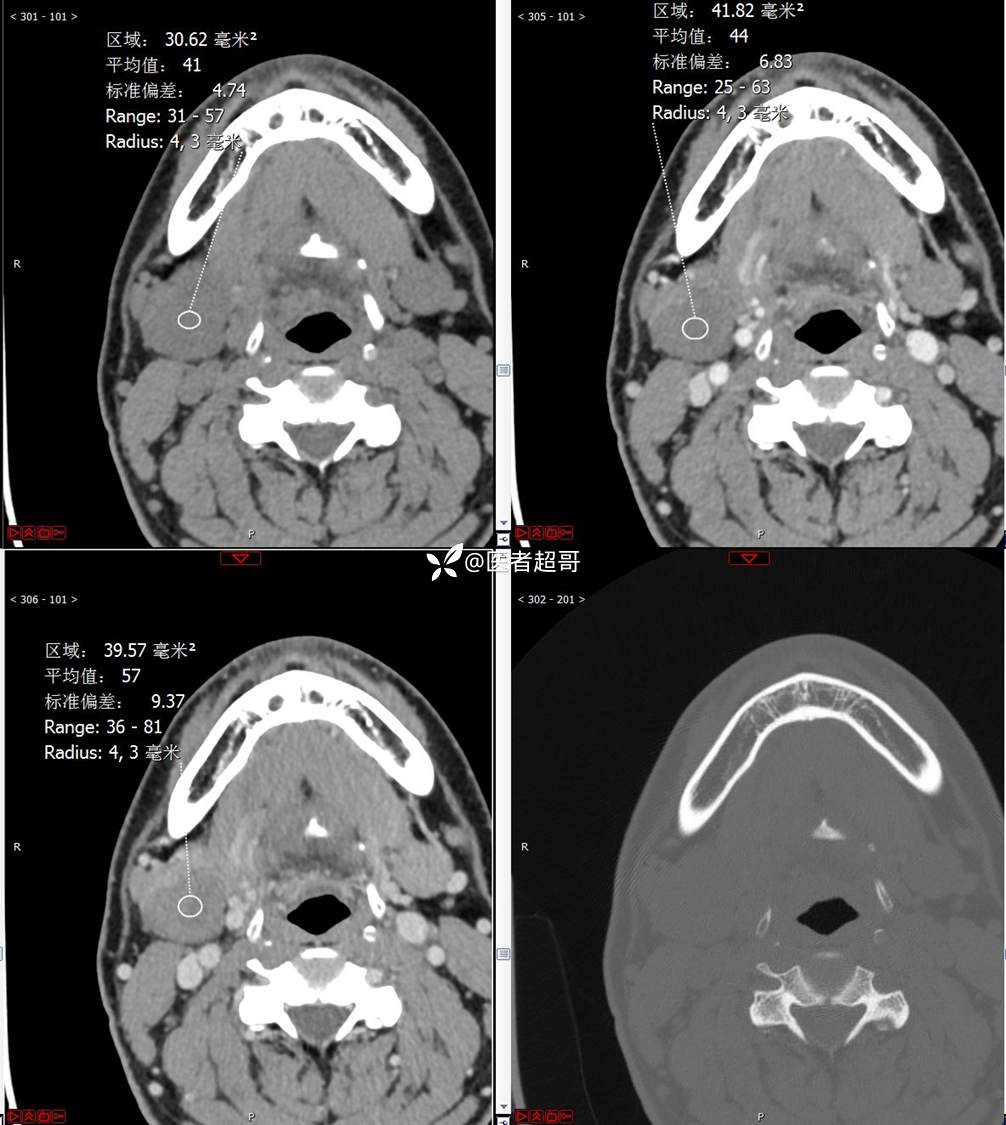
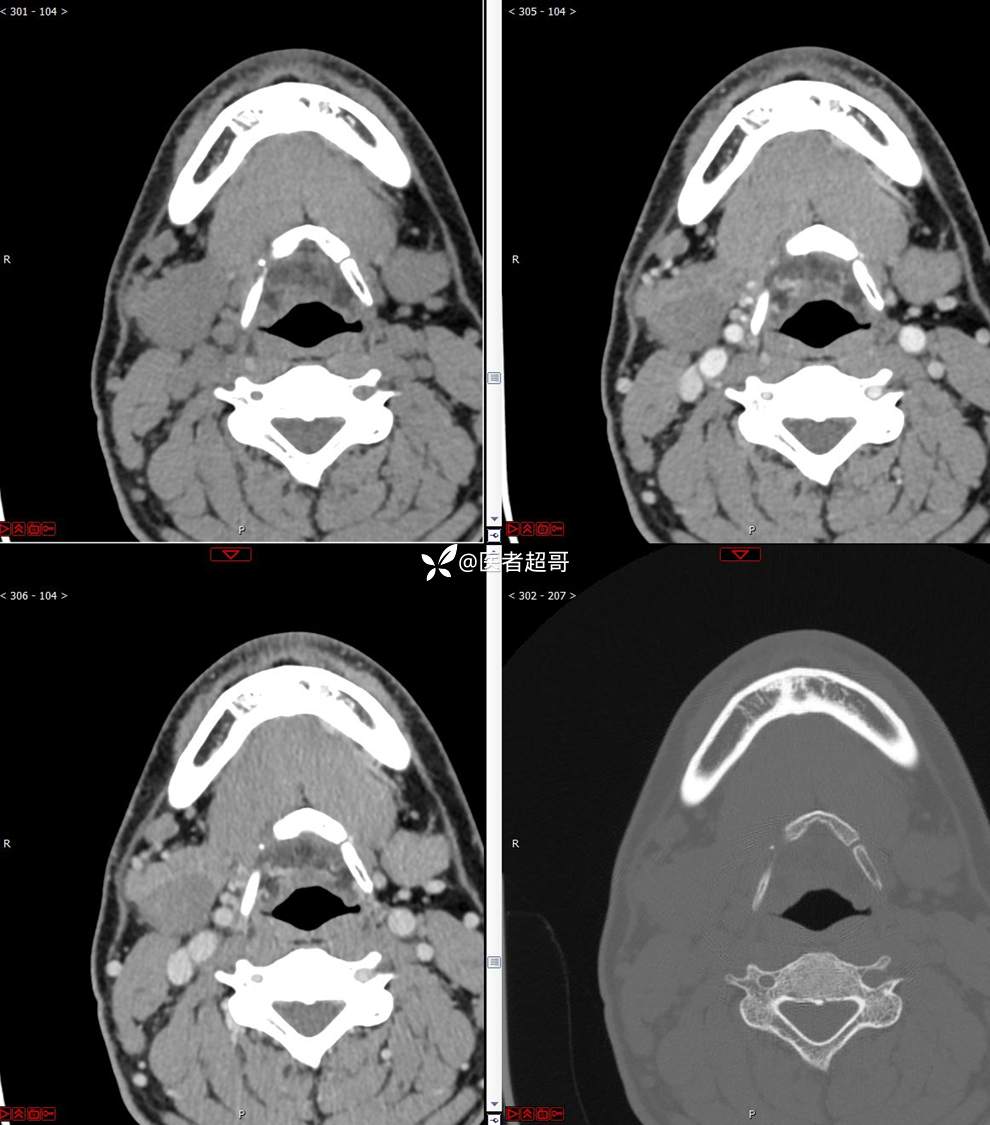
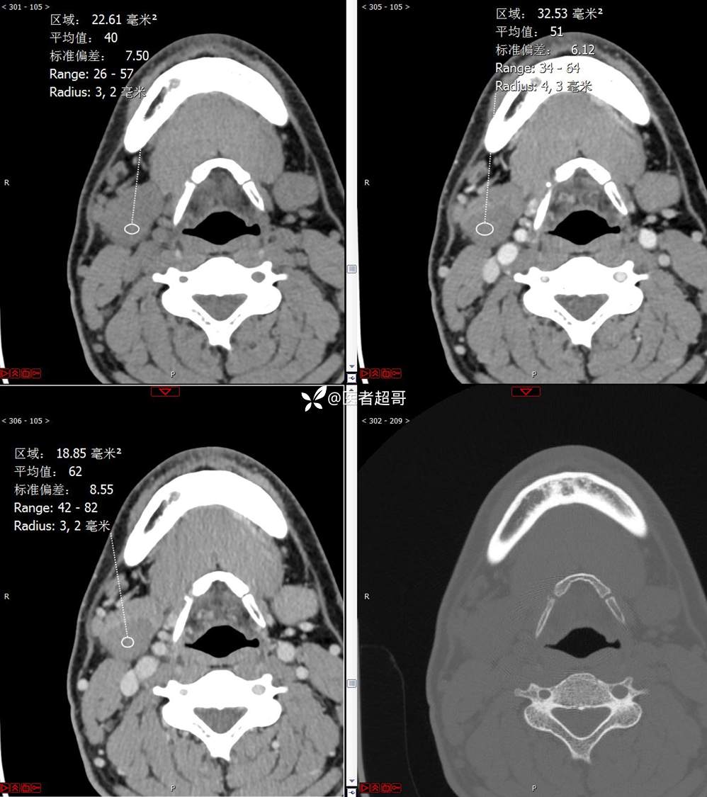
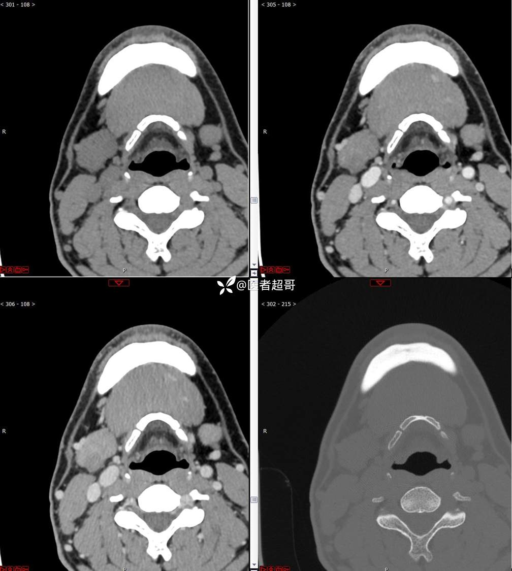
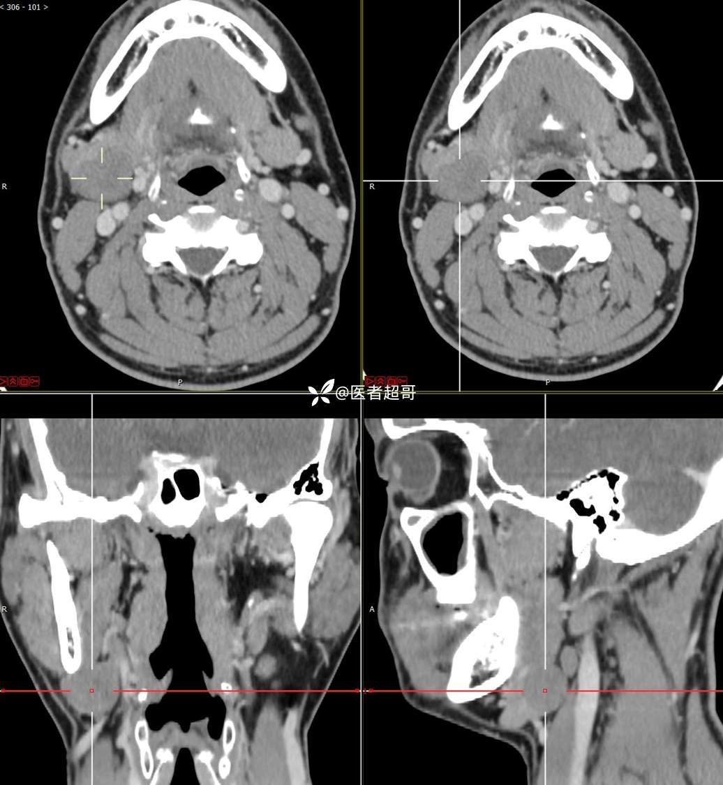
主 诉:发现右颌下区无痛性肿物1年。
现病史:患者于1年前发现右颌下区一肿物,肿物约“葡萄粒”大小,无疼痛不适,无进食时颌下区肿胀及疼痛不适。2023-10-1就诊于市中医院行超声检查;未予治疗。肿物体积无明显变化,求进一步治疗就诊于我院门诊,门诊以“颌下肿物”收入我科。患者自发病以来,神志清,精神佳,食欲好,睡眠好,大小便正常,近期体重无明显变化。
既往史:右侧小拇趾外伤史,否认高血压、否认糖尿病、否认心脑血管病等疾病史,否认肝炎、结核或其他传染病史及密切接触史,预防接种史不详,否认药物及食物过敏史,否认手术史,否认输血史,其它无特殊。
个人史:生于原籍,否认冶游史,无职业及毒物暴露史,无吸烟,偶尔饮酒,约10年,平均500g/日。无药物嗜好。
























































