【腹盆】特别精彩病例|体检发现肝脏占位2月余,期待您的精彩解读
病例信息
患者性别:女
患者年龄:59岁
主诉:体检发现肝脏占位2月余
现病史:患者2月前因咳嗽行胸部CT偶然发现肝右叶占位,病程中患者无腹痛、腹泻,无恶心、呕吐,无皮肤、巩膜、黄染,无头晕头痛,无咳嗽、咳痰, 偶有心慌,无胸痛、胸闷、气短。
实验室检查:CA19-9 49.07↑U/mL
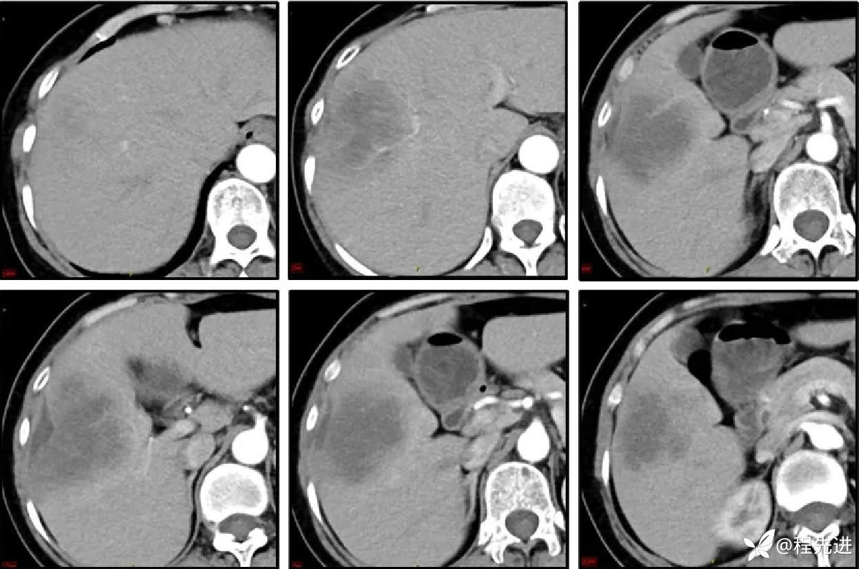
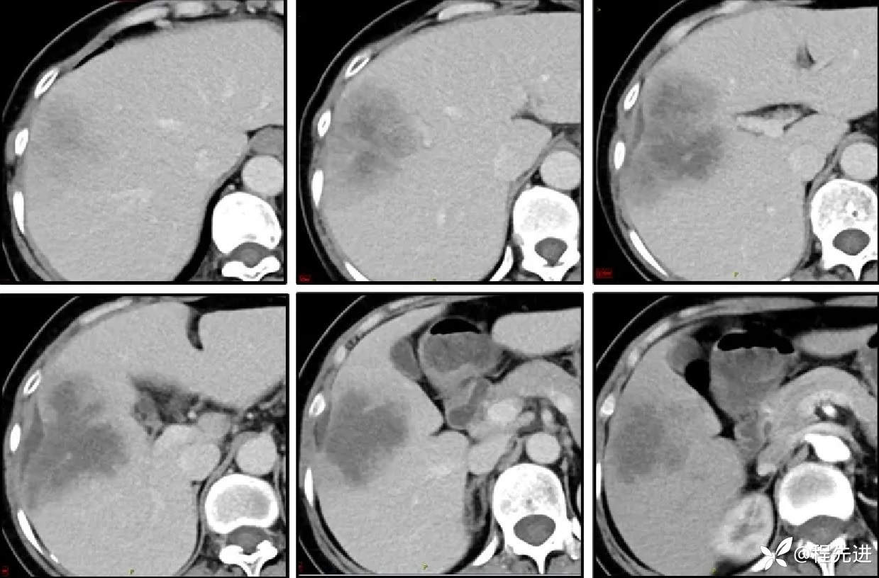
CT增强,3期:



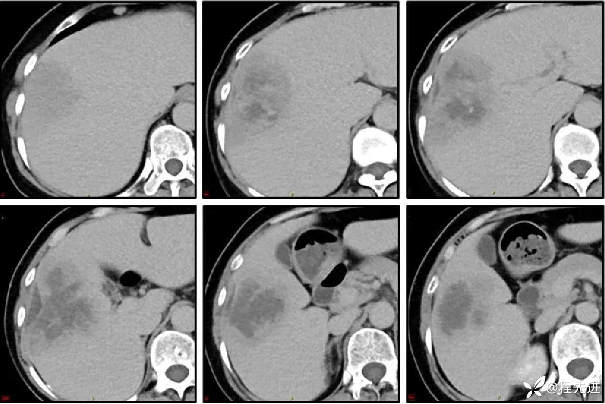
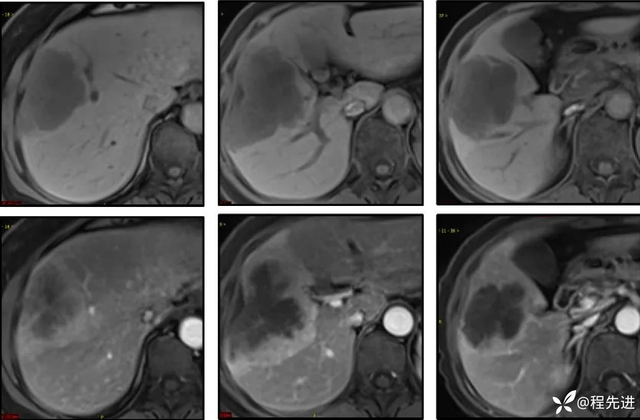
同反相位:

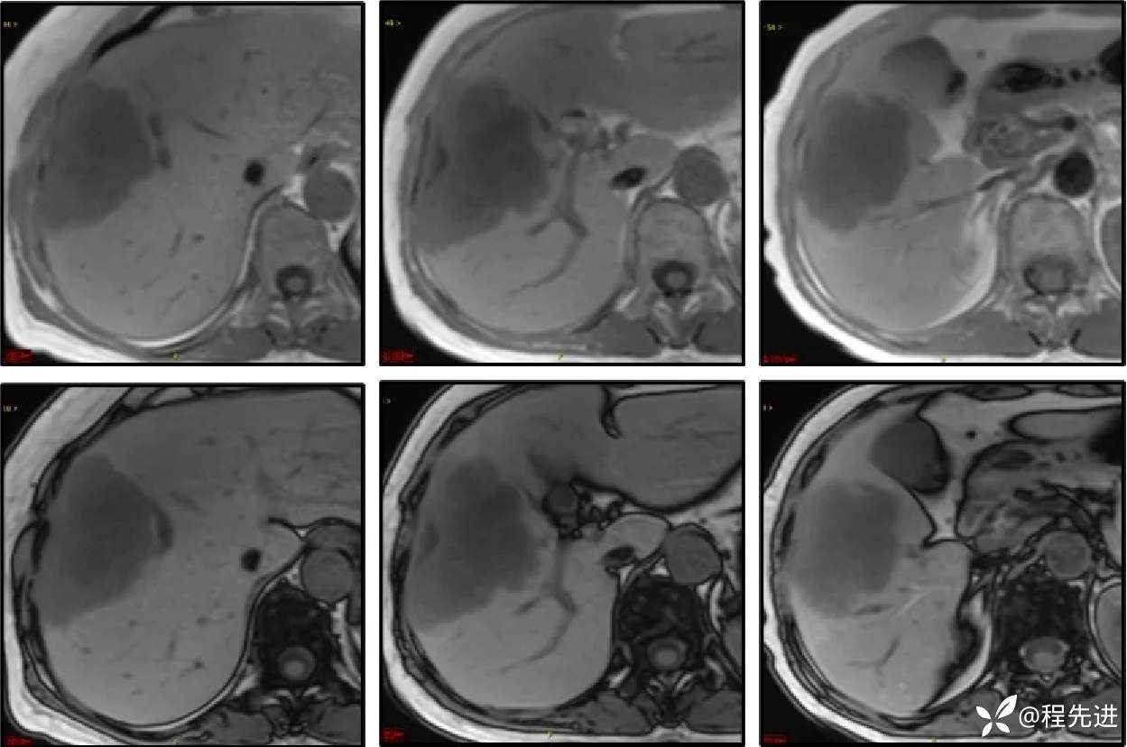
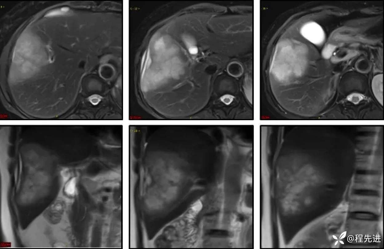
T2:

DWI、ADC:

平扫、动脉期:

静脉期、延迟期:

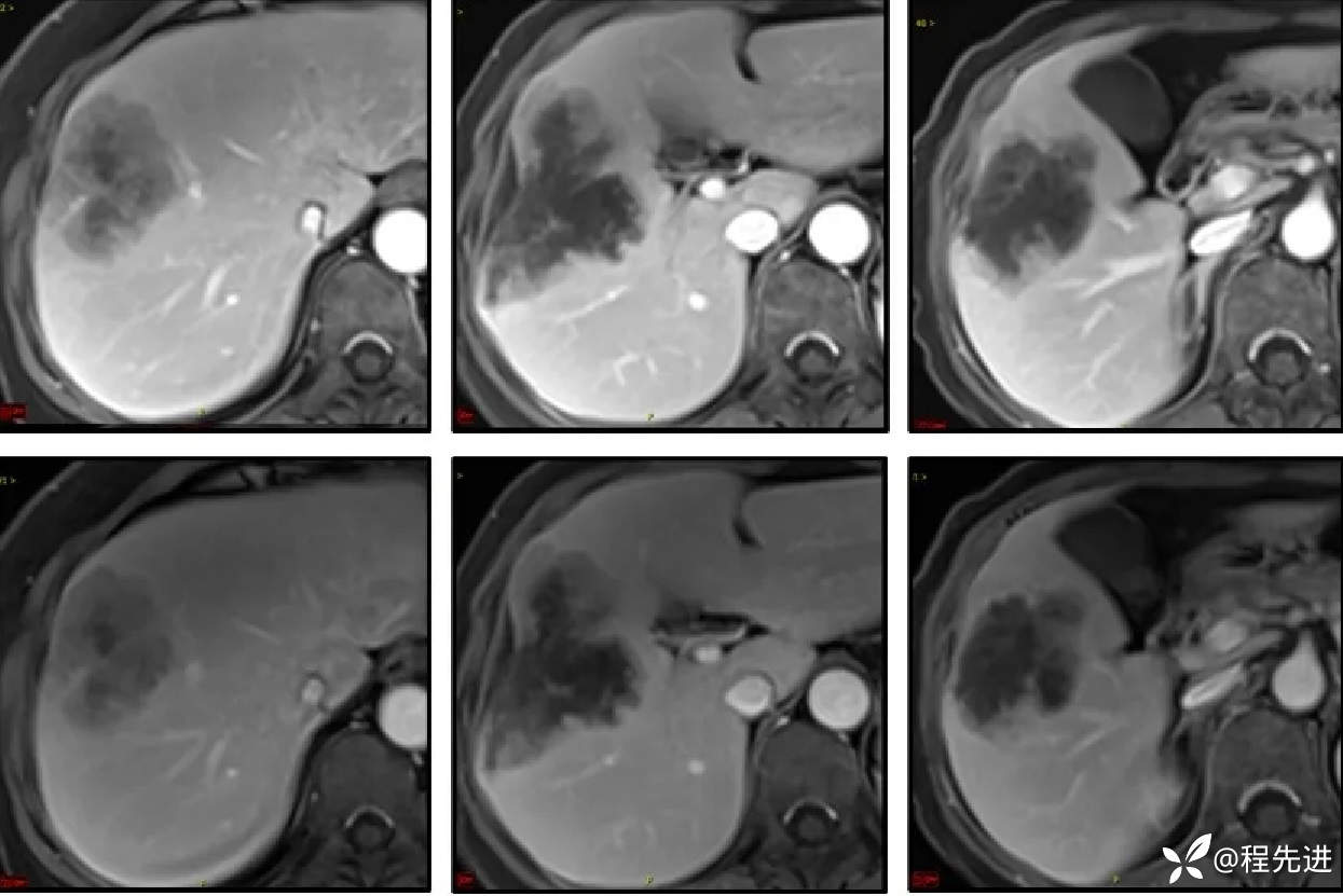
移行期、肝胆期:

期待您的点赞支持!
期待您的精彩解读!















































