【腹盆】特别精彩病例|发现肝脏占位2周,肝下角占位期待您的精彩解读
胡志勇HZY 等 2 位达人已点赞病例信息
患者性别:男
患者年龄:58岁
主诉:发现肝脏占位2周
现病史:患者2周前无明显诱因下出现咳嗽,伴发热、乏力、全身酸痛,无腹痛腹胀、胸闷胸痛、恶心呕吐,外院诊断为“流感”并经治疗后好转,期间行胸部CT检查时发现肝脏占位。患者自发病以来精神良好,食欲正常大小便如常,体重稍减轻。
既往史:“高血压”病史20年,“糖尿病”病史15年,“肝炎”病史35年。
个人史:吸烟史30年,饮酒史30年
实验室检查:
血常规:白细胞11.65x109/L↑中性粒细胞 8.78x109/L↑中性粒细胞百分比75.4%↑淋巴细胞百分比 18.8%↓
血糖:14.31 mmol/L↑
乙肝病毒DNA:6.16E+03 lU/ml↑
AFP:7.23 ng/ml ↑
异常凝血酶原:2.06 ng/ml
高尔基体蛋白73:194.1 ng/ml↑
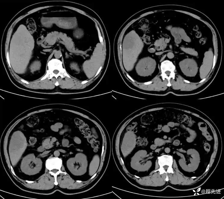
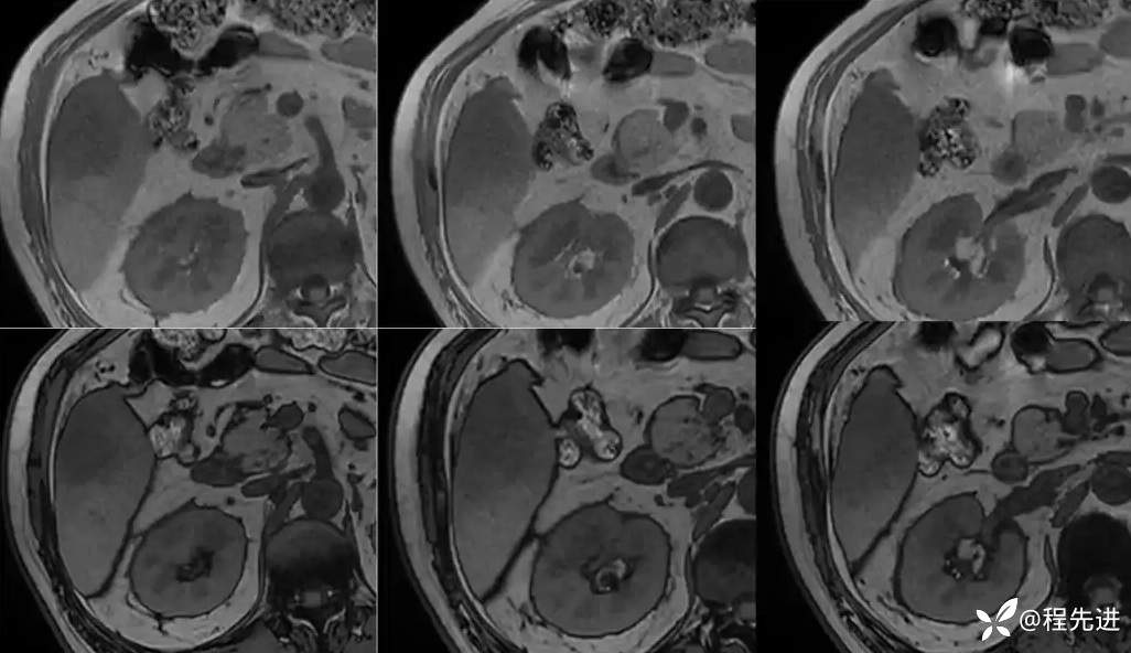
CT平扫:

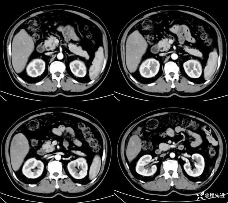
动脉期:

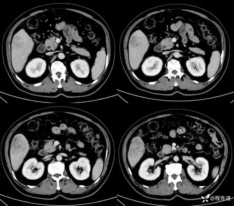
门静脉期:

门静脉期冠状位:

延迟期:

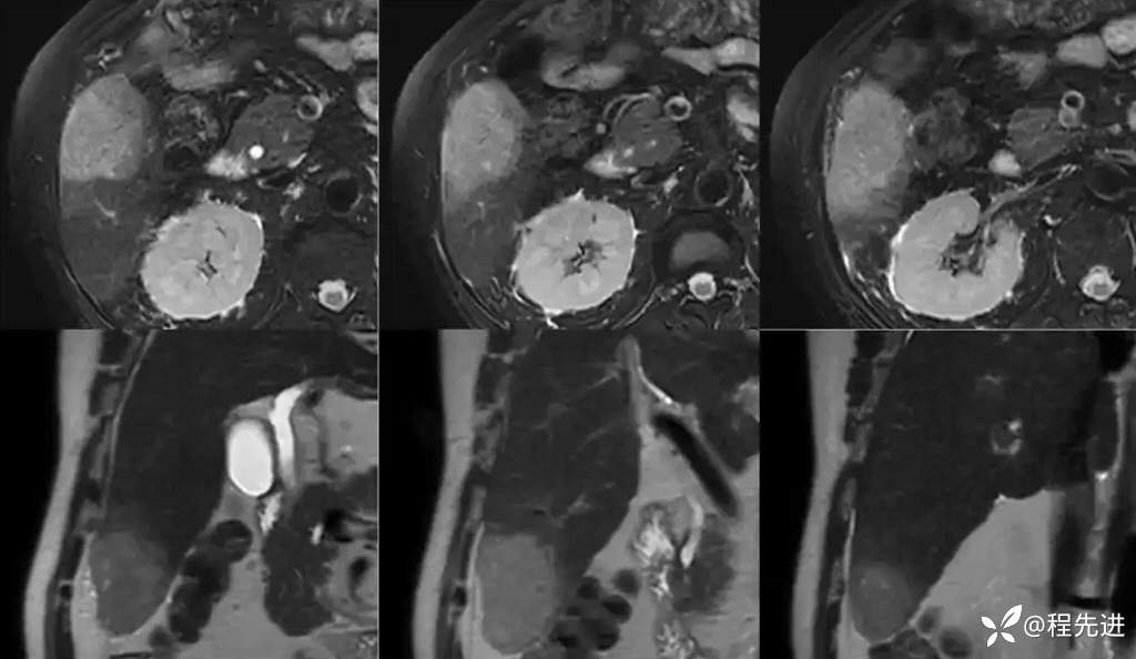
T1同反相位:

T2:

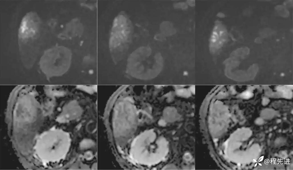
DWI、ADC

T1蒙片:

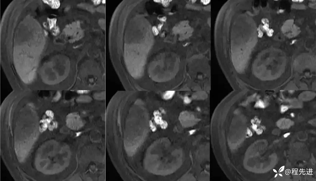
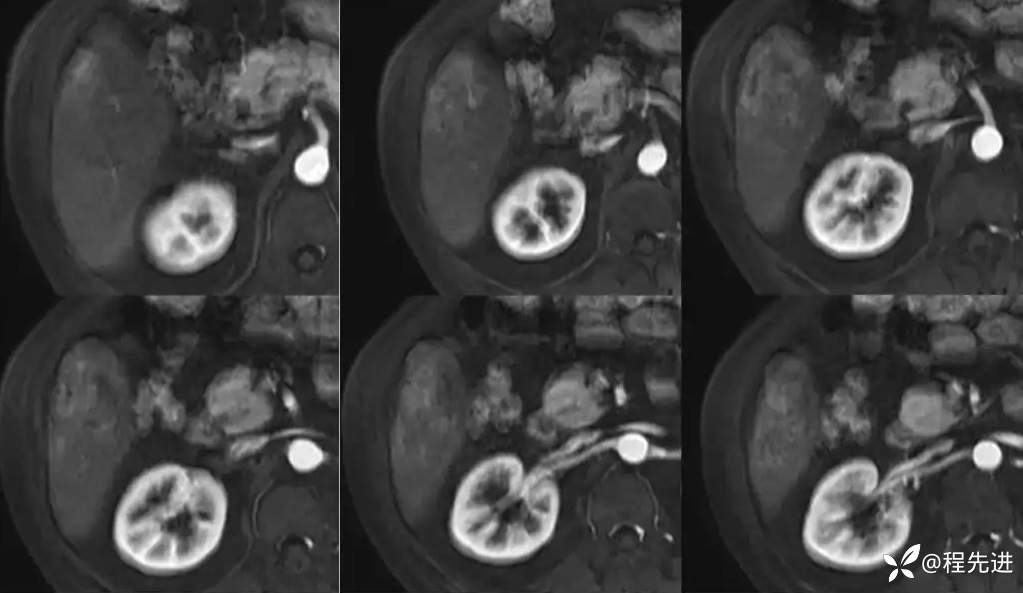
动脉期:

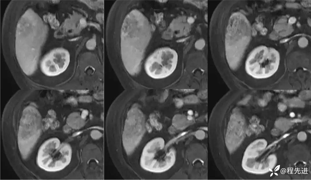
门静脉期:

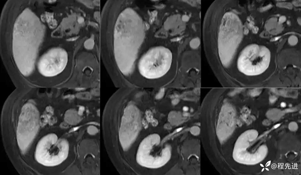
移行期:

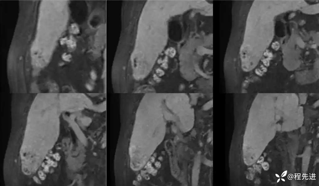
移行期冠状位:

肝胆期:

期待您的点赞支持!
期待您的精彩解读!















































