dxy logo
首页丁香园病例库全部版块
搜索
登录

老年男性,发热3天,发现肝脏占位,延迟强化填平一定是血管瘤?结果公布~

影像核医学版版主 · 发布于 2023-06-16 · IP 湖北湖北
1934 浏览
推荐、达人点赞 2 项荣誉
这个帖子发布于 2 年零 162 天前,其中的信息可能已发生改变或有所发展。

年龄:71岁

性别:男

简要病史: 间断发热、咳嗽3天,超声发现肝占位

体格检查:(-)

临床诊断:肝占位

临床治疗:…

讨论:病变性质?

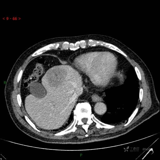
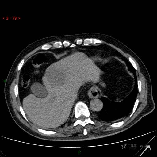
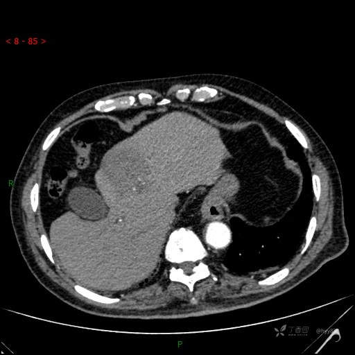
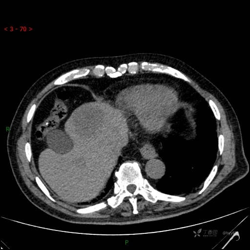
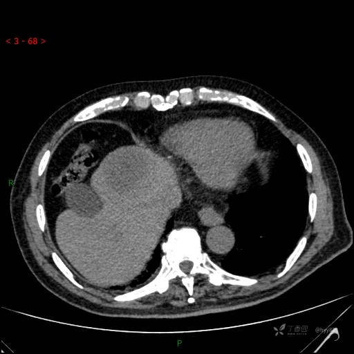
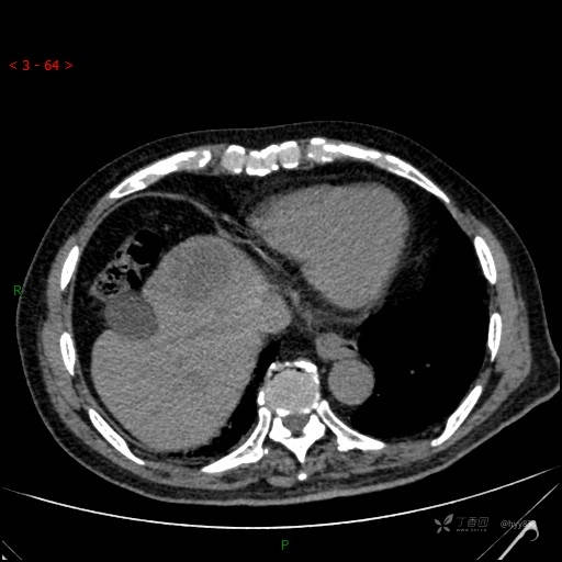
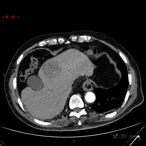
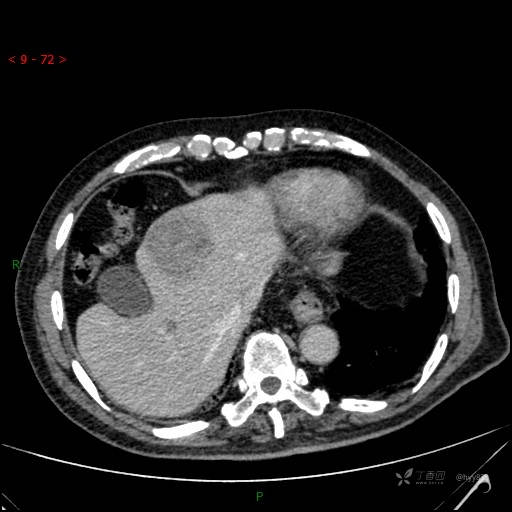
肝脏CT平扫

img
img
img
img
img
img
img
img
img

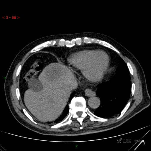
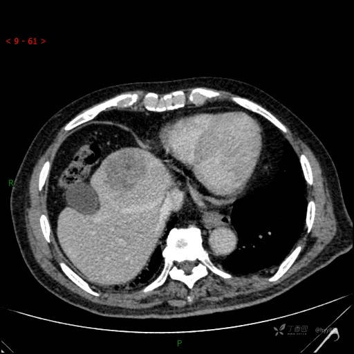
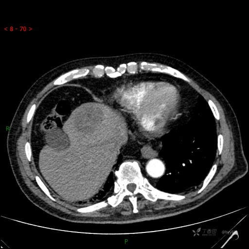
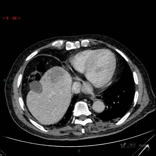
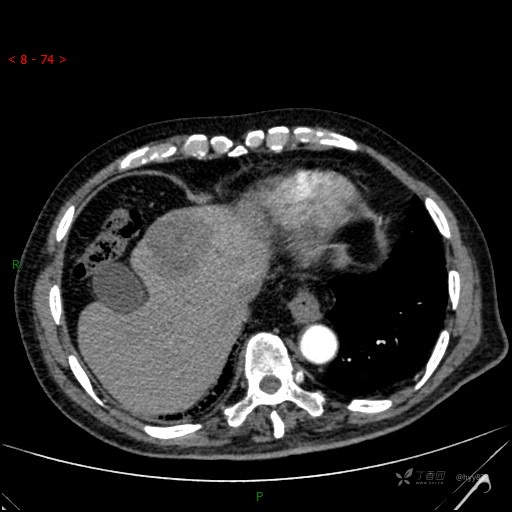
增强动脉期

img
img
img
img
img
img

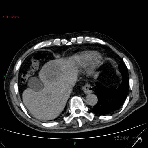
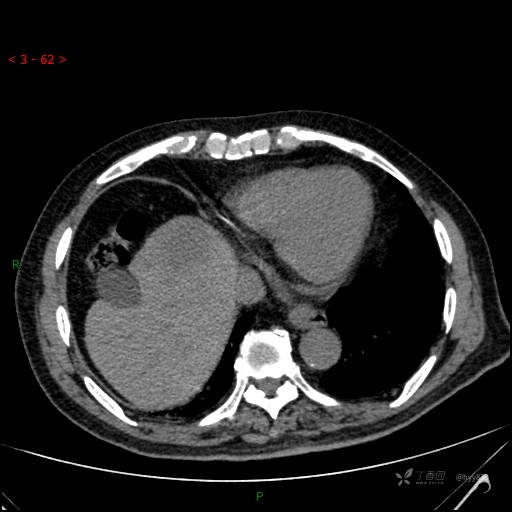
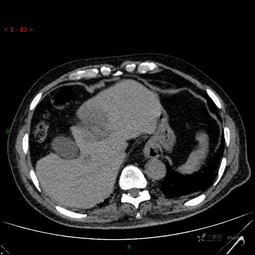
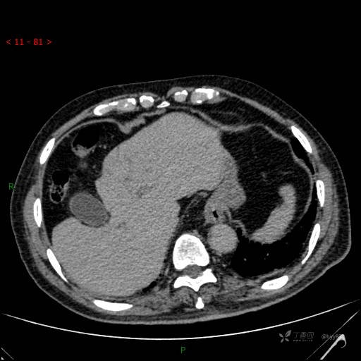
静脉期

img
img
img
img

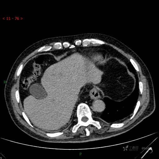
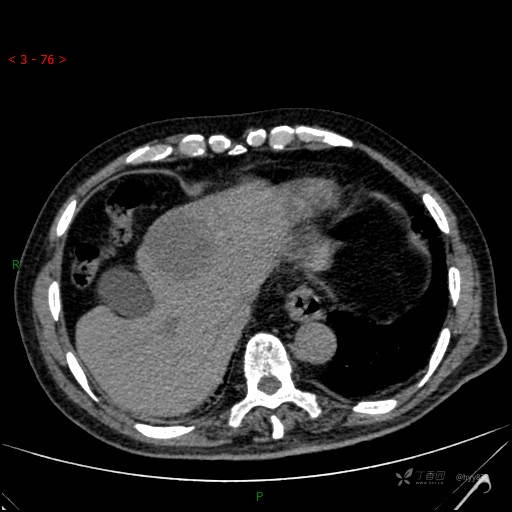
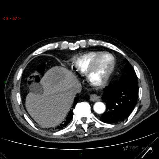
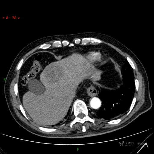
延迟期

img
img
img
img
肝脓肿 (73)
纠错
67 10 13
同行评议(0)
已评议
不开通精选
开通精选
精选已授权,待上线
评议结果暂未公布
参与评议
去邀请
NaN
病例完整NaN
临床实用NaN
诊疗科学NaN
学术价值NaN

全部讨论(0)

默认最新
avatar
67
分享帖子
share-weibo分享到微博
share-weibo分享到微信
认证
返回顶部