病例|老年男性肝脏占位(少见病理类型),考虑诊断?(有病理)
胡志勇HZY 达人已点赞病例信息
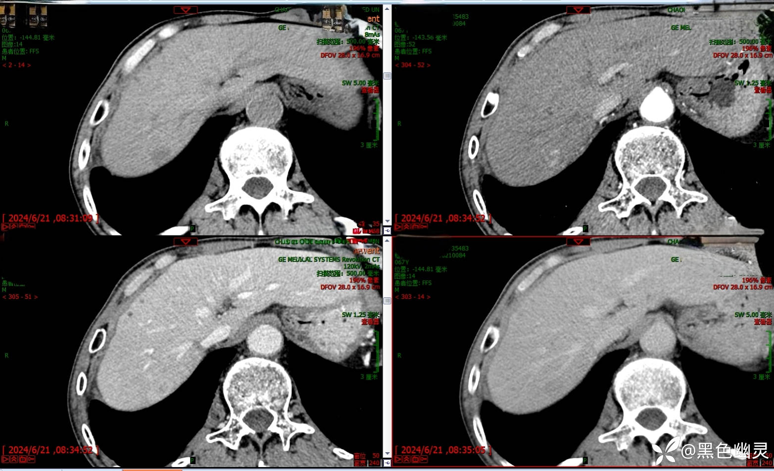
患者,男,68岁。1月前患者体检时发现肝脏右后叶结节,无腹痛、腹泻,无呕吐,无鼻塞、流涕,尿量正常,门诊拟肝右叶占位,收住我科。病程中患者一般情況尚可,无量减少,睡眠欠佳,大便基本正常,体重未见减轻。
查体,神清,全身皮肤巩膜无黄染,腹部压痛阴性,反跳痛阴性,双下肢无浮肿。






胡志勇HZY 达人已点赞病例信息
患者,男,68岁。1月前患者体检时发现肝脏右后叶结节,无腹痛、腹泻,无呕吐,无鼻塞、流涕,尿量正常,门诊拟肝右叶占位,收住我科。病程中患者一般情況尚可,无量减少,睡眠欠佳,大便基本正常,体重未见减轻。
查体,神清,全身皮肤巩膜无黄染,腹部压痛阴性,反跳痛阴性,双下肢无浮肿。






