6月特别精彩病例|声嘶伴颜面部浮肿1月余,纵隔占位期待你的完美解析【病理已公布】
患者性别:男
患者年龄:43岁
主诉:声嘶伴颜面部浮肿1月余
现病史:1月前患者无明显诱因出现声嘶,伴有颜面部和颈部浮肿,伴活动后气促,有阵发性咳嗽,咳白色痰,无明显胸闷胸痛,无头痛头晕,无畏寒发热。患者自起病以来,精神食欲睡眠一般,大小便正常,体重近来下降7斤。
辅助检查:
血常规:白细胞7.04X109/L;血红蛋白119g/L;血小板:409X10^9/L;中性粒细胞5.49X109/L;中性粒细胞比率78.00%。
凝血常规检查:纤维蛋白原检测7.0g/L↑;肝功能常规检查:白蛋白34g/L;C反应蛋白104.00mg/L↑
糖类抗原125 51.79u/ml↑;糖类抗原199 10.39u/ml;糖类抗原153 9.13u/ml:癌胚抗原1.75ng/ml;神经元特异性烯醇化酶63.65ng/ml↑;鳞状细胞癌抗原0.65ng/ml。
电解质、肾功能、粪便常规、输血前常规、隐血试验及心电图等正常。
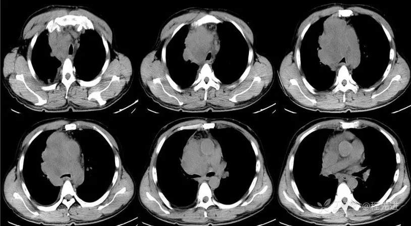
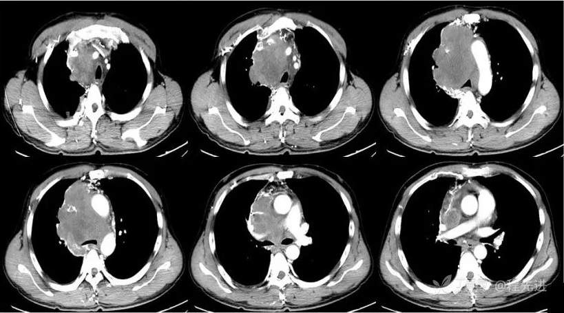
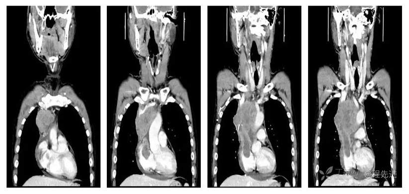
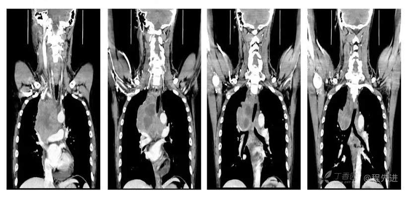
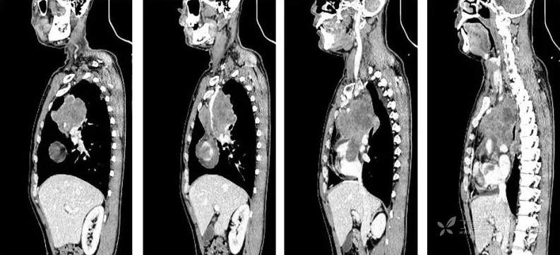
CT
平扫CT值约38HU,动脉期CT值约46HU,静脉期CT值约58HU





















































