【面颈】特别精彩病例|呼吸费力3月余,声嘶2月余,左侧鼻咽部占位期待您的精彩解读
胡志勇HZY 达人已点赞病例信息
患者性别:男
患者年龄:58岁
主诉:呼吸费力3月余,声嘶2月余
现病史:患者3月前劳作后出现呼吸费力,胸闷气促。外院颈部CT检查提示:左侧颈部肿物。3月来颈部肿物逐渐增大,劳作后呼吸困难加重;2月前出现声音嘶哑,逐渐加重。现患者至我院门诊就诊,拟“左侧咽旁间隙良性肿瘤”收住入院
实验室检查:C-反应蛋白 85.1 mg/L(<10.0);糖化血红蛋白A1:11.3%(6.1-8.2);糖化血红蛋白A1c:9.9%(4.3-6.3);估计血浆平均葡萄糖浓度 13.2 mmol/L(4.2-7.8)
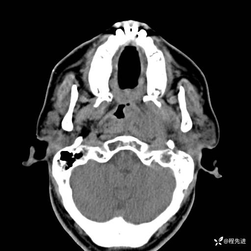
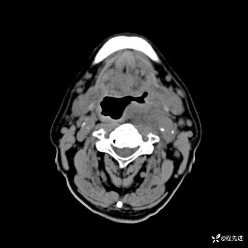
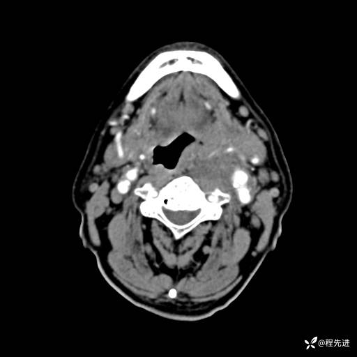
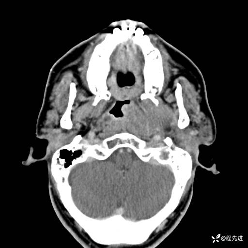
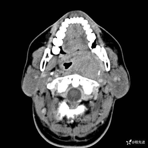
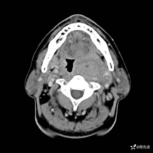
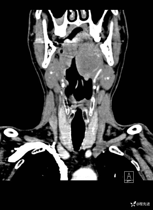
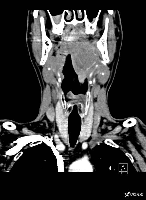
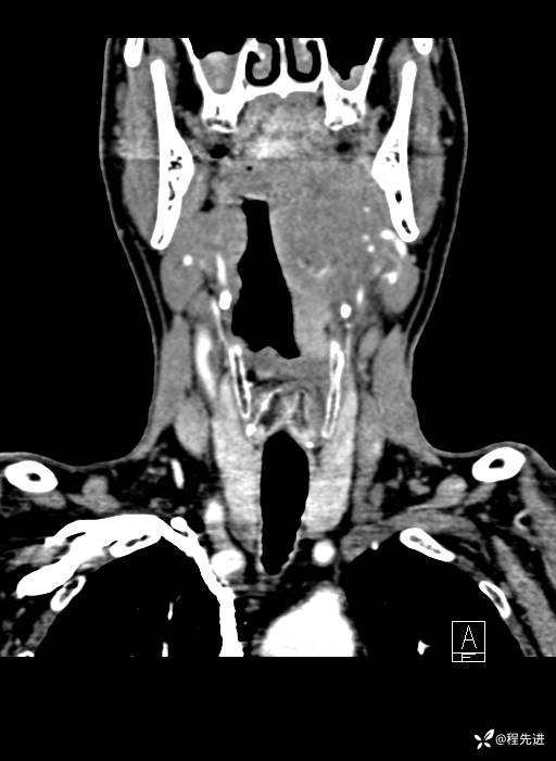
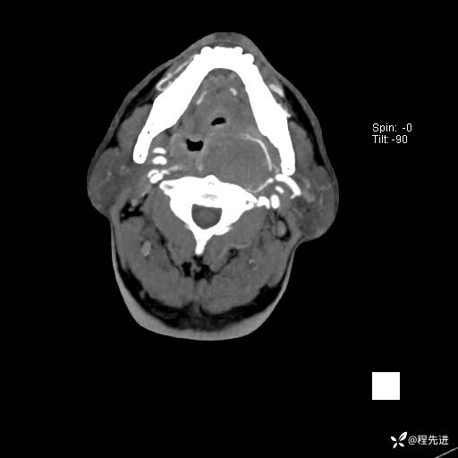
CT平扫:




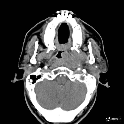
CT增强:
动脉期:




静脉期:




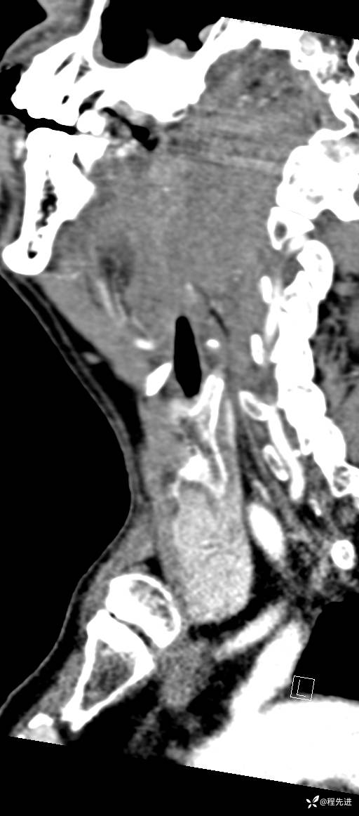
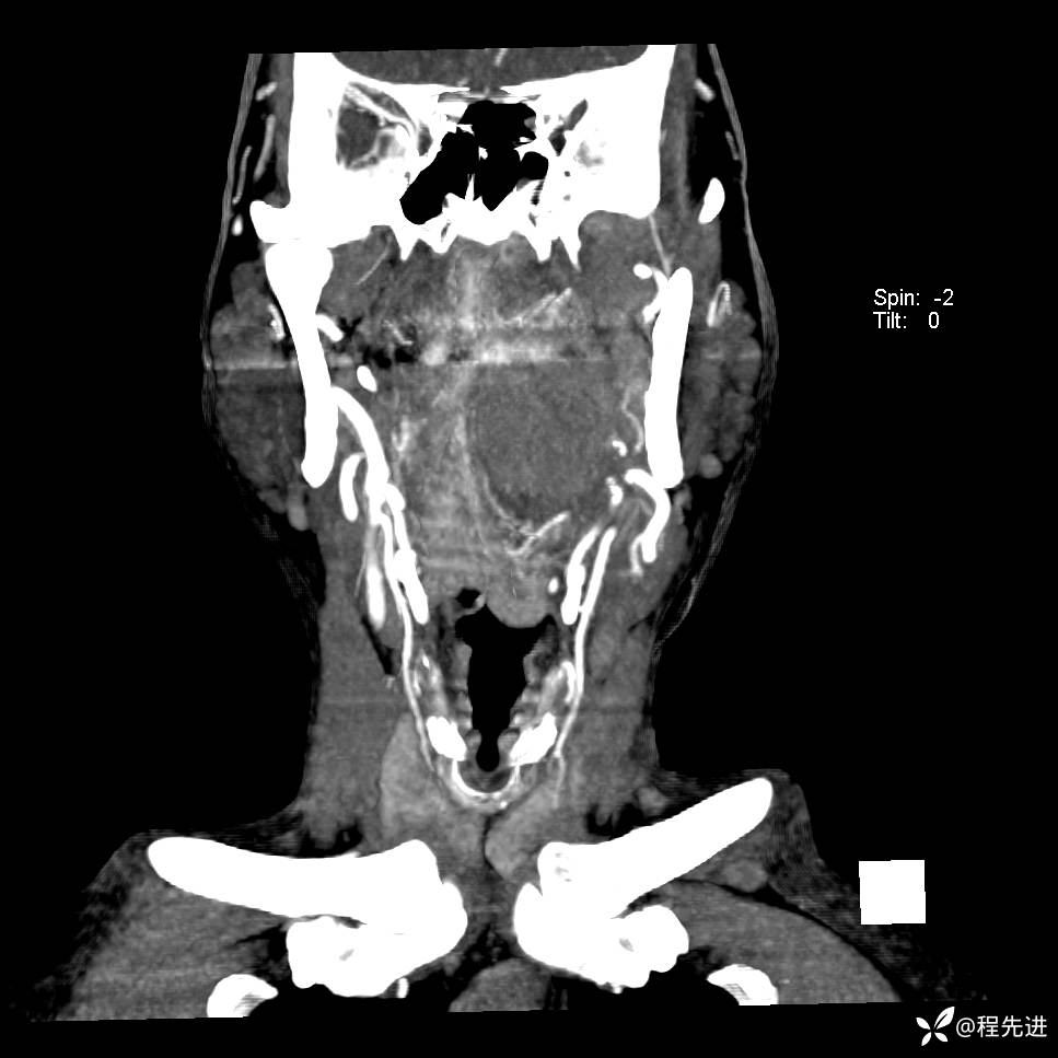
增强冠矢状位重建:





CTA:



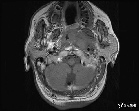
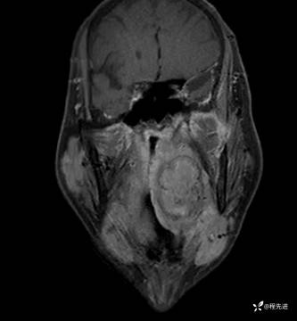
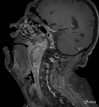
MRI平扫+增强:
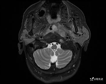
T2压脂:





T1:





T1增强:












期待您的点赞支持!
期待您的精彩解读!















































