【面颈】超速车祸,悲惨案例,希望悲剧不再重演,今天的病例希望是愚人的,但并不是
病例信息
患者性别:男
患者年龄:5岁
简要病史:超速车祸外伤半小时
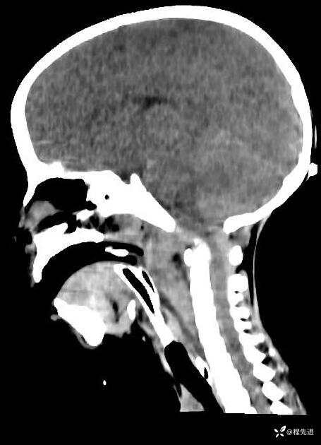
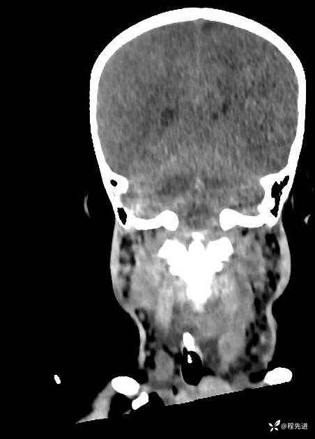
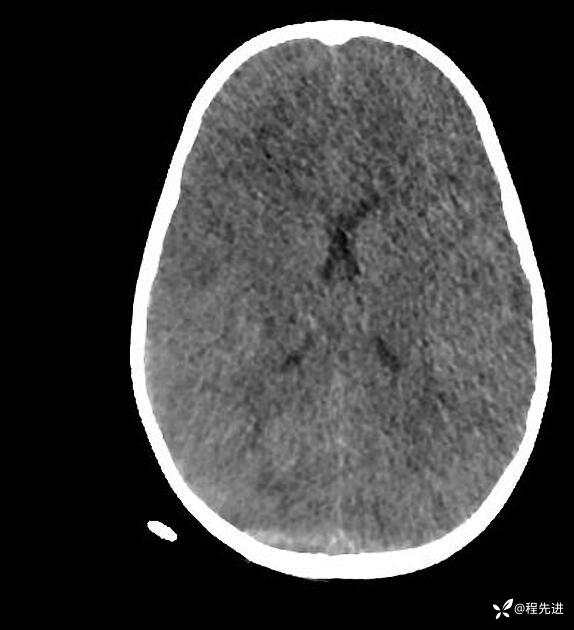
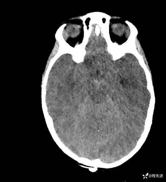
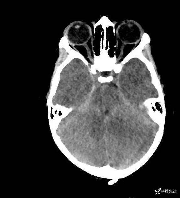
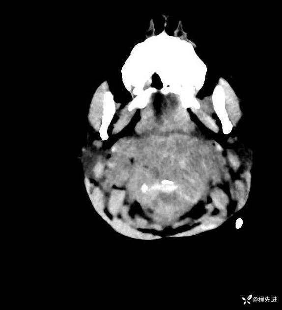
急诊CT平扫:












完整图像见视频:


去年的愚人节高少发了8个虚构病例,很长一段时候保持热搜
今天的愚人节高少发的却是真实的、鲜活的、悲惨的病例
希望悲剧不再重演,高少倒希望是愚人的、虚构的,但并不是
您能迅速作出重点诊断吗?
期待您的点赞支持!
期待您的精彩解读!
病例信息
患者性别:男
患者年龄:5岁
简要病史:超速车祸外伤半小时
急诊CT平扫:












完整图像见视频:


去年的愚人节高少发了8个虚构病例,很长一段时候保持热搜
今天的愚人节高少发的却是真实的、鲜活的、悲惨的病例
希望悲剧不再重演,高少倒希望是愚人的、虚构的,但并不是
您能迅速作出重点诊断吗?
期待您的点赞支持!
期待您的精彩解读!
