红五月特别精彩病例|声嘶1月,甲状腺右叶肿物期待你的完美解析【病理已公布】
患者性别:女
患者年龄:75岁
主诉:自诉1月前无明显诱因出现声嘶,余无异常
简要病史:1周前发现右颈部肿物,不伴发热、疼痛,无其他不适。门诊以“甲状腺肿瘤,右声带麻痹”收入院,近期体重下降8斤。
体格检查:甲状腺右叶可触及一肿物,6*7CM大小,质硬,表面不光滑,界不清,不活动,表面皮肤无红肿溃疡。双颈侧可触及多发肿大淋巴结,最大约黄豆大小,质软、界清、无压痛。
辅助检查:
甲状腺彩超:甲状腺右叶低回声包块(TI-RADS 4b级);双侧颈部多发淋巴结可见。
电子鼻咽喉镜:慢性鼻炎,鼻咽炎,右声带麻痹,慢性咽喉炎。
实验室检查:
血脂:总胆固醇2.99nmo/L↓高密度脂蛋白0.68nmol/L↓
甲状腺功能:FT3、4阴性,TT3、4阴性,TSH及rT3阴性;抗甲状腺球蛋白抗体(TGAb)459.20IU/mL↑抗甲状腺过氧化物酶抗体(TP0Ab)123.04IU/mL↑甲状腺球蛋白(Tg)0.53ng/mL↓
余实验室检查未见明显异常。
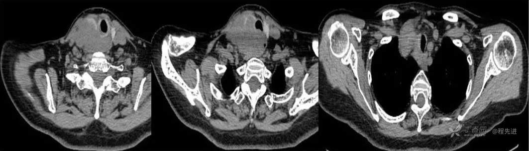
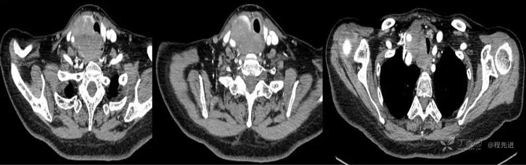
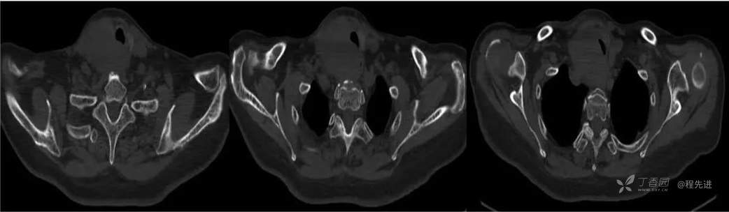
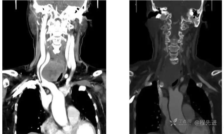
CT
平扫

增强

骨窗

冠状位重建
左增强,右骨窗

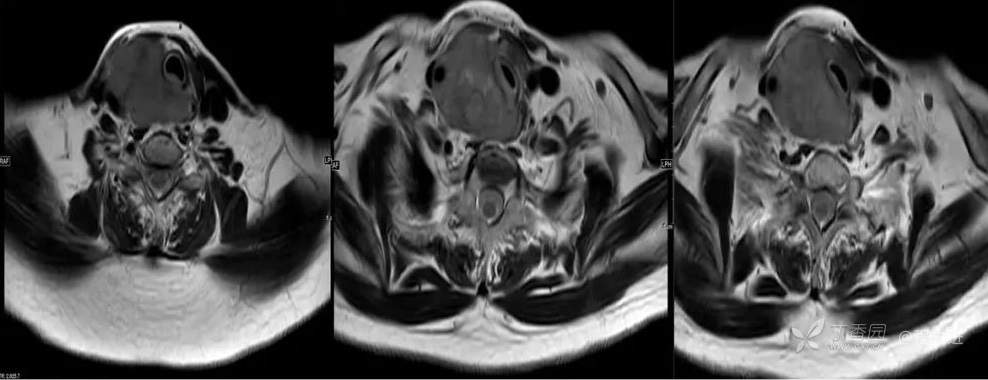
MR
T1

T2

T2-STIR

增强
















































