年轻男性,发现后纵隔占位1周余。征象简单,难在定位---结果公布~
胡志勇HZY 等 2 位达人已点赞病例信息
性别:男
年龄:26岁
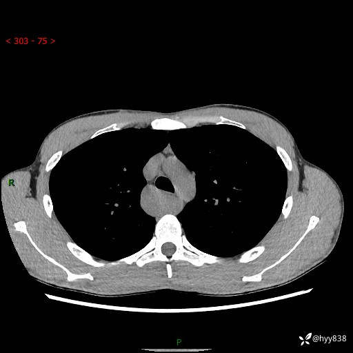
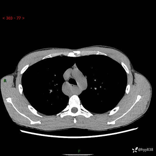
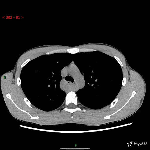
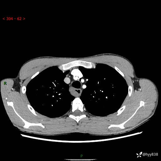
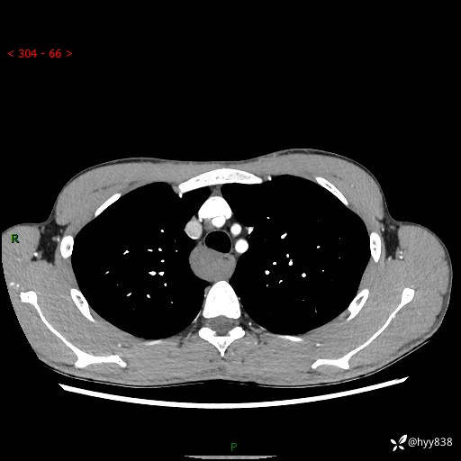
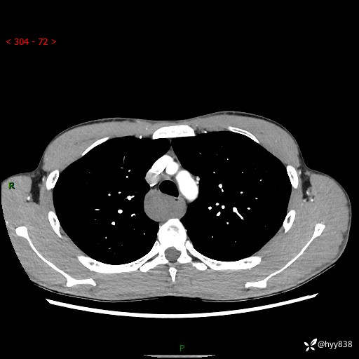
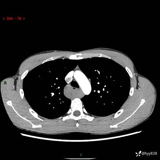
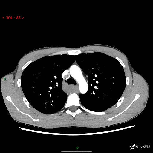
主诉:发现后纵隔占位1周余
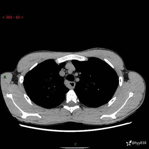
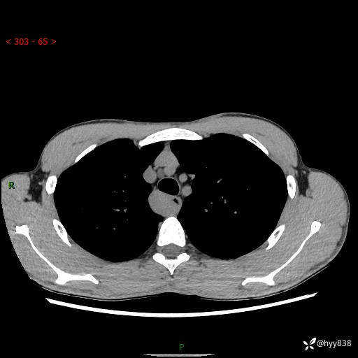
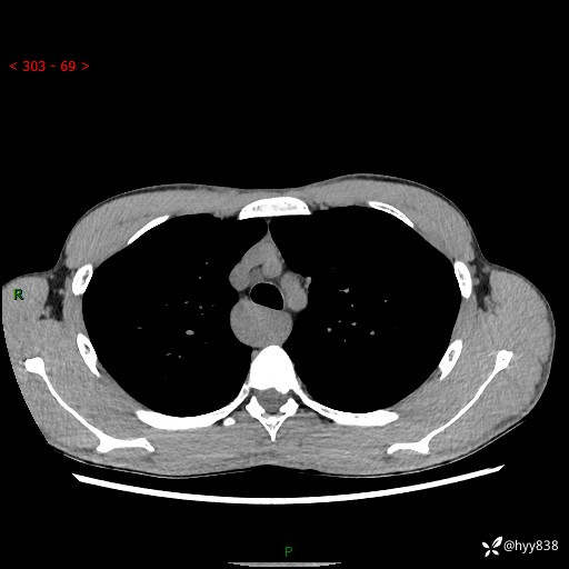
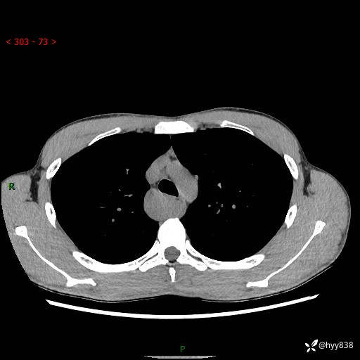
现病史:患者于1周前体检行检查发现后纵隔占位,患者平素无明显咳嗽咳痰,无心慌、胸闷、胸痛、呼吸困难、低热、盗汗,无头痛、头晕,无腹痛、腹胀等不适。现患者欲求进一步治疗,遂来我院就诊,以“纵隔占位”收入我科。 患者自起病以来,精神可,睡眠可,饮食可,大小便正常,体重无明显改变。
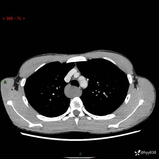
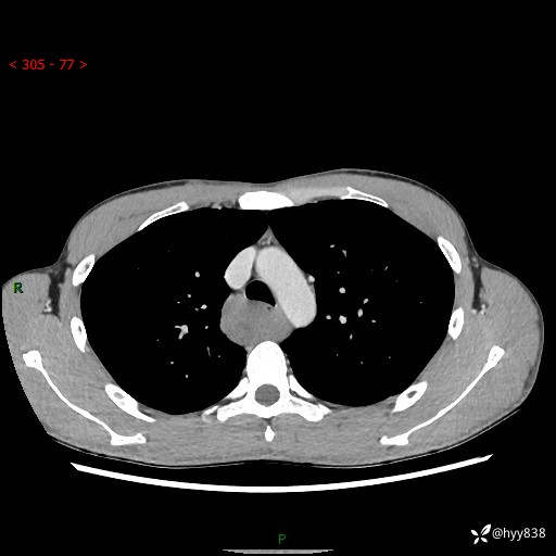
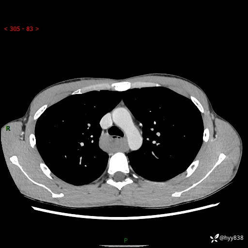
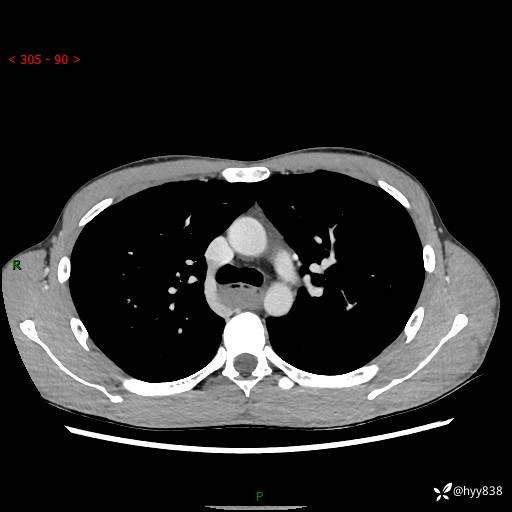
胸部CT平扫+增强






















胡志勇HZY 等 2 位达人已点赞病例信息
性别:男
年龄:26岁
主诉:发现后纵隔占位1周余
现病史:患者于1周前体检行检查发现后纵隔占位,患者平素无明显咳嗽咳痰,无心慌、胸闷、胸痛、呼吸困难、低热、盗汗,无头痛、头晕,无腹痛、腹胀等不适。现患者欲求进一步治疗,遂来我院就诊,以“纵隔占位”收入我科。 患者自起病以来,精神可,睡眠可,饮食可,大小便正常,体重无明显改变。
胸部CT平扫+增强






















