年轻男性,肝脏孤立结节、邻近包膜如此内陷,不知“坑”为何物---(结果公布)
患者性别:男
患者年龄:31岁
简要病史: 患者1月余出现腰背部疼痛,以夜间疼痛为甚,伴双下肢胀痛,无腹胀、腹痛,无咳嗽、咳痰,无头晕、头痛等症状,门诊超声提示肝结节状占位
体格检查:(-)
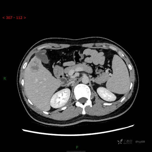
辅助检查:CT
临床诊断:肝占位
治疗经过:---
讨论:病变性质?
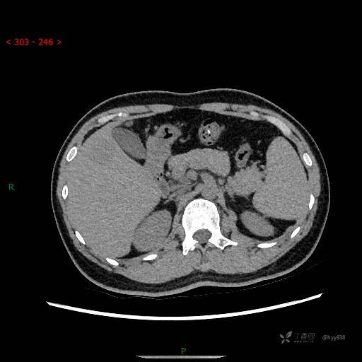
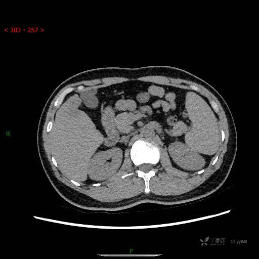
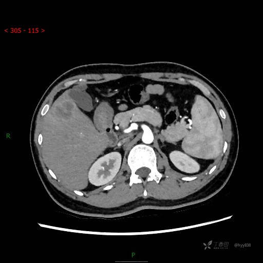
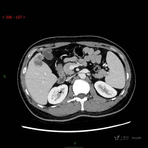
肝脏CT平扫








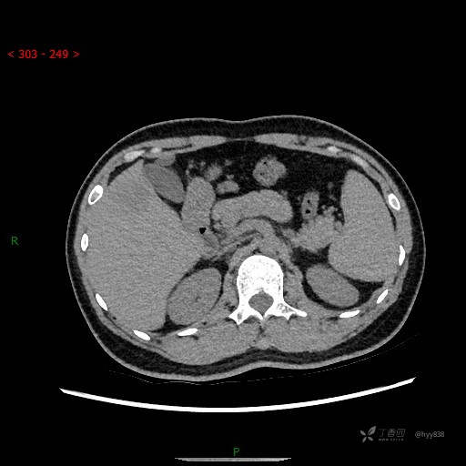
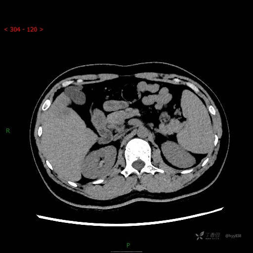
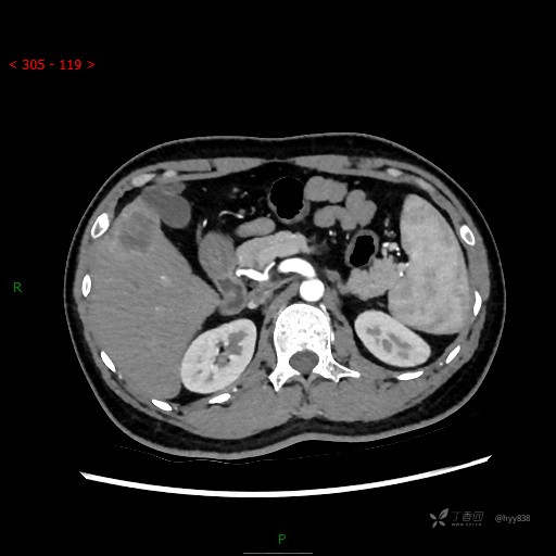
增强动脉期





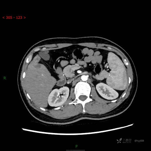
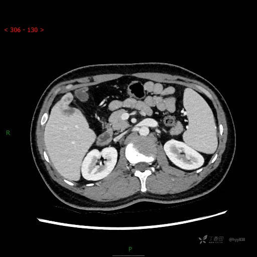
门脉期






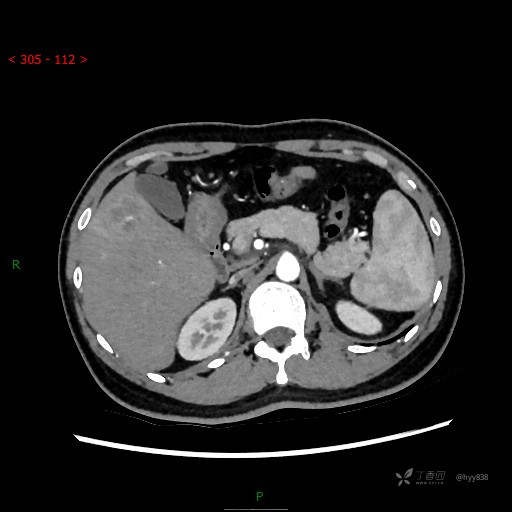
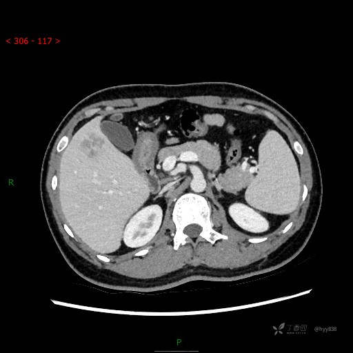
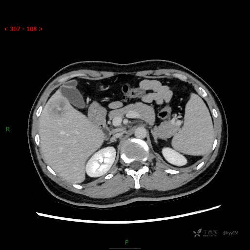
延迟期





患者性别:男
患者年龄:31岁
简要病史: 患者1月余出现腰背部疼痛,以夜间疼痛为甚,伴双下肢胀痛,无腹胀、腹痛,无咳嗽、咳痰,无头晕、头痛等症状,门诊超声提示肝结节状占位
体格检查:(-)
辅助检查:CT
临床诊断:肝占位
治疗经过:---
讨论:病变性质?
肝脏CT平扫








增强动脉期





门脉期






延迟期





