年轻男性,发现腹膜后肿物3月余。资料齐全+征象典型,适合教学---结果公布~
华夏览雄 等 2 位达人已点赞病例信息
性别:男
年龄:32岁
主诉:检查发现腹膜后肿物3月余
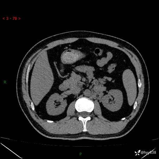
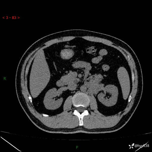
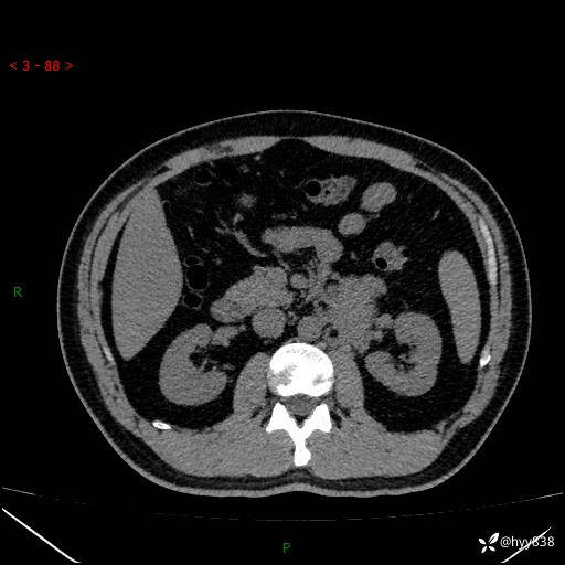
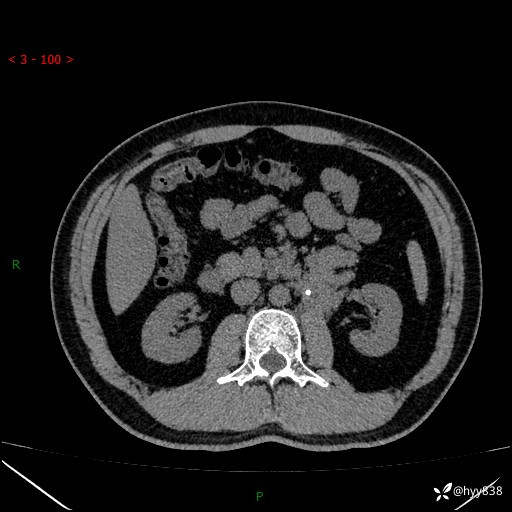
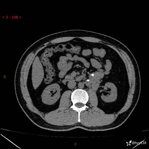
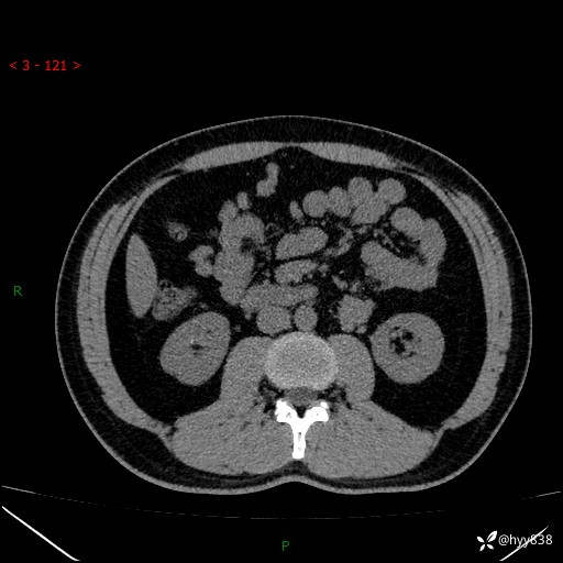
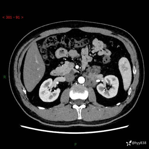
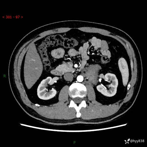
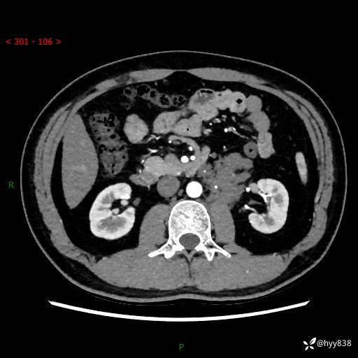
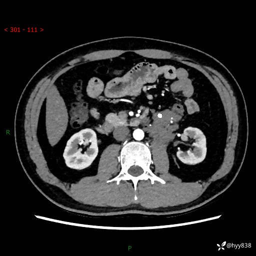
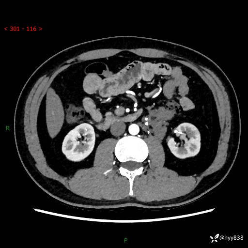
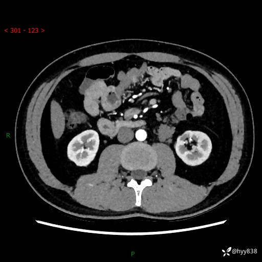
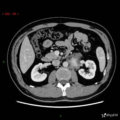
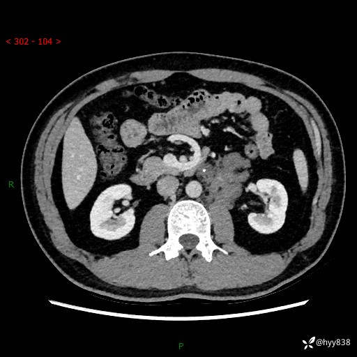
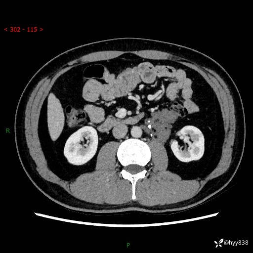
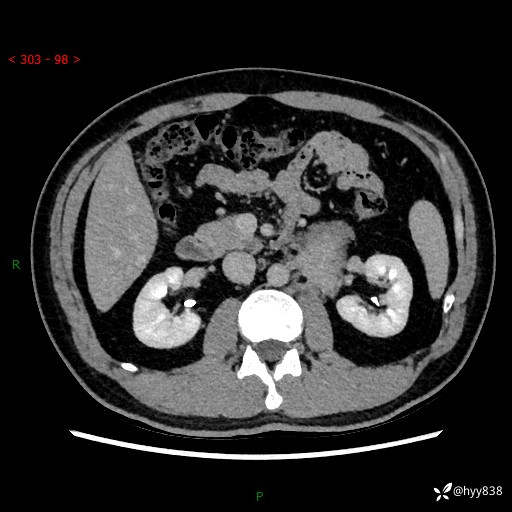
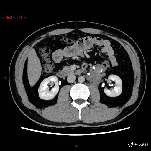
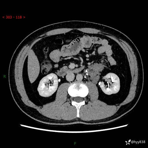
现病史:患者3月余前检查发现左侧腹膜后占位,大小约3.7*4.9cm,平素无腰疼,无肉眼血尿,无尿频尿急等不适,当时未特殊处理,在门诊复查CT提示左侧腹膜后占位,门诊拟“左侧腹膜后占位”收入院。 起病以来,患者精神佳,饮食、睡眠良好,大小便正常,体力体重无明显变化。
腹膜后CT平扫+增强


























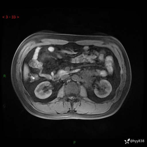
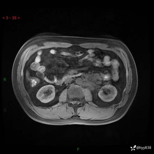
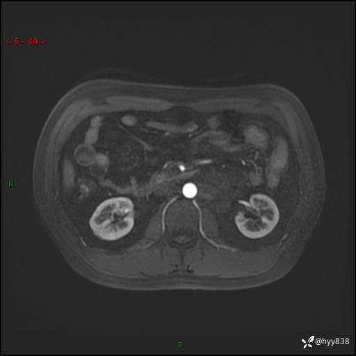
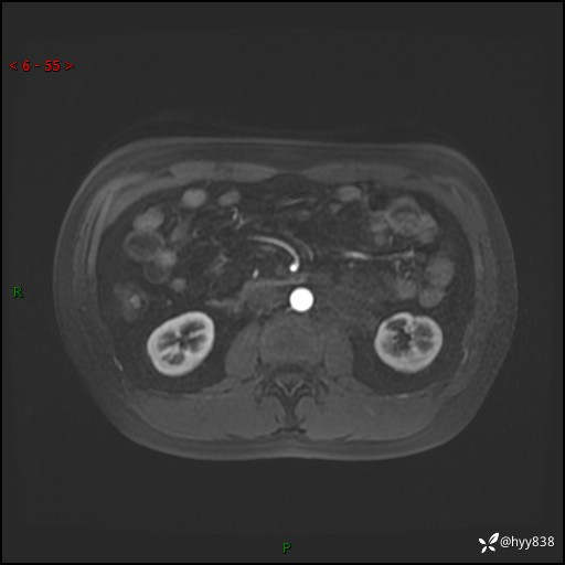
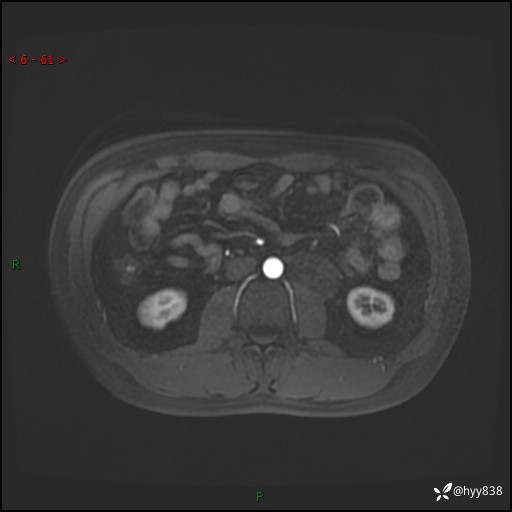
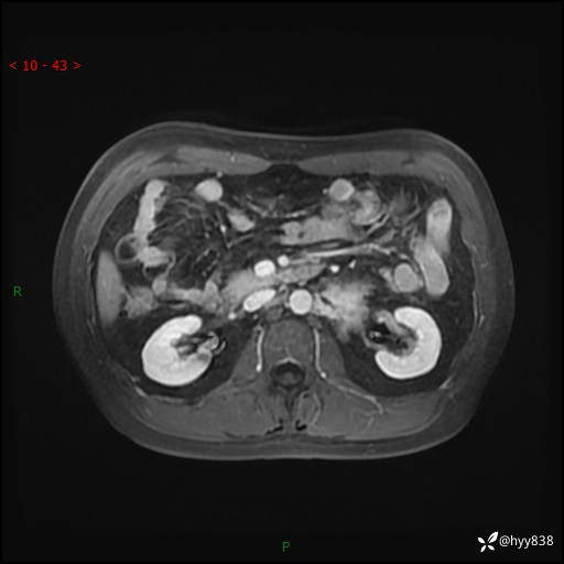
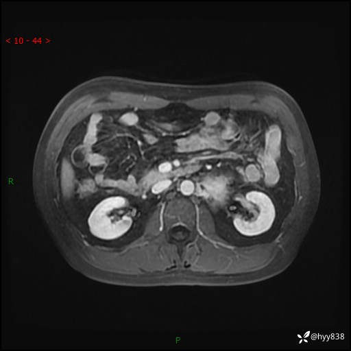
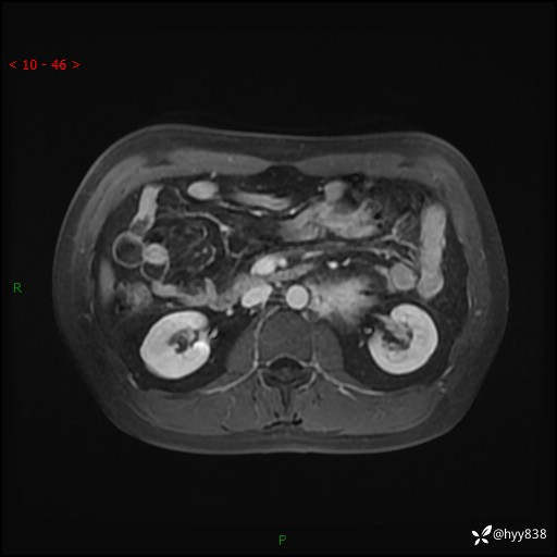
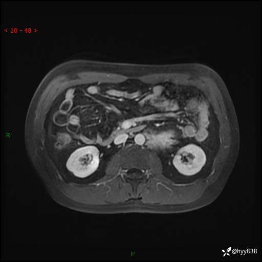
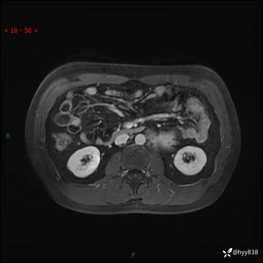
MRI增强











华夏览雄 等 2 位达人已点赞病例信息
性别:男
年龄:32岁
主诉:检查发现腹膜后肿物3月余
现病史:患者3月余前检查发现左侧腹膜后占位,大小约3.7*4.9cm,平素无腰疼,无肉眼血尿,无尿频尿急等不适,当时未特殊处理,在门诊复查CT提示左侧腹膜后占位,门诊拟“左侧腹膜后占位”收入院。 起病以来,患者精神佳,饮食、睡眠良好,大小便正常,体力体重无明显变化。
腹膜后CT平扫+增强


























MRI增强











