迎新年病例分享|腹膜后肿物,明显强化、裂隙征、假包膜,能秒---结果公布
患者性别:15岁
患者年龄:女
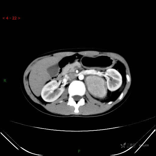
简要病史:外院CT提示左侧腹膜后占位,为求进一步诊治来到我院,门诊以“腹膜后肿瘤”收入院
体格检查:(-)
辅助检查:CT
临床诊断:腹膜后肿瘤
治疗经过:手术
讨论:病变性质?
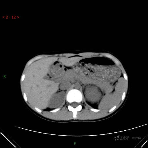
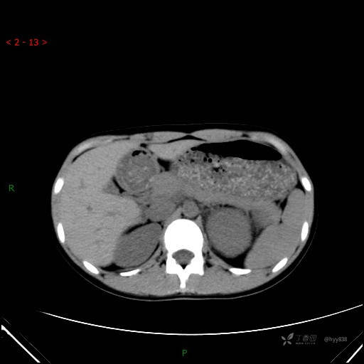
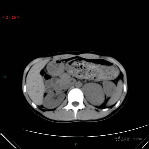
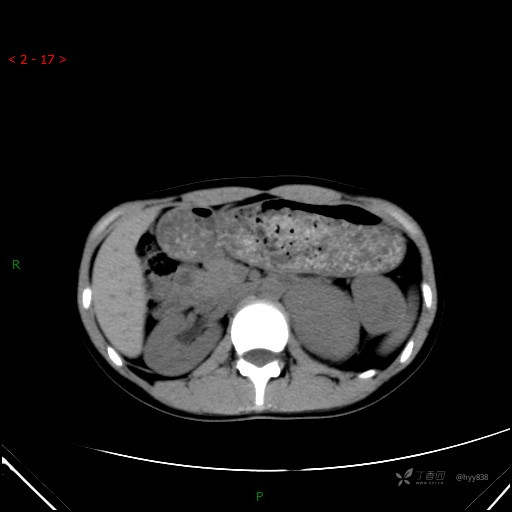
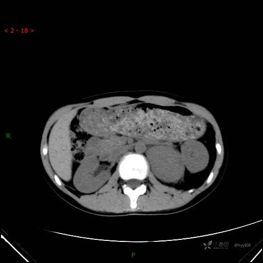
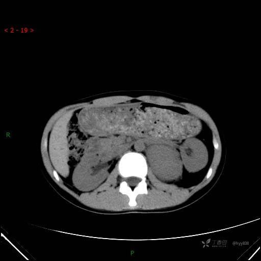
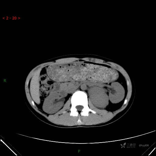
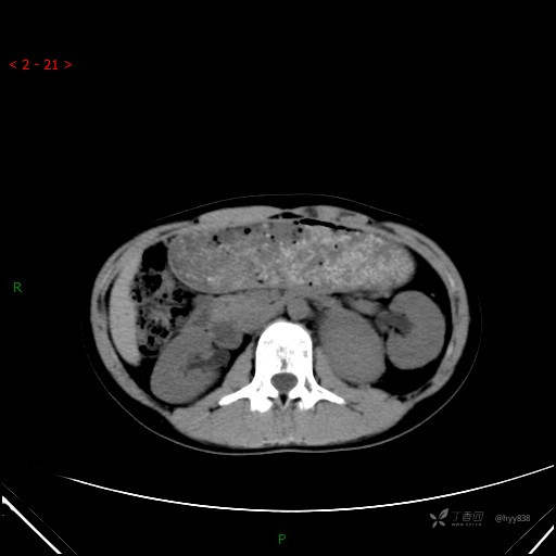
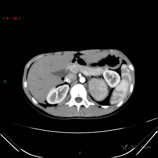
腹部CT平扫










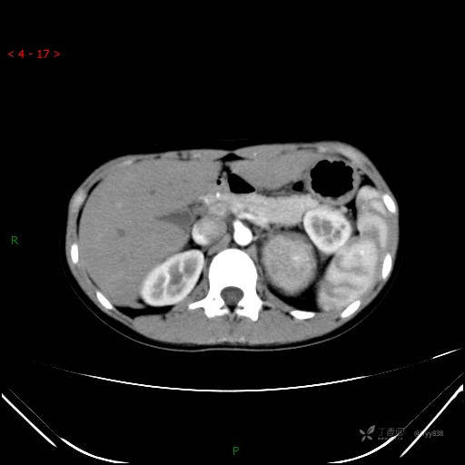
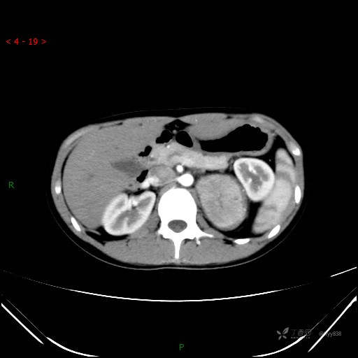
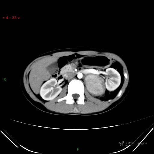
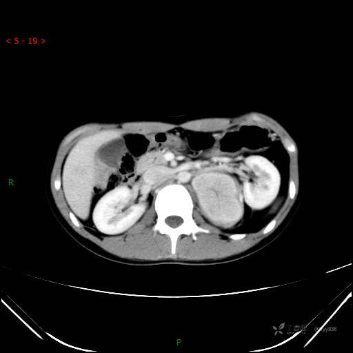
增强动脉期









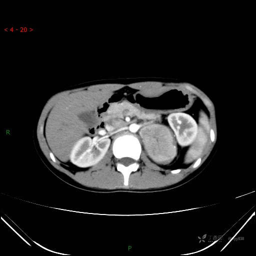
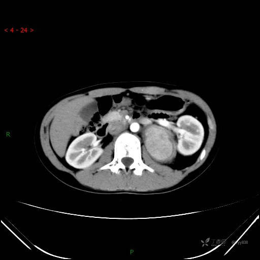
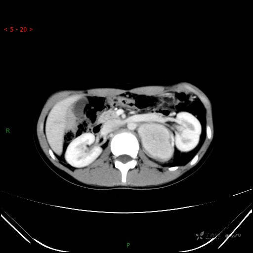
增强静脉期







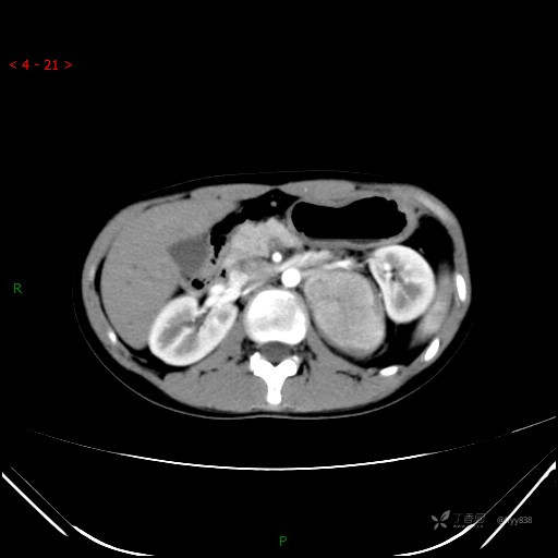
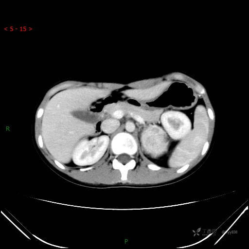
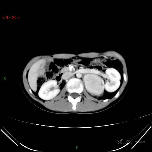
CT值



患者性别:15岁
患者年龄:女
简要病史:外院CT提示左侧腹膜后占位,为求进一步诊治来到我院,门诊以“腹膜后肿瘤”收入院
体格检查:(-)
辅助检查:CT
临床诊断:腹膜后肿瘤
治疗经过:手术
讨论:病变性质?
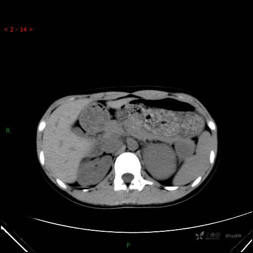
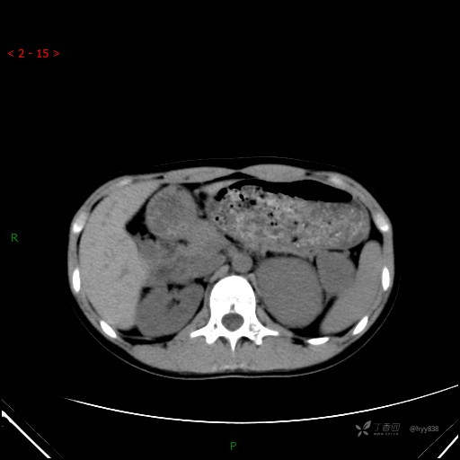
腹部CT平扫










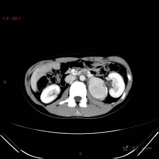
增强动脉期









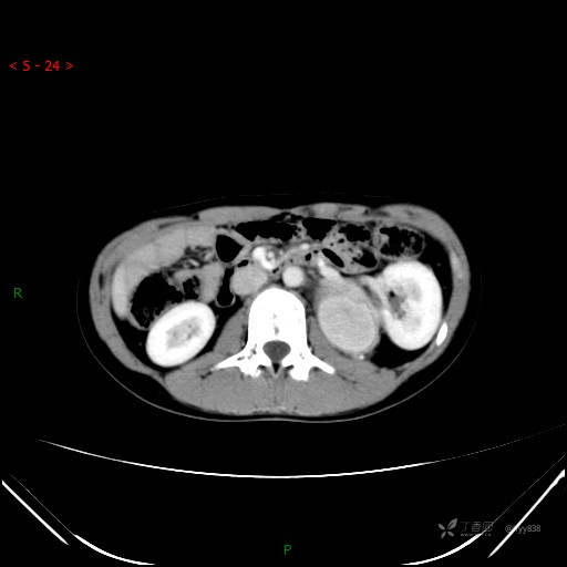
增强静脉期







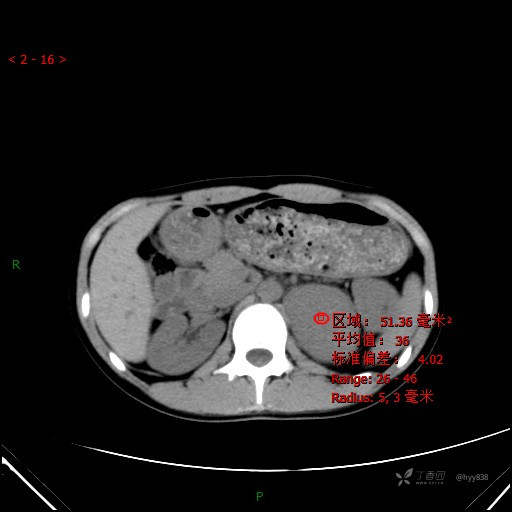
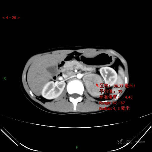
CT值



