dxy logo
首页丁香园病例库全部版块
搜索
登录

病例超声发现腹膜后肿物,鹅蛋大小、厚厚的一层盔甲,等你精彩点评--结果公布~

影像核医学版版主 · 发布于 2024-04-17 · IP 湖北湖北
2361 浏览
icon胡志勇HZY 达人已点赞
这个帖子发布于 1 年零 221 天前,其中的信息可能已发生改变或有所发展。

病例信息

性别:男

年龄:50岁

简要病史:夜尿增多半月,发现肾功能异常1天,超声发现腹膜后占位

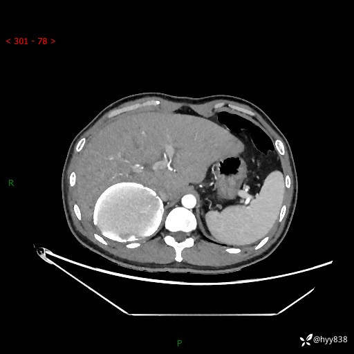
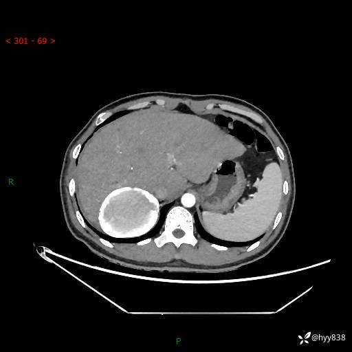
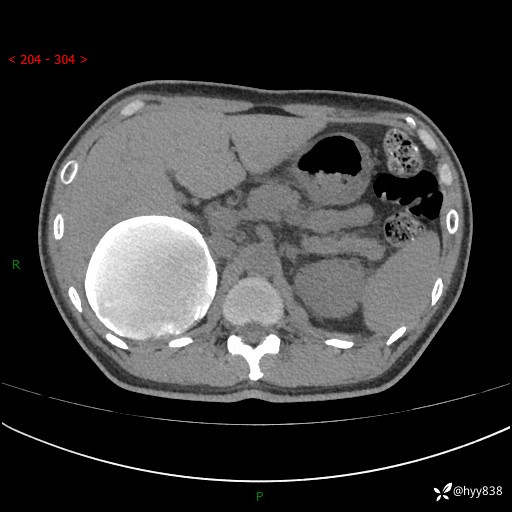
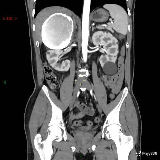
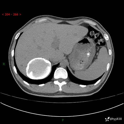
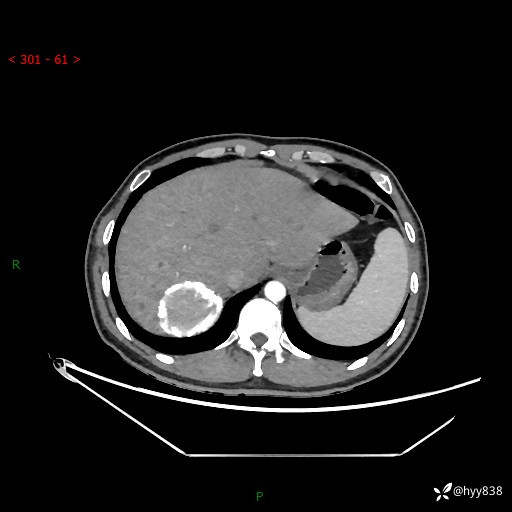
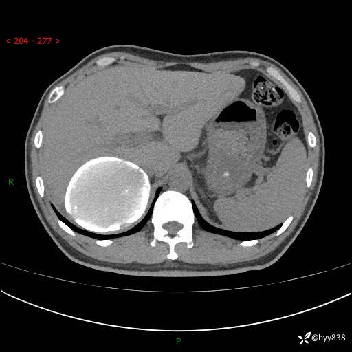
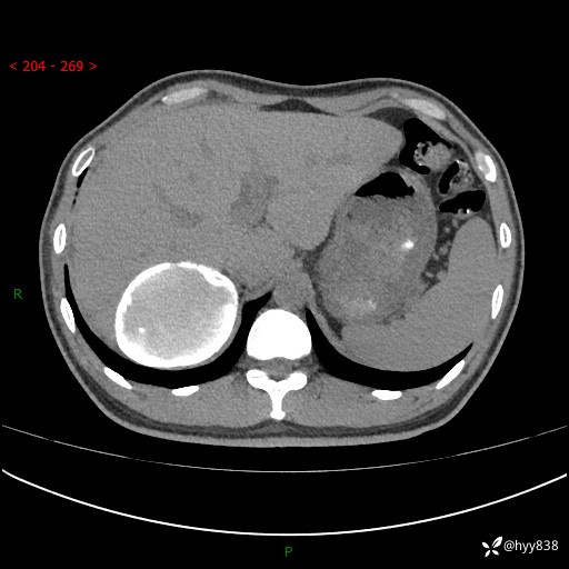
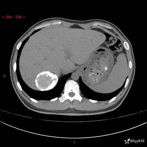
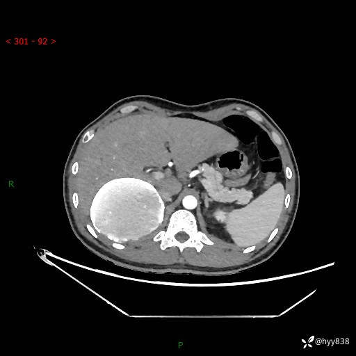
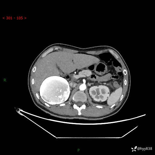
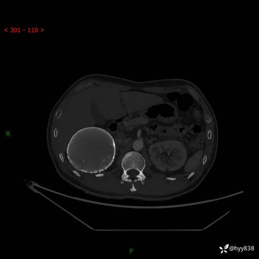
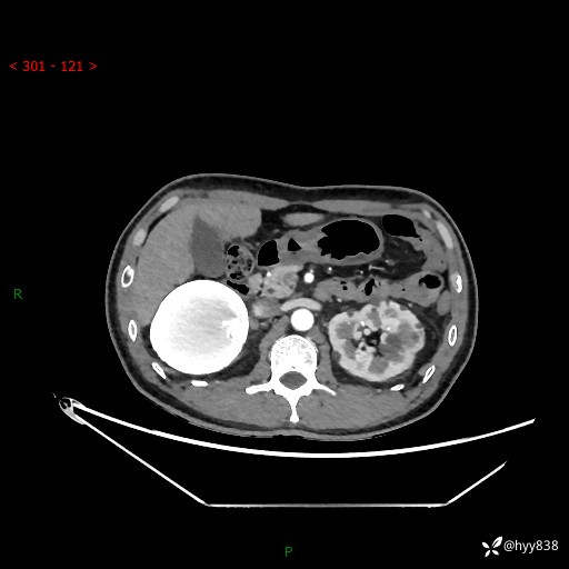
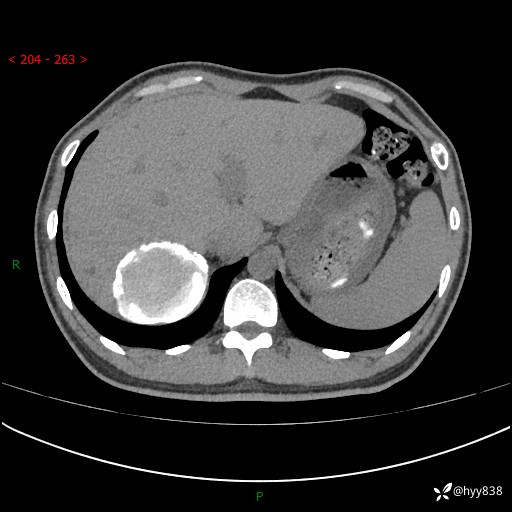
腹部CT平扫+增强

img
img
img
img
img
img
img
img

增强

img
img
img
img
img
img
img
img
img
img
img
img
腹膜后肿物 (22)
纠错
44 9 15
同行评议(0)
已评议
不开通精选
开通精选
精选已授权,待上线
评议结果暂未公布
参与评议
去邀请
NaN
病例完整NaN
临床实用NaN
诊疗科学NaN
学术价值NaN

全部讨论(0)

默认最新
avatar
44
分享帖子
share-weibo分享到微博
share-weibo分享到微信
认证
返回顶部