【影诊笔记743】腹腔肿物?腹膜后肿物?请先定位,后定性!有病理!
hyy838 推荐男,53岁 0201221 01
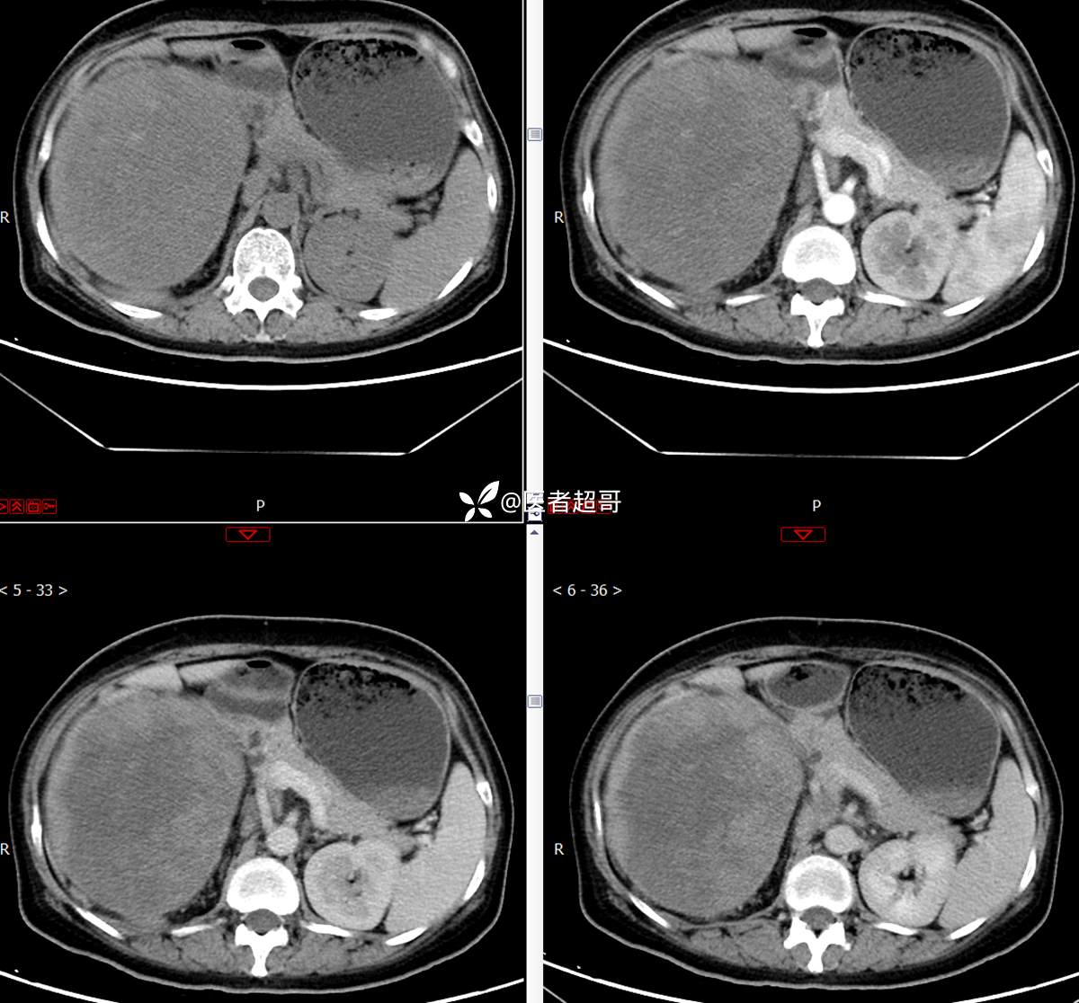
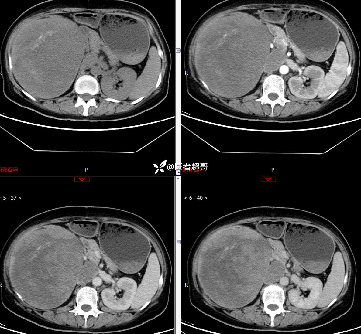
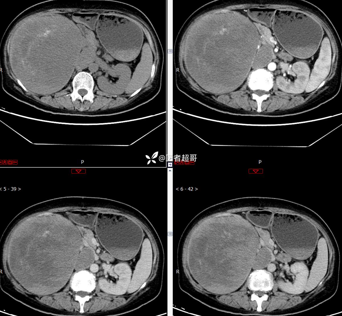
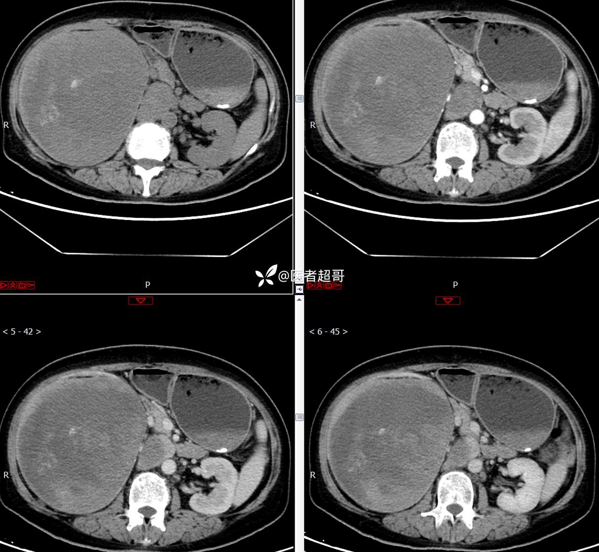
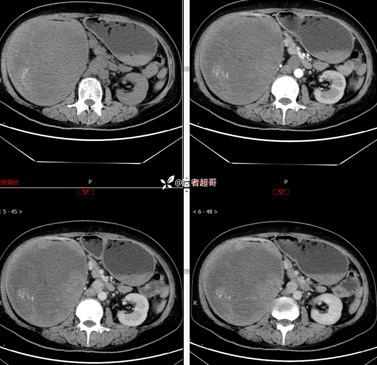
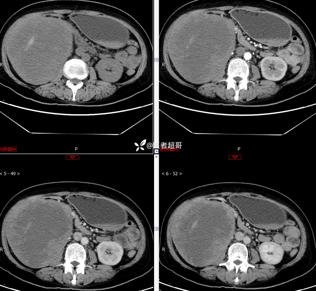
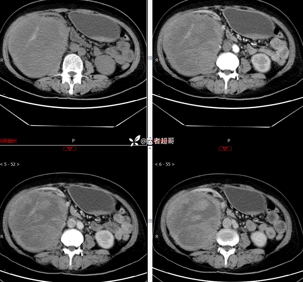
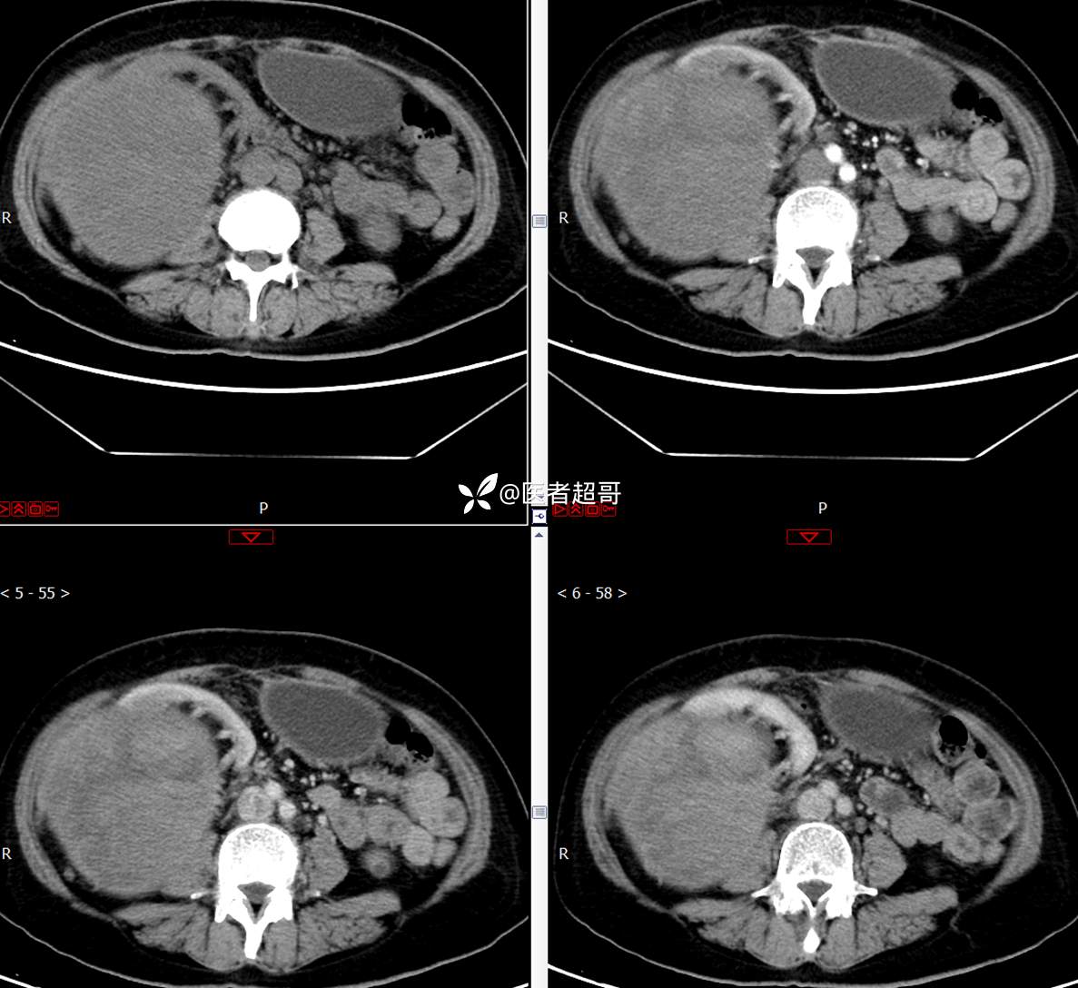
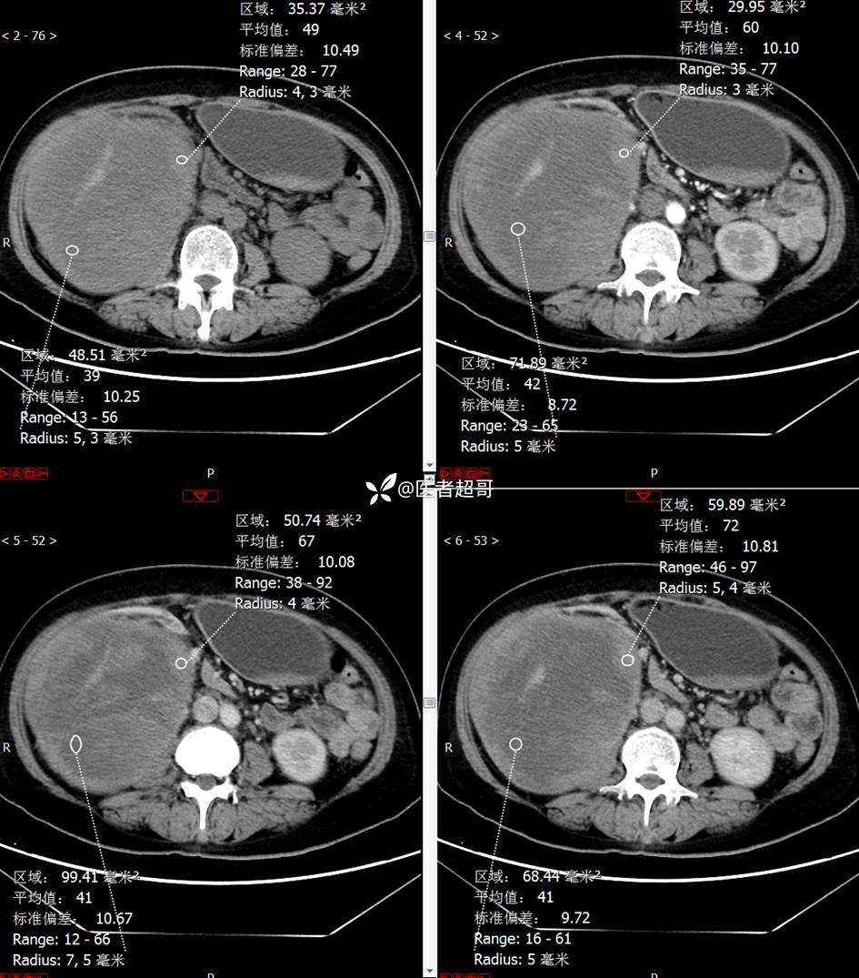
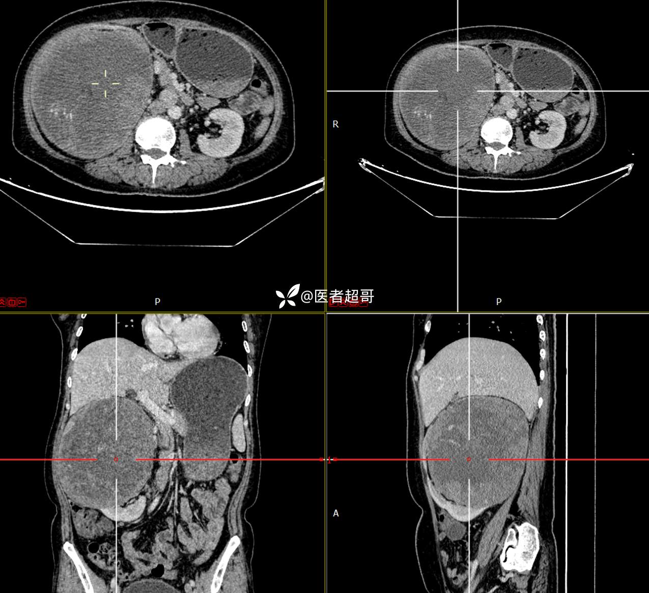
主 诉:发现右上腹肿物1周余。
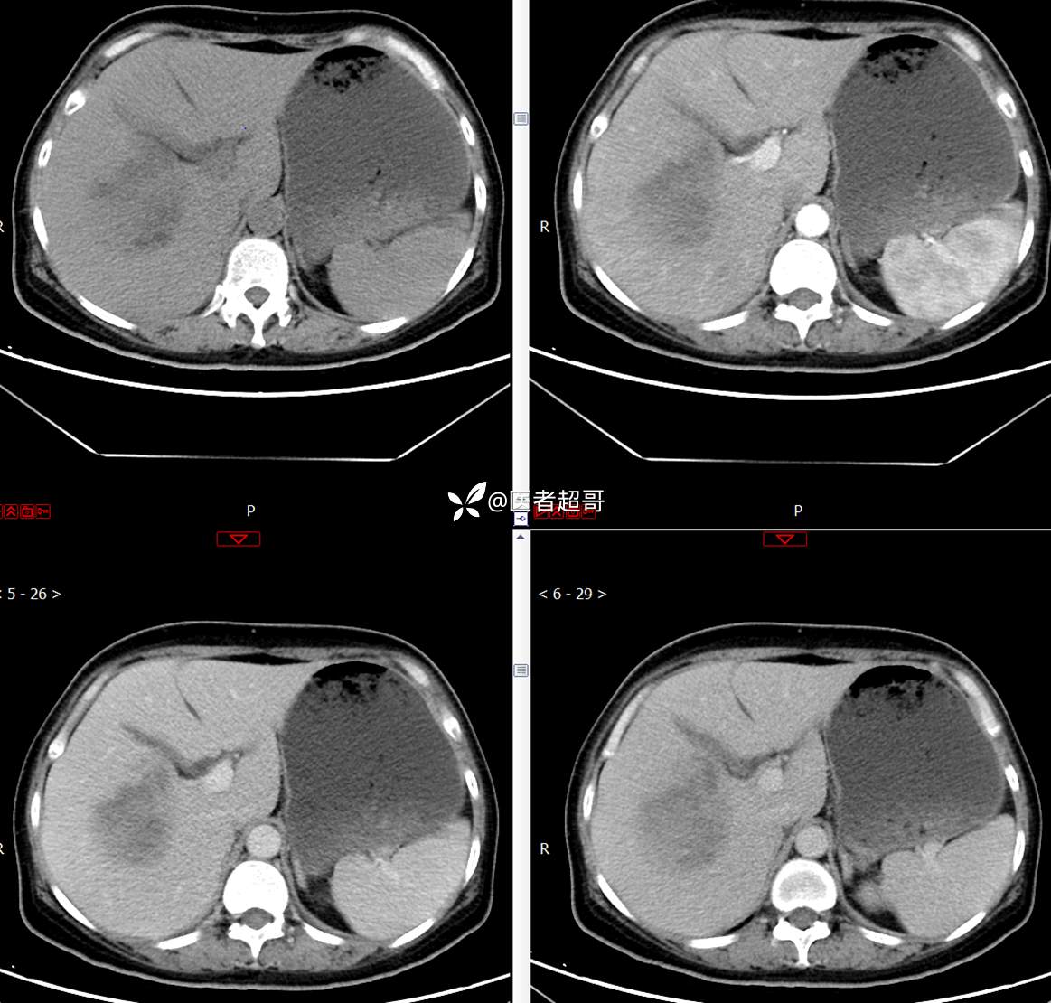
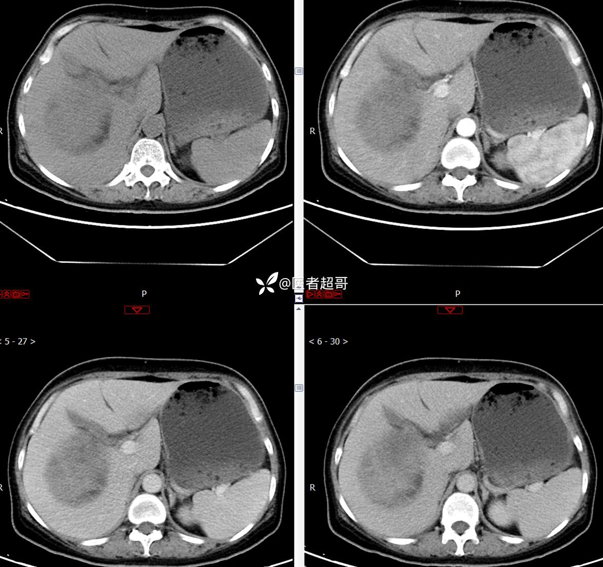
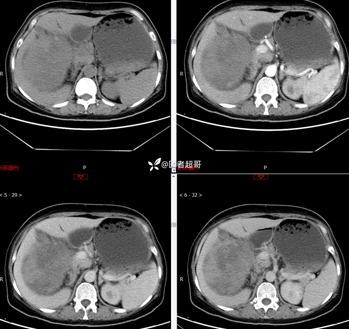
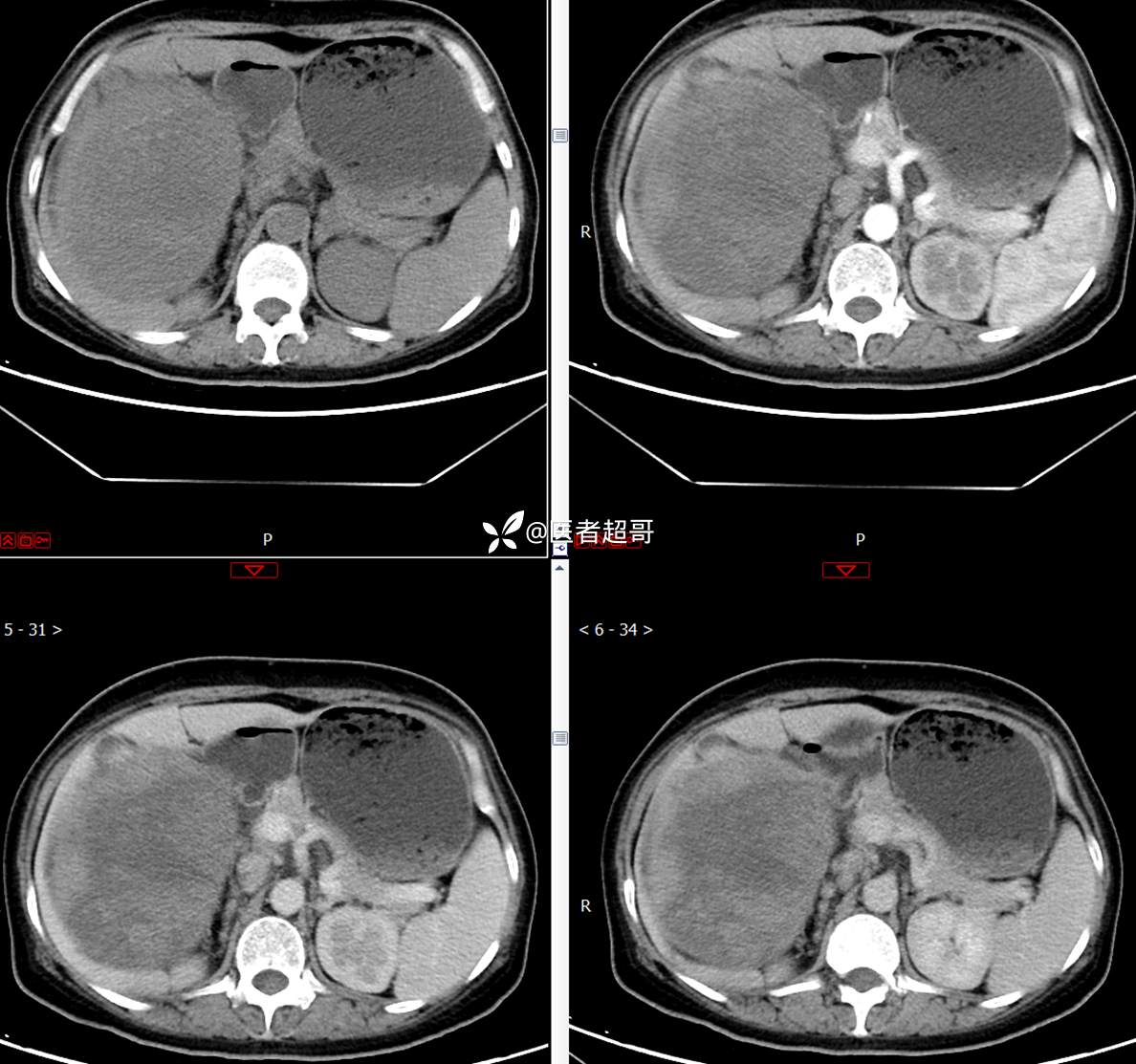
现病史:患者1周余前发现右上腹有一半球形巨大肿物,约18cm*15cm大小,既往贫血病史3年余,诉乏力,易疲劳,偶有头晕,活动后心悸,无腹痛、腹胀,无恶心、呕吐,无尿频、尿急、尿痛,无排尿困难,患者为求进一步治疗,来我院消化内科就诊,门诊行肝.胆.胰.脾.肾彩超示:右肾上部囊实性占位,范围约18.0cm×11.7cm×16.4cm,边界清,形态规则,建议进一步检查,腹膜后实性结节。我科遂以“肾肿物”收治入院,患者自发病以来,神志清、精神可,睡眠、饮食可,二便正常,体重、体力略有下降。
既往史:既往体健
































































