年轻女性,发现腹腔肿物1周。圆圆的肿物,诊断有难度---结果公布~
华夏览雄 等 2 位达人已点赞病例信息
性别:女
年龄:43岁
主诉:发现腹腔肿物1周
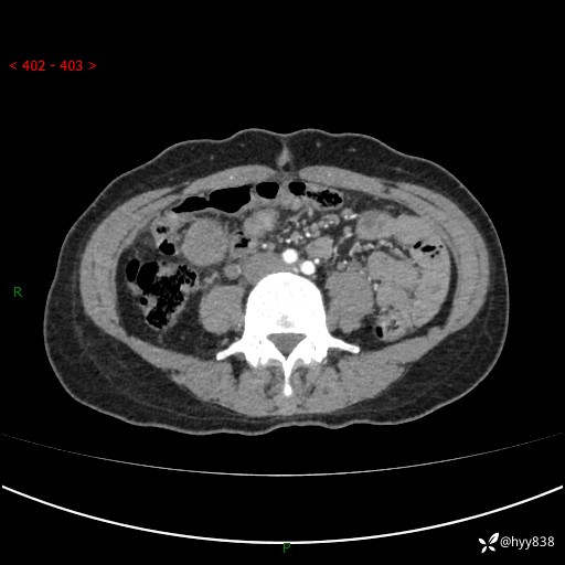
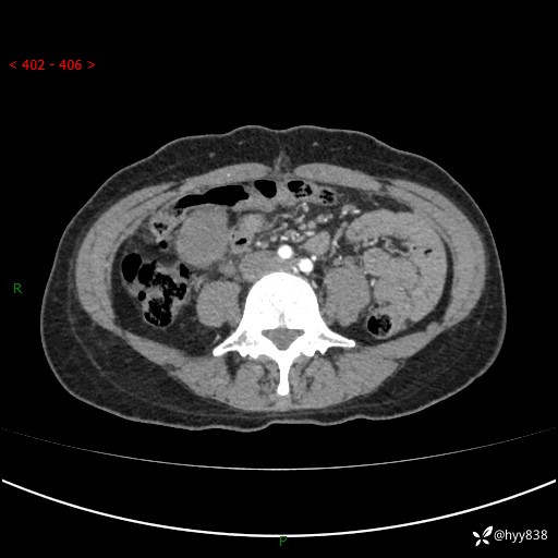
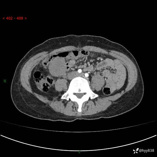
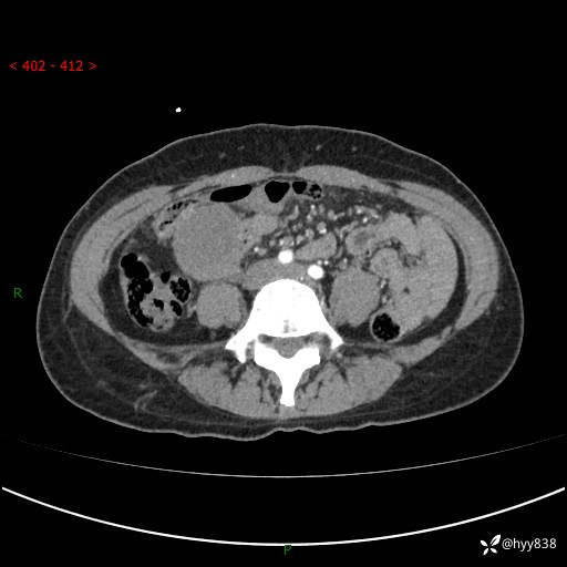
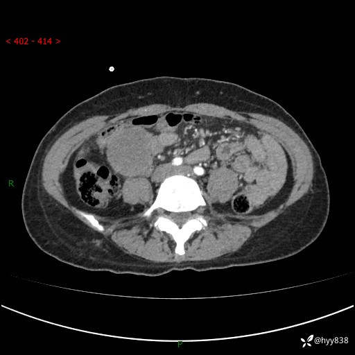
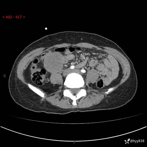
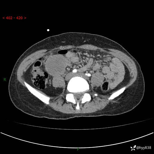
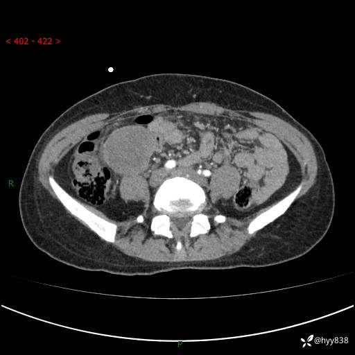
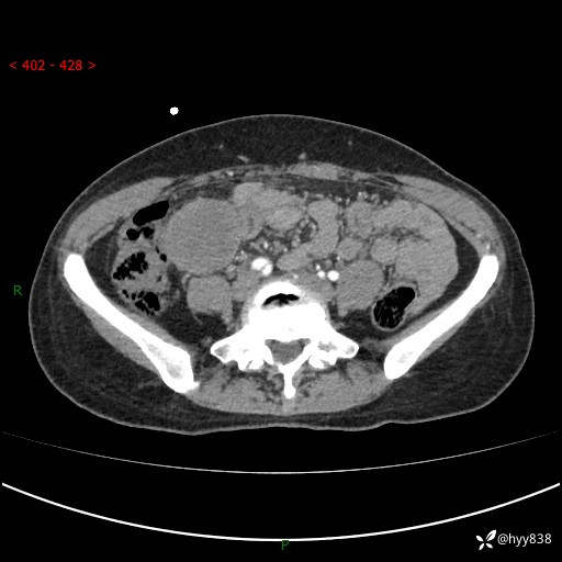
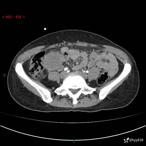
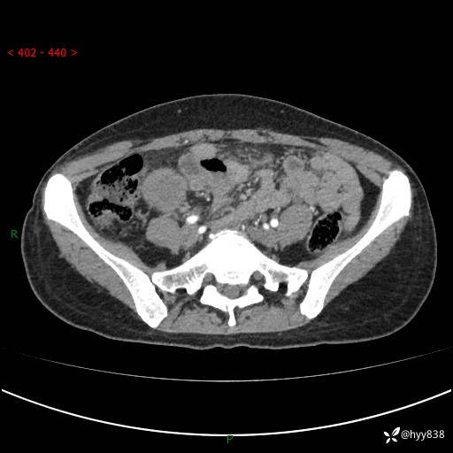
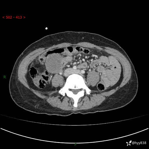
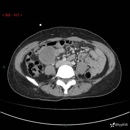
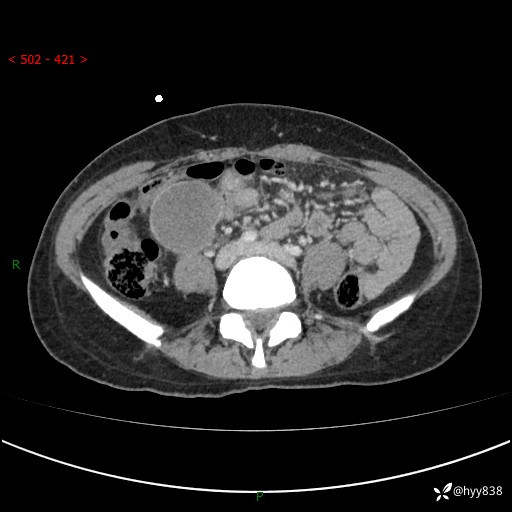
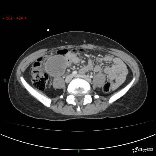
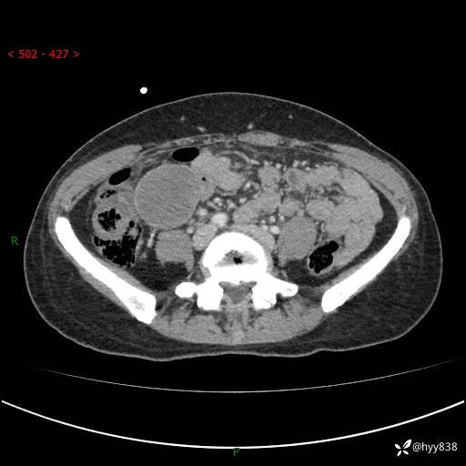
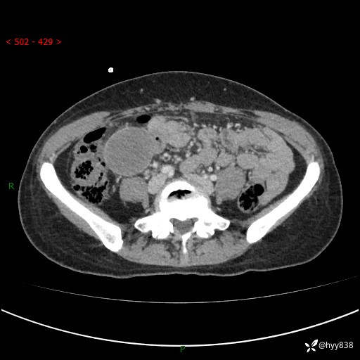
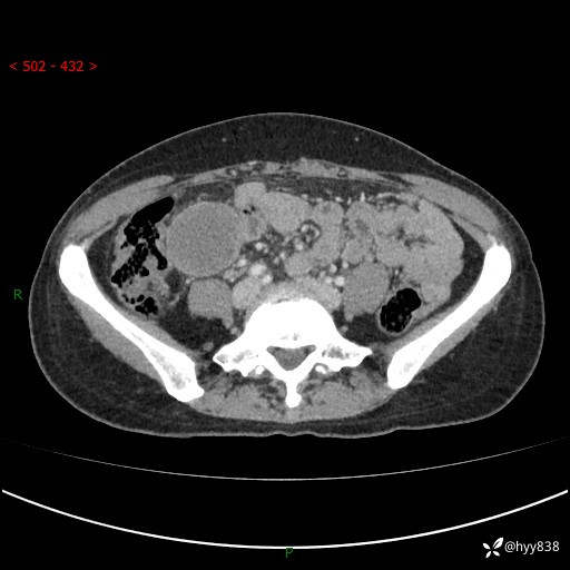
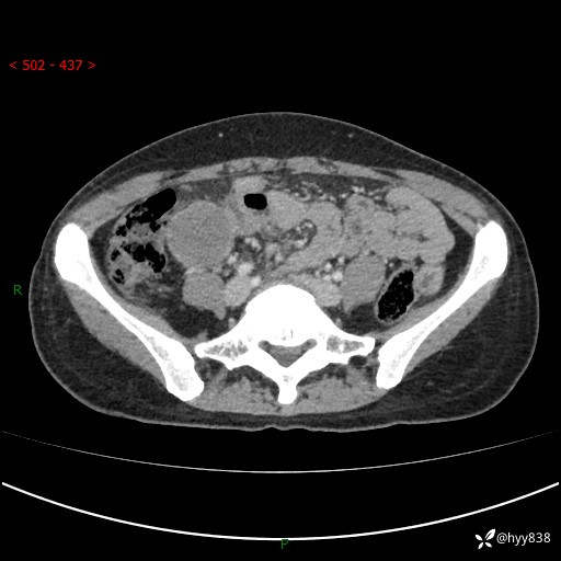
现病史:患者自诉于1周前无明显诱因出现剑突下间断性隐痛,尚可忍受,不向其它部位放射,无恶心呕吐、腹泻便秘等不适,于当地市第二人民医院就诊,行CT结果示:1.右中腹占位,间叶组织来源可能2.小肠梗阻3.盆腔积液4.腹腔积液5.副脾6.肝囊肿;于荆州二医行抗炎,抑酸,护胃,补液等对症支持治疗;患者病情好转,今为求进一步诊治,遂来我院门诊就诊,门诊以“腹腔肿瘤”收入院。 起病以来,患者精神、睡眠、饮食一般,大小便正常,近期体力体重无明显改变。
腹部CT增强(外院平扫)




































































