dxy logo
首页丁香园病例库全部版块
搜索
登录

病例年轻女性,外院发现肝结节。我们的年轻医生不能定性,认为很难,你怎么看---结果公布

影像核医学版版主 · 最后编辑于 2024-08-24 · IP 湖北湖北
6448 浏览
icon胡志勇HZY 达人已点赞
这个帖子发布于 1 年零 66 天前,其中的信息可能已发生改变或有所发展。

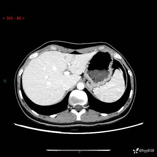
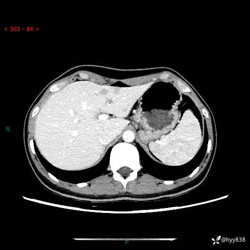
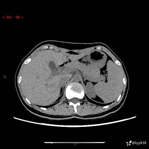
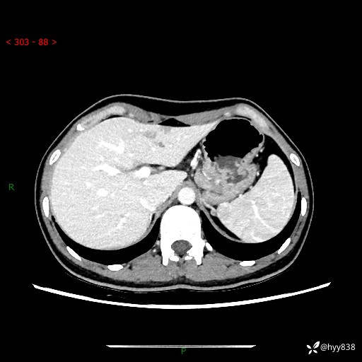
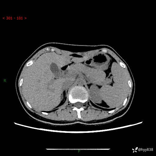
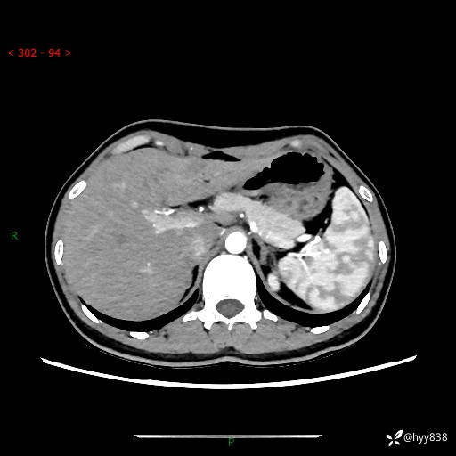
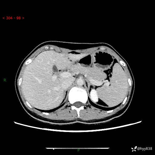
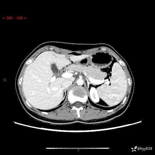
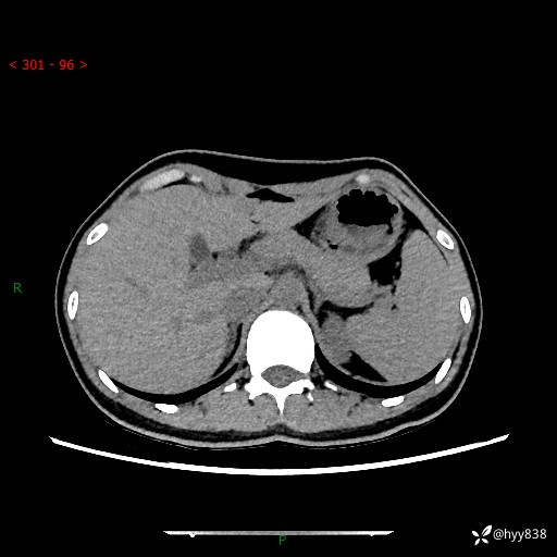
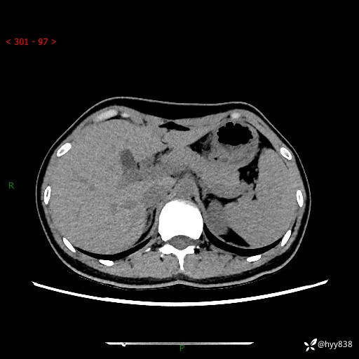
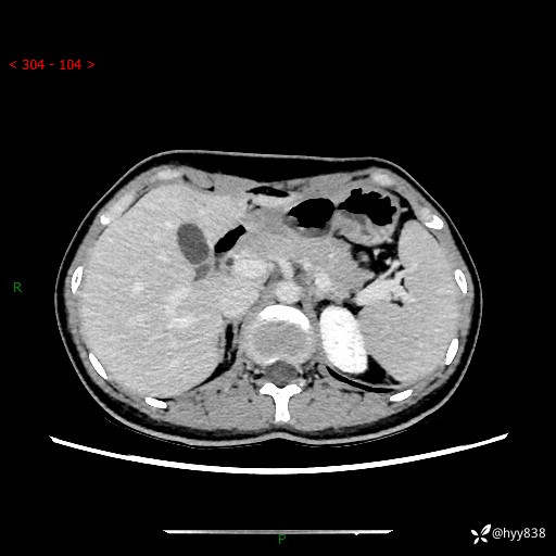
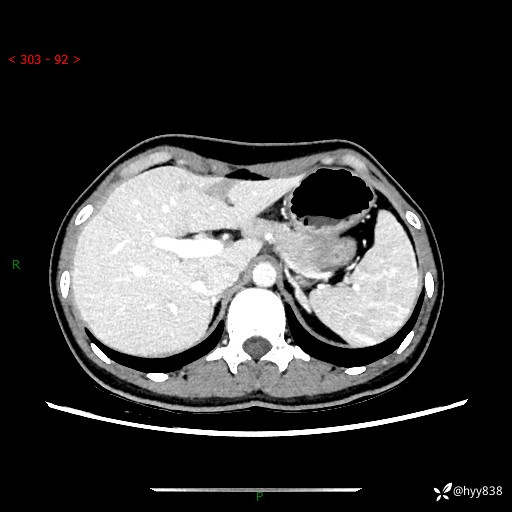
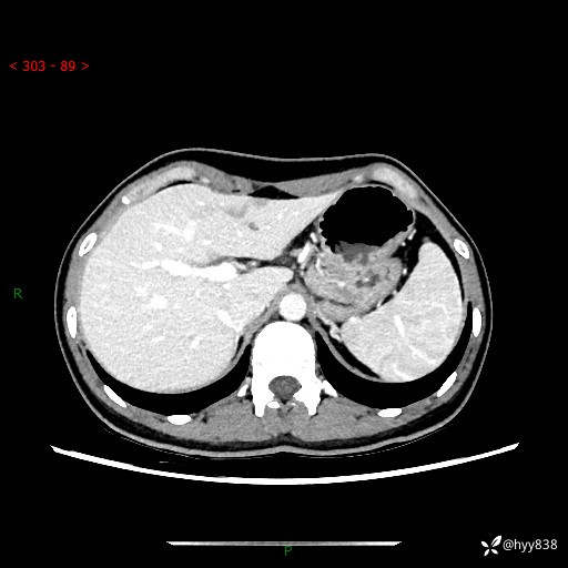
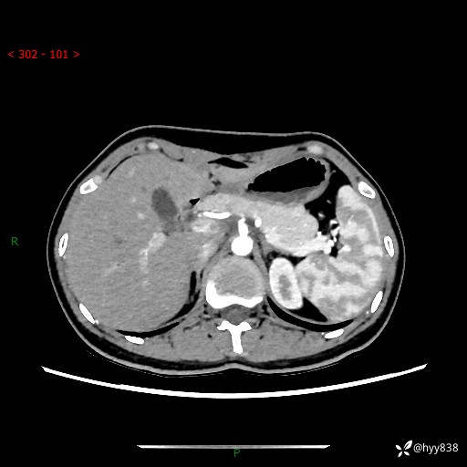
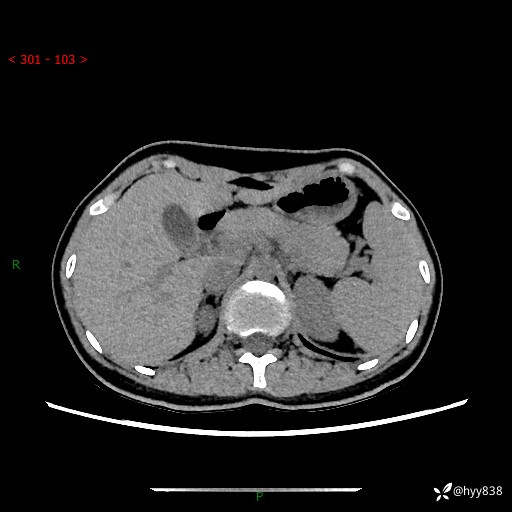
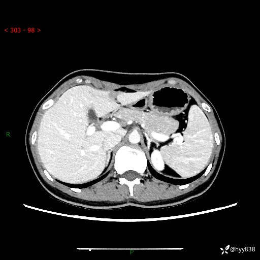
病例信息

性别:女

年龄:23岁

简要病史:外院发现肝结节,来我院进一步增强确诊

上腹部CT平扫+增强

img
img
img
img
img
img
img
img
img
img
img
img
img
img
img
img
img
img
img
img
img
img
img
img
img
img
肝囊肿 (68)
纠错
28 5 24
同行评议(0)
已评议
不开通精选
开通精选
精选已授权,待上线
评议结果暂未公布
参与评议
去邀请
NaN
病例完整NaN
临床实用NaN
诊疗科学NaN
学术价值NaN

全部讨论(0)

默认最新
avatar
28
分享帖子
share-weibo分享到微博
share-weibo分享到微信
认证
返回顶部