【腹盆】特别精彩病例|腹痛数日,腹膜后肿物两次手术,期待您解读
李梦杰huxi 等 3 位达人已点赞病例信息
患者性别:女
患者年龄:80岁
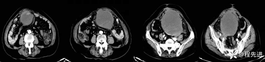
简要病史:4月前患者因腹痛数日
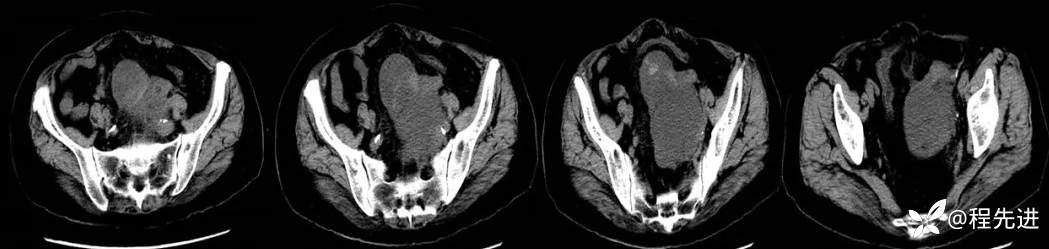
CT平扫+增强如下:





并行腹膜后肿物切除术,术后情况可
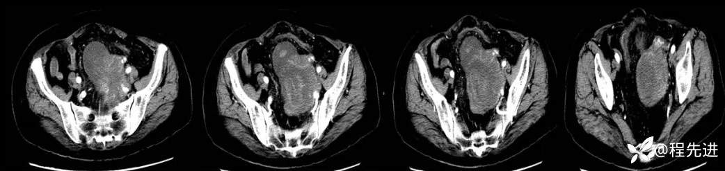
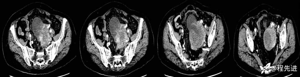
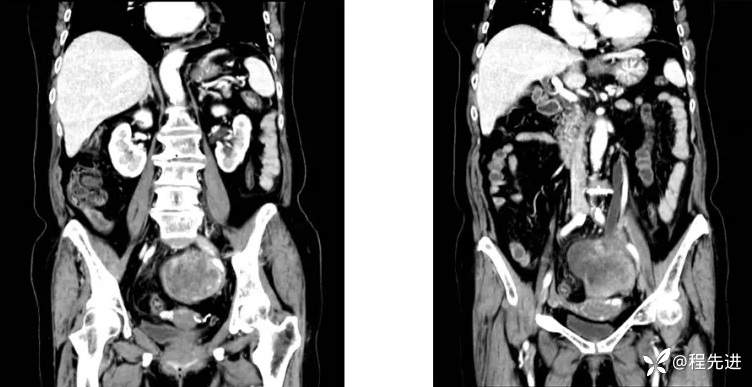
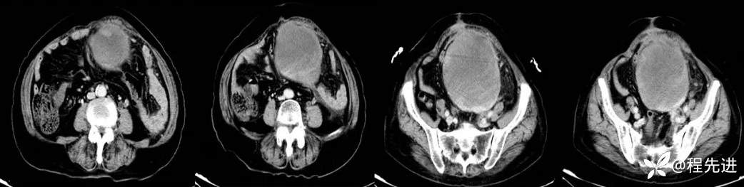
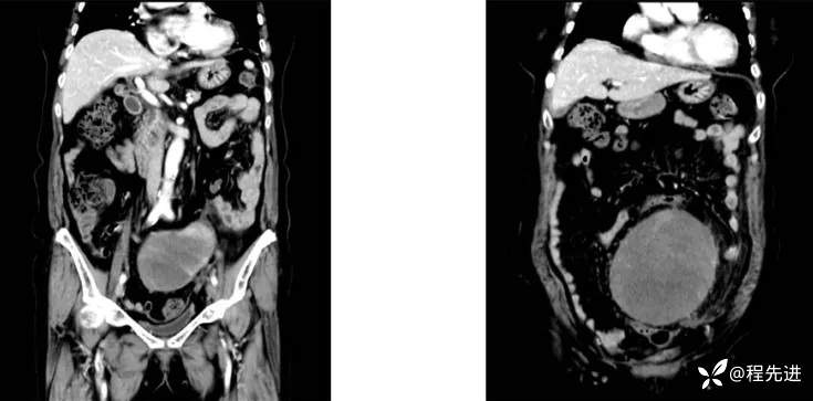
4月后患者再次腹痛半月来诊
CT平扫+增强:





既往史:腹膜后占位性病变切除术后、胆囊结石并慢性胆囊炎、高血压、高脂血症、癫痫。
体格检查:腹正中见纵形手术疤痕,愈合可,余未见异常
实验室检查:未见明显异常
期待您的点赞支持!
期待您的精彩解读!
李梦杰huxi 等 3 位达人已点赞病例信息
患者性别:女
患者年龄:80岁
简要病史:4月前患者因腹痛数日
CT平扫+增强如下:





并行腹膜后肿物切除术,术后情况可
4月后患者再次腹痛半月来诊
CT平扫+增强:





既往史:腹膜后占位性病变切除术后、胆囊结石并慢性胆囊炎、高血压、高脂血症、癫痫。
体格检查:腹正中见纵形手术疤痕,愈合可,余未见异常
实验室检查:未见明显异常
期待您的点赞支持!
期待您的精彩解读!
