【腹盆】特别精彩病例|发现腹膜后肿物1月余
呱呱叫了 等 2 位达人已点赞病例信息
患者性别:男
患者年龄:42岁
主诉:发现腹膜后肿物1月余
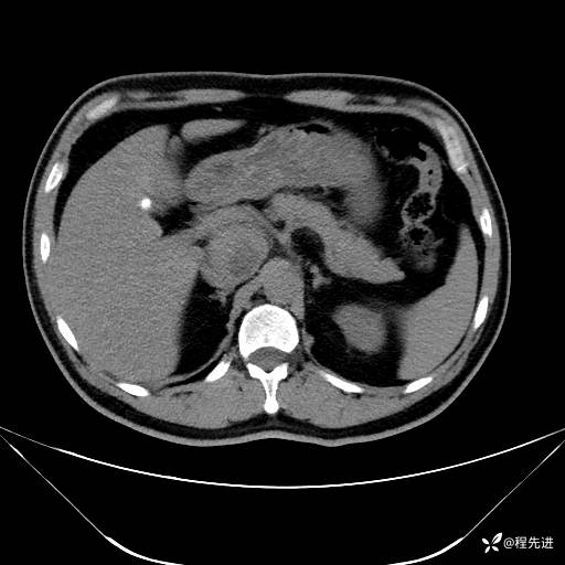
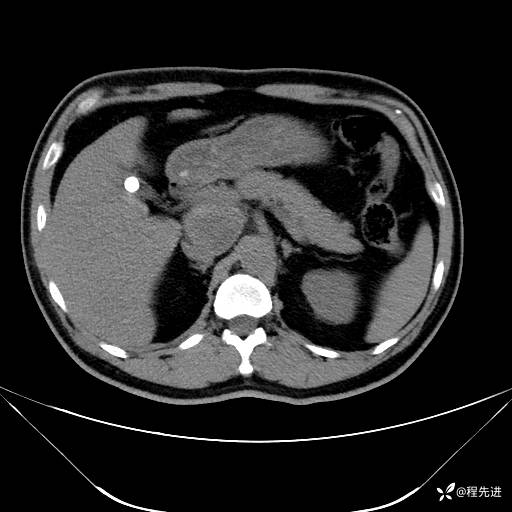
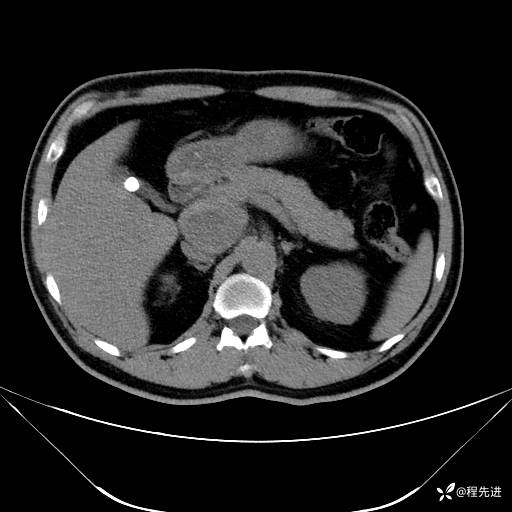
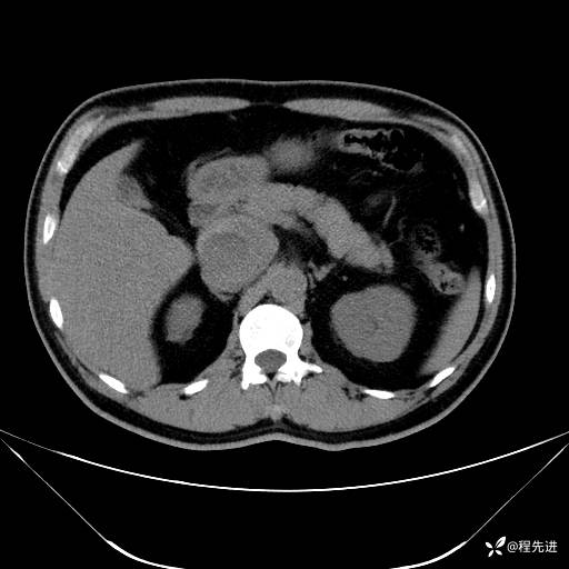
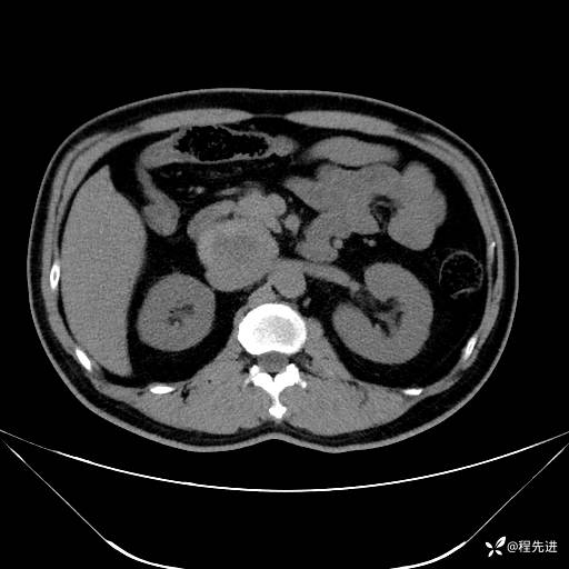
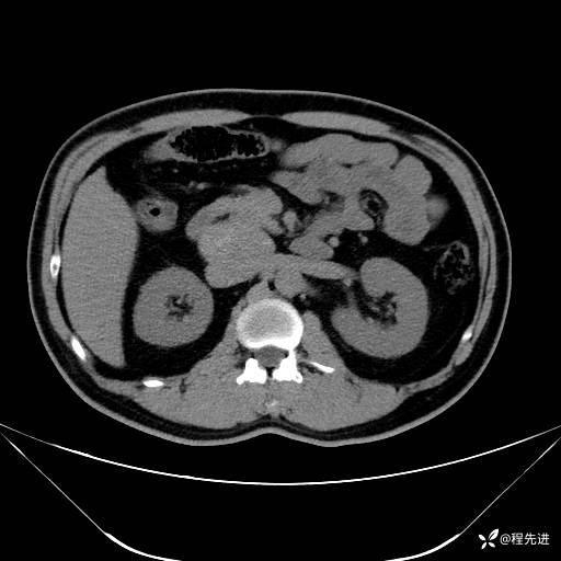
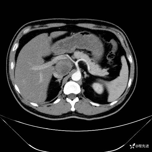
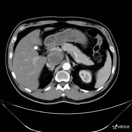
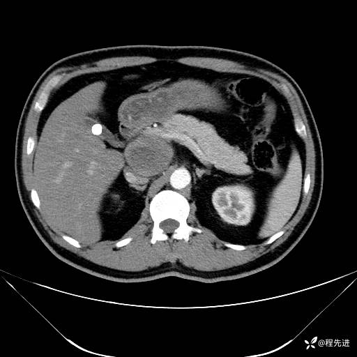
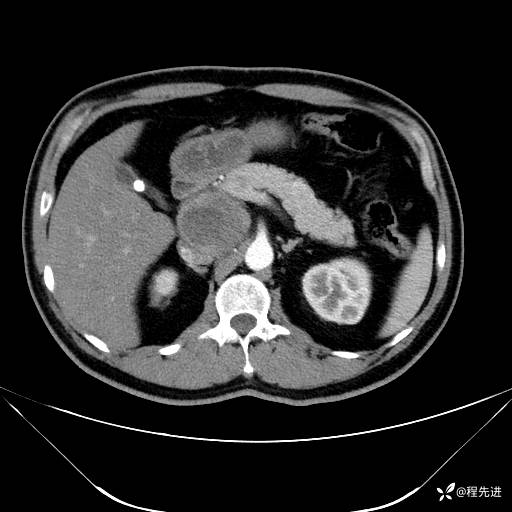
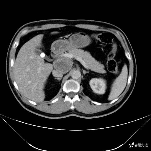
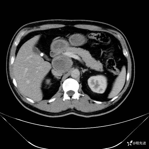
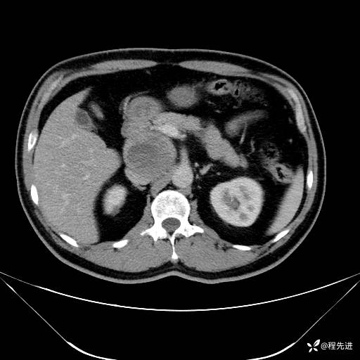
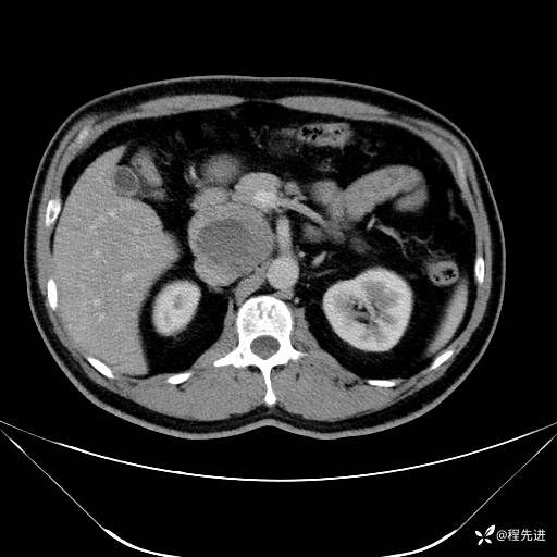
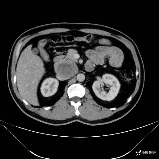
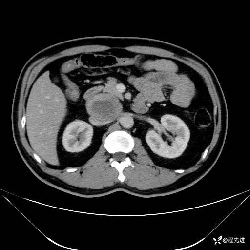
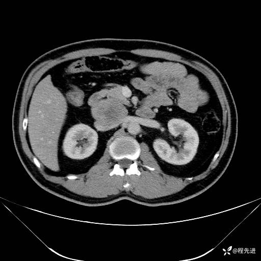
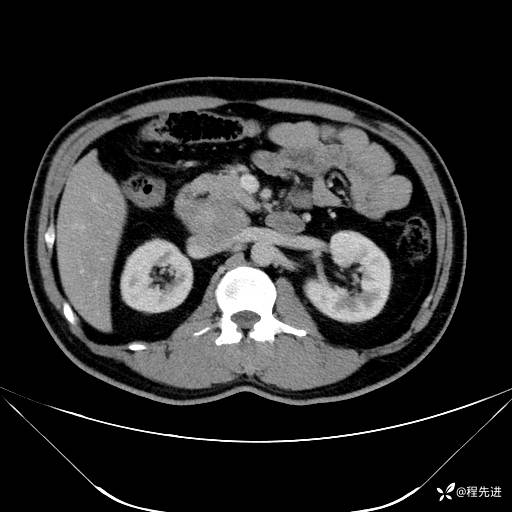
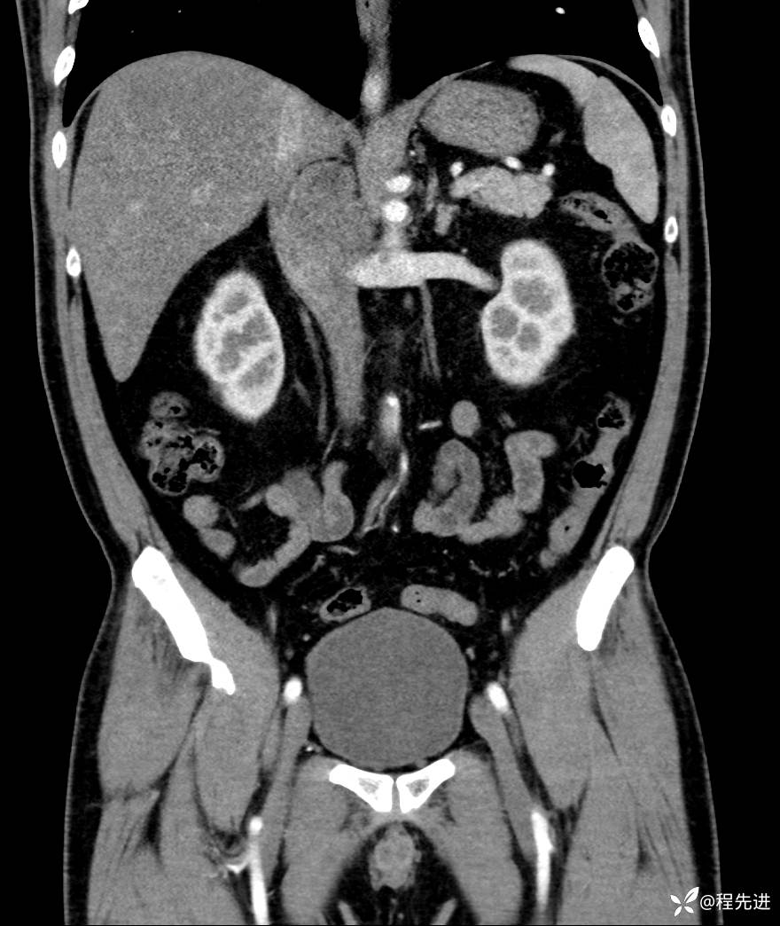
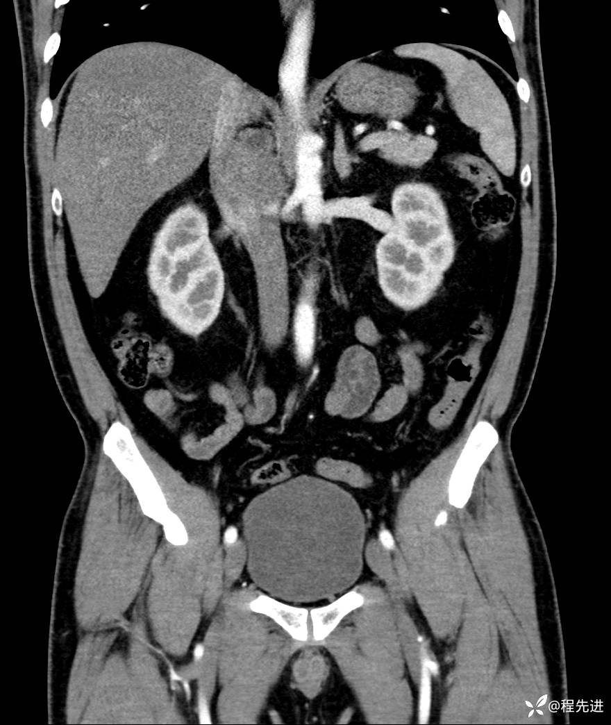
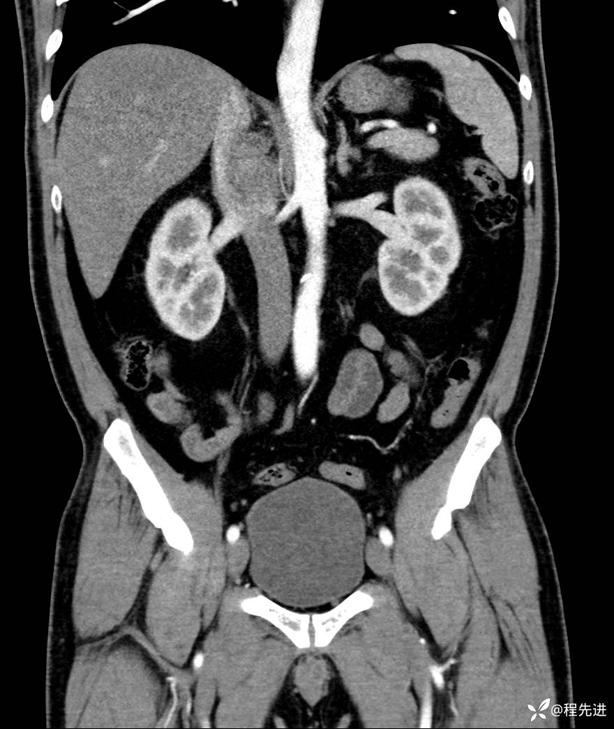
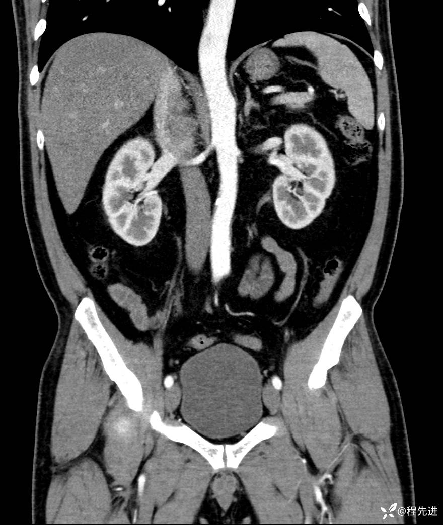
现病史:患者1月余前查体,行超声检查提示:后腹膜囊实性肿块;慢性胆囊炎伴胆囊内结石;无腹痛腹胀,不伴腹泻发热等;偶感腰背部酸痛。
既往史:高血压病史,长期药物控制可;血糖异常,饮食控制,未服用药物;冠脉造影提示左前降支近段少许软斑块,局部管腔轻度狭窄。吸烟10年,现未戒烟、否认饮酒史
家族史:母健在,父亲因肝癌去世。
实验室检查:乙肝表面抗原(+),乙肝e抗体(+),乙肝核心抗体(+)
肿标:(-)
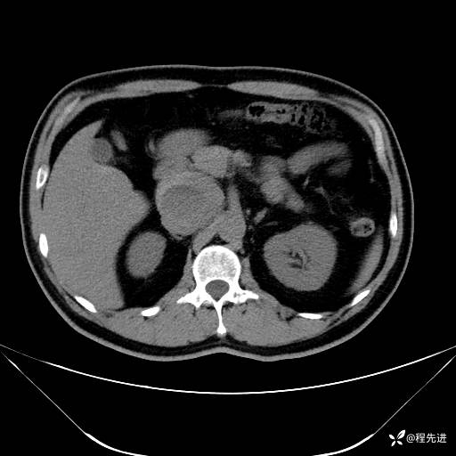
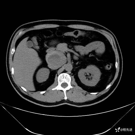
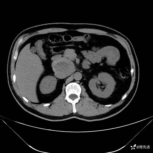
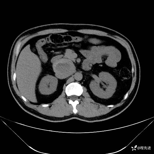
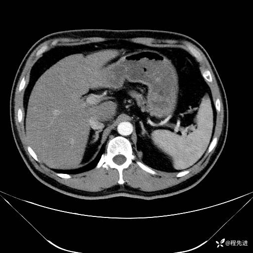
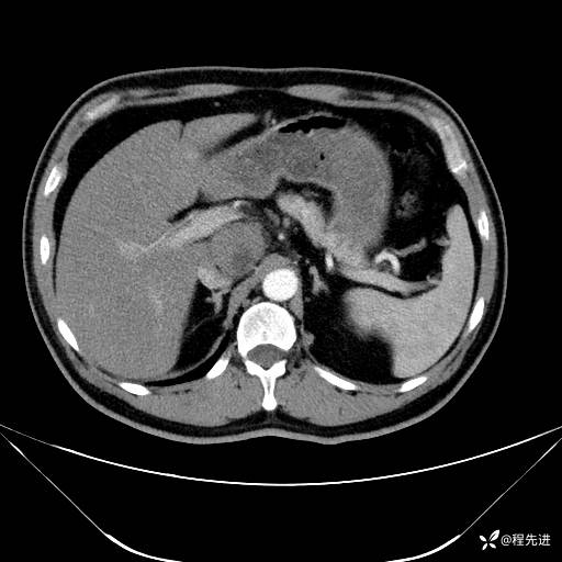
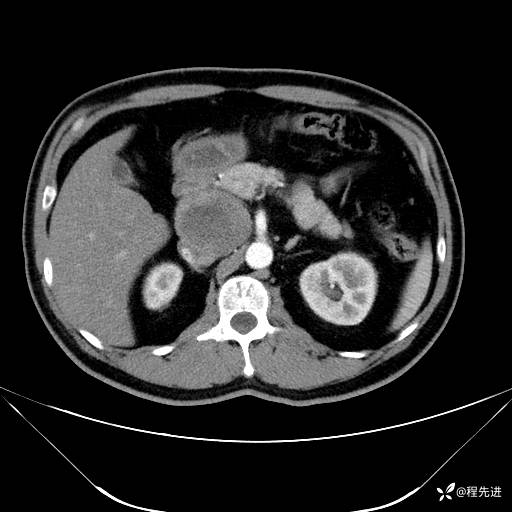
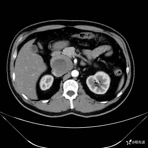
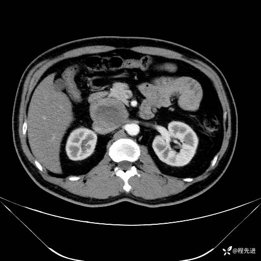
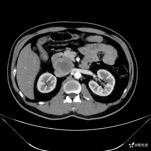
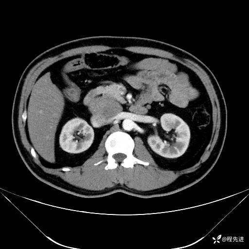
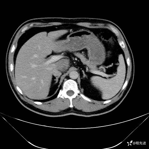
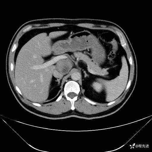
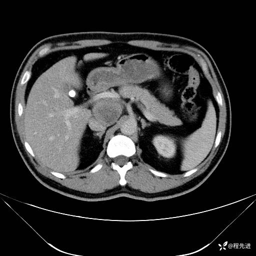
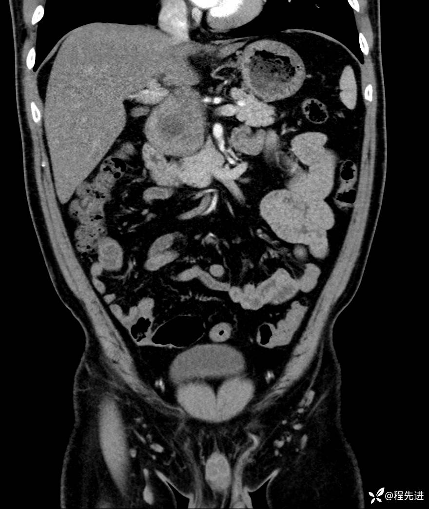
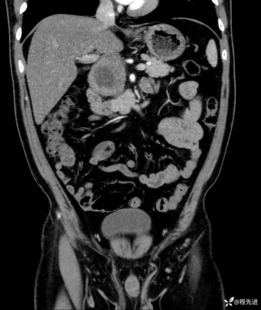
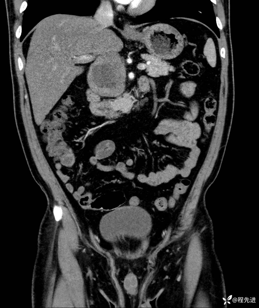
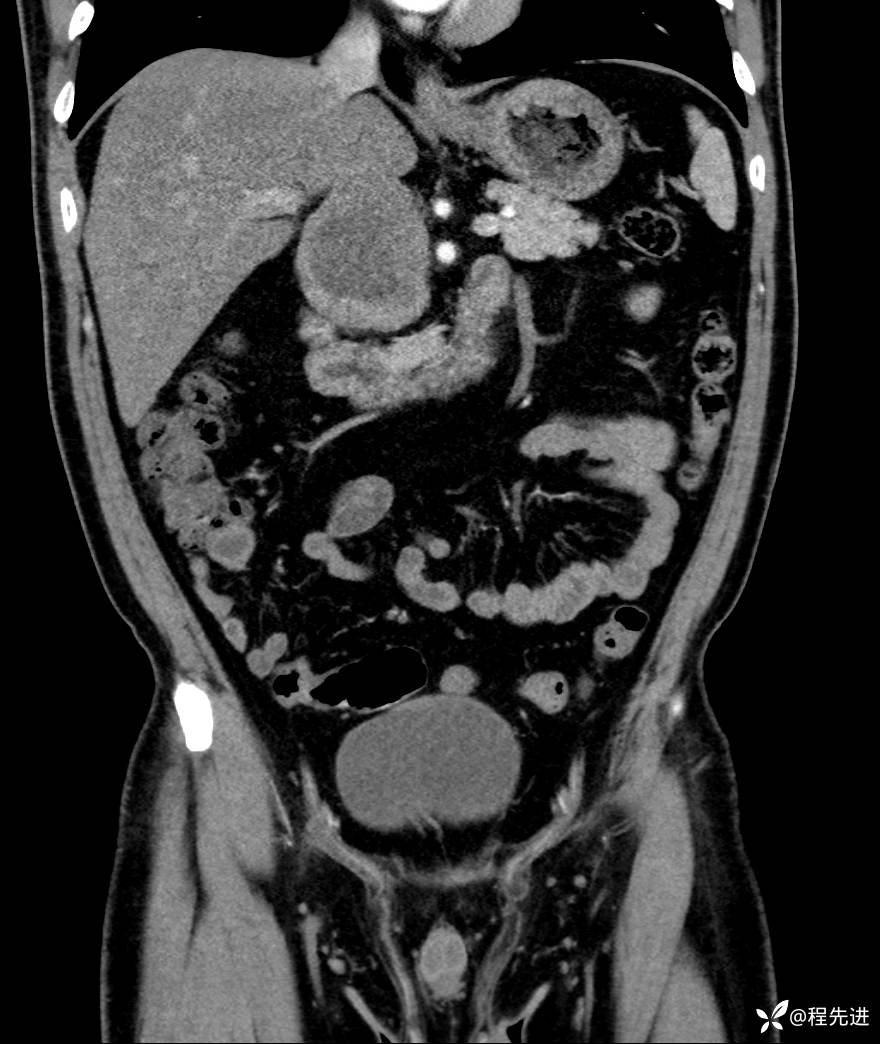
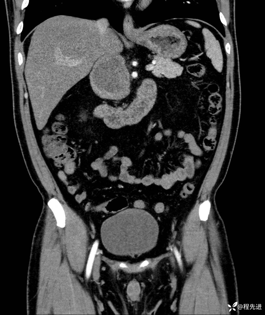
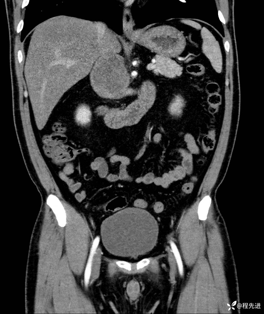
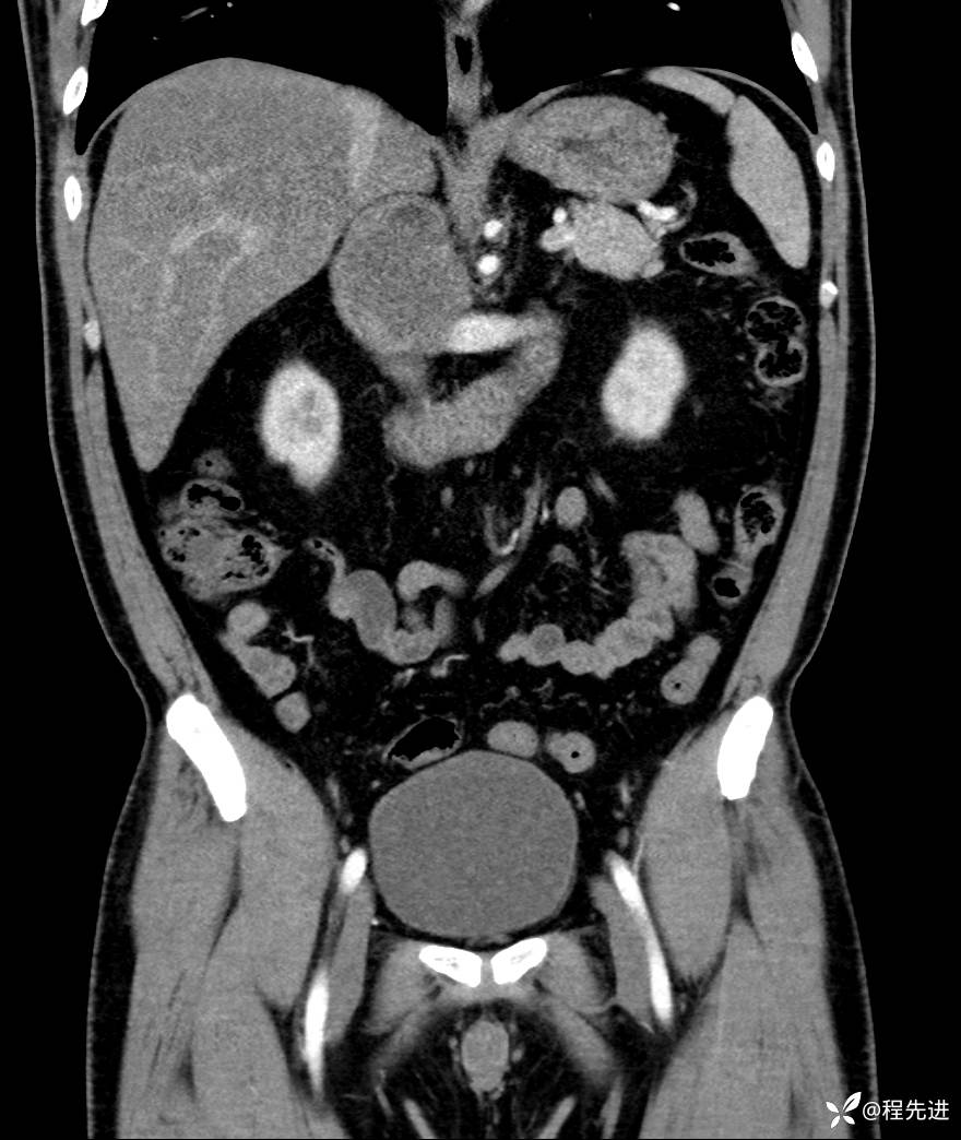
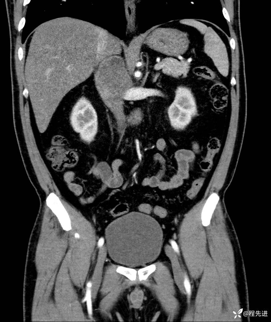
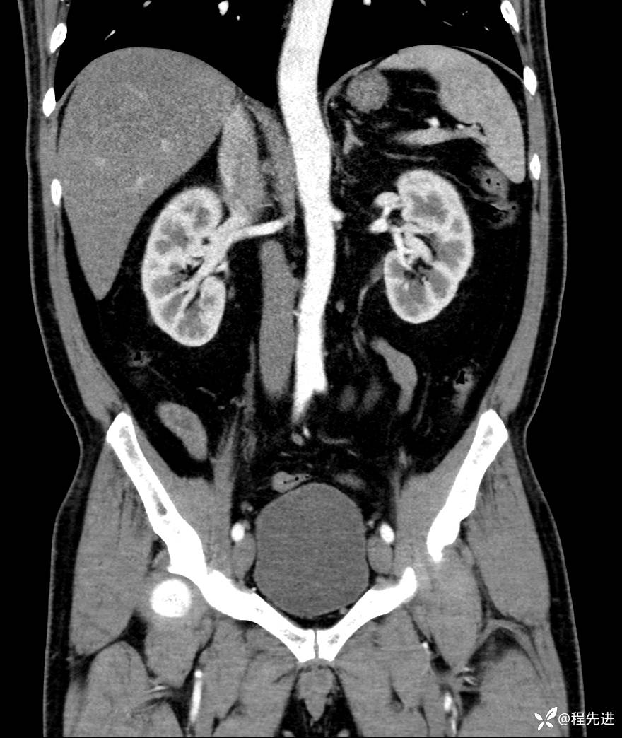
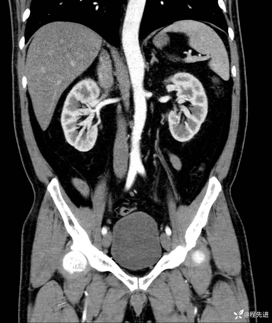
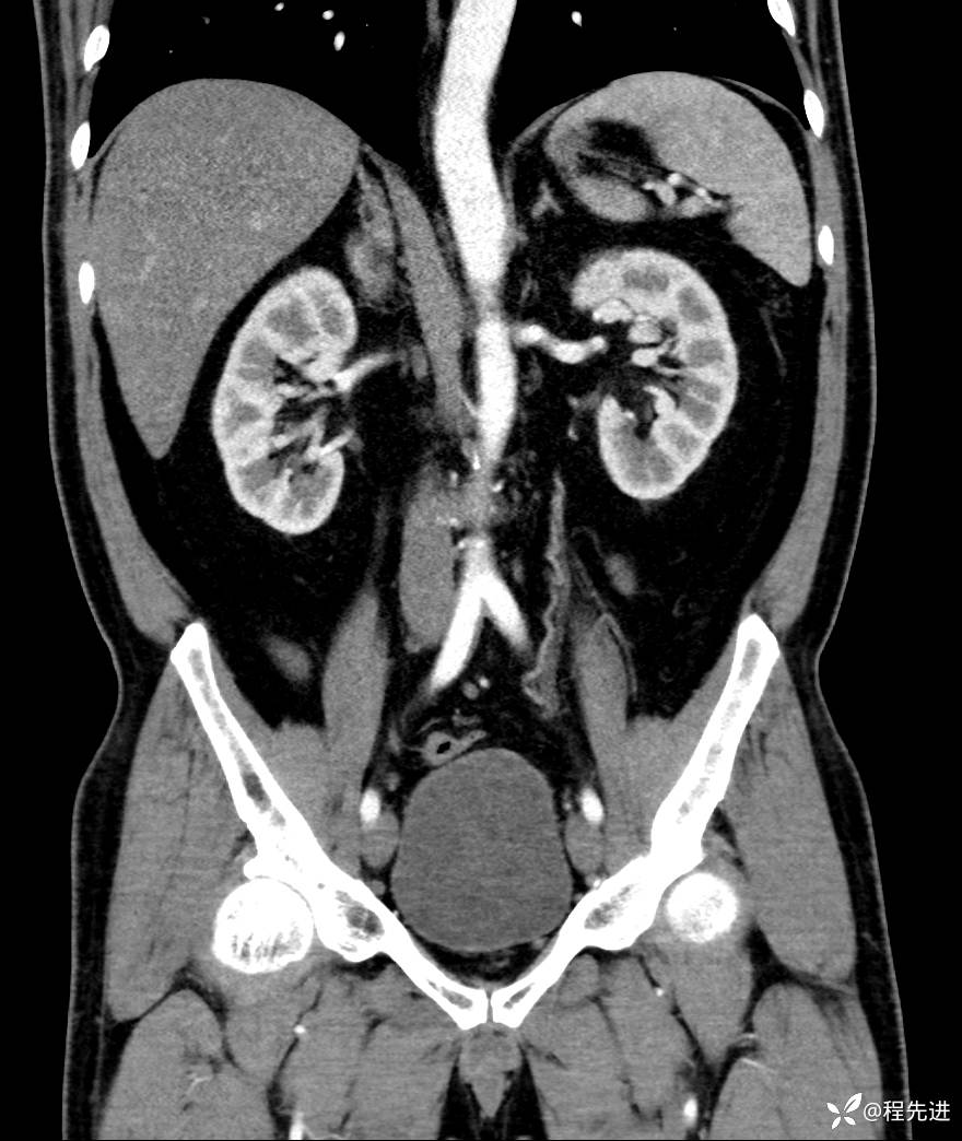
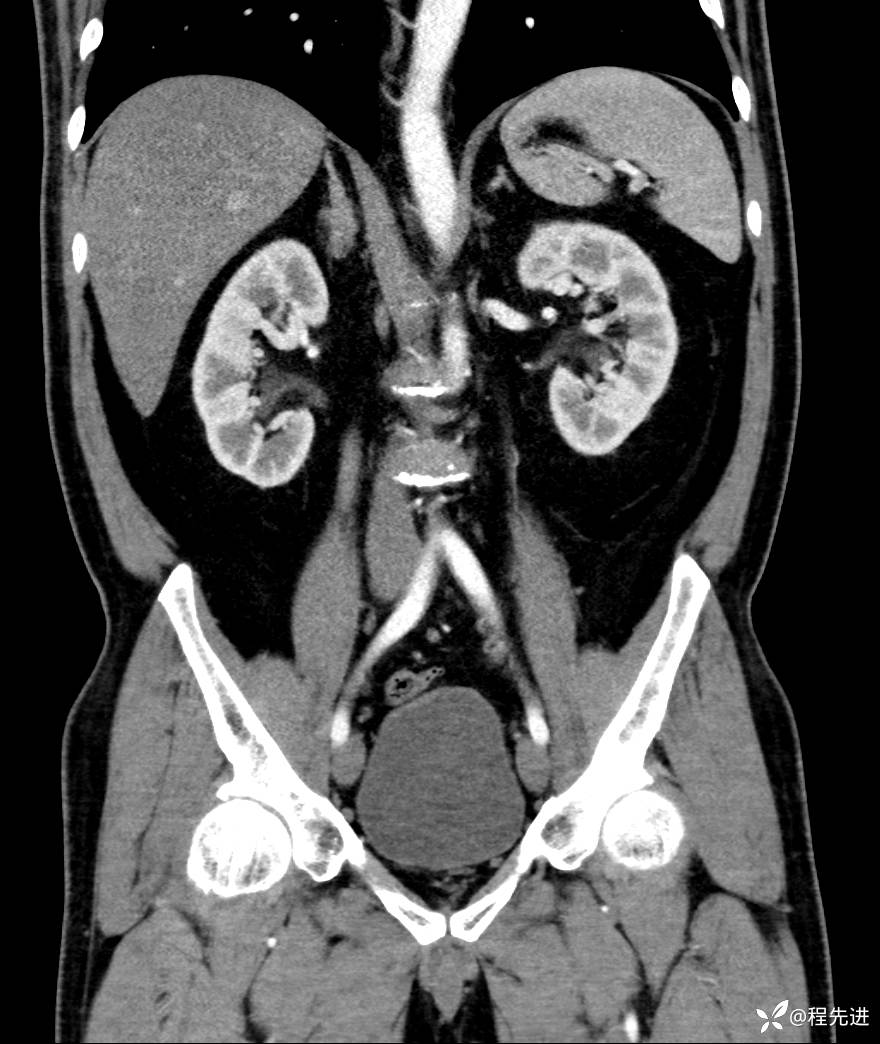
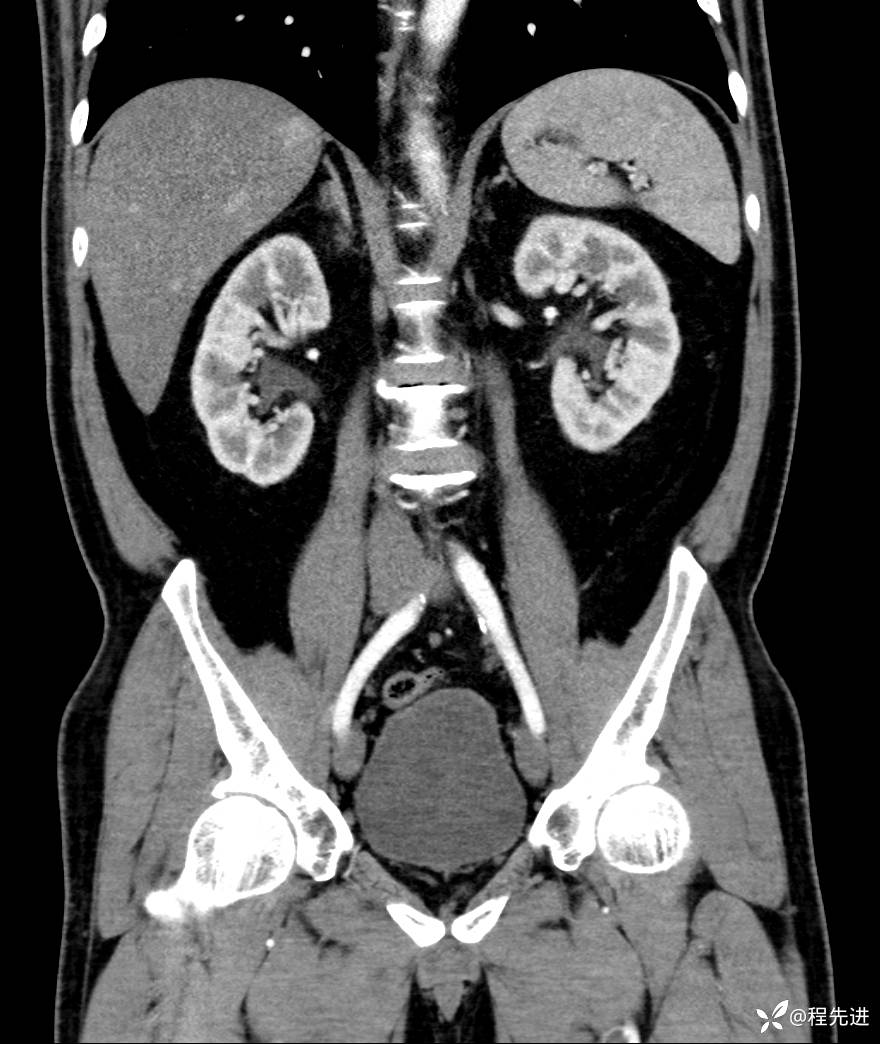
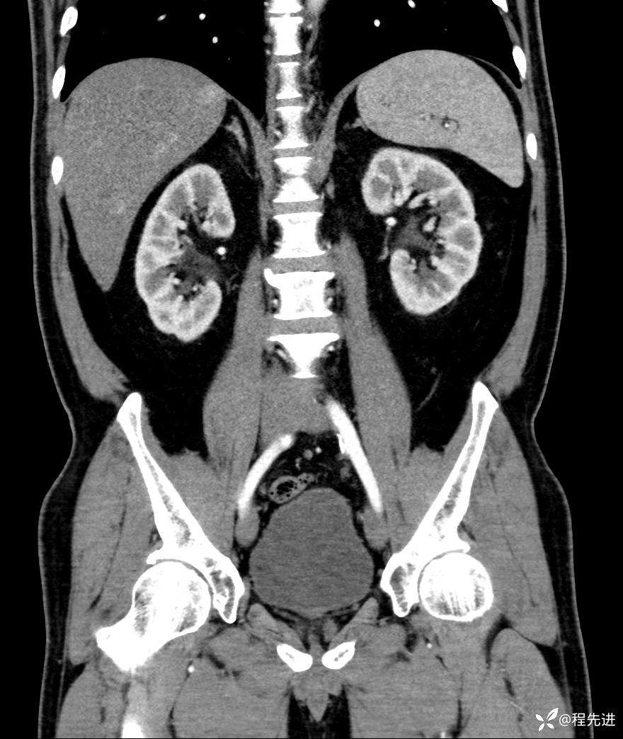
CT平扫+增强:






















































期待您的点赞支持!
期待您的精彩解读!















































