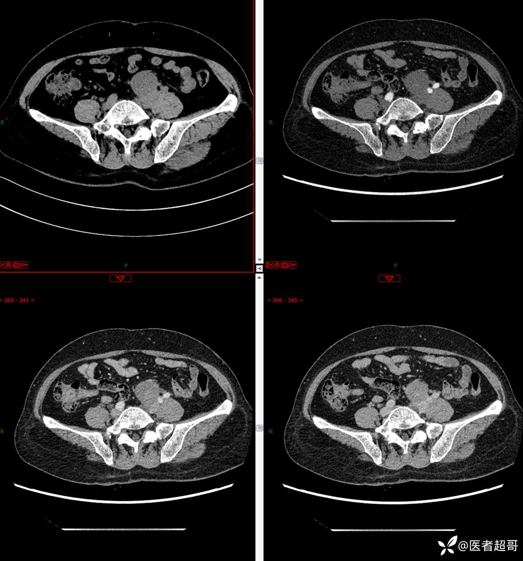
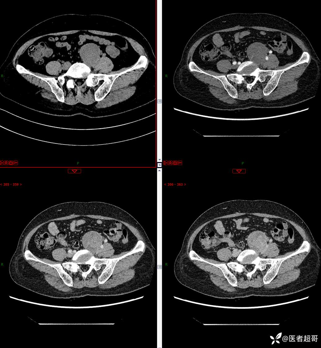
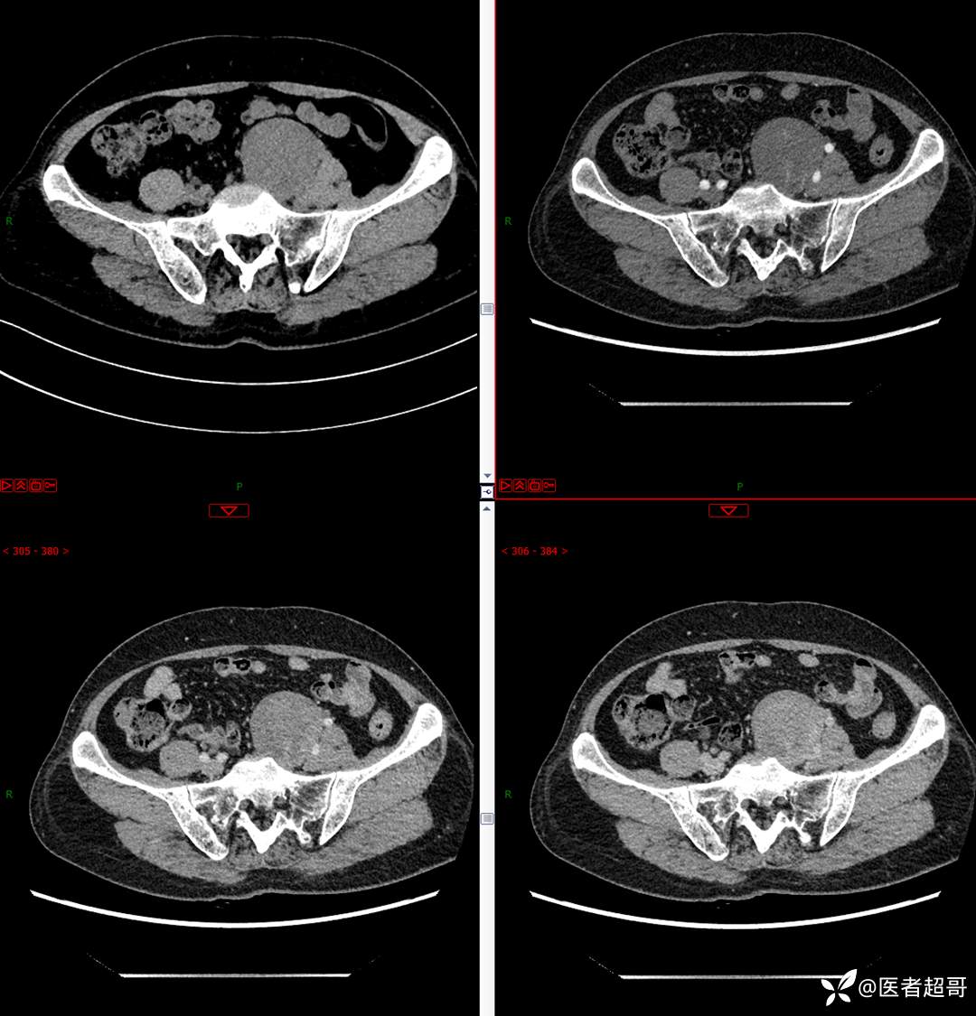
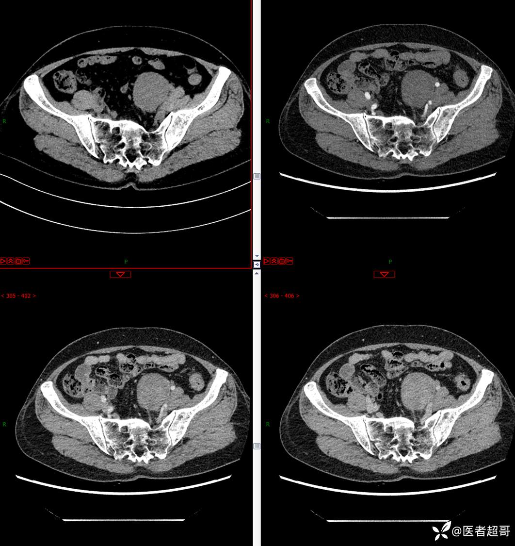
【影诊笔记559】查体发现右输尿管结石1周,发现腹膜后肿物,请分析,有病理!
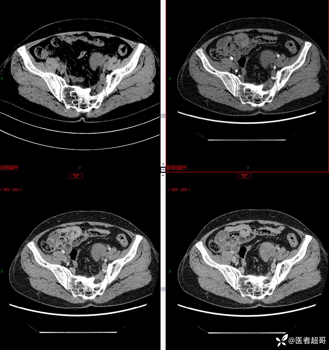
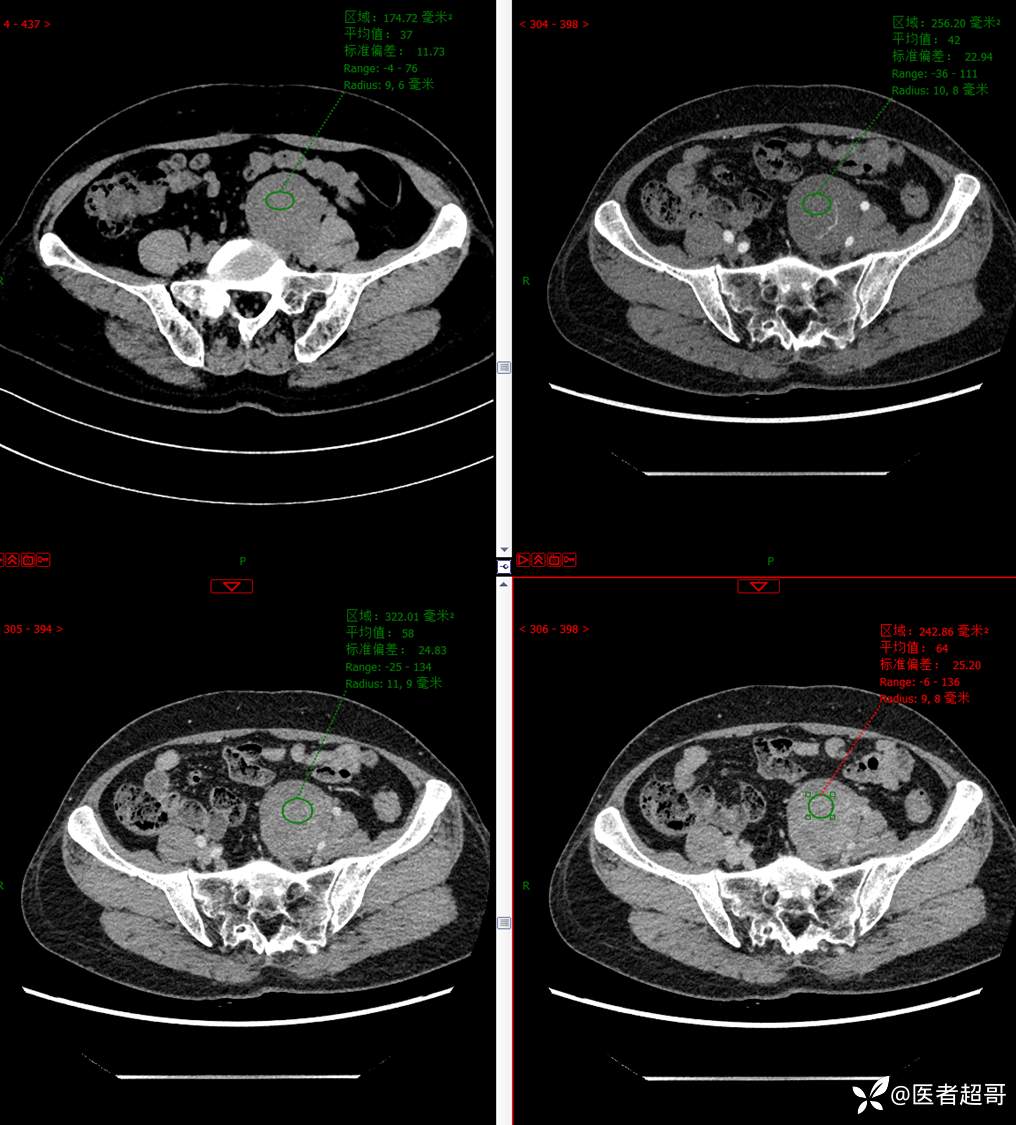
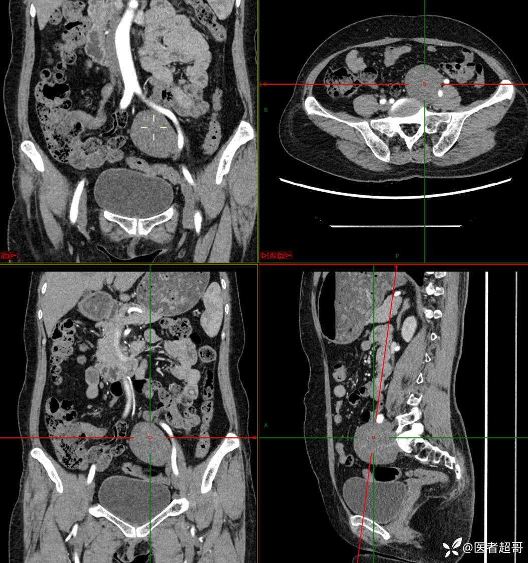
•主 诉:查体发现右输尿管结石1周。
•现病史:患者1周前因小便不适来我院门诊行彩超检查提示右输尿管结石并右肾积水,伴腰疼,无血尿,无寒战,高热,患者求其进一步诊治,门诊以“右输尿管结石并右肾积水”收入院,患者自发病以来,神志清,精神可,饮食睡眠可,大便便秘,近期体重无明显增减。
•既往史:既往体健,否认高血压、糖尿病、心脑血管病等疾病史,否认肝炎、结核或其他传染病史及密切接触史,预防接种史不详,否认药物及食物过敏史,否认外伤史,10年在市立医院行结石手术治疗,否认输血史,其它无特殊。























































