4月特别精彩病例|体检发现腹膜后肿物,增强三期无强化,乳糜定性阳性【病理已公布】
患者性别:女
患者年龄:69岁
主诉:体检发现左下腹膜后肿物1月。
现病史:1 月前患者体检行腹部 B 超发现左下腹膜后肿物,无腹胀腹痛、恶心呕吐、寒颤高热等不适,无其他不适。一般情况可。
既往史:既往因尿频尿急来我院就诊,予对症处理后症状减轻。否认高血压、糖尿病、冠心病等。否认手术、外伤、输血史,否认食物、药物过敏史。
个人史、家族史:无特殊。
专科检查腹部体查:左下腹部可见局部隆起,触及一大小约 15cm×10cm 包块,质韧、可移动,无触痛。
辅助检查:
血常规:

尿常规:

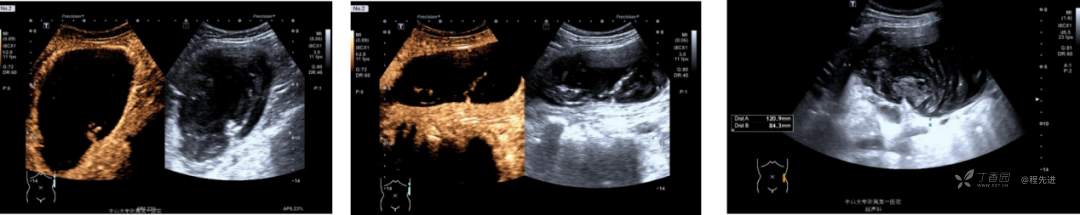
超声:


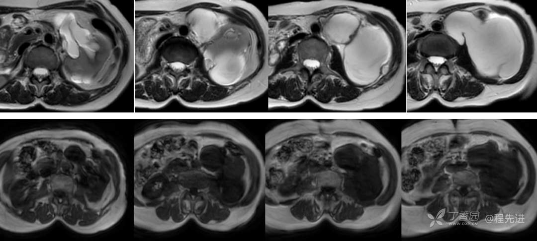
MR平扫:


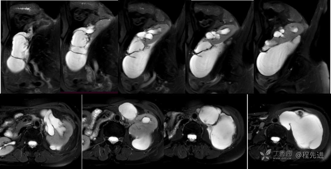
MR增强:

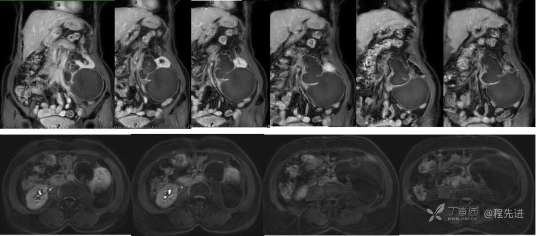
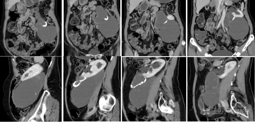
CT平扫+增强:

冠矢状位重建:

CT值:

超声引导下穿刺引流:
引流液镜下所见:

穿刺液-乳糜定性检验:

您的诊断与鉴别诊断?
诊断依据?
分析思路?















































