dxy logo
首页丁香园病例库全部版块
搜索
登录

病例【腹盆】特别精彩病例|体检发现脾脏肿大半月

影像核医学版版主 · 发布于 2024-06-12 · IP 江西江西
3215 浏览
icon李梦杰huxi 等 2 位达人已点赞
这个帖子发布于 1 年零 165 天前,其中的信息可能已发生改变或有所发展。

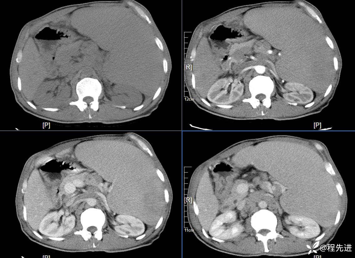
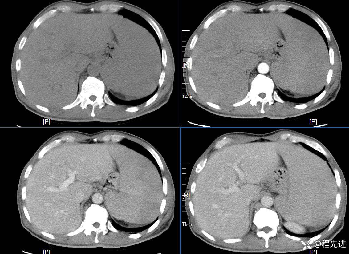
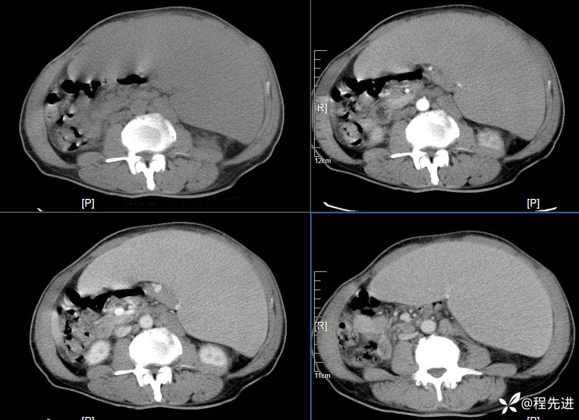
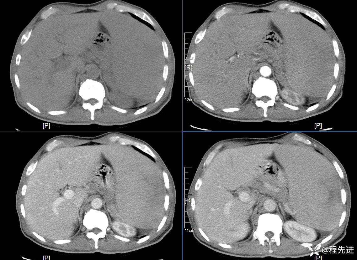
病例信息

患者性别:男

患者年龄:59岁

简要病史:体检发现脾脏肿大半月

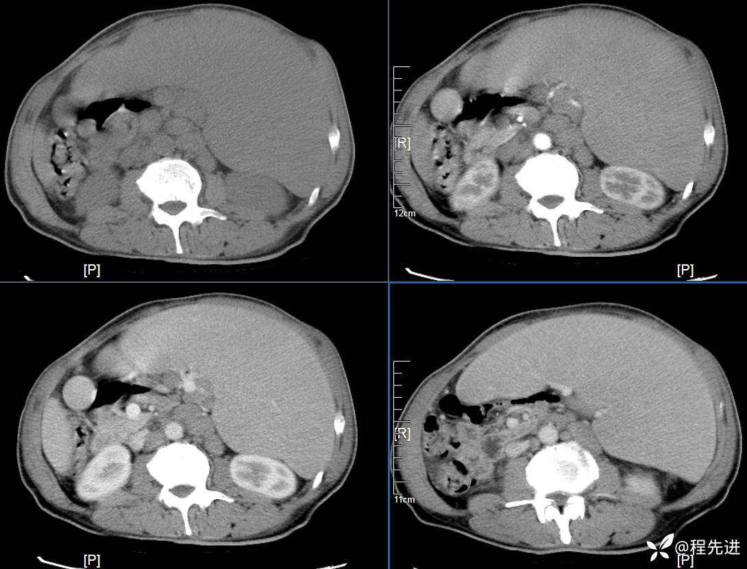
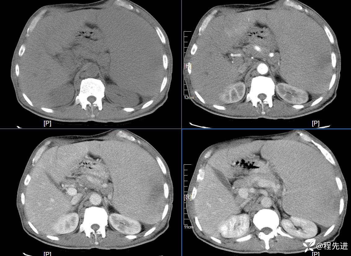
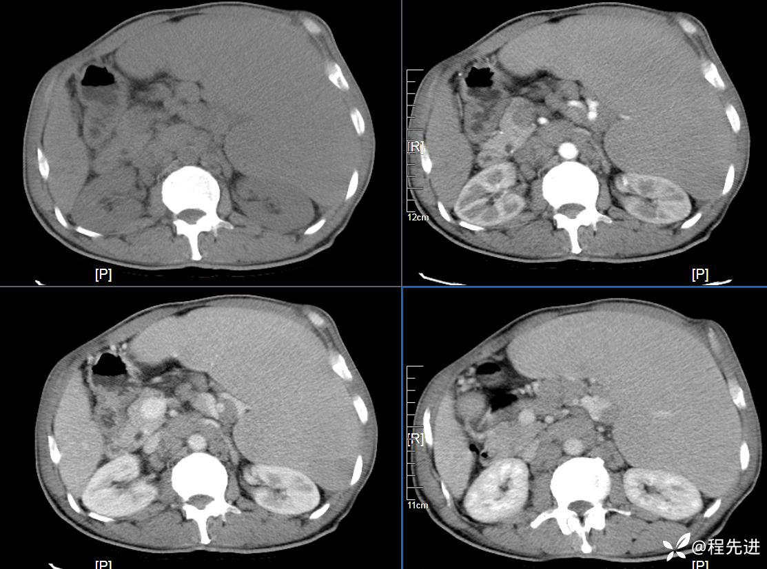
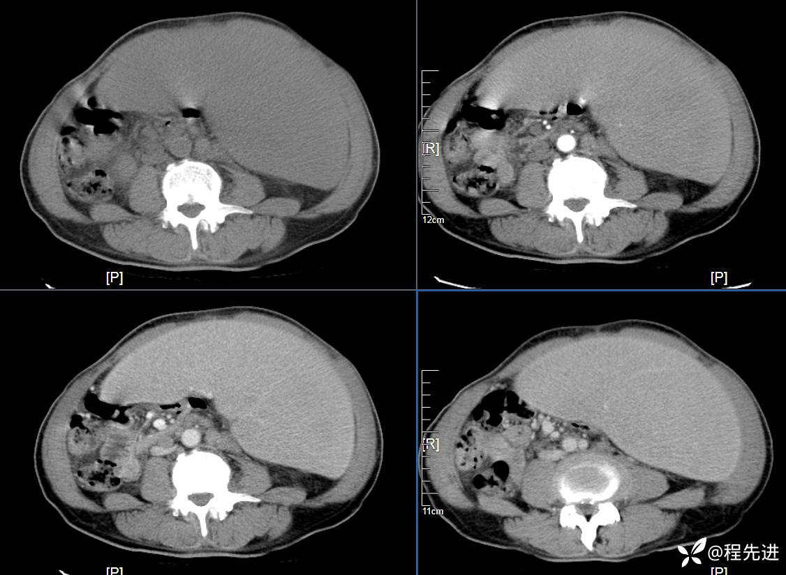
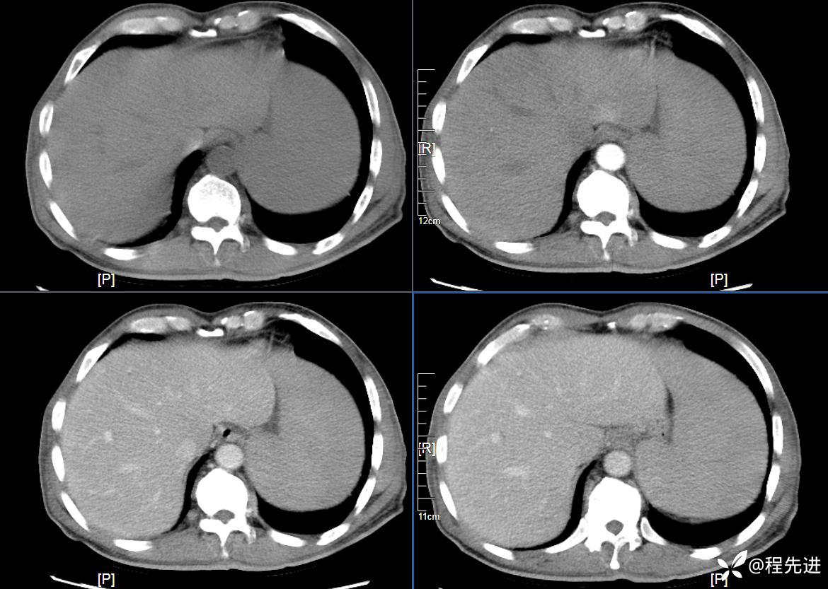
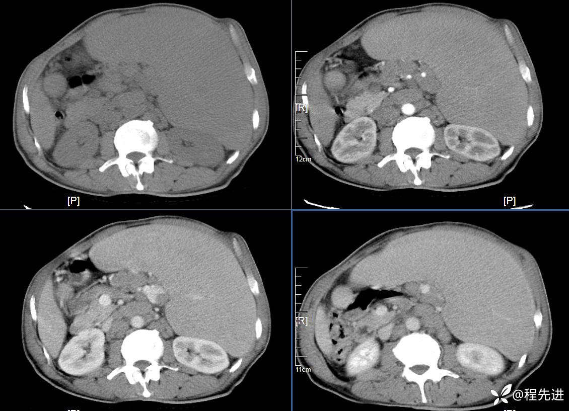
CT平扫及增强3期:

img
img
img
img
img
img
img
img
img
img
img

期待您的点赞支持!

期待您的精彩解读!

该帖还没有疾病标签去添加
28 10 32
同行评议(0)
已评议
不开通精选
开通精选
精选已授权,待上线
评议结果暂未公布
参与评议
去邀请
NaN
病例完整NaN
临床实用NaN
诊疗科学NaN
学术价值NaN

全部讨论(0)

默认最新
avatar
28
分享帖子
share-weibo分享到微博
share-weibo分享到微信
认证
返回顶部