dxy logo
首页丁香园病例库全部版块
搜索
登录

病例小姑娘,超声提示上腹部巨大包块。平扫就能轻松搞定的病变--结果公布

影像核医学版版主 · 发布于 2024-05-19 · 来自 Android · IP 云南云南
1665 浏览
icon胡志勇HZY 达人已点赞
这个帖子发布于 1 年零 189 天前,其中的信息可能已发生改变或有所发展。

病例信息

性别:女

年龄:13岁

简要病史:超声提示上腹部巨大包块

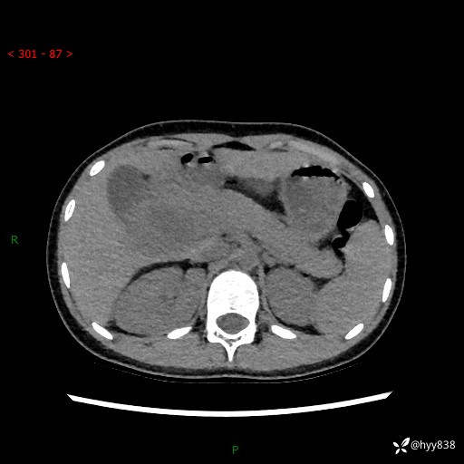
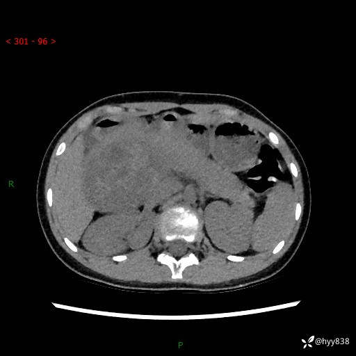
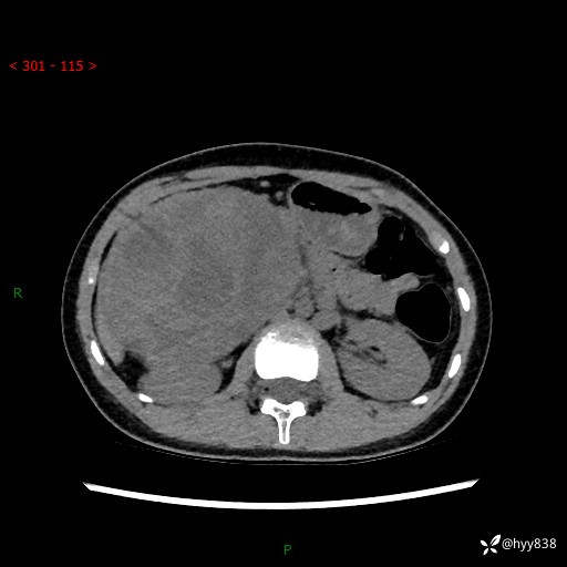
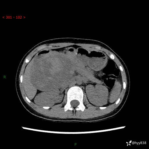
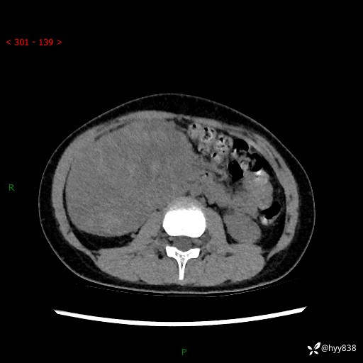
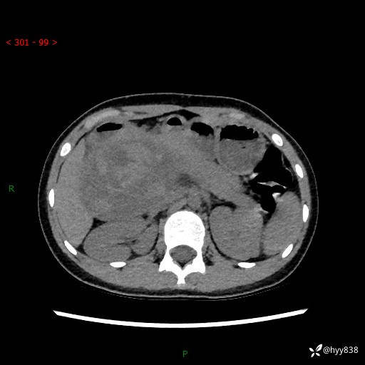
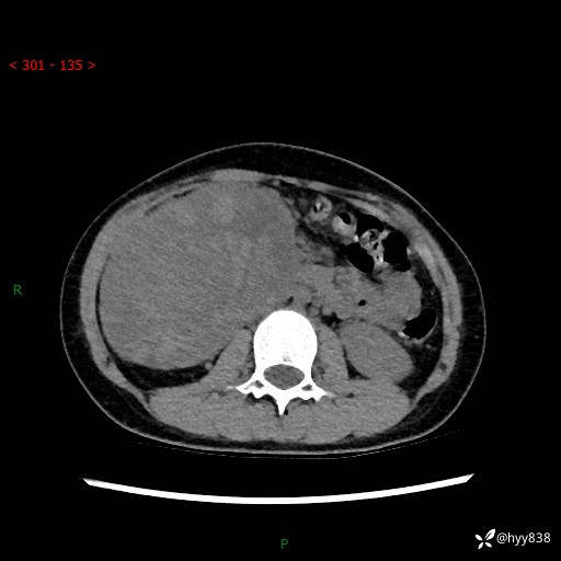
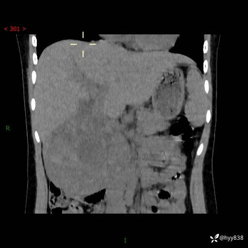
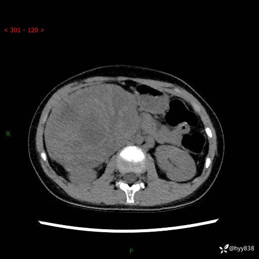
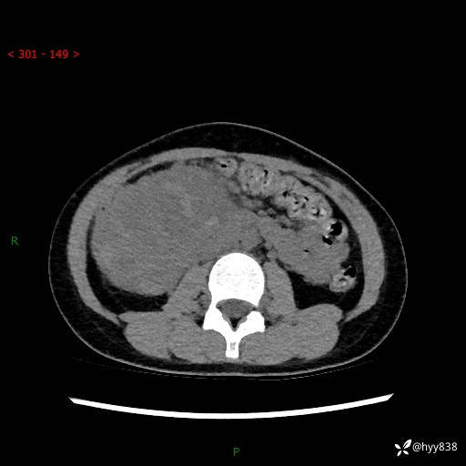
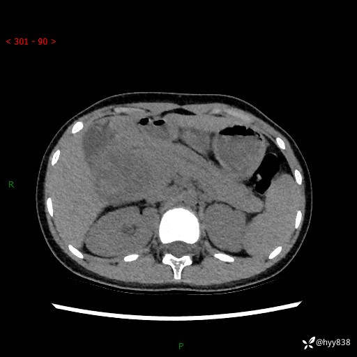
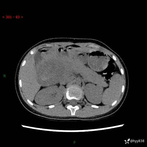
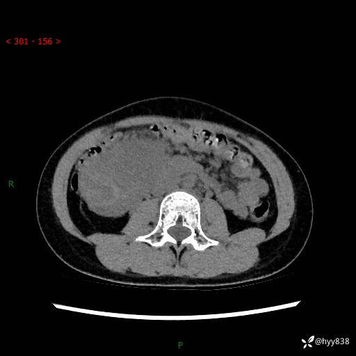
上腹部CT平扫

img


img


img


img


img


img


img


img


img


img


img


img


img


img


img


img


img


img


img
胰腺实性假乳头状瘤 (17)
纠错
37 5 17
同行评议(0)
已评议
不开通精选
开通精选
精选已授权,待上线
评议结果暂未公布
参与评议
去邀请
NaN
病例完整NaN
临床实用NaN
诊疗科学NaN
学术价值NaN

全部讨论(0)

默认最新
avatar
37
分享帖子
share-weibo分享到微博
share-weibo分享到微信
认证
返回顶部