dxy logo
首页丁香园病例库全部版块
搜索
登录

病例31岁/男,超声发现脾脏肿物。脾脏单发肿物,是否典型,你来定---结果公布~

影像核医学版版主 · 发布于 2024-11-08 · IP 湖北湖北
1755 浏览
icon胡志勇HZY 达人已点赞
这个帖子发布于 1 年零 16 天前,其中的信息可能已发生改变或有所发展。

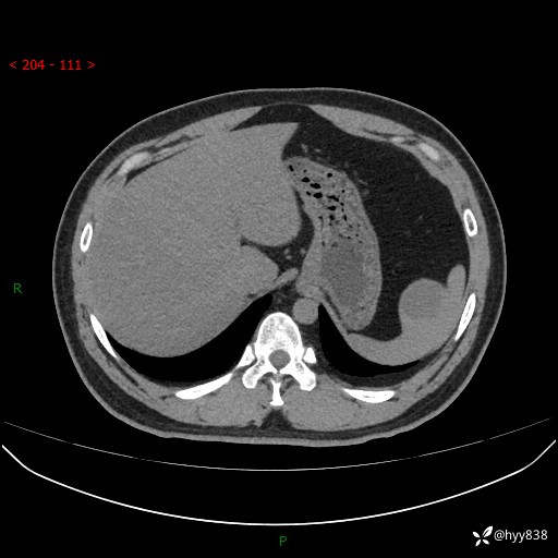
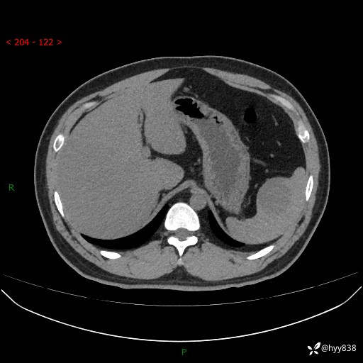
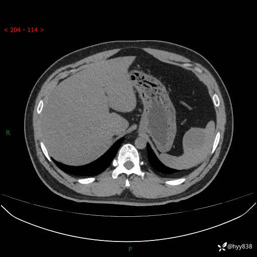
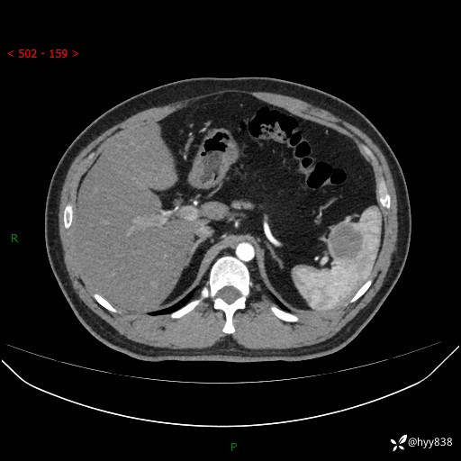
病例信息

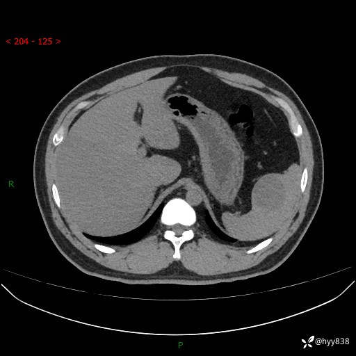
【患者信息】:31岁/男

【主诉】:超声发现脾脏肿物,为进一步诊治来我院,门诊以“脾脏占位”收入院

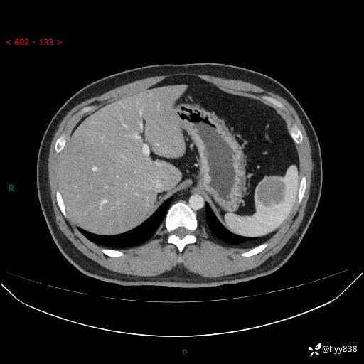
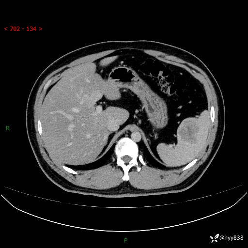
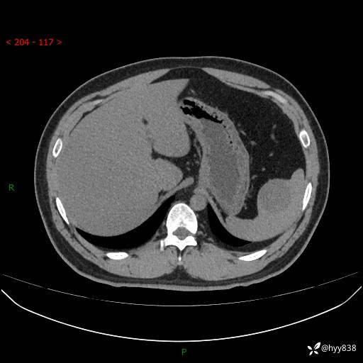
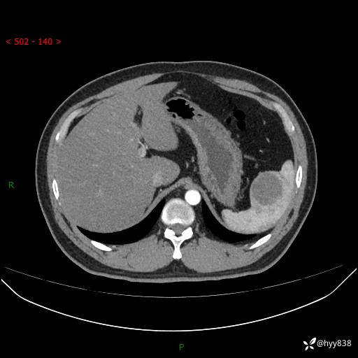
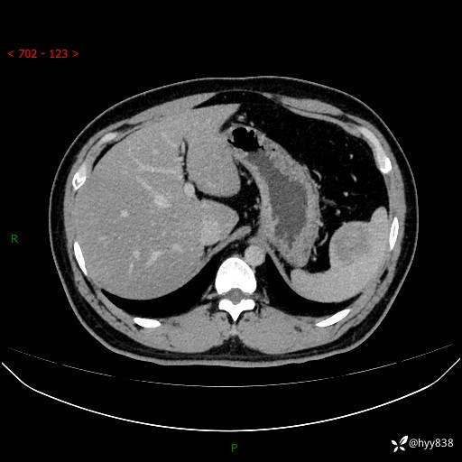
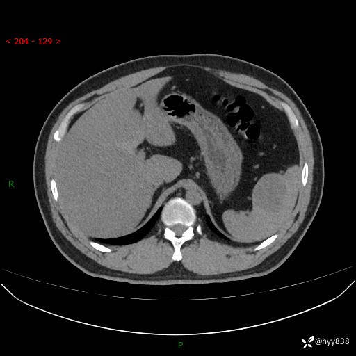
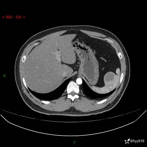
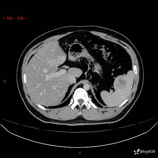
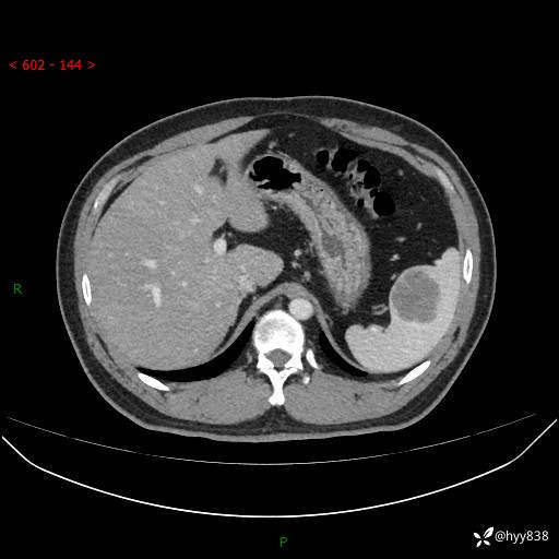
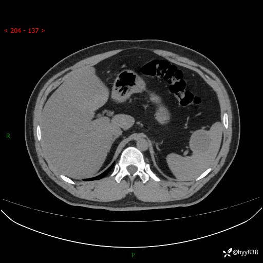
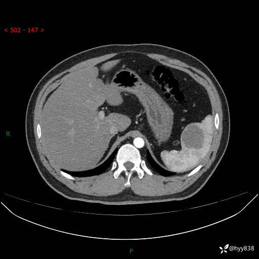
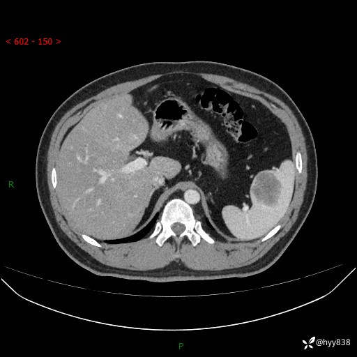
【检查】:上腹部CT平扫+增强

img
img
img
img
img
img
img
img
img
img
img
img
img
img
img
img
img
img
img
img
img
img
img

【临床诊断】

【治疗经过及结果】

脾肿瘤 (14)
纠错
29 7 21
同行评议(0)
已评议
不开通精选
开通精选
精选已授权,待上线
评议结果暂未公布
参与评议
去邀请
NaN
病例完整NaN
临床实用NaN
诊疗科学NaN
学术价值NaN

全部讨论(0)

默认最新
avatar
29
分享帖子
share-weibo分享到微博
share-weibo分享到微信
认证
返回顶部