dxy logo
首页丁香园病例库全部版块
搜索
登录

病例中年男性,超声发现脾脏占位。稀罕病例,精准诊断很难---结果公布(恭喜董版,NB)

影像核医学版版主 · 发布于 2024-03-07 · IP 湖北湖北
2103 浏览
推荐、达人点赞 2 项荣誉
这个帖子发布于 1 年零 262 天前,其中的信息可能已发生改变或有所发展。

患者性别:男

患者年龄:44岁

主诉:外院超声发现脾脏占位,来我院进一步诊治。

体格检查:(-)

辅助检查:CT

临床诊断:脾脏占位

治疗经过:手术

讨论:病变性质?

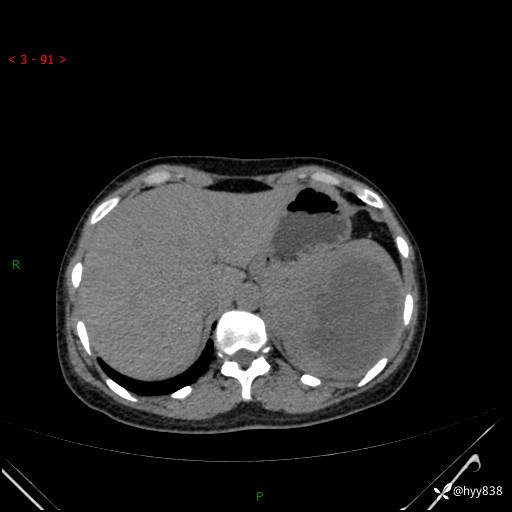
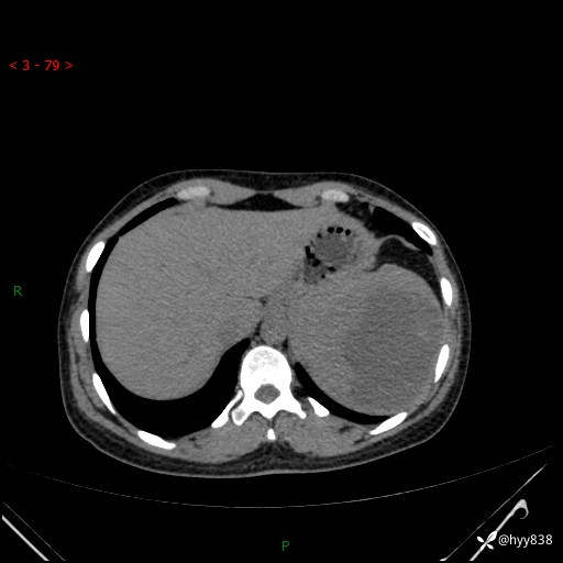
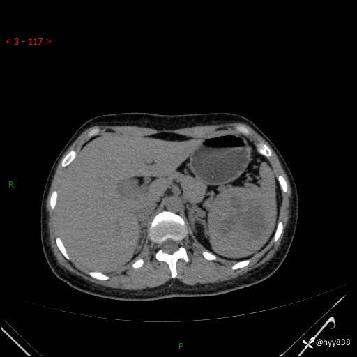
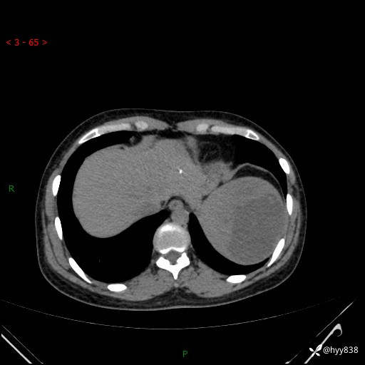
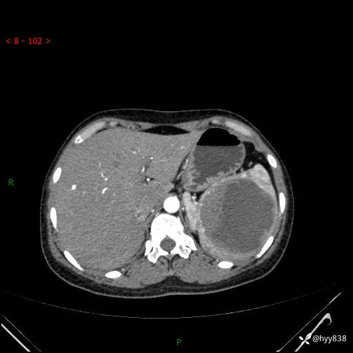
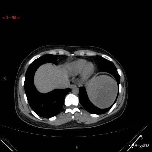
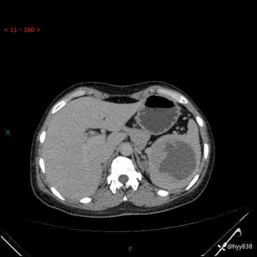
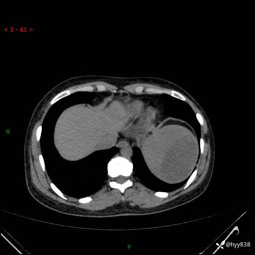
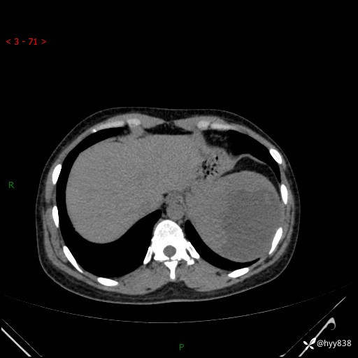
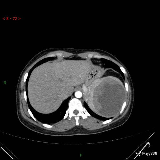
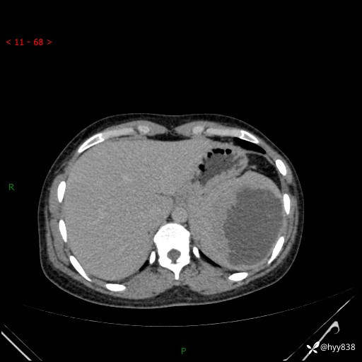
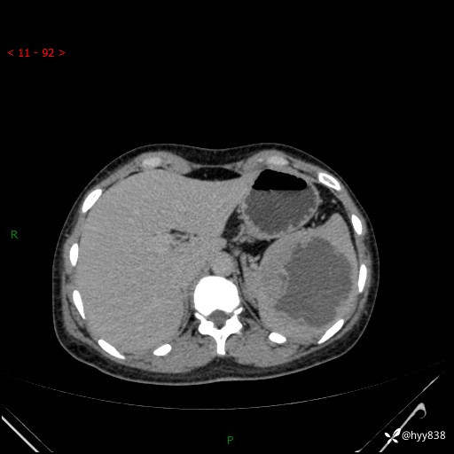
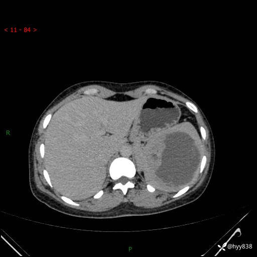
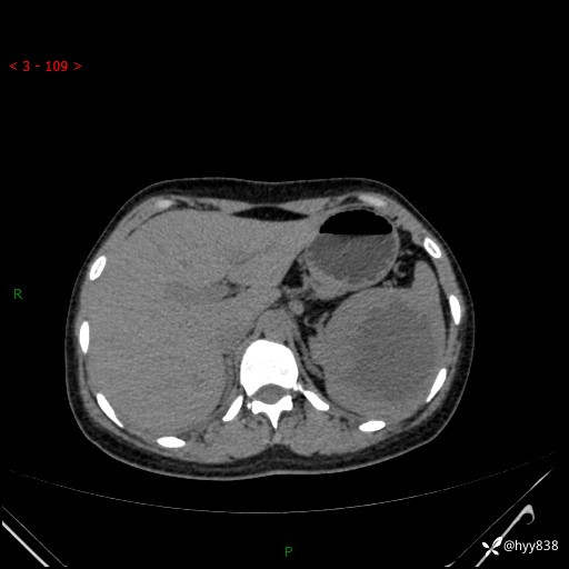
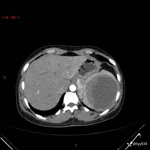
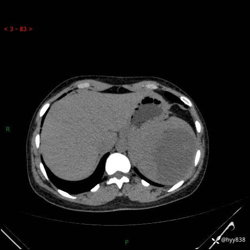
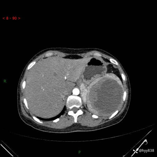
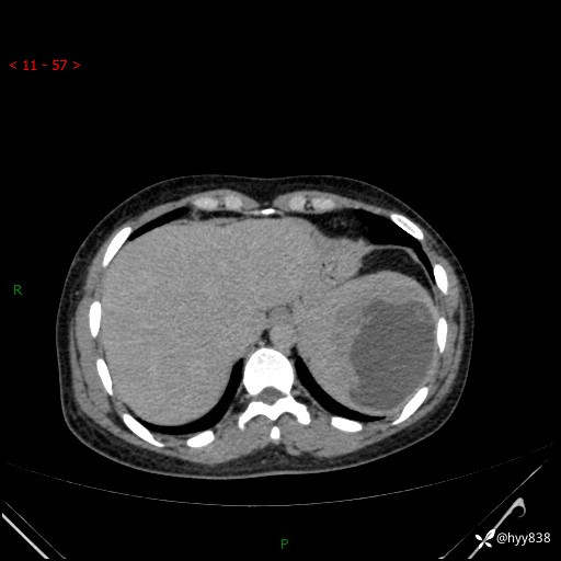
脾脏CT平扫+增强(动脉期+静脉期)

img
img
img
img
img
img
img
img
img
img
img
img
img
img
img
img
img
img
img
img
img
img
脾肿瘤 (14)
纠错
47 5 24
同行评议(0)
已评议
不开通精选
开通精选
精选已授权,待上线
评议结果暂未公布
参与评议
去邀请
NaN
病例完整NaN
临床实用NaN
诊疗科学NaN
学术价值NaN

全部讨论(0)

默认最新
avatar
47
分享帖子
share-weibo分享到微博
share-weibo分享到微信
认证
返回顶部