晨读疑难病例分享。中年男性,外院超声发现胰腺勾突下方结节,CT、MRI---结果公布
胡志勇HZY 达人已点赞患者性别:男
患者年龄:47岁
简要病史:外院超声发现胰腺勾突下方结节,为进一步诊治来我院
体格检查:(-)
辅助检查:CT MRI
临床诊断:胰腺勾突下方结节
治疗经过:手术
讨论:病变性质?
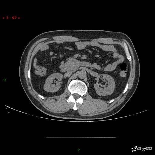
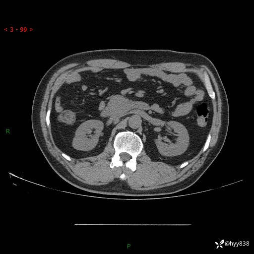
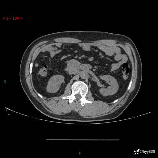
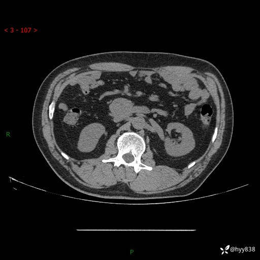
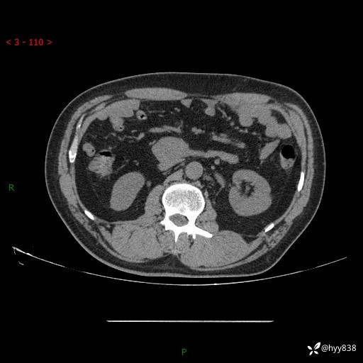
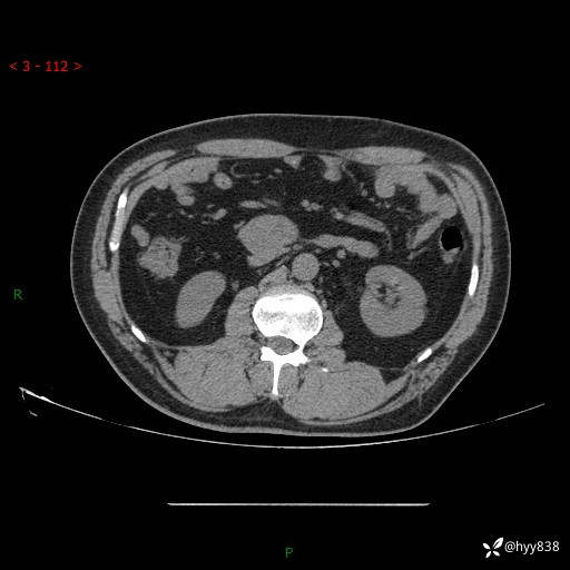
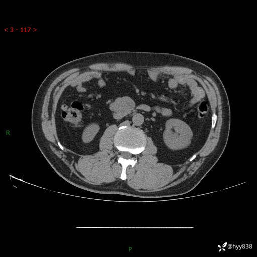
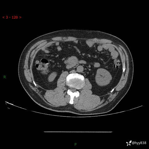
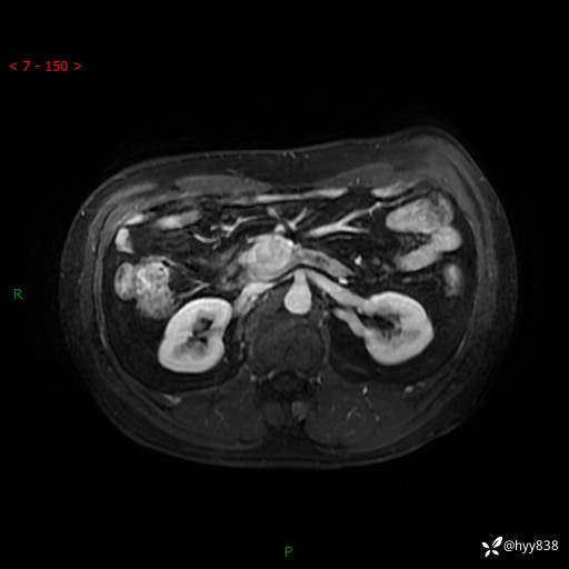
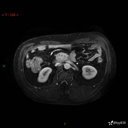
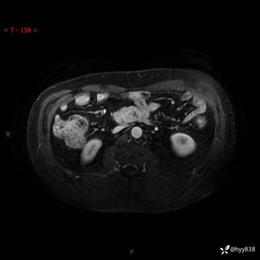
腹部CT平扫










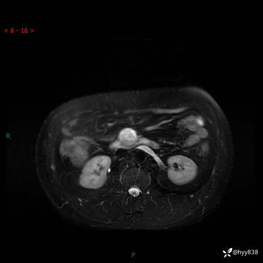
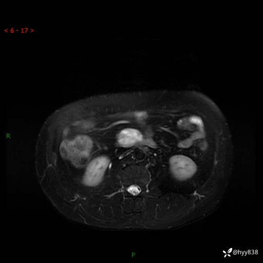
MRI(T1WI+T2WIfs+DWI)









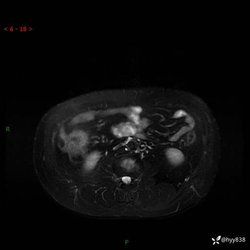
增强






胡志勇HZY 达人已点赞患者性别:男
患者年龄:47岁
简要病史:外院超声发现胰腺勾突下方结节,为进一步诊治来我院
体格检查:(-)
辅助检查:CT MRI
临床诊断:胰腺勾突下方结节
治疗经过:手术
讨论:病变性质?
腹部CT平扫










MRI(T1WI+T2WIfs+DWI)









增强






