50岁/女,外院超声发现腹盆肿块。疑难好病例,等你来诊---结果公布~
胡志勇HZY 等 2 位达人已点赞病例信息
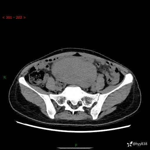
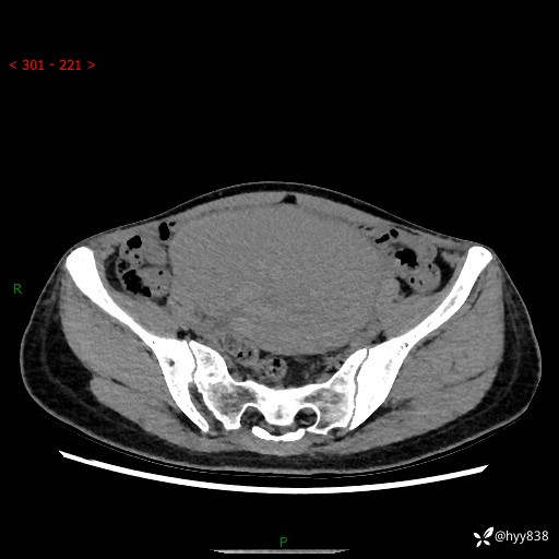
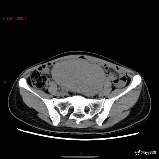
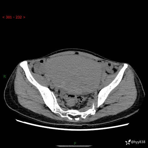
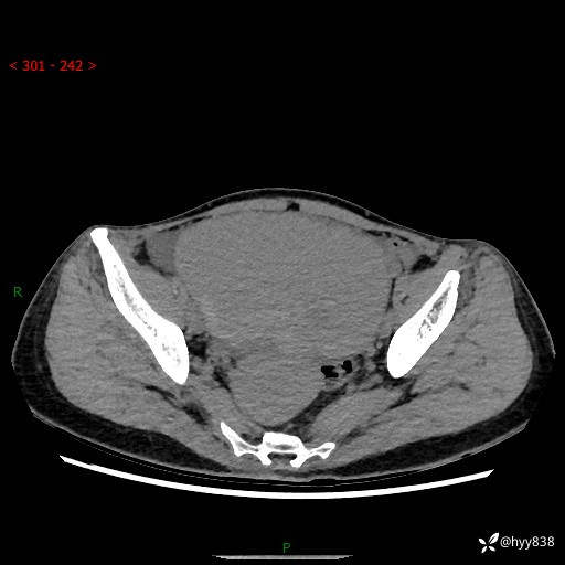
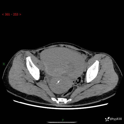
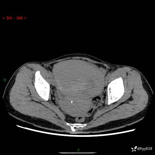
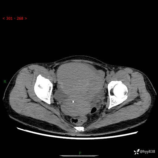
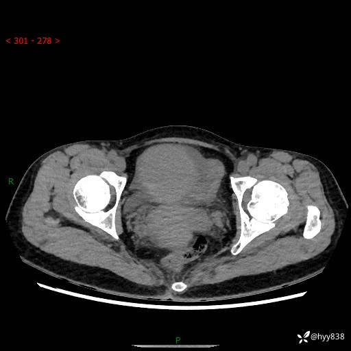
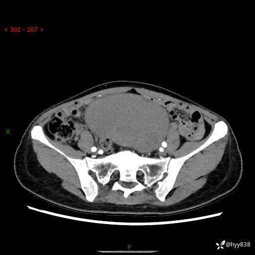
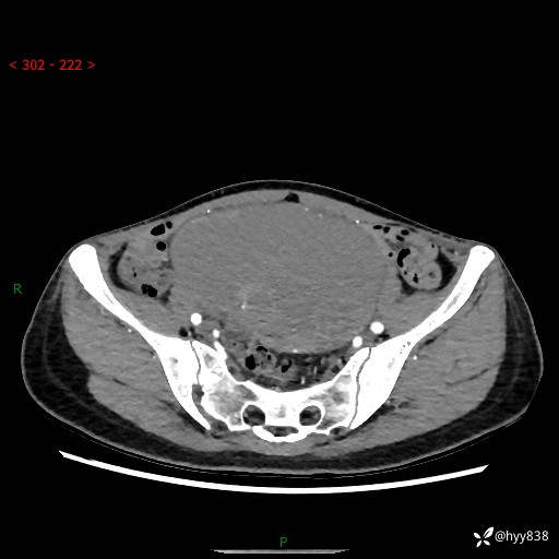
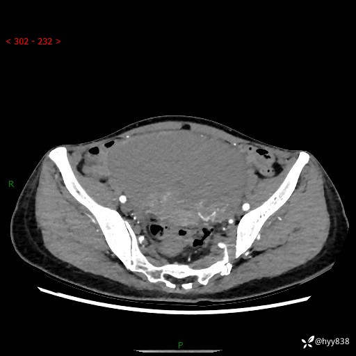
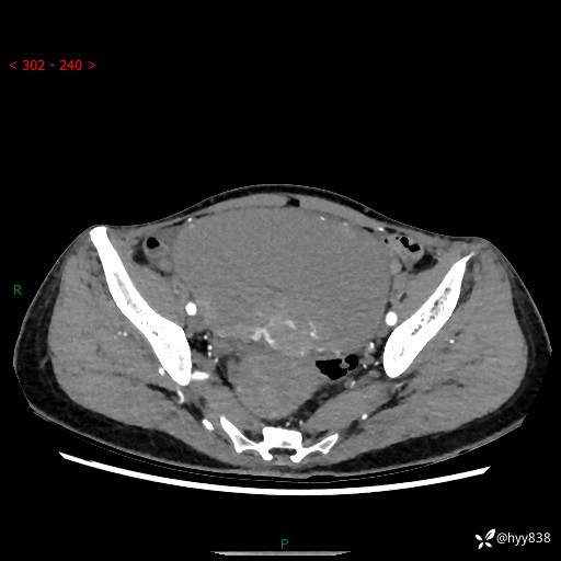
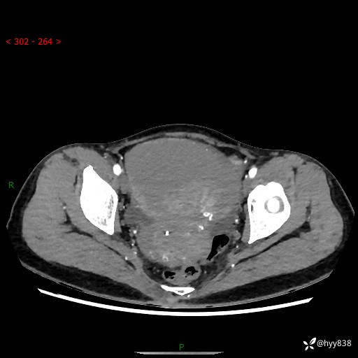
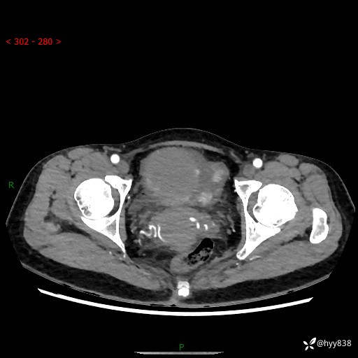
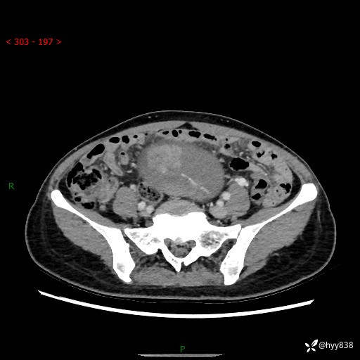
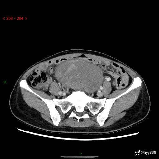
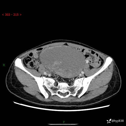
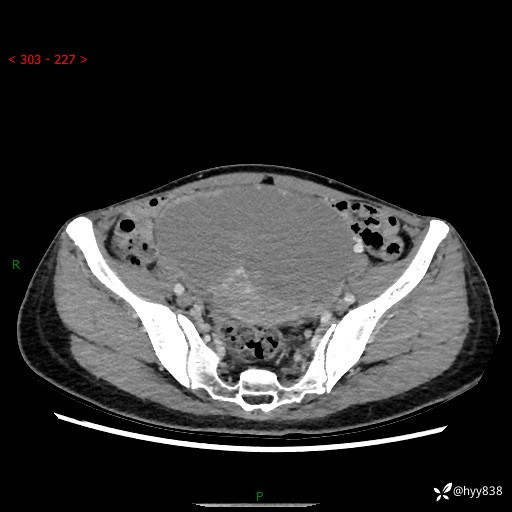
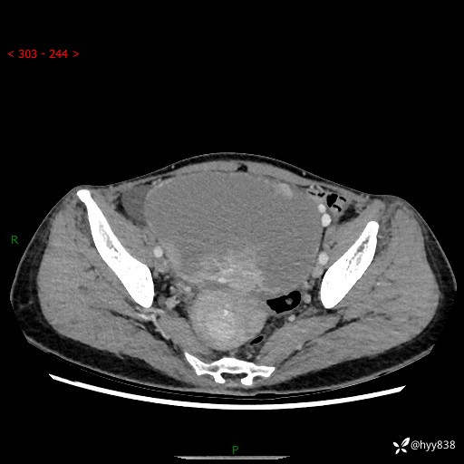
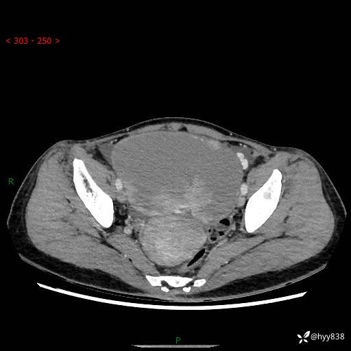
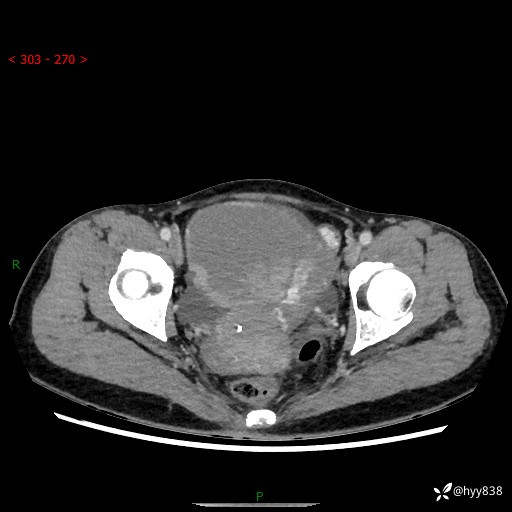
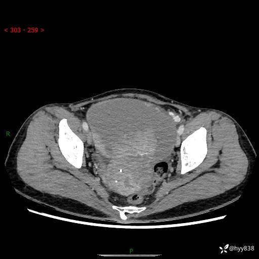
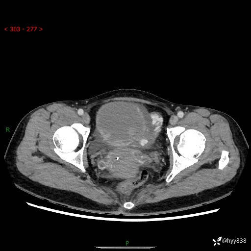
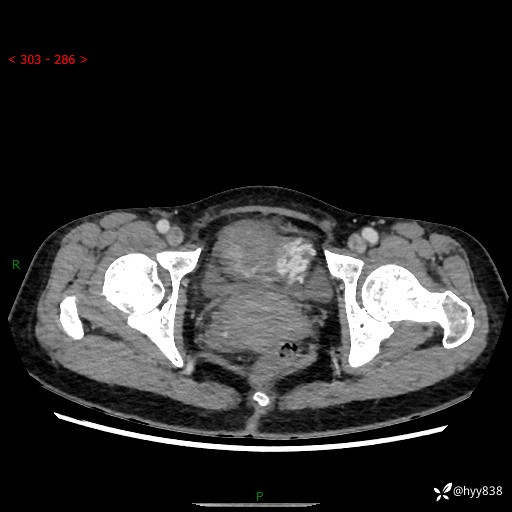
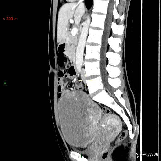
【患者信息】:女,50岁
【主诉】:外院超声发现腹盆肿块,为进一步诊治来我院,门诊已“盆腔肿块”收入院。
【检查】:
腹盆CT平扫+增强





























【临床诊断】:盆腔肿瘤
【治疗经过及结果】:手术
胡志勇HZY 等 2 位达人已点赞病例信息
【患者信息】:女,50岁
【主诉】:外院超声发现腹盆肿块,为进一步诊治来我院,门诊已“盆腔肿块”收入院。
【检查】:
腹盆CT平扫+增强





























【临床诊断】:盆腔肿瘤
【治疗经过及结果】:手术
