dxy logo
首页丁香园病例库全部版块
搜索
登录

病例1月特别精彩病例|年轻男性,腮腺浅叶单发富血供肿物,典型病例分享【病理已公布】

影像核医学版版主 · 最后编辑于 2023-01-22 · IP 江西江西
3963 浏览
icon过去的时光难忘怀 达人已点赞
这个帖子发布于 2 年零 265 天前,其中的信息可能已发生改变或有所发展。

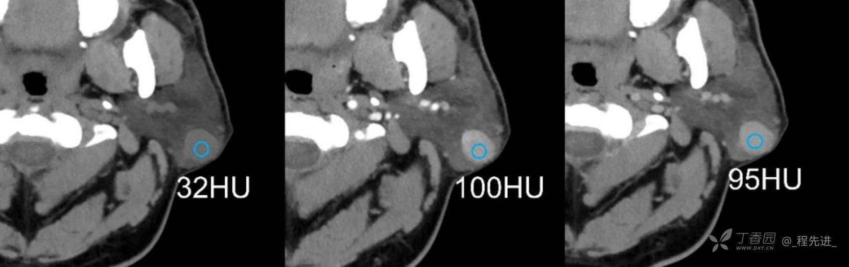
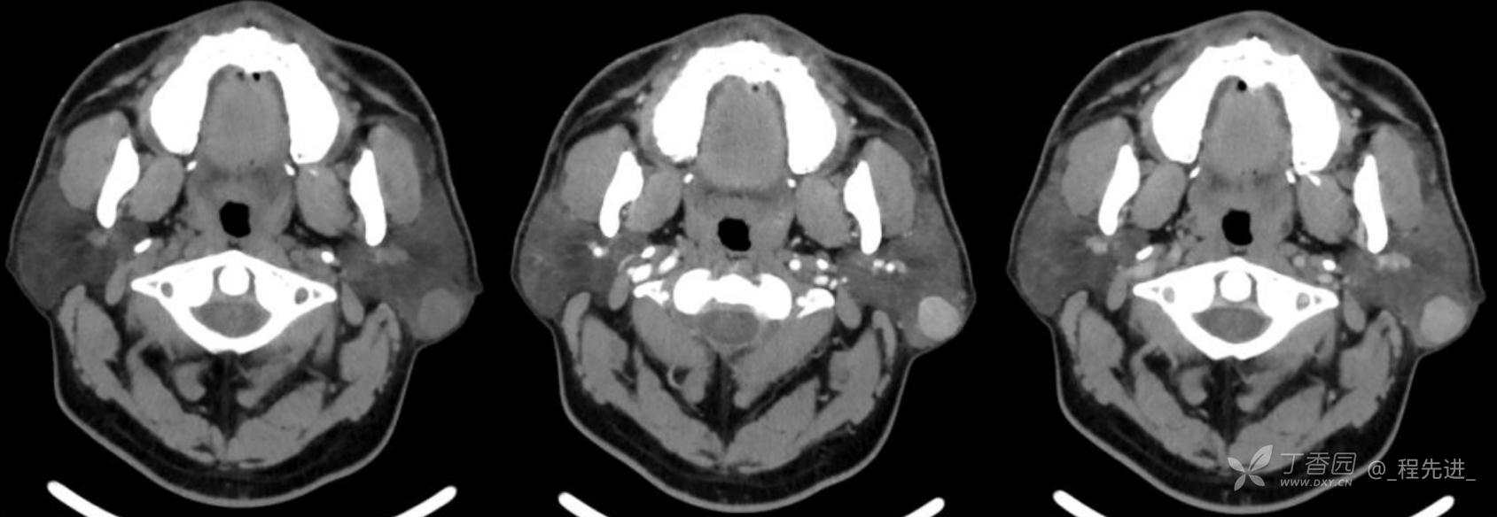
患者性别:男

患者年龄:38岁

简要病史:病程1年,1年前发现左耳后肿物,无发热疼痛不适,未见明显增大,入院

辅助检查:实验室各项指标未见明显异常


img
img
img
img
不适 (48)
纠错
213 4 5
同行评议(0)
已评议
不开通精选
开通精选
精选已授权,待上线
评议结果暂未公布
参与评议
去邀请
NaN
病例完整NaN
临床实用NaN
诊疗科学NaN
学术价值NaN

全部讨论(0)

默认最新
avatar
213
分享帖子
share-weibo分享到微博
share-weibo分享到微信
认证
返回顶部