dxy logo
首页丁香园病例库全部版块
搜索
登录

病例文献病例学习+分享。年轻男性,慢性声音嘶哑,HPV阳性---结果公布~

影像核医学版版主 · 发布于 2024-07-28 · IP 湖北湖北
2693 浏览
icon华夏览雄 等 2 位达人已点赞
这个帖子发布于 1 年零 119 天前,其中的信息可能已发生改变或有所发展。

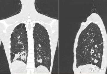
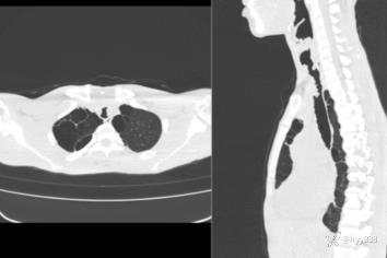
病例信息

性别:男

年龄:38岁

简要病史:慢性声音嘶哑,最近体重减轻。

实验室检查:白细胞稍高,HPV阳性

体查:吸气喘鸣

胸部CT平扫

img
img
img
声嘶 (46)
纠错
27 7 23
同行评议(0)
已评议
不开通精选
开通精选
精选已授权,待上线
评议结果暂未公布
参与评议
去邀请
NaN
病例完整NaN
临床实用NaN
诊疗科学NaN
学术价值NaN

全部讨论(0)

默认最新
avatar
27
分享帖子
share-weibo分享到微博
share-weibo分享到微信
认证
返回顶部