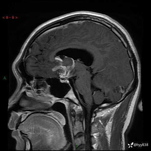
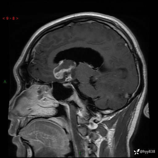
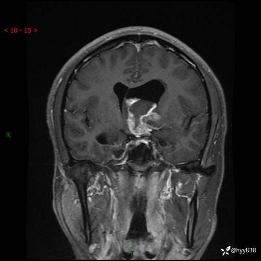
年轻男性,无明显诱因出现头部胀痛不适。鞍上少见病例---结果公布~
胡志勇HZY 达人已点赞病例信息
性别:男
年龄:30岁
主诉: 无明显诱因出现头部胀痛不适,以双侧太阳穴为主,并伴有头晕
现病史: 患者无明显诱因出现头部胀痛不适,以双侧太阳穴为主,并伴有头晕,当时无恶心呕吐、抽搐、肢体感觉运动障碍等症,患者当时未引起重视,未行特殊处理,随后上述症状逐渐加重,呕吐胃内容一次,并出现四肢乏力、记忆力减退等症,家属将其送至当地卫生所行输液治疗(具体不详),患者症状未见明显缓解,头痛进行性加重,现为进一步诊治,来我院。
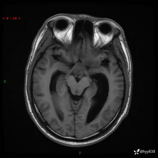
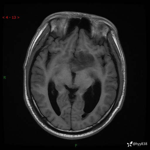
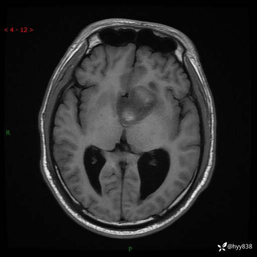
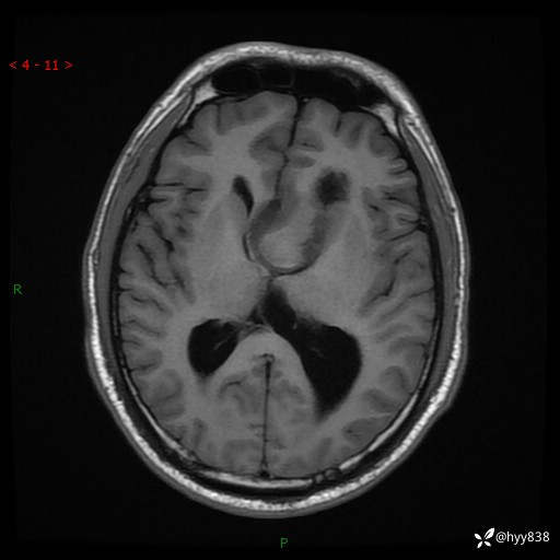
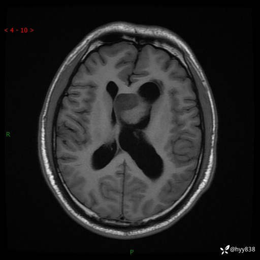
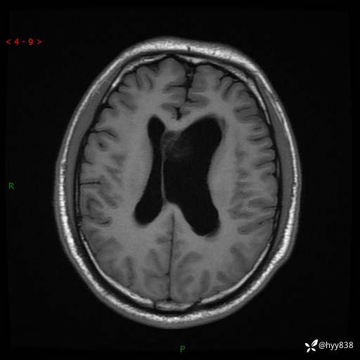
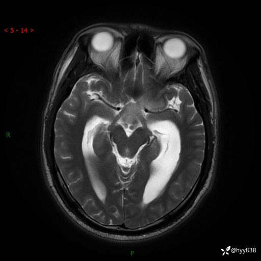
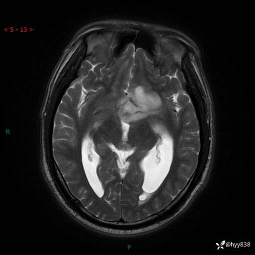
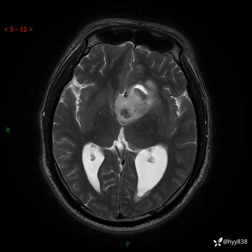
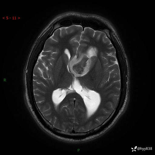
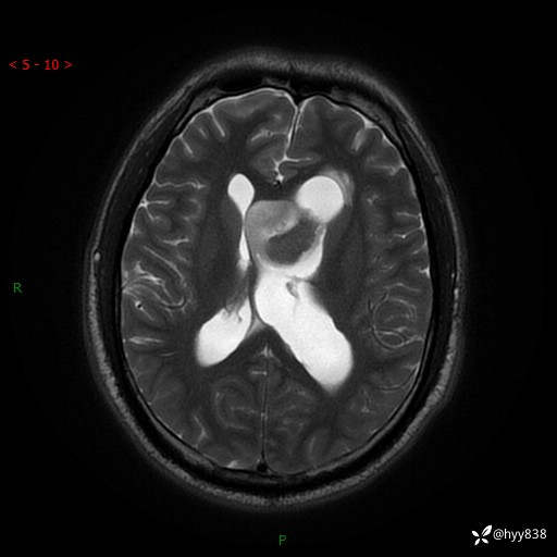
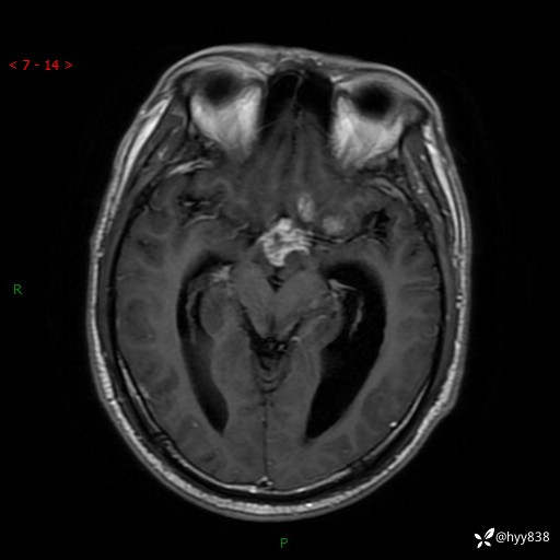
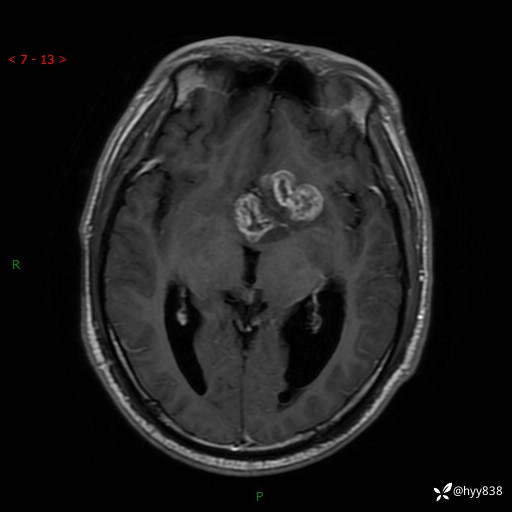
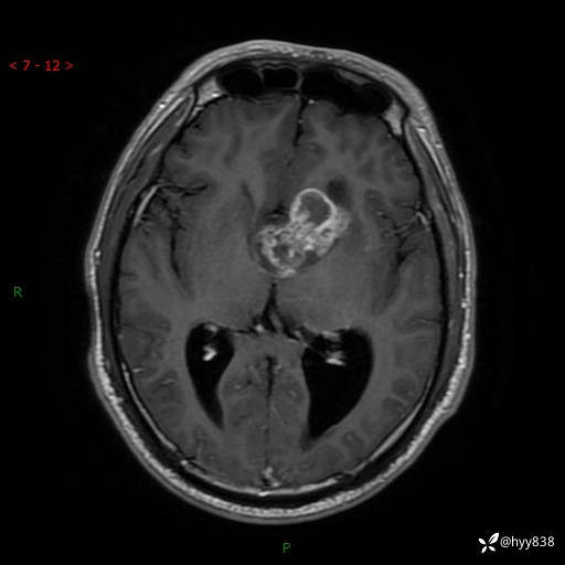
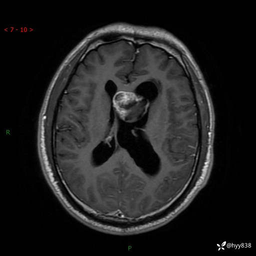
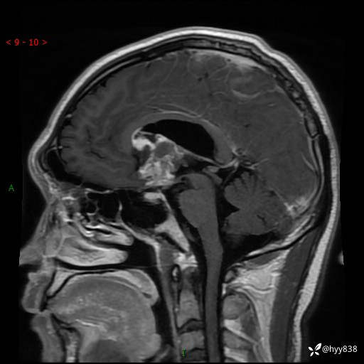
颅脑MRI平扫+增强





































































