小年特别精彩病例|年轻男性,双下肢麻木无力5月余,椎体及附件占位期待您的解读
呱呱叫了 等 2 位达人已点赞腊月二十三:俗称“小年”,“灶王爷上天”之日。
每到这一天,各家各户还要烙些包芝麻糖的烧饼,名曰‘祭灶火烧”,或者备灶糖,灶王爷要在这个时间上天,去向天皇人帝汇报工作。给灶王爷吃了嘴甜甜的,人们希望他“上天言好事,回宫降吉祥”。

------------------------------------我是快乐读片的分割线------------------------------------
患者性别:男
患者年龄:29岁
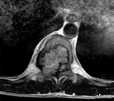
简要病史:双下肢麻木无力5月余,有踩棉感
CT:

MR:
T1:

T2:

T 2压脂:

T2横断位:

期待您的精彩解读!















































