颈部淋巴结肿大半年,常规CT发现肺部肿块和肝脏孤立结节,请分析---结果公布~
华夏览雄 达人已点赞患者性别:男
患者年龄:33岁
主诉:发现颈部淋巴结肿大半年
简要病史:者于半年前开始无意发现颈部淋巴结肿大,无发热、乏力、盗汗等不适,间断性咳嗽咳痰,无腹痛、皮肤黏膜出血等情况,未予以重视和处理,一周前因自觉颈部淋巴结较前增大于当地医院行颈部淋巴结彩超示:左侧颈根部多发实质性占位性病变,予抗感染治疗一周无明显疗效。现患者自觉无明显乏力、盗汗、咳嗽咳痰、心慌胸闷、恶心呕吐、腹痛腹泻等其他不适症状,为求进一步诊治遂来我科,门诊以"淋巴结肿大原因待查"收入我科; 自发病以来,患者精神、饮食、睡眠、大小便等情况均可,体力、体重未见明显变化。
体格检查:(-)
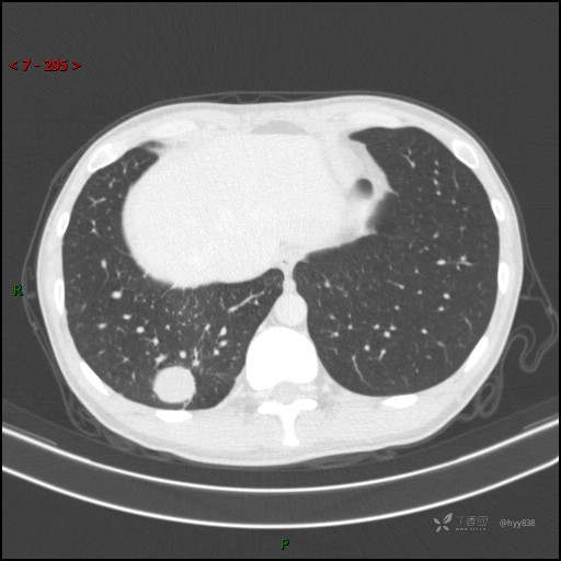
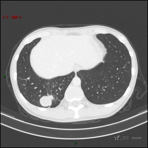
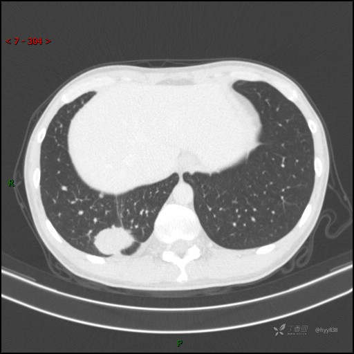
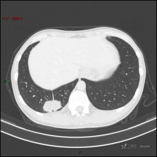
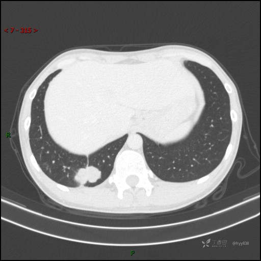
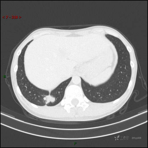
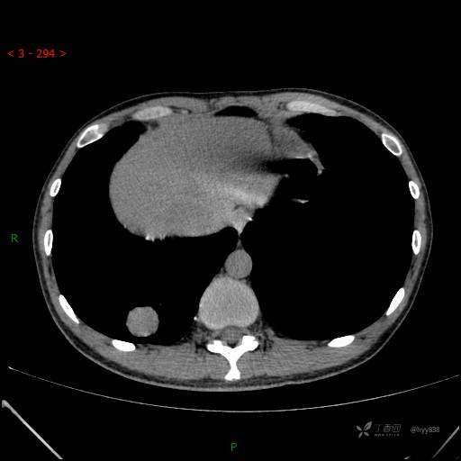
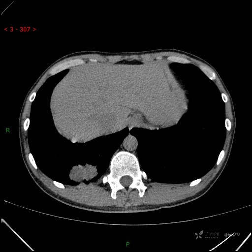
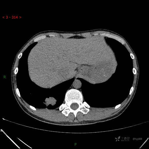
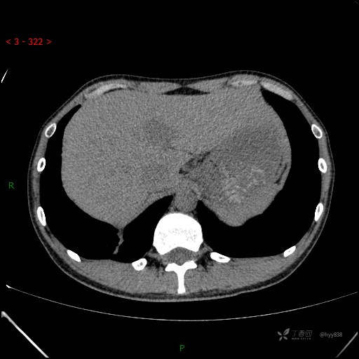
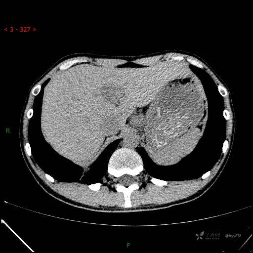
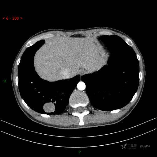
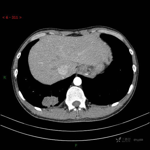
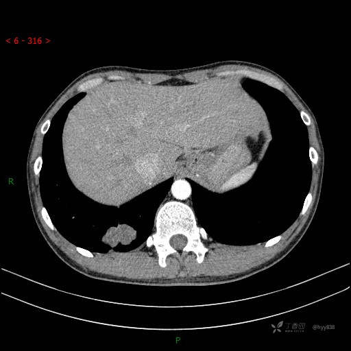
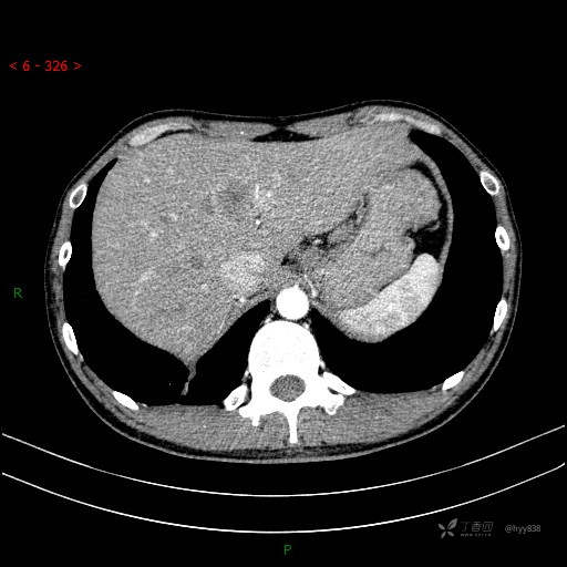
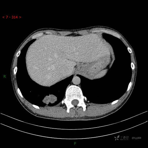
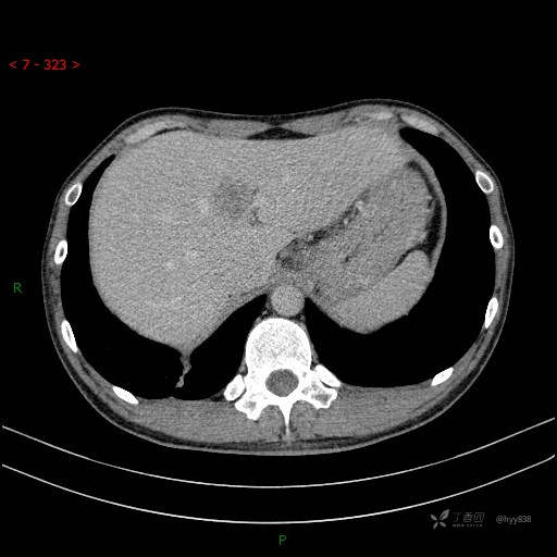
辅助检查:CT
临床诊断:颈部淋巴结肿大
治疗经过:---
讨论:病灶性质?
胸部CT平扫












增强动脉期





静脉期



















































