11月特别精彩病例|中老年女性,乏力、纳差20余天【病理已公布】
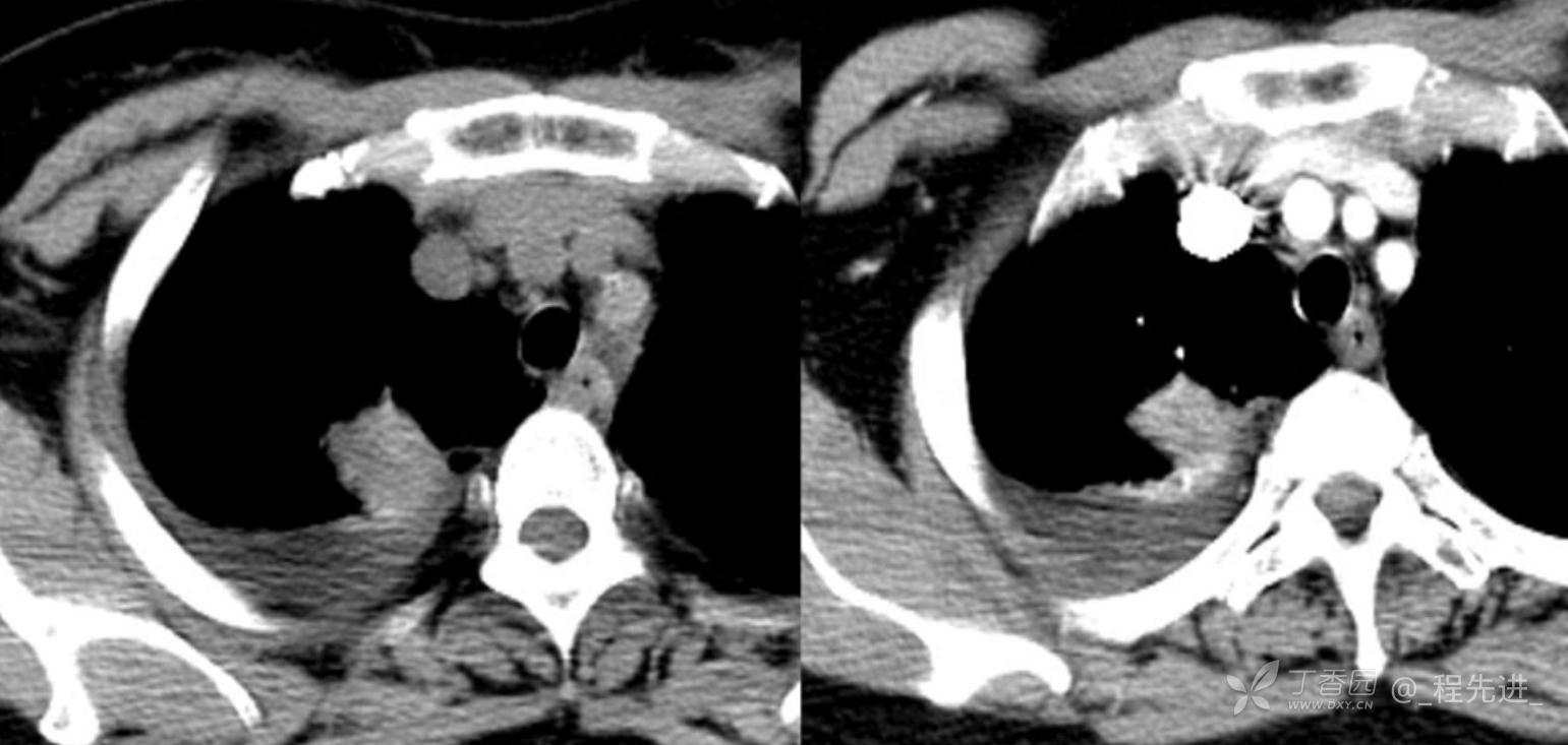
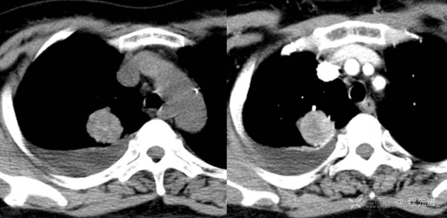
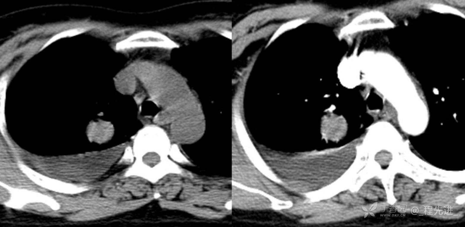
呱呱叫了 等 2 位达人已点赞患者性别:女
患者年龄:57岁
简要病史:乏力、纳差20余天,皮肤巩膜黄染半月偶有咳嗽,咳白痰,全身皮肤巩膜黄染。无咯血,无明显胸闷、胸痛,无明显气促,无发热及盗汗。精神欠佳,纳差,睡眠一般,二便正常
辅助检查:各项检查无明显阳性指标







呱呱叫了 等 2 位达人已点赞患者性别:女
患者年龄:57岁
简要病史:乏力、纳差20余天,皮肤巩膜黄染半月偶有咳嗽,咳白痰,全身皮肤巩膜黄染。无咯血,无明显胸闷、胸痛,无明显气促,无发热及盗汗。精神欠佳,纳差,睡眠一般,二便正常
辅助检查:各项检查无明显阳性指标







