老年男性,纳差、乏力5月,咳嗽、痰中带血1月就诊~『病理已置顶』
男,64
主 诉:纳差、乏力5月,咳嗽、痰中带血1月。
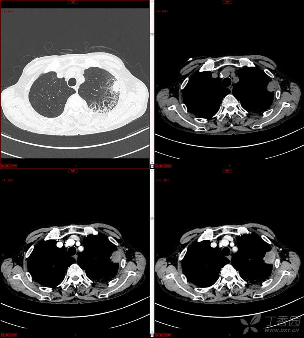
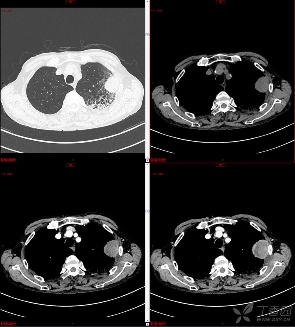
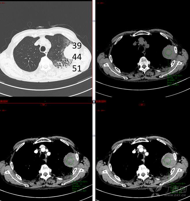
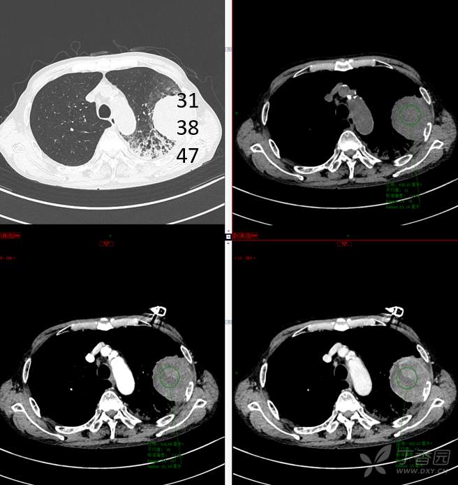
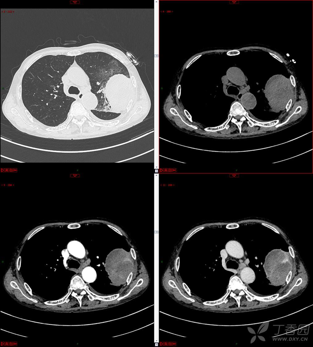
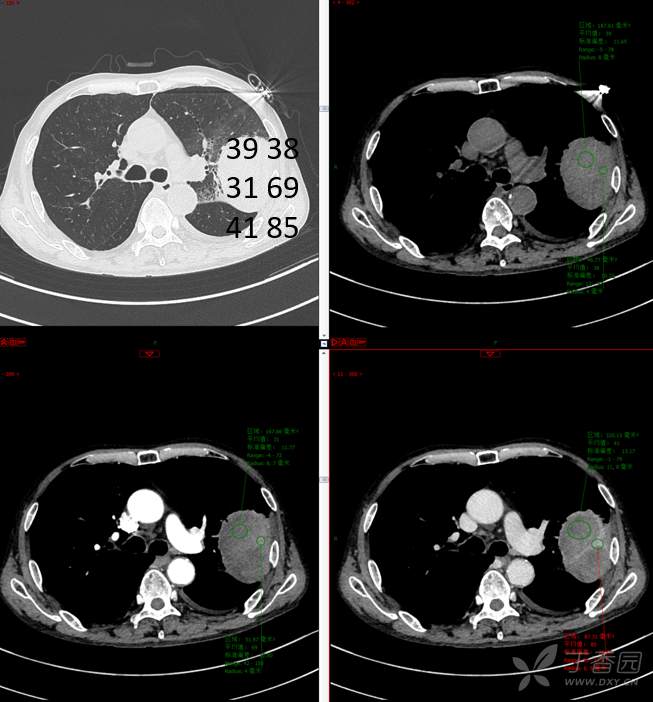
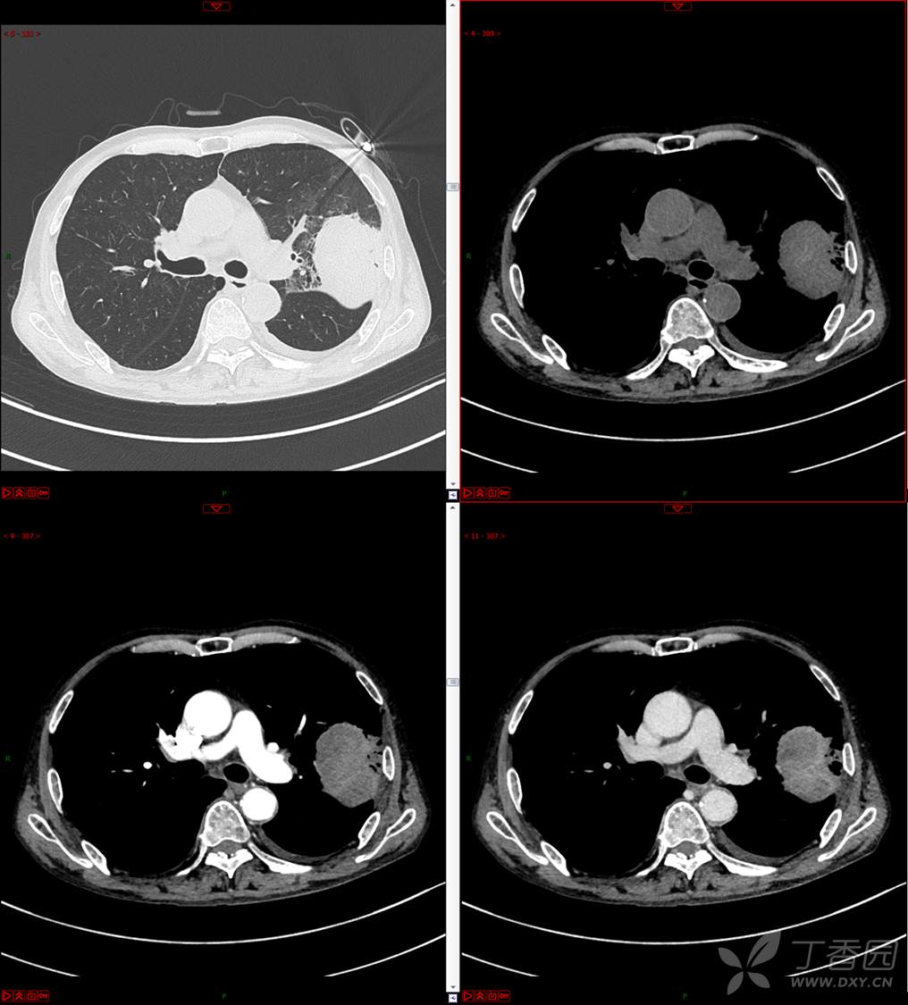
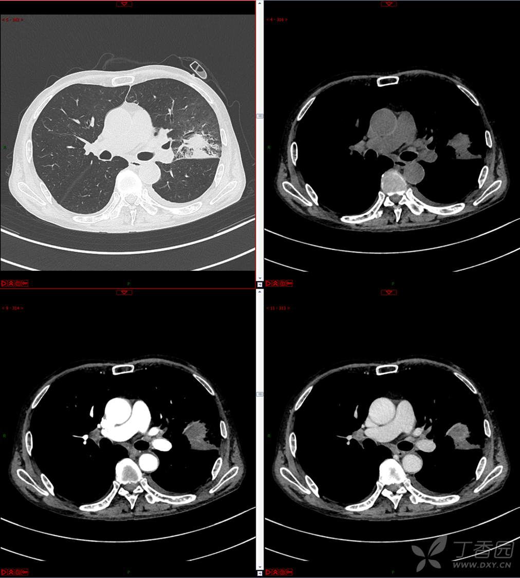
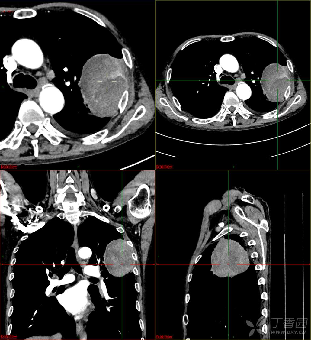
现病史:患者自诉5月前无明显原因及诱因出现纳差、乏力,伴进食后腹胀,无腹痛、腹泻、发热、盗汗、恶心、胸闷,未行特殊处理。1月前无明显原因诱因出现咳嗽,呈阵发性,咳白痰,痰中带鲜红色血丝,10余口/日,无血块,仍伴纳差、乏力、进食后腹胀,无恶心、呕吐、呕血,无头晕、心慌、喘憋、胸闷。在家未行特殊治疗,来我院就诊,2022.8.18行胸部(肺)CT平扫:左上肺占位并左侧肋骨骨质破坏,考虑间叶源性恶性肿瘤。门诊以“肺肿物”收入我科。患者自发病以来,神志清,精神可,饮食差,睡眠可,二便正常,近3月减轻5Kg。
既往史:既往“胃病”病史10余年,行手术治疗,术后病理不详;“酒精肝、肝硬化”病史1年余,未行诊治;否认高血压、糖尿病、心脑血管病等疾病史,否认肝炎、结核或其他传染病史及密切接触史,预防接种史不详,否认药物及食物过敏史,否认外伤史,否认输血史,其它无特殊。
个人史:生于原籍,否认冶游史,无职业及毒物暴露史,有嗜烟,约50年,平均20支/日。未戒烟。经常嗜酒,约40年,平均100g/日,未戒酒。无药物嗜好。


























































