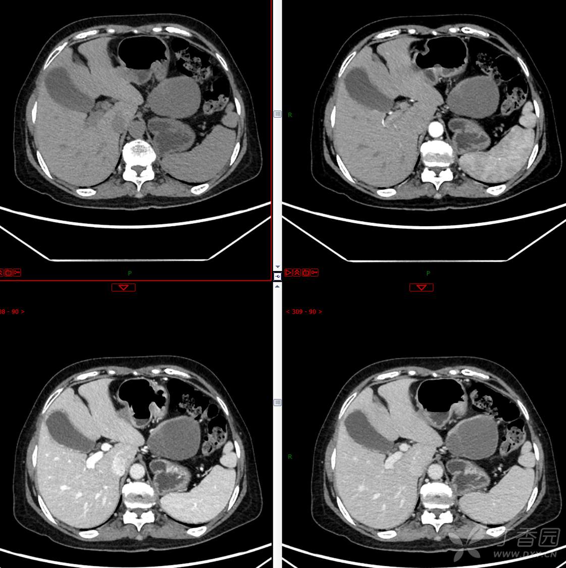
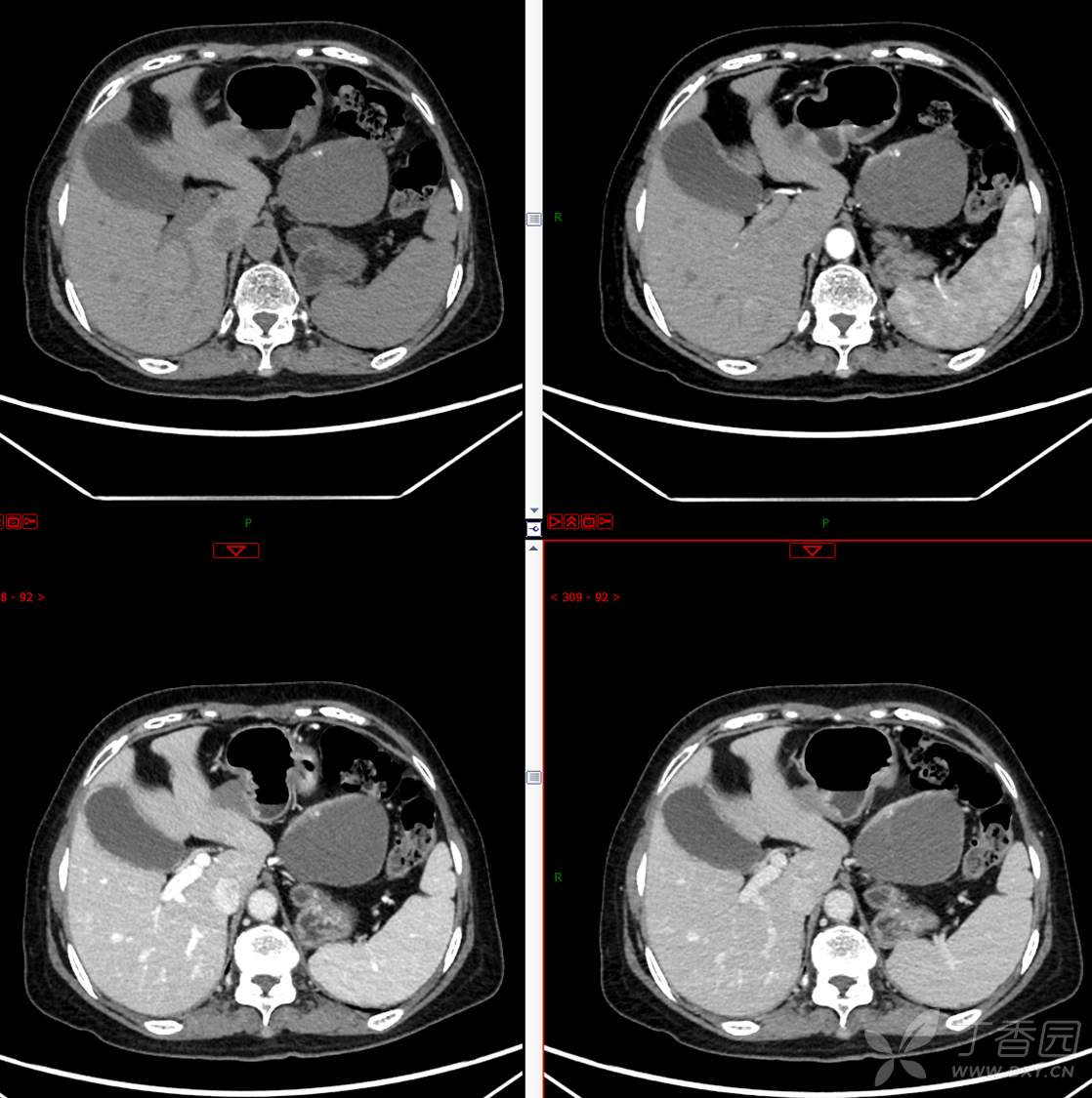
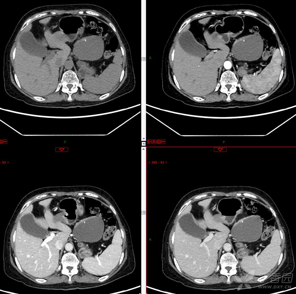
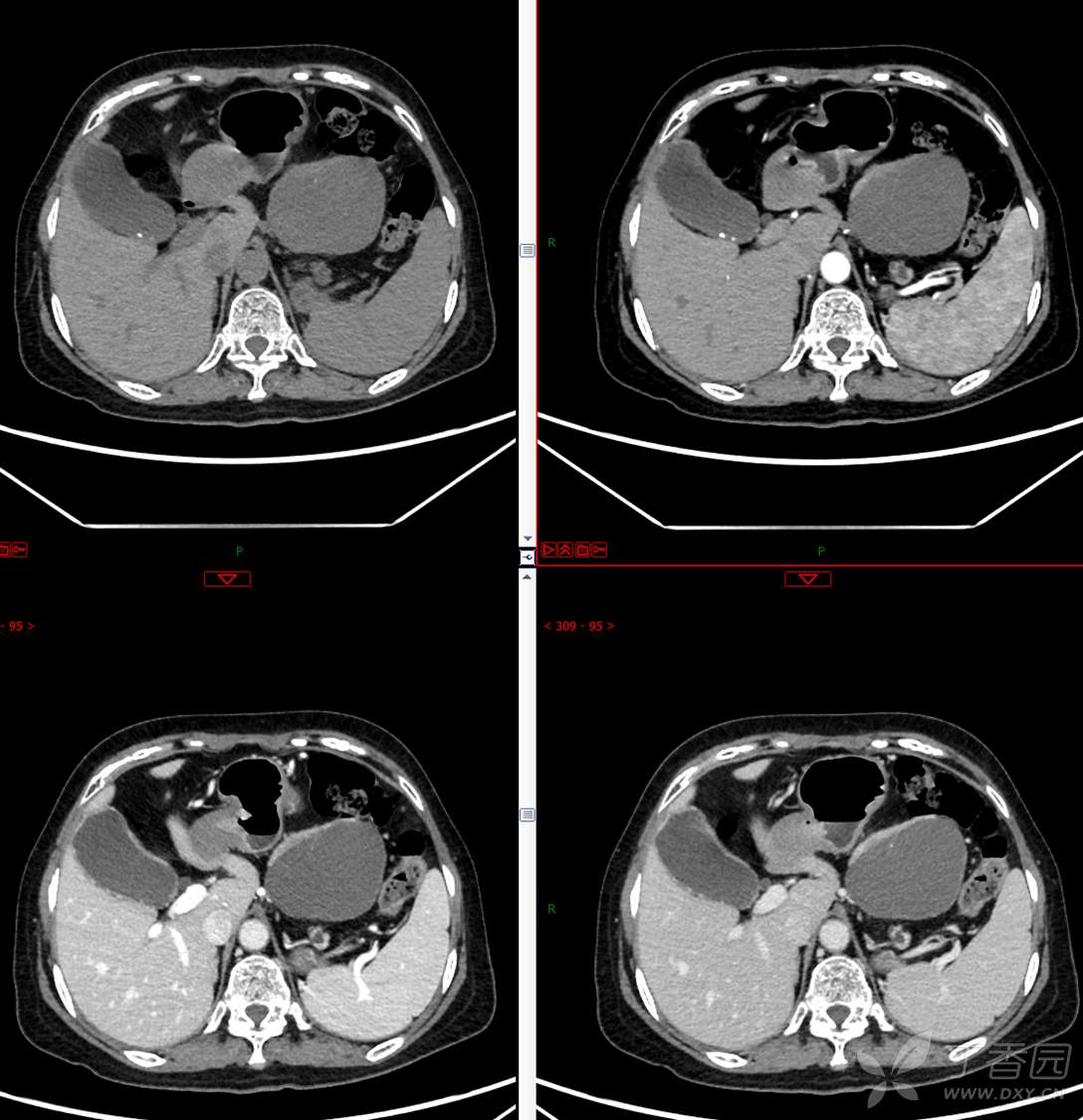
中老年女性胰腺占位,“奶奶瘤”or“妈妈瘤”?请分析领丁当!
患者性别:女
患者年龄:65岁
主 诉:发现胰腺占位性病变3月
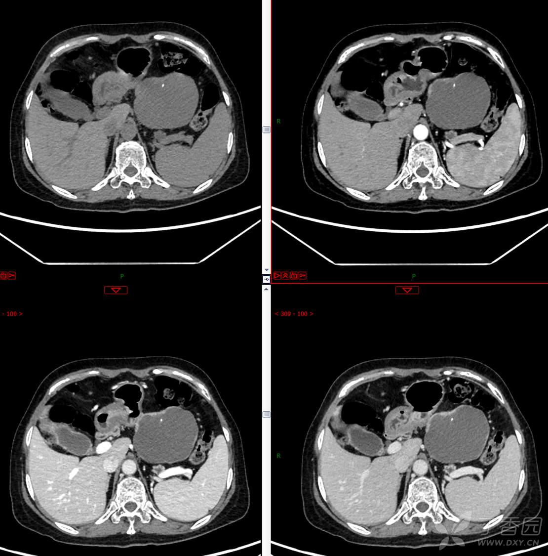
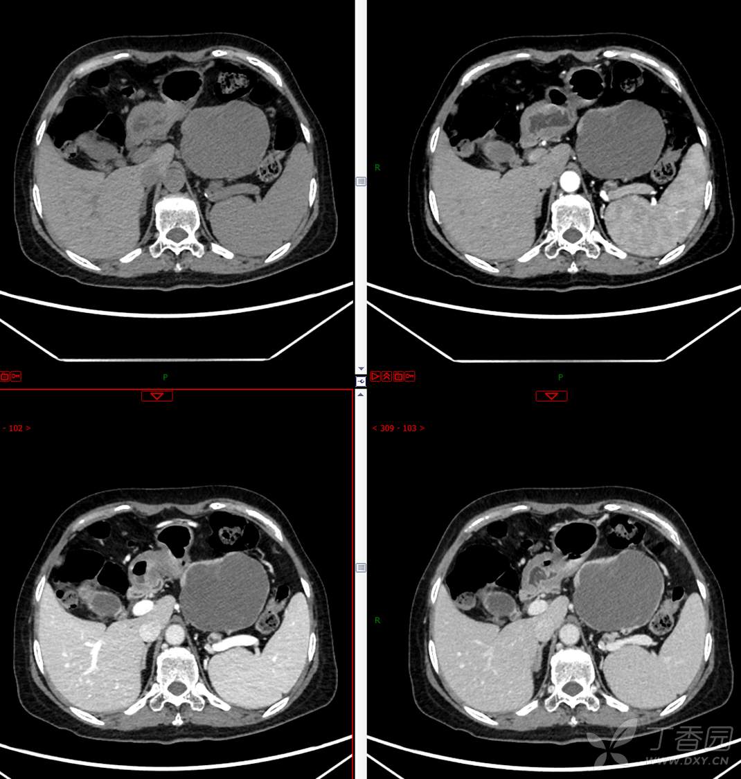
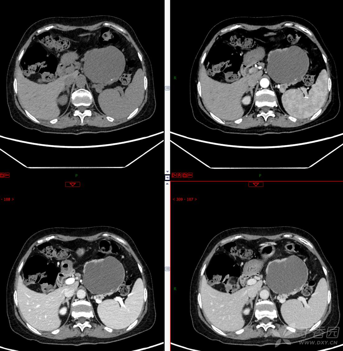
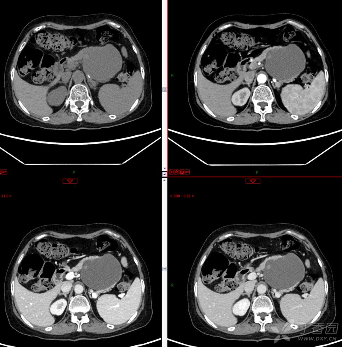
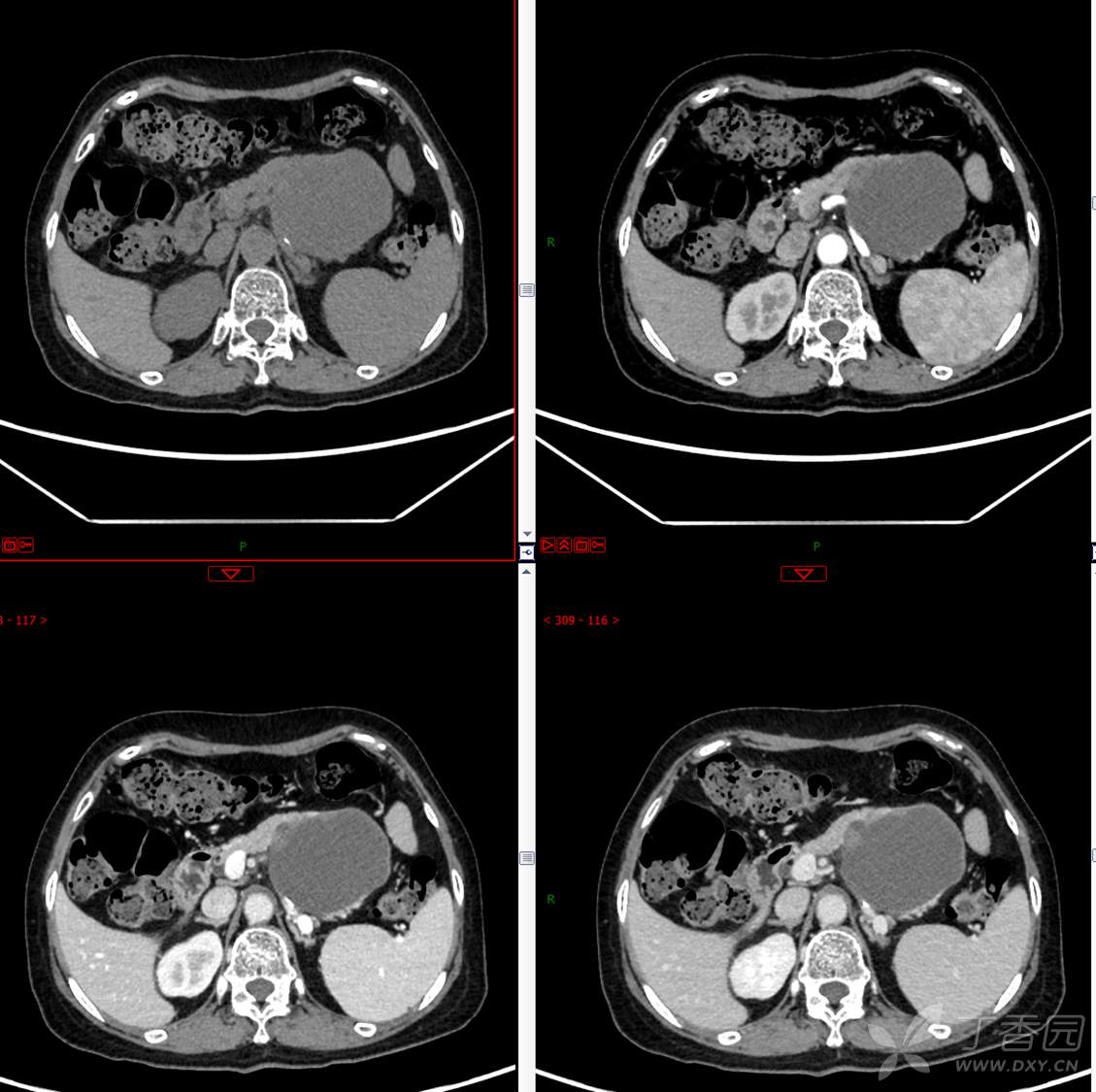
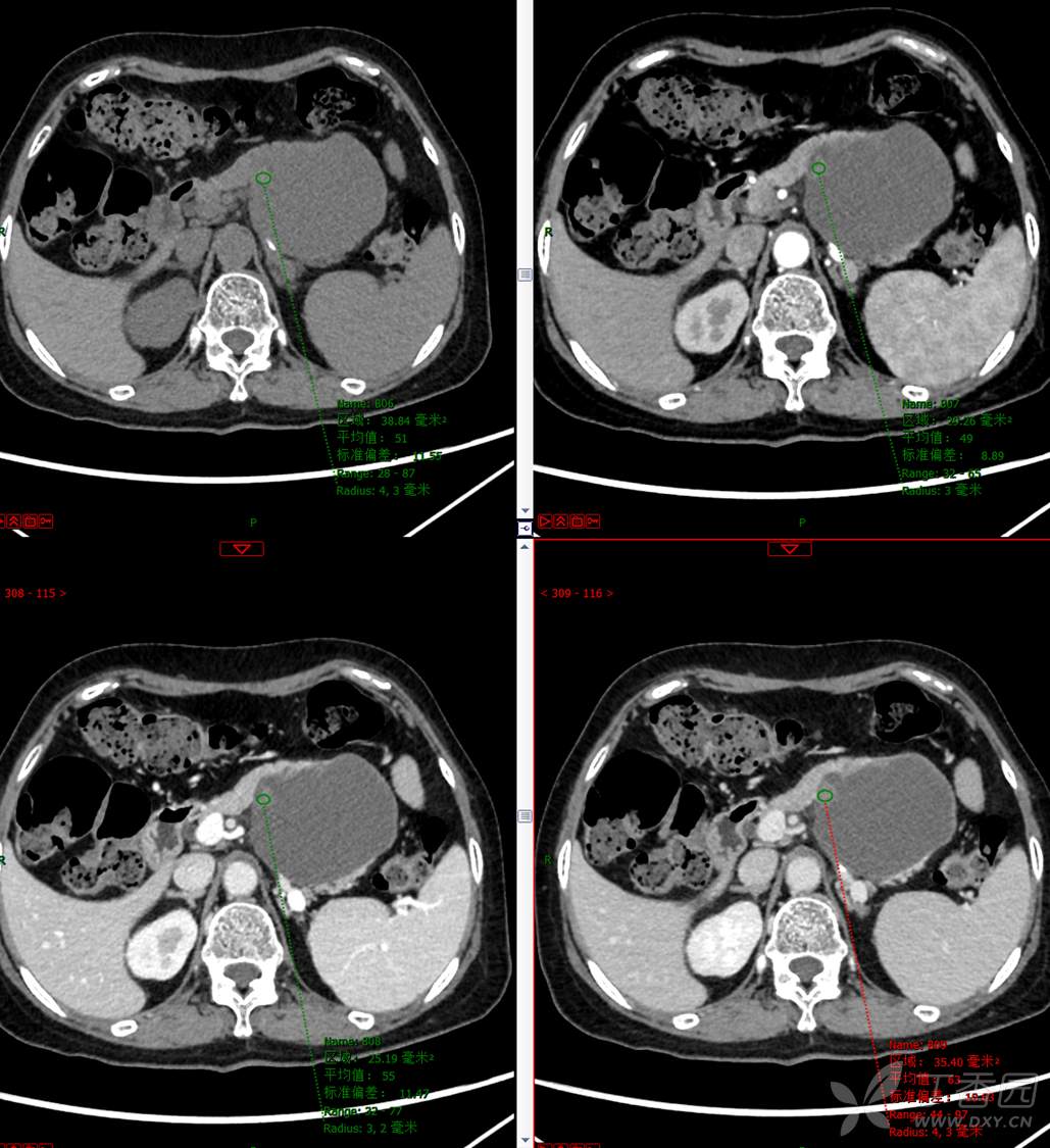
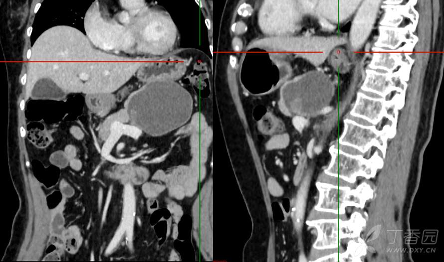
现病史:患者3月前就诊于**市人民医院行腹部增强CT发现胰尾占位性病变,无腹痛、腹胀,无恶心呕吐,无黄疸,无呕血黑便,无胸闷憋气,无寒战高热,未行特殊治疗
既往史:既往“高血压病”1.5年,60年前因外物撞击致右眉处损伤,20年前因车祸致颅内血肿,于当地行保守治疗,遗留右耳听力下降。10年前因“甲状腺结节”于**县人民医院行手术治疗,2年前因“右眼白内障”于**县眼科医院行手术治疗



























































