晨读误诊病例。体检发现胰腺占位,病史仅供参考,请讨论---结果公布~
患者性别:男
患者年龄:42岁
主诉:体检发现胰腺囊性占位20天
既往史:5年前及4年前2次因胰腺炎住院治疗。
体格检查:(-)
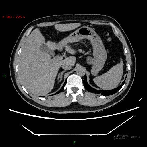
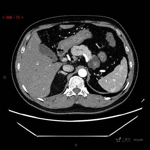
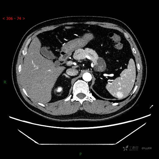
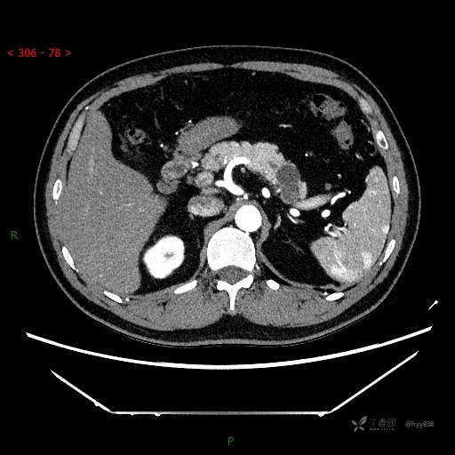
辅助检查:CT
临床诊断:胰腺占位
治疗经过:手术
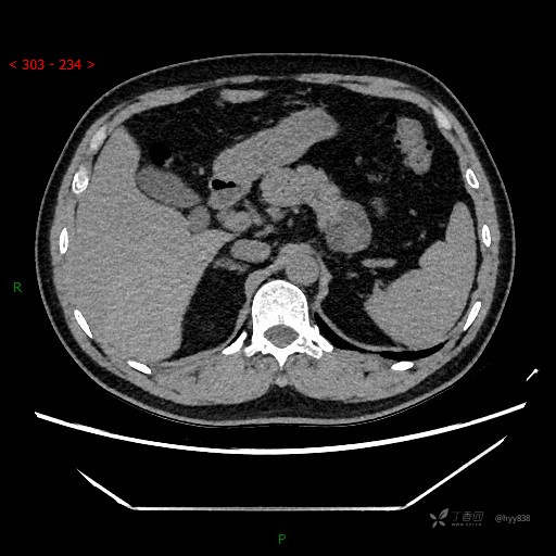
讨论:病变影像特点和性质
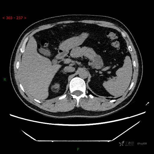
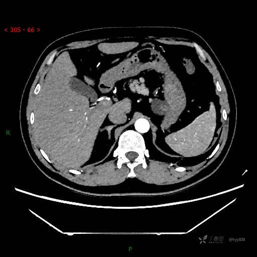
腹部CT平扫








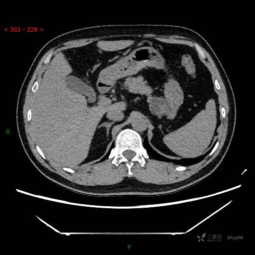
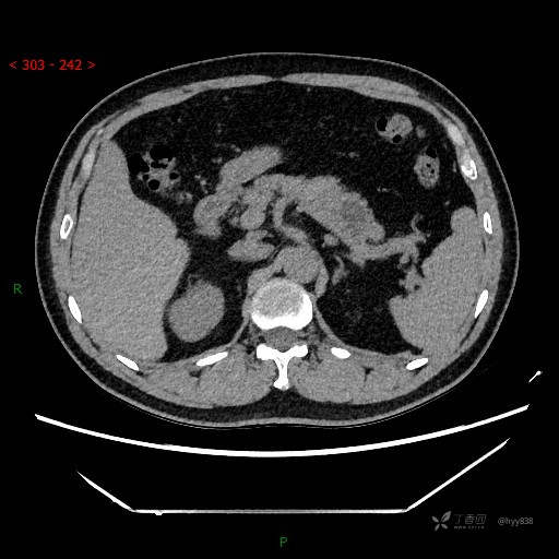
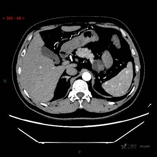
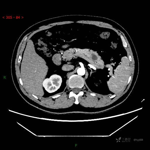
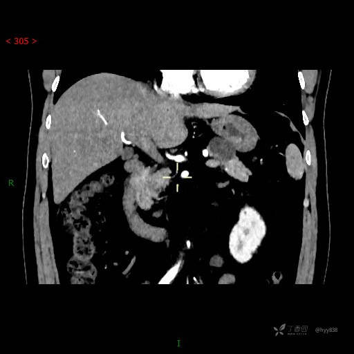
增强动脉期








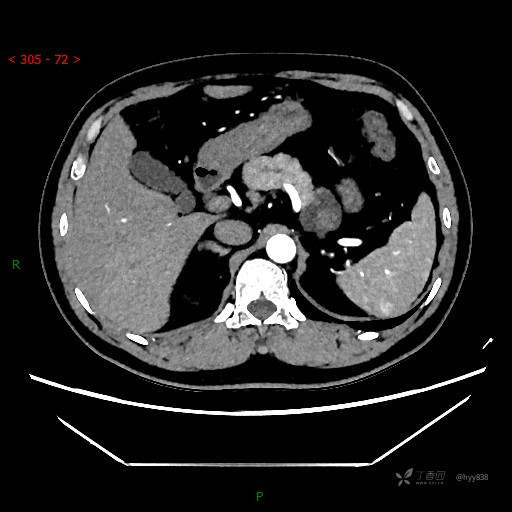
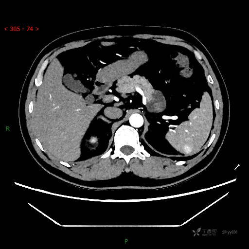
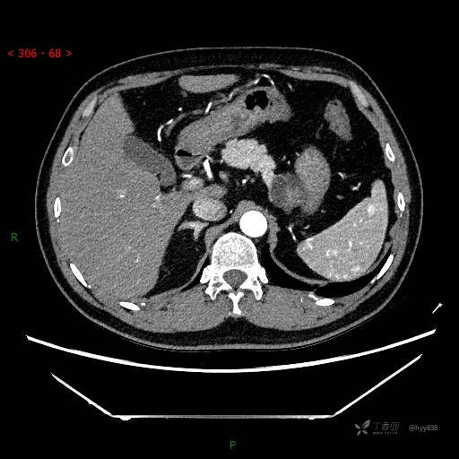
静脉期





患者性别:男
患者年龄:42岁
主诉:体检发现胰腺囊性占位20天
既往史:5年前及4年前2次因胰腺炎住院治疗。
体格检查:(-)
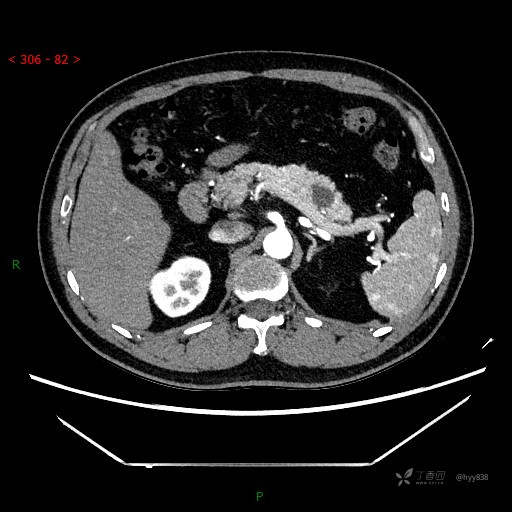
辅助检查:CT
临床诊断:胰腺占位
治疗经过:手术
讨论:病变影像特点和性质
腹部CT平扫








增强动脉期








静脉期





